Gall bladder - polyp, SDMR

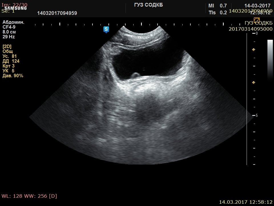
Gall bladder - polyp, SDMR (echogramm №625)

[RU] Ultrasound image №625: Gallbladder polyp in SDMR™ mode.

Echogramm was received by ultrasound scanner H60 (out of production).

Check out ultrasound images from H60.