Additional hord of LV, B-mode

Additional hord of LV, B-mode (echogramm №426)

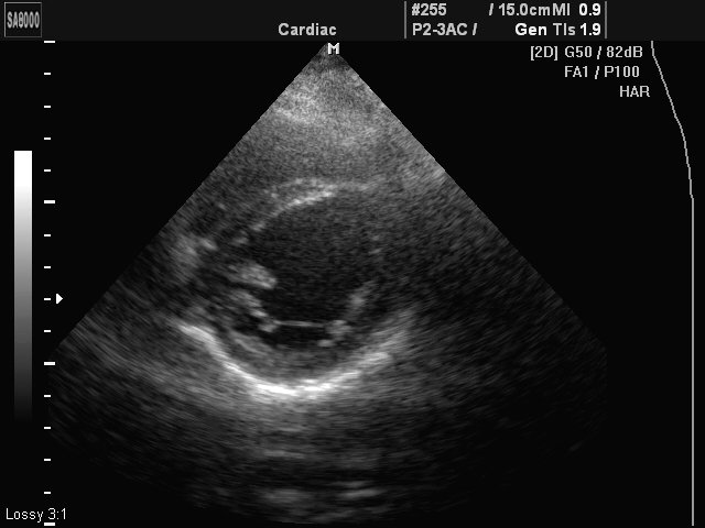
[RU] Ultrasound image №426: Heart (additional hord of left ventricle) in B-mode.

Echogramm was received by ultrasound scanner SonoAce-8000 (out of production).

Check out ultrasound images from SonoAce-8000.