Трудности и ошибки ультразвуковой и рентгеновской диагностики псевдоопухолей почек
Рубрика: Эхография в урологии
УЗ сканер Samsung HM70A
Портативный аппарат экспертного класса, монокристальные датчики, полноэкранный режим отображения, эластография, 3D/4D в корпусе ноутбука. Гибкая трансформация в стационарный сканер при наличии тележки.
Введение
Опухоли почек составляют 2-3% всех злокачественных новообразований. Наиболее часто они возникают в возрасте 40-60 лет. Среди всех опухолей почек в 80-90% отмечается почечно-клеточный рак. В последние годы вероятность его обнаружения возрастает, что связано как с ростом числа всех злокачественных образований, так и с ранней доклинической диагностикой. Распознать злокачественные образования, прежде всего, позволяют постоянно совершенствующиеся и широко применяющиеся ультразвуковые исследования почек.
Первое сообщение о применении ультразвука в диагностике опухолей почек опубликовано в 1963 г. Дж. Дональдом (J. Donald) [1]. С тех пор точность ультразвуковой диагностики опухолей почек возросла с 85-90% до 96-97,3% [1-4]. При использовании современных ультразвуковых сканеров, работающих в режимах тканевой и второй гармоник, а также цветового доплеровского и энергетического картирований и динамической эхоконтрастной ангиографии, чувствительность ультразвукового исследования (УЗИ) составляет 100% при специфичности 92 и предсказуемости положительного теста 98%, и отрицательного - 100% [5].
В литературе часто встречаются публикации, посвященные ошибкам не только ультразвуковой, но и других методов лучевой диагностики. Существует точка зрения, что до 7-9% всех объемных процессов в почках не могут быть дифференцированы до операций по поводу кист, опухолей, абсцессов и т.д. [6]. Картину опухоли почки при ультразвуковых и других лучевых методах диагностики могут симулировать многие процессы. Среди них: разнообразные аномалии почек; "сложные" или смешанные кисты; острые и хронические неспецифические воспалительные процессы (карбункул, абсцесс, хронический, в том числе ксантогранулематозный пиелонефрит); специфические воспалительные процессы (туберкулез, сифилис, грибковые поражения почек); изменения в почках при лейкозах и лимфомах, в том числе и при ВИЧ-инфекции; инфаркты почки; организовавшиеся гематомы и другие причины.
В данном сообщении речь пойдет только об аномалиях почек, которые в литературе определяются термином псевдоопухоли [7]. При них клинические проявления почти всегда отсутствуют или определяются сопутствующими заболеваниями, а установление правильного диагноза возможно только методами лучевой диагностики (рис. 1).
а) Фетальная долчатость, "горбатая" почка.
б) Гипертрофия столба Бертена, увеличенная "губа" над воротами почек.
Материалы и методы
За 1992-2001 гг. наблюдалось 177 пациентов с различным строением паренхимы почек по типу псевдоопухолей почек. Всем неоднократно проводилось ультразвуковое сканирование почек, ультразвуковая доплерография (УЗДГ) сосудов почек - 78, в том числе с использованием режимов второй и тканевой гармоник и энергетического доплера - 15, экскреторная урография (ЭУ) - 54, рентгеновская компьютерная томография (РКТ) - 36, почечная сцинтиграфия или эмиссионная компьютерная томография (ЭКТ) с 99 m Тс - 21.
Результаты исследований
Фетальная дольчатость почки (см. рис.1) с множественными выбуханиями по латеральному контуру почки в данном сообщении не рассматривалась, так как не вызывала необходимости дифференциальной диагностики с опухолью почки. Среди 177 больных с псевдоопухолями почек у 22 (12,4%) выявлен вариант дольчатой почки -"горбатая" почка" (рис. 2).
а) Эхограммы.
б) Серия компьютерных томограмм.
У 2 (1,2%) больных отмечена увеличенная "губа" над воротами почки (рис. 3а-в).
а) Эхограмма.
б) Экскреторная урограмма.
в) КТ с контрастным усилением.
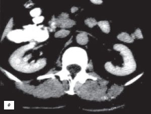
Наиболее частой причиной псевдоопухоли была "гипертрофия" столбов Бертена или "перемычки" паренхимы почек - у 153 (86,4%) пациентов (рис. 3 г-е). "Перемычки" паренхимы были отмечены не только при различных удвоениях чашечно-лоханочных систем почек, но и при различных их сращениях и незавершенных поворотах почек.
г) Эхограмма.
д) Экскреторная урограмма.
е) КТ с контрастным усилением.
В проведении дифференциальной диагностики псевдоопухолей и опухолей почек нуждалось 37 (21%) пациентов. С этой целью проводились, прежде всего, повторные "нацеленные" УЗ-сканирования с использованием различных дополнительных ультразвуковых методик в условиях урологической клиники, а также других методов лучевой диагностики, указанных выше. Только у одного пациента с псевдоопухолью почки для исключения диагноза опухоли произведена эксплоративная люмботомия с интраоперационной биопсией под ультразвуковым контролем. У остальных 36 больных диагноз псевдоопухолей почек был подтвержден с помощью лучевых исследований и ультразвукового мониторинга.
Трудности и ошибки лучевой диагностики при псевдоопухолях почек обычно возникали на первых догоспитальных этапах диагностики. У 34 ( 92%) пациентов они были связаны как с объективными трудностями трактовки необычных эхографических данных, так и их неправильной трактовкой из-за недостаточной квалификации специалистов и сравнительно низкого уровня диагностической аппаратуры. У 3(8%) пациентов отмечены ошибочная трактовка данных рентгеновской компьютерной томографии, когда было отмечено расхождение их с данными повторных УЗ-сканирований и рентгеновской компьютерной томографии в урологической клинике.
Опухоли почек, имевших сочетания их с псевдоопухолью в одной почке, верифицированы у 2 больных после нефрэктомии, а псевдоопухоли - у одного пациента при биопсии под ультразвуковым контролем во время эксплоративной люмботомии; у остальных - при ультразвуковом мониторинге в сроки от 1 до 10 лет.
Обсуждение
Одна из самых частых причин, симулирующих опухоль почки при ультразвуковом исследовании, так называемая псевдоопухоль, в литературе наиболее часто определяется термином гипертрофия столба Бертена.
Как известно, по периферии ультразвукового среза почки корковое вещество образует инвагинации в виде столбов (сolumnae Bertin) между пирамидками. Нередко столб Бертена достаточно глубоко выходит за внутренний контур паренхимы в центральную часть почки - в почечный синус, деля почку более или менее полно на две части. Образующаяся своеобразная паренхиматозная "перемычка" является нерассосавшейся паренхимой полюса одной из долек почек, в процессе онтогенеза сливающихся в почку взрослого человека. Анатомическим субстратом "перемычек" являются так называемые соединительнотканные дефекты паренхимы или пролабирование последней в синус почки [8,9]. В состав ее входят корковое вещество, столбы Бертена, пирамидки почек [10, 11].
Все элементы "перемычки" являются нормальной тканью паренхимы без признаков гипертрофии или дисплазии. Они представляют собой удвоение нормального коркового вещества почки или добавочный слой его, расположенный латеральнее чашечек [7]. Последний является вариантом анатомического строения паренхимы, в частности, кортикомедуллярных взаимоотношений паренхимы и синуса почки [12]. Наиболее четко они могут прослеживаться на ультразвуковых и на компьютерно-томографических срезах почки [9, 11-15].
Отсутствие гипертрофии или дисплазии паренхимы при так называемой гипертрофии столбов Бертена или "перемычках" паренхимы подтвердили и проведенные гистологические исследования биопсийного материала у одного больного с "перемычками" паренхимы, принимавшимися до эксплоративной люмботомии за опухоль почки, а также у двух пациентов при морфологическом исследовании почек, удаленных по поводу сочетания в одной почке опухоли и псевдоопухоли ("перемычки" паренхимы).
В связи с этим, на наш взгляд, наиболее часто встречающийся в литературе, термин гипертрофия столбов Бертена не отражает морфологической сути субстрата. Поэтому мы так же, как и ряд авторов [9, 11, 12] считаем, что более правильным является термин "перемычка" паренхимы. Впервые в отечественной литературе по ультразвуковой диагностике он применен нами в 1991 г. [16]. Необходимо отметить, что термин "перемычка" паренхимы имел в литературе и другие названия (таблица ) [11].
| Происхождение или природа ткани | Термины | Авторы |
|---|---|---|
| Гипертрофированная или необычно широкая ткань | Гипертрофированный столб Бертена | Lafortune M et al., 1986 Wolfman NT et al., 1991 Leekman RN et al., 1983 |
| Фокальная кортикальная гиперплазия | Popky GL et al., 1969 | |
| Широкая аркада | Hodson CJ et al., 1982 | |
| Неправильно расположенная или перемещенная ткань | Лобарный дисморфизм | Carghi A et al., 1971 Dacie JE, 1976 |
| Неправильное положение почечной доли | Carghi A et al., 1971 | |
| Складки кортикальной массы | King MC et al., 1968 | |
| "Почка" в пределах почки | Hodson CJ et al., 1982 | |
| Кортикальная инвагинация и пролабирование столбов Бертена | Lopez FA, 1972 | |
| Масса или псевдомасса | Почечный псевдотумор | Felson B et al., 1969 Lopez FA, 1972 |
| Гломерулярная зона псевдотумора | Hartman GW et al., 1969 | |
| Почечно-кортикальный узелок | Wolfman NT et al., 1991 | |
| Первичный кортикальный узелок | Thornbury JR et al., 1980 | |
| Интермедиальная кортикальная масса | Netter F et al., 1979 | |
| Эмбриональная аномалия | Аберрантная долька почечной ткани | Meaney TF, 1969 |
| Доброкачественная кортикальная "цезура" | Flynn VJ et al., 1972 | |
| Кортикальный островок почки | Flynn VJ et al., 1972 | |
| Развившаяся (совершенная) аномалия | Несвершившаяся попытка дупликации почечной паренхимы | Dacie JE, 1976 |
| Сверхкомплектная доля | Добавочная почечная доля | Palma LD et al., 1990 |
Многолетний опыт экскреторной урографии показал, что чашечно-лоханочные системы имеют крайне большое количество вариантов строения. Они практически индивидуальны не только для каждого человека, но и для левой и правой почек у одного субъекта. С развитием и все более широким использованием УЗИ и РКТ, позволяющим прослеживать как внутренние, так и наружные контуры паренхимы почек, на наш взгляд, аналогичное положение складывается и в отношении вариантов анатомического строения паренхимы почек. Сопоставление эхо- и компьютерно-томографических данных с урографическими при различных вариантах псевдоопухолей почек показало, что между анатомическим строением паренхимы и чашечно-лоханочных систем почек имеется взаимосвязь. Она выражается в конгруэнтности медиального контура паренхимы в эхо- или компьютерно-томографическом изображении с латеральным контуром чашечно-лоханочных систем, условно проведенным на экскреторных урограммах или на компьютерных томограммах с контрастным усилением [4, 17, 18]. Этот симптом прослеживается при обычном строении паренхимы и чашечно-лоханочных систем, а также при "перемычке" паренхимы почки, предсталяющей собой вариант анатомического строения. При опухоли почки, являющейся приобретенным патологическим процессом, конгруэнтность контуров паренхимы и чашечно-лоханочных систем почек нарушается (рис. 4).
Рис. 4. Симптом конгруэнтности контуров паренхимы и чашечно-лоханочной системы почки при неполной "перемычке" паренхимы (объяснение в тексте).
Выводы
Таким образом, впервые выявленные при УЗИ типичные эхографические картины "перемычки" паренхимы почки, "горбатой" почки и увеличенной "губы" над воротами почки без признаков расширения чашечно-лоханочных систем не требуют дальнейшего обследования.
При необходимости дифференциальной диагностики псевдоопухолей и опухолей почек, которая потребовалась у 37(21%) пациентов, мы предлагаем следующий алгоритм их диагностики (рис. 5).
Рис. 5. Алгоритм лучевой диагностики при псевдоопухоли почки.
- Повторное УЗИ квалифицированными специалистами на УЗ-сканерах более высокого класса с использованием УЗДГ, методик картирования, тканевой и второй гармоник.
- Рентгеновская компьютерная томография с контрастным усилением или экскреторная урография с сопоставлением уро- и эхографических данных и данных повторного "нацеленного" УЗИ.
- Методы выбора - почечная сцинтиграфия или эмиссионная компьютерная томография с 99 m Тс (возможны ложноотрицательные результаты при маленьких опухолях).
- При остающихся подозрениях на злокачественную опухоль - биопсия под ультразвуковым контролем (диагностическое значение имеет только положительный результат).
- При отрицательном результате биопсии или отказе больного от биопсии и оперативной ревизии почки проводится ультразвуковой мониторинг с частотой не реже одного раза в 3 месяца в первый год наблюдения, а затем 1-2 раза в год.
Литература
- Демидов В.Н., Пытель Ю.А., Амосов А.В.// Ультразвуковая диагностика в урологии. М.: Медицина, 1989. С.38.
- Hutschenreiter G., Weitzel D. Sonographic: einewertwolle erganzung der urologichen Diagnostic // Aktuel. Urol. 1979. Vol. Bd 10 N 2. P. 45-49.
- Надарейшвили А.К. Диагностические возможности ультразвукового исследования у больных опухолью почки // 1-й съезд Ассоциации специалистов ультразвуковой диагностики в медицине: Тезисы докладов. Москва. 22-25 октября 1991 года. С.121.
- Буйлов В.М. Комплексное применение и алгоритмы ультразвукового сканирования и рентгенодиагностики при заболеваниях почек и мочеточников: Дис. ... докт. мед. наук. М., 1995. С. 55.
- Современная ультразвуковая диагностика объемных образований почек / А.В. Зубарев, И.Ю. Насникова, В.П. Козлов и др. // 3-й съезд Ассоциации специалистов ультразвуковой диагностики в медицине: Тезисы докладов. Москва. 25-28 октября 1999 г. С.117.
- US, CT, Х-ray diagnosis of Renal Masses / R.K. Zeman, J.J. Croman, A.T. Rosenfield et al. // Radiographics. 1986. Vol.6. P. 351-372.
- Thomsen H.S., Pollack H.M. The Genitourinary System // Global TextBook of Radiology. (Ed.) Petterson H. 1995. P. 1144-1145.
- Лопаткин Н.А., Люлько А.В. Аномалии мочеполовой системы. Киев: Здоров'я, 1987. С. 41-45.
- Mindel H.J. Pitfalls in Sonography of Renal Masses // Urol. Radiol. 1989. 11. 87. N 4. Р. 217-218.
- Бурых М.П., Акимов А.Б., Степанов Э.П. Эхография почки и ее чашечно-лоханочного комплекса в сопоставлении с данными анатомического и рентгенологического исследований // Арх.Анат.Гистол.Эмбриол. 1989. Т.97. N9. С.82-87.
- Junctional Parenchyma: Revised Definition of Hypertrophic Column of Bertin / H-Ch. Yeh, P.H. Kathleen, R.S. Shapiro et al. // Radiology. 1992. N 185. Р.725-732.
- Бобрик И.И., Дуган И.Н. Анатомия почек человека при ультразвуковом исследовании // Врач. дело. 1991. N 5. С. 73-76.
- Хитрова А.Н., Митьков В.В. Ультразвуковое исследование почек: Клиническое руководство по ультразвуковой диагностике. М.: Видар, 1996. Т. 1. С. 201-204, 209, 212.
- Builov V. Junctional parenchyma or hypertrophic column of Bertini: the congruence of their contours and calyceal-pelvic system //Abstracts of ECR'99, March 7-12. 1999. Vienna Austria.-Europ. Radiol. Supp.1. Vol.9. 1999. S.447.
- Буйлов В.М., Турзин В.В. Эхотомография и экскреторная урография в диагностике "перемычек" паренхимы почек // Вестн. рентгенол.радиол. 1992. N 5-6. С. 44-51.
- Буйлов В.М., Турзин В.В. Диагностическое значение атипичных "перемычек" паренхимы при сонографии почек // 1-й съезд Ассоциации специалистов ультразвуковой диагностики в медицине: Тезисы докладов. Москва. 22-25 октября 1991 года. С. 121.
- Буйлов В.М. Вопросы терминологии и симптом конгруэнтности контуров "гипертрофированных" колонн Бертини или "перемычек" паренхимы и чашечно-лоханочных систем почек // Вестн. рентгенол. и радиол. 2000. N 2. С. 32-35.
- Буйлов В.М. Алгоритм лучевой диагностики псевдоопухолей почек // Тезисы докл. 8-го Всеросс. съезда рентгенологов и радиологов. Челябинск-Москва. 2001. С. 124-125.
УЗ сканер Samsung HM70A
Портативный аппарат экспертного класса, монокристальные датчики, полноэкранный режим отображения, эластография, 3D/4D в корпусе ноутбука. Гибкая трансформация в стационарный сканер при наличии тележки.
Публикации по теме
- Особенности обследования пациента уретерогидронефрозом верхней половины удвоенной правой почки - Аляев Ю.Г.
- Оценка эффективности лечения обострения хронического простатита с развитием везикулита - Кислякова М.В.
- Трудности и ошибки ультразвуковой и рентгеновской диагностики псевдоопухолей почек - Буйлов В.М.
- Диагностические и лечебные возможности метода ультразвуковой томографии при очаговых поражениях почек - Борсуков А.В.
- Мультиплановая сонография простаты: дополнительный диагностический метод рутинного исследования - S. Ciatti

