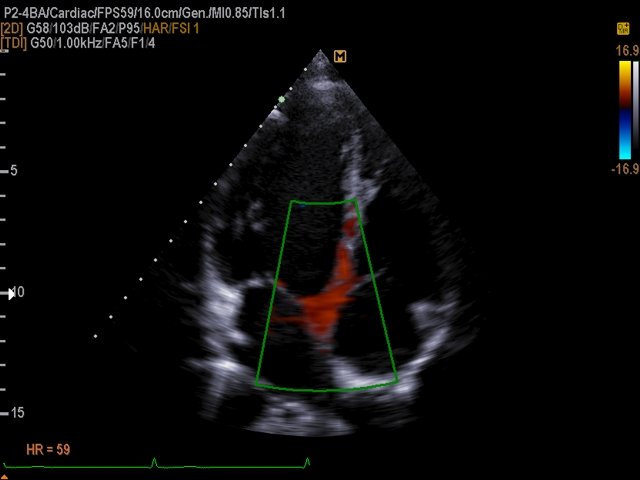
Interventricular septum, TDI color doppler

Interventricular septum, TDI color doppler (echogramm №509)

[RU] Ultrasound image №509: Interventricular septum movement (apical view) in TDI color doppler mode .

Echogramm was received by ultrasound scanner EKO7 (out of production).

Check out ultrasound images from EKO7.

« previous image
next image »