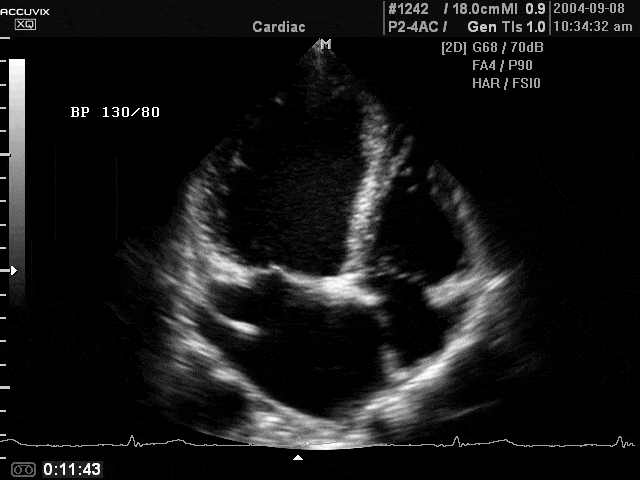
Mitral valve disease, B-mode

Mitral valve disease, B-mode (echogramm №360)

[RU] Ultrasound image №360: Heart (mitral valve disease) in B-mode.

Echogramm was received by ultrasound scanner Accuvix-XQ (out of production).

Check out ultrasound images from Accuvix-XQ.