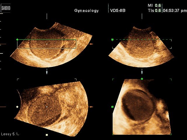
Ovarian cyst, 3D

Ovarian cyst, 3D (echogramm №344)

[RU] Ultrasound image №344: Ovarian cyst in 3D mode.

Echogramm was received by ultrasound scanner SonoAce-8000 (out of production).

Check out ultrasound images from SonoAce-8000.