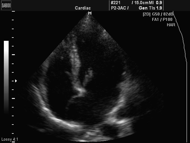
Aneurismus interatrium septum, B-mode

Aneurismus interatrium septum, B-mode (echogramm №428)

[RU] Ultrasound image №428: Heart (aneurismus interatrium septum) in B-mode.

Echogramm was received by ultrasound scanner SonoAce-8000 (out of production).

Check out ultrasound images from SonoAce-8000.