Ультразвуковые признаки кист предстательной железы и перипростатических кист при исследовании трансректальным ультразвуковым датчиком высокого разрешения
Китайская народная республика
Рубрика: Эхография в урологии

УЗИ сканер HS60
Профессиональные диагностические инструменты. Оценка эластичности тканей, расширенные возможности 3D/4D/5D сканирования, классификатор BI-RADS, опции для экспертных кардиологических исследований.
Введение
Кисты предстательной железы и окружающей клетчатки клинически и рентгенологически сложно обнаружить. Симптомы, вызываемые этими кистами, неспецифичны, и пальцевое исследование не разрешает проблему, если какие-либо специфические симптомы не обнаружены. Как обычная рентгенография не позволяет оценить отношение кисты к окружающим тканям, в частности, семявыбрасывающему протоку, сосудам семявыносящего протока, семенным пузырькам, так и КТ не способна различить образование менее 10 мм в диаметре. Хотя кисты предстательной железы и окружающей клетчатки молено легко установить с помощью ЯМР, соотношение цена/эффективность этого исследования не позволяет использовать его при рутинном исследовании предстательной железы.
Разработка ультразвукового метода с использованием трансректального датчика высокого разрешения (ТРУЗИ) на основе высокочастотного ультразвука повысила разрешающую способность метода в дополнение к присущей эхографии способности дифференцировать мягкие ткани. Серьезное преимущество высокого разрешения в распознавании мелких узелковых или кистозных поражений вместе с хорошим качеством изображения, позволяющим установить взаимоотношения соседних структур, обеспечивает замечательные диагностические возможности которые могут быть использованы в повседневной практике. В этой статье авторы представляют картину ТРУЗИ при кистах предстательной железы и окружающей клетчатки из их собственной клинической практики.
Материалы и методы
ТРУЗИ было последовательно проведено у 631 больного в период январь 1993 - июнь 1996 гг. Различные кисты предстательной железы и окружающей клетчатки выявлены у 73 больных, средний возраст которых составил 64,5 лет (25-79 лет). У девятерых из 73 пациентов имела место клиническая симптоматика, им была проведена трансректальная биопсия предстательной железы под контролем ТРУЗИ, аспирация содержимого кисты, которая подтвердила диагноз. У остальных 64 больных найденные изменения явились случайной находкой при ТРУЗИ.
Все больные исходно осматривались в положении лежа на левом боку с применением различного эндоректального оборудования. Больным всегда проводилось аксиальное, сагиттальное и косое исследование. Изображение записывалось на видео и 135-мм пленку.
Кисты | Число кист (больных) | % |
---|---|---|
Врожденные: | 10(10) | 8,47 |
- предстательной маточки | 5(5) | 4,24 |
- парамезонефрического (мюллерова) протока | 3(3) | 2,53 |
- семенного пузырька | 1(1) | 0,85 |
- семявыбрасывающего протока | 1(1) | 0,85 |
Приобретенные: | 108(63) | 91,53 |
- доброкачественные кистозные гиперплазии | 99(54) | 83,90 |
- ретенционные | 8(8) | 6,78 |
- кистозный рак | 1(1) | 0,85 |
Всего | 118(73) | 100 |
Результаты исследования
С помощью ТРУЗИ у 73 больных было обнаружено 118 кист (см. табл.). Из них только 10 врожденных кист (8,47%) у девятерых больных, включая пять кист предстательной маточки (рис. 1), три кисты парамезонефрического (мюллерова) протока (рис. 2,3), одну врожденную кисту семенного пузырька (рис. 4) и одну кисту семявыбрасывающего протока. Большинство кист предстательной железы были приобретенными [108 кист (91,53%) у 63 больных], включая 99 доброкачественных кистозных гиперплазии (рис. 5-7), восемь ретенционных кист (рис. 8) и один кистозный рак (рис. 9) - см. ниже. Киста наибольшего размера составляла 45 мм в диаметре, а наименьшая лишь 3 мм на сканограммах ТРУЗИ высокого разрешения.


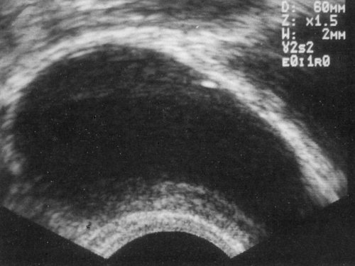
На поперечном (а) и сагиттальном (б) срезах видна маленькая киста срединной линии.

а) На поперечной сканограмме на уровне основания предстательной железы видна большая киста, располагающаяся по срединной линии.

б) На сагиттальном срезе по срединной линии обнаружено анэхогенное кистозное образование конической формы с вершиной, обращенной в сторону семенного бугорка, основание которого выходит за пределы основания предстательной железы.



На поперечном (а) и продольном (б) ультразвуковых срезах через основание предстательной железы справа видны множественные эхогенные очаги на внутренней поверхности стенки кисты. На сагиттальном срезе (в), полученном более латерально, по сравнению с (б), стенка кисты видна более ясно, она утолщена.

а)Трансабдоминальное исследование выявляет очень большую кисту левого семенного пузырька, расположенную позади мочевого пузыря.

б) Сагиттальный срез ТРУЗИ, проходящий через левый семенной пузырек, позволяет выявить слева большую анэхогенную кисту семенного пузырька, пролабирующую в просвет мочевого пузыря и эхогенный камень на передней стенке кисты.

в) Аспирация под контролем сагиттального сканирования ТРУЗИ. Острие иглы видно как эхогенный участок между направляющими линиями.

г) Во время введения антибиотиков в просвет кисты видны множественные эхогенные тени в полости анэхогенного кистозного образования.

д) Отмечено уменьшение кисты во время проведения аспирации.

Поперечный срез ТРУЗИ позволяет обнаружить маленькие мультикисты в расширенной переходной зоне и сдавление периферической зоны.

На поперечном ультразвуковом срезе видна маленькая киста в увеличенной переходной зоне справа, которая сдавливает периферическую зону.


На поперечной (а) и сагиттальной (б) трансректальных ультразвуковых сканограммах видны мультикисты предстательной железы.
Обсуждение
Кисты предстательной железы и окружающей клетчатки встречаются нечасто. Диагноз кист не может быть установлен на основании клинических или рентгенологических данных [1]. По сведениям McDermott и соавт., кисты предстательной железы легко можно обнаружить с помощью магнитно-резонансного исследования благодаря их типичной локализации [2]. В настоящей работе показано, что ТРУЗИ является надежным методом диагностики данной патологии.

На косой поперечной сканограмме видна киста с гладкими стенками в периферической зоне.

а) На сагиттальном срезе через предстательную железу слева видно кистозное образование неправильной формы с неровными стенками и гипоэхогенным участком в нижнем полюсе этого образования.

б) Косой поперечный срез показывает, что гипоэхогенный участок образования расположен в области нижней стенки кисты слева.

в) Сагиттальный срез, полученный во время проведения биопсии позволяет увидеть направляющие и эхогенное острие иглы.
Простатические и перипростатические кисты могут быть врожденными и приобретенными. Врожденные включают в себя кисты предстательной маточки, мюллерова протока, семявыбрасывающего протока, ампулы сосудов семявыносящего протока, кисты семенных пузырьков и врожденные кисты предстательной железы, тогда как к приобретенным относят кисты семявыбрасывающего протока, доброкачественную кистозную гиперплазию, ретенционные кисты, кистозный рак, абсцесс и паразитарные кисты. Диагноз устанавливается прежде всего на основании типичной локализации и характерных очертаний при проведении ТРУЗИ высокого разрешения. Диагноз при некоторых видах кист может быть подтвержден с помощью трансректальной биопсии предстательной железы под контролем ТРУЗИ.
Врожденные кисты
Кисты предстательной маточки - наиболее частый вид врожденных кист предстательной железы. Киста маточки возникает в результате растяжения маточки предстательной железы и располагается по срединной линии позади верхней половины простатический части мочеиспускательного канала. Она происходит из семенного бугорка и соединяется с задней частью уретры. Обычно на сканограммах ТРУЗИ высокого разрешения она имеет гладкие стенки, грушевидную или каплевидную форму с вершиной, обращенной к семенному бугорку, не выступает за основание предстательной железы. Жидкость, аспирированная из кисты, имеет соломенный цвет и не содержит спермы.
Киста мюллерова протока возникает из эмбриональных остатков этого протока, которые в норме должны были редуцироваться в ходе развития плода. Она также располагается по срединной линии позади верхней половины простатической части мочеиспускательного канала и соединена с семенным бугорком с помощью стебелька, однако не соединятся с задней частью уретры. При проведении ТРУЗИ ее также можно обнаружить как грушевидную или каплевидную кисту, вершина которой обращена к семенному бугорку и обычно вызывает растяжение капсулы простаты. Камни и мелкие конкременты мюллеровых кист хорошо видны при ТРУЗИ. Конкременты могут вызывать развитие кровотечений в полость кисты, что приводит к повышению эхогенности содержимого кисты. Врожденные кисты ампулы сосудов семявыносящего протока и семявыбрасывающего протока наблюдаются редко и обычно располагаются латерально, вблизи от срединной линии и кзади от простатической части уретры. Эти парамедиальные кисты на сканограммах ТРУЗИ бывает сложно отличить от медиальных кист.
Врожденные кисты семенных пузырьков возникают вследствие врожденной атрезии семявыбрасывающего протока. Обычно они проявляются к третьему десятилетию жизни. Симптомами заболевания являются гематурия, гипоспермия, нарушения эякуляции, дискомфорт в промежности после эякуляции и односторонний эпидидимит. Обычно это односторонние кисты и нередко они пролабируют в мочевой пузырь. Кисты располагаются выше предстательной железы на некотором расстоянии от срединной линии. Кистозная жидкость нередко имеет геморрагический характер и содержит неактивные сперматозоиды. На сканограммах ТРУЗИ кисты семенного пузырька обычно располагаются на некотором расстоянии от срединной линии, выше предстательной железы и позади мочевого пузыря. Как правило, киста имеет большие размеры. Всегда можно обнаружить внутренние эхосигналы. Кальцификация стенки кисты выглядит как четко различимый, небольших размеров гиперэхогенный участок.
Врожденные кисты предстательной железы располагаются в латеральной доле. Они встречаются редко, сочетаются с другими аномалиями. Признаки таких кист при ТРУЗИ напоминают признаки ретенционных кист. Таким образом визуализировать их сложно, если вообще возможно.
Приобретенные кисты
Доброкачественная кистозная гиперплазия предстательной железы - частое кистозное поражение простаты. Это изменение можно обнаружить в переходной зоне в качестве случайной находки, в большинстве же случаев находят множественные мелкие кисты. Увеличение переходной зоны всегда вызывает сдавление центральной и периферической зон и может создаться впечатление, что киста располагается в этих двух зонах. Помимо собственно кистозных изменений с помощью ТРУЗИ можно выявить увеличение переходной зоны, истончение центральной и периферической зон и множественные камни в хирургической капсуле предстательной железы.
Большая часть кист семявыбрасывающего протока возникает вследствие его обструкции. Обычно они лежат в месте ожидаемого прохождения семявыбрасывающего протока в предстательной железе. Кистозная дилатация семенного пузырька на той же стороне может быть ключом к диагностике. Вследствие одинаковых ультразвуковых признаков, при проведении ТРУЗИ сложно различить кисты мюллерова протока и кисты предстательной маточки. Помочь в дифференциальной диагностике может игольная аспирация под контролем ТРУЗИ.
Ретенционные кисты предстательной железы развиваются вследствие дилатации железистых долек при приобретенной обструкции мелких протоков. Они могут появиться в любой зоне предстательной железы, но наиболее часто - в периферической. В основе диагностики лежит локализация кист в периферической зоне простаты и отсутствие данных за наличие доброкачественной гиперплазии.
Несмотря на то, что рак предстательной железы - частое заболевание, кистозный рак наблюдается редко. Образование, как правило, характеризуется быстрым ростом, имеет неровные стенки, при ТРУЗИ в полости кисты определяется гипоэхогенный участок неправильной формы. Поэтому, если кисты предстательной железы имеют неровные стенки или гипоэхогенный участок, то необходимо обязательное проведение тонкоигольной биопсии под контролем ТРУЗИ.
Литература
- Nghiem HT, Kellman CM and Sandberg SA, et al. Cystic lesions of the prostate. Radiographics 1990; 10: pp. 635-650.
- McDermott VG, Meakem III TJ and Stolpen AH, et al. Prostatic and peripro-static cysts: findings on MR imaging. AJR 1995; 164: pp. 123-127.

УЗИ сканер HS60
Профессиональные диагностические инструменты. Оценка эластичности тканей, расширенные возможности 3D/4D/5D сканирования, классификатор BI-RADS, опции для экспертных кардиологических исследований.
Публикации по теме
- Ультразвуковая визуализация гранулем яичек в двух случаях туберкулезного (специфического) орхиэпидидимита - Andonov Chavdar
- Трудности УЗ-диагностики при макрогематурии - Замалина Н.И.
- Ультразвуковые признаки кист предстательной железы и перипростатических кист при исследовании трансректальным ультразвуковым датчиком высокого разрешения - Li Sheng-li
- Исследование анального сфинктера с помощью эндосонографии после его дилатации - Mohamed A.M.A. Megid
- Оценка роли высокочастотного трансректального УЗИ в дифференциальной диагностике рака предстательной железы и доброкачественной гипертрофии - Li Sheng-li