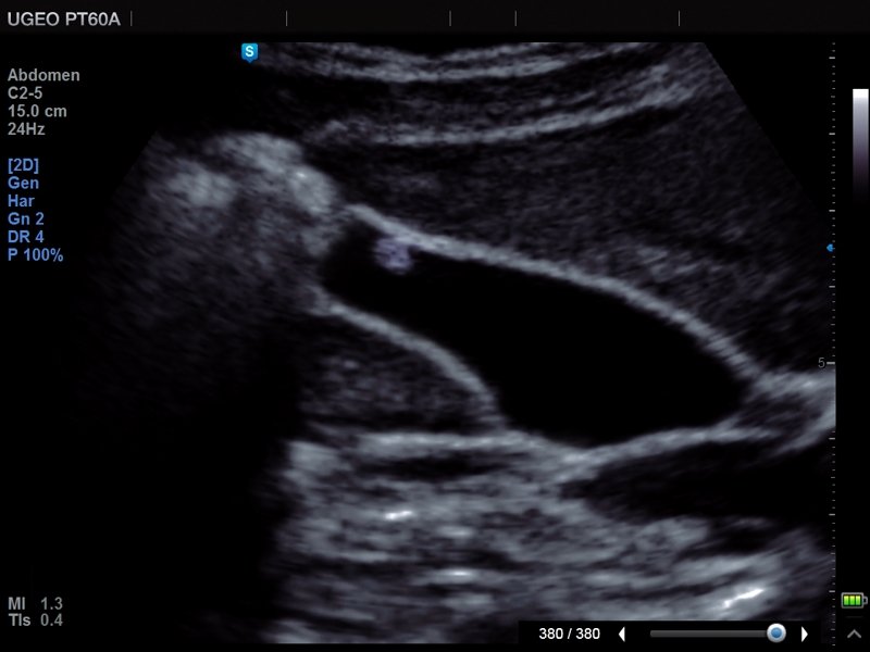
Gall bladder - polyp, В-mode

Gall bladder - polyp, В-mode (echogramm №678)

[RU] Ultrasound image №678: Gallbladder polyp (zoom) in В-mode.

Echogramm was received by ultrasound scanner PT60 (out of production).

Check out ultrasound images from Samsung PT60.