УЗИ сканер Samsung Z20 (новая модель)
Z20-RUS — ультразвуковой сканер премиум класса (флагманская модель платформы HERA) производства компании Samsung Medison, новый стандарт в области женского здоровья.
Аппарат для тех, кто ценит точность, скорость и удобство. Samsung Z20 оснащен технологией визуализации Crystal Architecture™ 2-го поколения, сочетающей преимущества CrystalBeam™ и CrystalLive™. Улучшенная система профилей позволяет быстро (нажатием одной кнопки) восстановить индивидуальные настройки сканера (цвета, пресеты, датчики, пациенты и др.). Более 30 фетометрических измерений выполняются во время исследования автоматически (больше не нужно нажимать на "фриз" и выбирать лучший кадр), с помощью искусственного интеллекта система автоматически выводит все необходимые измерения на экран (не прерывая сканирование). Алгоритмы объёмной реконструкции PortraitVue™ позволяют восстанавливать естественные черты лица плода. Комплексные аналитические инструменты системы помогают врачу принимать обоснованные верные решения на каждом этапе диагностики женского здоровья, включая лечение бесплодия, диагностику плода, роды, маммологию и гинекологию.
Базовая комплектация: сканер Z20-RUS (монитор 27"; сенсорная панель управления 15,6"; встроенный твердотельный SSD-накопитель; 4 активных порта для подключения датчиков; встроенные модули: цветного, энергетического, высокочувствительного направленного энергетического (S-Flow), импульсно-волнового допплера (PW), тканевого допплера (цветной и спектральный) и постоянно-волнового допплера (CW); цветной и анатомический М-режим; кардиологический пакет; тканевая гармоника, гармоника с фазовой инверсией S-Harmonic; третья гармоника, трапециевидное сканирование; автоматическая оптимизация Q-Scan и Live Q-Scan; A-Focus; ClearVision и MultiVision; Smart 4D+; HQ-Vision, HDVI; PortraitVUE; Biometry Assist; LumiFlow; Luminant; ShadowHDR; NeedleMate+; UterineContour; ViewAssist; HeartAssist (for fetus); IETA/IDEA; предустановленные и программируемые пользователем наборы параметров настройки 1-3 триместров беременности; программа управления данными пациентов - поиск, автоматическое и ручное составление протоколов и отчетов, форматирование отчетов с добавлением изображений, программы для расчетов в акушерстве, гинекологии, исследований сердечно-сосудистой системы плода, ангиологии, органов брюшной полости, щитовидной и молочной желез, суставов, тазобедреного сустава новорожденного; модуль DICOM; система архивации SonoView; подогреватель геля; встроенная панель управления, клавиатура с подсветкой и трекболом) и руководство по эксплуатации на русском языке.
Опции для сканера Z20-RUS: Live ViewAssist, EzVolume, Slice A, 5D Heart Color, 5D CNS+, 5D NT, 5D LB, 5D Follicle, 5D Limb Vol, Realistic Vue, Crystal Vue, Crystal Vue Flow, MV-Flow™, MPI+, LaborAssist, AutoIMT+, ArterialAnalysis, Elastoscan+, E-Cervix, S-Shearwave Imaging, EzHRI, QUS (TAI, TSI), S-Detect for Breast, S-Detect for Thyroid, IOTA-ADNEX, IOTA-SRrisk, 2D Follicle, Panoramic, модуль ЭКГ, ADVR, SonoSync, LiveBreastAssist, PelvicAssist, UterineAssist, CEUS+, NerveTrack, Strain+, StressEcho, HeartAssist (for Adult).
Видео-презентация Samsung Z20
Области применения: акушерство, гинекология, неонатология, педиатрия, абдоминальные исследования, ангиология, урология, онкология, поверхностно расположенные органы, скелетно-мышечная система, эндокринология, маммология, эхокардиография, транскраниальная допплерография.
Основные характеристики УЗ сканера Samsung Z20
- Стационарный ультразвуковой сканер премиум класса.
- OLED монитор – 27,0" (разрешение 2560x1440).
- Сенсорная панель управления (touch-screen) 15,6".
- Разъемы для одновременного подключения до 4-х датчиков.
- A-Focus – бесфокусная технология визуализации (изображение сфокусировано в каждой точке по всей глубине).
- Live Q-Scan™ – автоматическая «в один клик» настройка изображения в режимах 2D, CFM, PW в реальном времени.
- Biometry Assist – автоматическое измерение основных биометрических показателей плода (БПР, ОГ, ОЖ и ДБК, ТВП и др.).
- ClearVision – фильтрация изображения в реальном времени: удаляет спекл-шумы и артефакты, усиливает контуры, делая ультразвуковое изображение контрастней на границе сред разной эхо-плотности.
- MultiVision – детализация изображения и уменьшение артефактов за счет технологии получения изображения с учетом нескольких углов инсонации.
- Luminant™ – программа визуализации с трёхмерным эффектом для лучшего выделения границ структур.
- IETA – встроенный протокол классификации опухолей эндометрия.
- IDEA – встроенный протокол классификации глубокого эндометриоза.
- HQ Vision™ для акушерства и гинекологии – динамический фильтр, исправляющий в реальном времени «смазанность» изображения с помощью алгоритма деконволюции, благодаря чему критически повышается четкость и детальность ультразвуковой картины.
- ShadowHDR™ – технология улучшения визуализации участков изображения, расположенных в акустической тени, с помощью селективной фильтрации и рекомбинации высоко- и низкочастотных отраженных сигналов.
- LumiFlow™ – технология стереоскопической визуализации картированного кровотока с использованием эффекта отражения, облегчающая его субъективное восприятие и интуитивное понимание.
- SonoView – система архивации и дальнейшего просмотра статических и динамических изображений (база данных изображений), имеется возможность копирования изображений на внешние накопители (подключение по USB), проводить измерения в архиве.
- EzStructure и EzFlow – точные предустановки визуализации под конкретные анатомические области. Работают без необходимости смены пресета визуализации.
- Smart 4D+ – модуль объемного сканирования в реальном времени с расширенным набором инструментов для обработки и представления объемного изображения (3D + 4D + 3D XI + 3D MXI + New 3D Feature (VSI, SFVI, Smooth cut)).
- STIC – объемная динамическая визуализация сердца плода.
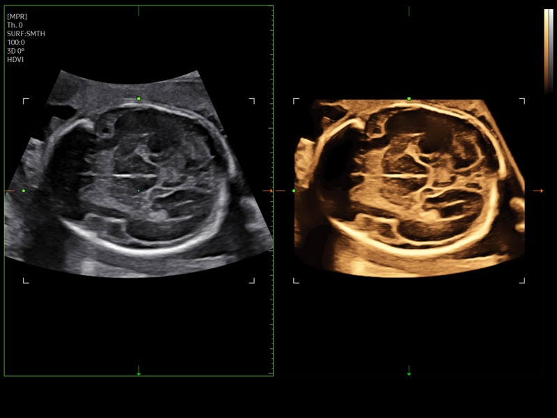
- HDVI (High Definition Volume Imaging) - повышение четкости изображения границ тканей с разной эхо-плотностью в объемном изображении (диагностика тонких повреждений тканей, дефектов мозга плода, стенок и клапанов сердца плода).
- Модуль CW – постоянно-волновой доплер.
- EzPrep™ – быстрый доступ к предварительным настройкам.
- EzReport™ – отображение стандартных фетометрических измерений и акушерских графиков во время сканирования.
- EzCheck™ – чек-лист для акушерских исследований, отображающий на экране список необходимых измерений для каждого из скринингов.
- HeartAssist (for fetus) – полностью автоматическое измерение и аннотация сердца плода нажатием на одну клавишу. Сканер самостоятельно определяет выведенный срез, аннотирует отдельно каждую структуру, измеряет и заносит результаты измерений в общий отчёт.
- ViewAssist – полностью автоматическое измерение и аннотация основных срезов плода согласно рекомендациям ISUOG нажатием на одну клавишу.
- PortraitVUE – программа реконструкции лица плода для улучшения качества визуализации (не для медицинских целей).
- UterineContour – программа автоматического построения коронарного среза матки с классификацией по ESRE\ASRM.
- ClearVision - фильтрация изображения в реальном времени: удаляет спекл-шумы и артефакты, усиливает контуры, делая ультразвуковое изображение контрастней на границе сред разной эхо-плотности.
- Система DICOM - возможность сетевой интеграции с PACS-системами (например, для архивации или печати ультразвуковых эхограмм на оборудовании других производителей медтехники).
- Система SonoView - система архивации и дальнейшего просмотра статических и динамических изображений (база данных изображений), имеется возможность копирования изображений на внешние накопители (подключение по USB), проводить измерения в архиве.
Режимы визуализации
- B (2D) — двухмерное сканирование в оттенках серой шкалы с поддержкой тканевой гармоники, включая пульс-инверсную и фазово-инверсную гармонику (S-Harmonic™).
- M / CM — одномерный и цветной M-режимы для исследования сердца; доступен также анатомический M-режим (требуется кардиопакет).
- CD (Color Doppler) — цветное допплеровское картирование с регулировкой угла допплеровского сдвига.
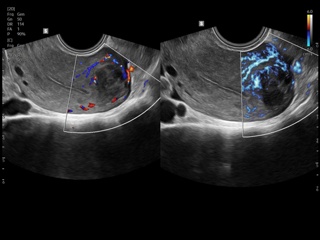
- PD (Power Doppler) — энергетический допплер с возможностью изменения угла и повышенной чувствительностью к медленному кровотоку.
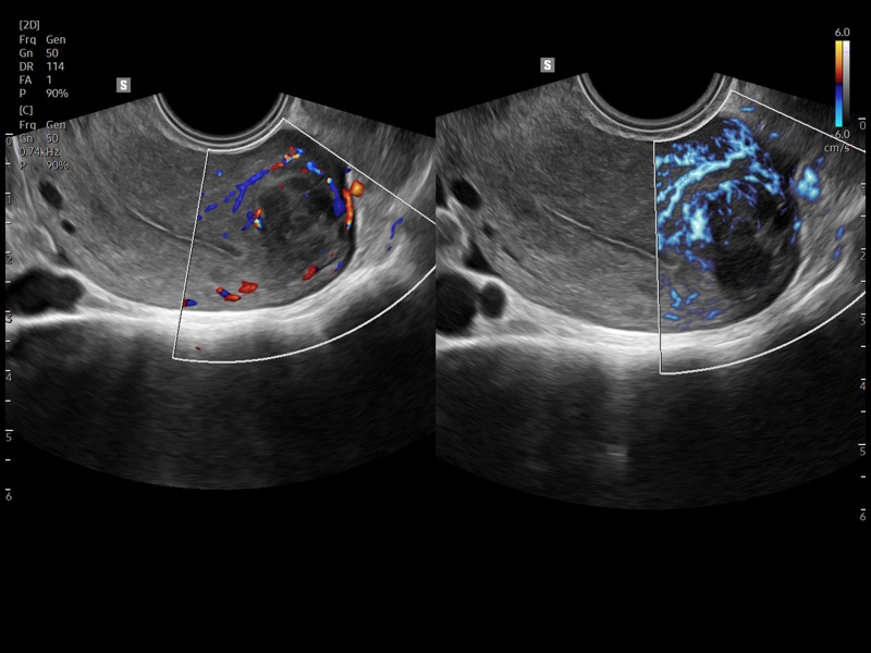
- S-Flow™ (DPDI) — двунаправленный энергетический допплер для визуализации мелких сосудов и медленного кровотока с высокой чувствительностью.
- TDI (Tissue Doppler) — тканевой допплер (требуется кардиопакет).
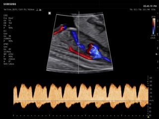
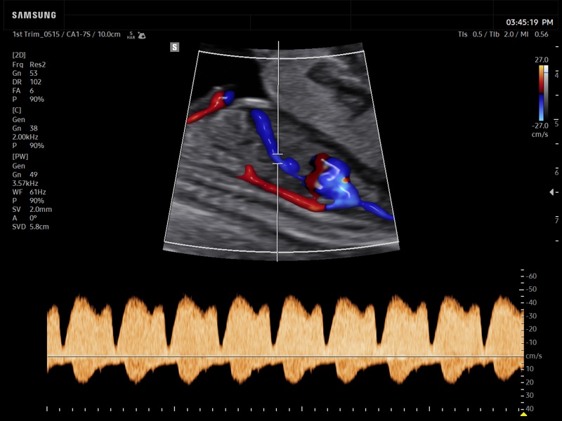
- PW — импульсно-волновой допплер.
- HPRF — высокочастотный импульсно-волновой допплер.
- CW — постоянно-волновой допплер.
- MV-Flow™ — инновационный режим визуализации микроциркуляции и низкоскоростного кровотока (опционально).
- LumiFlow™ — объёмная 3D-визуализация кровотока с реалистичным отображением направления и скорости (опционально).
- ShadowHDR™ — режим улучшенной визуализации тканей за акустическими тенями.
- HQ-Vision™ — интеллектуальная фокусировка изображения для повышения чёткости и детализации структур.
- Одновременное отображение 2-х, 4-х и более изображений, включая комбинации B/C и B/PD в реальном времени.
- Смешанные режимы: B/M, B/PWD, B/C, B/PD, B/PD/PWD, B/C/PWD.
- Трапециевидный режим (для линейных датчиков).
- Масштабирование и динамическая оптимизация изображения (Q-Scan™, Live Q-Scan™).
Опции
- Live ViewAssist – программа полностью автоматического определения, измерения, аннотирования и сохранения снимков ультразвукового сканирования в режиме реального времени.
- EzVolume – программа автоматической сегментации структур плода в режиме объёмного сканирования.
- Slice A – отображение «толстого среза» с повышенной контрастностью для более четкой дифференциации структур для объёмных датчиков
- Пакет опций 5D (5D Heart Color, 5D CNS, 5D NT, 5D LB, 5D Follicle, 5D Limb Vol) – позволяет вывести наиболее значимые проекции структур мозга, сердца плода, а также длинные кости плода при выставлении нескольких маркерных точек и провести в объеме необходимые измерения автоматически.
- Realistic Vue – программа реконструкции реалистичного 3D УЗИ, при котором на объемное изображение накладывается виртуальный источник освещения. Специальный процессинговый алгоритм воспроизводит трехмерную анатомию плода с исключительной детализацией.
- Crystal Vue и Crystal Vue Flow – программа реконструкции прозрачного 3D УЗИ, которое получается при одновременном усилении внутренних и наружных структур. Применяется для визуальной оценки состояния плода и матки, помогает лучше идентифицировать мягкие ткани и кости.
- MV-Flow™ – визуализация микроциркуляции в тканях и органах, в том числе режиме 3D.
- MPI+ – автоматическое измерение индекса Tei для правого и левого желудочка сердца плода.
- LaborAssist – программа определения угла програссии (AoP) во втором периоде родов.
- AutoIMT+ – автоматическое измерение комплекса интима-медиа.
- Elastoscan+ – компрессионная эластография для исследований различных органов и тканей (технология speckle-tracking).
- E-Cervix™ – программа полуавтоматической количественной оценки жесткости шейки матки у беременных женщин (необходим модуль Elastoscan).
- S-Shearwave Imaging – эластометрия сдвиговой волной с двумерным картированием.
- EzHRI – определение гепаторенального индекса для оценки стеатоза на поздних стадиях.
- QUS (TAI, TSI) – определение затухания и рассеивания ультразвукового сигнала для оценки стеатоза печени, определение жировой фракции печени (US-DIFF, аналогично МРТ (MR-DIFF)).
- S-Detect for Breast – программа автоматического обнаружения и анализа образований молочной железы у женщин, измерение и классификация по системе BI-RADS.
- S-Detect for Thyroid – программа автоматического обнаружения и анализа образований щитовидной железы, измерение и классификация по системе TI-RADS.
- IOTA-ADNEX и IOTA-SRrisk – программа ультразвуковой оценки риска опухолей яичников, предложенная группой IOTA (International Ovarian Tumor Analysis, международная группа анализа опухолей яичников).
- 2D Follicle и 5D Follicle – программа автоматического измерения объёма фолликулов (для двумерных и объёмных внутриполостных датчиков).
- Модуль ЭКГ.
- Модуль панорамного сканирования.
- Модуль ADVR - программа записи исследования на флеш-карту (подключение по USB) в режиме реального времени.
- SonoSync – защищенная потоковая передача данных (в реальном времени) для просмотра УЗИ в отдаленных местах, голосовая связь, мультрипросмотр, обмен статическими изображениями между зарегистрированными пользователями.
Инновационные технологии
- Персонализация для врача. HERA Z20 позволяет создать несколько профилей и настроить интерфейс под себя: выбрать пресеты, назначить горячие клавиши, упорядочить элементы управления и шаблоны протоколов EzExam+™. Каждый врач работает в привычной среде без лишних действий.
- PortraitVue™. Алгоритм объёмной реконструкции, который формирует реалистичное изображение лица плода. Использует технологию Smart 4D+ и моделирует освещение, чтобы передать глубину и анатомические особенности.
- HQ Vision™ и ShadowHDR™. HQ Vision делает изображение чётче, а ShadowHDR устраняет тени, возникающие за плотными структурами — например, за черепом или позвоночником плода.
- MV-Flow™ и LumiFlow™. MV-Flow показывает микроциркуляцию и медленный кровоток с высокой детализацией. LumiFlow добавляет объёмное отображение и направление потока, помогая лучше понимать сосудистую структуру тканей.
- AI-инструменты для акушерства и гинекологии. Модули 5D NT™, 5D CNS+, 5D Heart Color™, PelvicAssist™, UterineAssist™, EzVolume™ автоматически находят анатомические структуры, выполняют измерения и формируют отчёты по международным стандартам (IETA, IDEA, ASRM).
- S-Vue™ и S-Harmonic™. Монокристальные датчики и расширенная гармоническая обработка обеспечивают стабильное качество изображения на любой глубине — от поверхностных органов до сердца плода.
- SonoSync™ Система защищённого обмена изображениями в реальном времени. Поддерживает удалённое подключение, голосовую связь, маркеры и одновременный просмотр нескольких изображений (MultiVue). Предназначена для консультаций и обучения, а не для постановки диагноза.
Пакеты расчетов (измерения и отчеты)
- Гинекология. Измерение матки, яичников, фолликулов, эндометрия, кист, опухолей и сосудов малого таза. Поддерживается расчёт кровотока в маточных и яичниковых артериях, автоматическое определение объёмных образований и формирование отчётов по протоколам IETA и IDEA.
- Акушерство. Полный набор биометрии плода: GS, CRL, BPD, OFD, HC, AC, FL и другие параметры. Поддерживаются измерения длинных костей (Humerus, Ulna, Radius, Tibia, Fibula, Clavicula), мозговых структур (Cerebellum, OOD, IOD, большая цистерна, шейная складка, боковые желудочки, носовая кость). Включены расчёты AFI, допплерометрия артерий и вен плода, а также автоматическое определение веса по формулам Hadlock, Hansmann и Merz.
- Сердце плода. Автоматические измерения в B-, M- и спектральных режимах: размеры желудочков, толщина стенок, функциональные показатели и ЧСС. Система 5D Heart Color и HeartAssist™ определяет стандартные срезы и выполняет измерения в автоматическом режиме.
- Кардиология взрослых. Расчёты в B- и M-режимах: размеры полостей, масса миокарда, фракция выброса (Teichholz, Simpson). В допплер-режимах автоматическая трассировка спектра, определение скоростей, градиентов и времени фаз сердечного цикла. Поддерживаются модули AutoEF, Strain+ и Stress Echo для оценки сократимости и резервов ЛЖ.
- Сосудистые исследования. Автоматическая и ручная трассировка допплеровского спектра для сонных, брюшных и периферических сосудов. Вычисляются максимальная и средняя скорость кровотока, градиенты, площадь и диаметр просвета, толщина интима-медиа, объёмный поток. Включён пакет AutoIMT+ и Arterial Analysis 2D для оценки состояния сонных артерий.
- Урология. Расчёт объёма мочевого пузыря, остаточной мочи, объёма предстательной железы и почек (по трем осям или методу эллипсоида).
Датчики для УЗ сканера Samsung Z20
Конвексные датчики
Внутриполостной датчик EA2-11AR (2-11 МГц, угол обзора 150°, прямая рукоятка)
Клиническое применение: акушерство, гинекология, урология.
Внутриполостной датчик EА2-11AV (2-11 МГц, анатомическая рукоятка)
Клиническое применение: гинекология, урология, акушерство.
Конвексный датчик CA1-7S (1-7 МГц, угол обзора 70°, монокристальный)
Клиническое применение: акушерство, брюшная полость, гинекология. Использование при работе с контрастными веществами, сдвиговой волной.
Конвексный датчик CA3-10A (3-10 МГц, монокристальный)
Клиническое применение: акушерство, брюшная полость, гинекология, педиатрия. Детализированная визуализация структур.
Линейные датчики
Линейный датчик LM2-18 (2-18 МГц, матричный, монокристальный)
Клиническое применение: поверхностные органы, сосудистые исследования, педиатрия, эндокринология, маммология.
Объемные датчики
Объемный внутриполостной датчик EV2-12 (2-12 МГц, монокристальный)
Клиническое применение: гинекология, акушерство, урология.
Объемный конвексный датчик CMV1-10 (1-10 МГц, матричный, монокристальный)
Клиническое применение: акушерство, гинекология, урология, абдоминальные исследования.
Объемный конвексный датчик CV1-8A (1-8 МГц, монокристальный)
Клиническое применение: брюшная полость, гинекология, акушерство.
Заявка на получение КП
Заполните заявку на получение коммерческого предложения, чтобы получить информацию по техническим характеристикам, комплектации, стоимости и срокам поставки или позвоните в отдел продаж нашей компании.
Запрос коммерческого предложения
Внимание! Копирование или частичная перепечатка материалов проспекта сканера "Z20-RUS" на русском языке и размещение в интернет без согласия владельца (ЗАО "Медиэйс") запрещена, запрос на копирование материала можно отправить здесь.


















