Ультразвуковая томография и доплерография в оценке эффективности лекарственного лечения рака молочной железы
Рубрика: Эхография в онкологии
УЗИ сканер WS80
Идеальный инструмент для пренатальных исследований. Уникальное качество изображения и весь спектр диагностических программ для экспертной оценки здоровья женщины.
Введение
Рак молочной железы занимает первое место среди всех злокачественных новообразований и является одной из ведущих причин смертности у женщин [1,6].
В настоящее время для исследования молочной железы применяются новые ультразвуковые методики с использованием эффекта Допплера: цветовое допплеровское картирование и спектральный анализ кровотока, позволяющие одновременно получать изображение интересующего объекта и сосудистой сети органа [2,7,10]. Высокую степень васкуляризации опухоли, выявляемую этими методами при ряде заболеваний молочной железы, исследователи ассоциируют с агрессивным течением заболевания и высокой частотой метастазирования, что очень важно для определения тактики лечения [5,8,9].
Использование спектральной и цветной допплерографии открывает новые возможности не только в диагностике рака молочной железы, но и в усовершенствовании оценки эффективности проводимой терапии. В литературе имеются отдельные публикации по ультразвуковой ангиографии и ее применении в оценке эффективности лечения рака молочной железы с противоречивыми результатами, что требует дальнейших научных изысканий в этой области. В этой связи, несомненно, актуальны вопросы совершенствования ультразвуковых методик с применением допплерографии.
Материалы и методы
Динамическое ультразвуковое исследование проведено 51 пациентке в процессе лекарственного лечения как в качестве неоадъювантной химиотерапии, так и в качестве самостоятельного метода лечения. Из них 37 выполнено хирургическое лечение с морфологическим исследованием операционного материала и определением степени лечебного патоморфоза. В ходе данного исследования было проведено 304 эхографии (от 2 до 7 каждой женщине).
Ультразвуковое исследование выполнялось до и после лечения в следующей последовательности:
- исследование молочных желез и патологического образования в В-режиме;
- энергетическая допплерография опухолевого образования молочной железы;
- исследование надключичных, подключичных, подмышечных, парастернальных областей с обеих сторон в В-режиме;
- энергетическая допплерография лимфатических узлов.
Результаты исследований
С целью оптимизации трактовки данных ультразвукового исследования при контроле за лечением выделены наиболее информативные признаки, которые предположительно позволили судить об эффективности лечения: размеры опухоли, контуры, границы, структура, интенсивность отражений от опухоли, выраженность дорсального эффекта и васкуляризация (рис. 1).
а) B-режим. До лечения: опухоль с нечеткими, неровными контурами, неправильной формы, неоднородной структуры, с выраженной васкуляризацией.
б) Импульсный допплеровский режим. До лечения: опухоль с нечеткими, неровными контурами, неправильной формы, неоднородной структуры, с выраженной васкуляризацией.
в) B-режим. После 4-х курсов химиотерапии: наблюдается уменьшение размеров опухоли и изменение характера васкуляризации.
г) Импульсный допплеровский режим. После 4-х курсов химиотерапии: наблюдается уменьшение размеров опухоли и изменение характера васкуляризации.
При ультразвуковом исследовании в В-режиме выявлены следующие изменения размеров опухолевых узлов после проведения химиотерапии: стабилизация - 47%, уменьшение размеров - 43%, увеличение - 2% случаев. Полная регрессия наблюдалась в 8%, что проявлялось в отсутствии изображения опухоли на ультразвуковых томограммах. При оценке эффективности проведенного лечения с помощью стандартной ультразвуковой методики в В-режиме выяснилось, что контуры, границы и структура 86, 90 и 92% соответственно у большинства пациенток практически не менялись. Таким образом, используя только эти признаки, нельзя достоверно судить об эффективности проводимой терапии.
Одним из проявлений лечебного патоморфоза считается замещение опухоли соединительной тканью, т.е. развитием фиброзных изменений. Подобный феномен характеризуется на ультразвуковых томограммах усилением интенсивности отражений от опухолевого узла. Этот признак в нашем исследовании отмечался в 61% случаев. У 37% больных интенсивность отражений не изменялась.
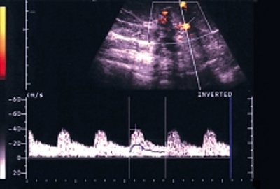
Выраженность дорсального эффекта во многих работах является одним из основных критериев эффективности лечения [3,4]. У 61% больных до лечения определялось усиление интенсивности отражений за опухолью, которое уменьшилось после лечения в 47% случаев. Этот эффект также можно объяснить изменением фиброзного компонента опухоли, что приводит к уменьшению звукопроводимости. Тем не менее при анализе ультразвуковых изображений неизбежно возникают трудности в объективной оценке усиления или ослабления отражений за опухолью, так как отсутствуют способы измерения этого признака, и оценка производится только субъективно. В связи с этим данный признак не может быть надежным для оценки эффективности лечения. Учитывая выше изложенное, возникает необходимость в поиске других диагностических критериев, которые возможно применить, измерить и объективно оценить при характеристике лечебного эффекта. С этой целью был изучен режим энергетической допплерографии (рис. 2).
а) Режим энергетического картирования. До лечения: опухоль с нечеткими, неровными контурами, неоднородной структуры с отражениями пониженной интенсивности, с большим количеством сосудов.
б) Импульсный допплеровский режим. До лечения: опухоль с нечеткими, неровными контурами, неоднородной структуры с отражениями пониженной интенсивности, с большим количеством сосудов.
в) Режим энергетического картирования. После 2-х курсов химиотерапии: сохранилось большое количество внутриопухолевых сосудов, спектральные показатели не изменились.
г) Импульсный допплеровский режим. После 2-х курсов химиотерапии: сохранилось большое количество внутриопухолевых сосудов, спектральные показатели не изменились.
При использовании режима энергетической допплерографии оценивалось изменение васкуляризации в ходе лечения. Отмечалось уменьшение васкуляризации - 47% наблюдений; изменений кровотока не наблюдалось - 29%; произошло усиление параметров кровотока, сопровождающееся увеличением количества сосудов - 10%. Сосуды не визуализировались у 14% пациенток. Полученные при анализе ультразвуковых томограмм данные были сопоставимы с клиническими признаками лечебного эффекта и, по нашему мнению, уменьшение или отсутствие визуализации сосудов может рассматриваться как косвенный признак положительной динамики. Таким образом, изменение характера васкуляризации может служить достаточно надежным критерием эффективности лечения.
В оценке эффективности лечения необходимо учитывать не только изменения в первичной опухоли, но и в регионарных метастазах. Проведя анализ ультразвуковых томограмм зон регионарного метастазирования, установлено, что характер изменений, возникающий в метастазах, в основном коррелировал с изменениями в опухолевом узле.
В ходе лекарственного лечения размеры лимфоузлов уменьшились в 48, остались без изменения в 46 и увеличились в 6% случаев.
Границы метастазов до лечения были ровными в большинстве случаев и в дальнейшем не изменялись в 94% случаев.
Однако контуры в процессе лечения становились нечеткими и размытыми в 54% случаев, поэтому можно рассматривать данный признак в качестве критерия эффективности лечения, в отличие от его неинформативности при оценке первичной опухоли молочной железы.
Повышение интенсивности отражений отмечалось у 60% пациенток, что сопоставимо с аналогичными изменениями в злокачественном новообразовании (61%). В 63% случаев уменьшилась васкуляризация, которая характеризовалась снижением интенсивности потока и количества визуализируемых сосудов, определяемых с помощью энергетического режима допплерографии.
Чувствительность В-режима составила 92%, а энергетической допплерографии - 84%. Точность положительных результатов в оценке эффективности химиотерапии при использовании картирования по энергии выше, чем при исследовании в В-режиме и составляет 84 и 71% соответственно.
Заключение
На основании данных, полученных в результате проведенного исследования, определен комплекс ультразвуковых признаков, позволяющих объективно оценить результаты химиотерапии.
Энергетическая допплерография может быть рекомендована в качестве методики, позволяющей усовершенствовать оценку эффективности проводимого лечения. Тем не менее чувствительность В-режима при контроле за лечением остается выше по сравнению с режимом энергетической допплерографии.
Литература
- Аксель Е.М., Летягин В.П. Статистика рака молочной железы в России // Маммология. 1998. N1. С.3.18.
- Вуфт Л.О. Характеристика новообразований молочной железы методом УЗИ по Допплеру // Тез. докл. конф. Лучевая диагностика и лучевое лечение в медицине. М., 1991. С.133.
- Ли С.А. Ультразвуковая компьютерная томография как метод оценки эффективности неоадъювантной химиотерапии рака молочной железы: Автореф. дис. ... канд. мед. наук. М., 1996.
- Трофимова Е.Ю. Ультразвуковая диагностика рака молочной железы //Российский онкологический журнал. 1997. N6. С. 26-29.
- Возможности метода цветной допплеросонографии в диагностике заболеваний молочной железы / В.П. Харченко, Н.И. Рожкова, Г.А. Зубовский, Н.А. Медведева // Маммология. 1993. N1. С. 22-28.
- Заболеваемость населения Российской Федерации злокачественными новообразованиями в 1993 г. / В.И. Чиссов, В.В. Старинский, Л.В. Ременник и др. // Злокачественные новообразования в Российской Федерации в 1993 г. М., 1995. Ч.1. С. 6-20.
- Doppler ultrasound color flow imaging in the study of breast cancer: Preliminary findings / D.D. Adlerr, P.L. Carson, J.M. Rubin, D. Quinn.Reid//Ultrasound Med. Biol. 1990. N 16. P.553-559.
- Blood flow in breast cancer and fibroadenoma estimated by colour Doppler ultrasonography / C. Holcombe, N. Pugh, K. Lyons et al.// Br. J. Surg. 1995. Jun;82(6):787-788.
- Evaluation of breast tumors with color Doppler imaging: a comparison with image.directed Doppler ultrasound / S.K. Lee, T. Lee, K.R. Lee et al.// J. Clin. Ultrasound. 1995. Vol.23. N 6. P.367-373.
- New perspectives in color ultrasound in breast diagnosis / M. Possover, A. Morawski, E. Muller, A. Hettenbach // Geburtshilfe Frauenheilkd. 1994. Aug; 54(8):432-436.
УЗИ сканер WS80
Идеальный инструмент для пренатальных исследований. Уникальное качество изображения и весь спектр диагностических программ для экспертной оценки здоровья женщины.
Публикации по теме
- Светлоклеточный почечно-клеточный рак в мультилокулярной кисте почки - Буйлов В.М.
- Современные возможности ультразвуковой диагностики новообразований предстательной железы - Минько Б.А.
- Ультразвуковая томография и доплерография в оценке эффективности лекарственного лечения рака молочной железы - Сuнюкова Г.Т.
- Возможности УЗИ при опухолях прямой кишки и контроль за их лечением на примере случая лимфосаркомы нижнеампулярного отдела прямой кишки - Канделаки С.М.
- Случай выявления рака желудка при ультразвуковом исследовании - Лемешко З.А.
