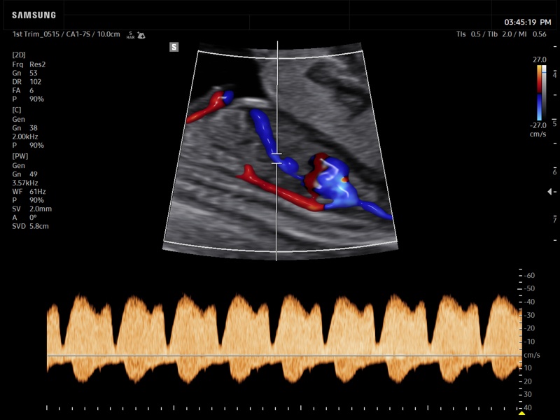
Fetal heart (ductus venosus), CFM & PW

Fetal heart (ductus venosus), CFM & PW (echogramm №939)

[RU] Ultrasound image №939: Fetal heart (ductus venosus) in CFM (color flow mapping) and PW (pulsed wave) mode. 1-st trimester, convex probe 1-7 MHz.

Echogramm was received by ultrasound scanner Z20 (new model).

Check out ultrasound images from Samsung Z20.