Uterine fibroids, CFM & MV-Flow

Uterine fibroids, CFM & MV-Flow (echogramm №942)

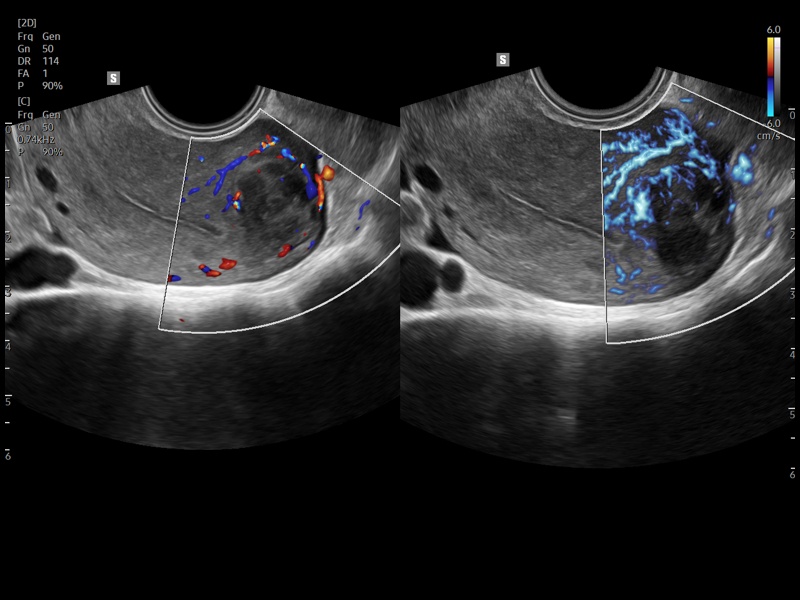
[RU] Ultrasound image №942: Uterine fibroids in CFM (color flow mapping) and MV-Flow™ (microcirculation visualization) mode.

Echogramm was received by ultrasound scanner Z20 (new model).

Check out ultrasound images from Samsung Z20.