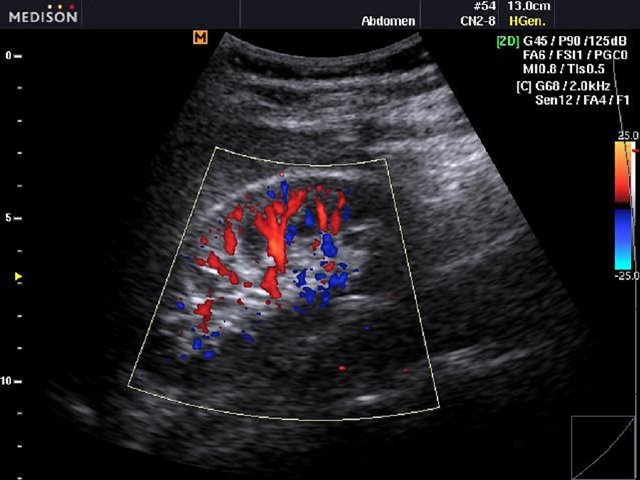
Kidney, color doppler

Kidney, color doppler (echogramm №479)

[RU] Ultrasound image №479: Kidney in color doppler mode (CFM).

Echogramm was received by ultrasound scanner SonoAce-R3 (out of production).

Check out ultrasound images from SonoAce-R3.