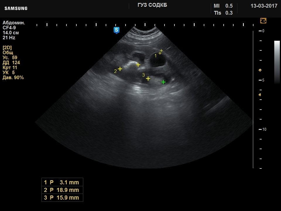
Kidney - stones and dilated renal pelvis, B-mode

Kidney - stones and dilated renal pelvis, B-mode (echogramm №738)

[RU] Ultrasound image №738: Kidney stones and dilated renal pelvis in a child 6 months old. Microconvex probe 4-9 MHz (neonatal), B-mode.

Author: Sukhanov S.A., Saratov.

Echogramm was received by ultrasound scanner H60 (out of production).

Check out ultrasound images from H60.