Ультразвуковая диагностика венозных тромбозов, имеющих паранеопластический генез (клинические наблюдения)
Городская больница N1,
Курск, Россия
Рубрика: Эхография в онкологии

УЗИ сканер RS80
Эталон новых стандартов! Беспрецедентная четкость, разрешение, сверхбыстрая обработка данных, а также исчерпывающий набор современных ультразвуковых технологий для решения самых сложных задач диагностики.
Введение
Частота развития венозного тромбоза изменяется в достаточно широком диапазоне, зависящем от области поражения, а также причины, обусловившей тромбообразование. На аутопсии тромбоз воротной вены диагностируется в 0,14 - 0,6 % случаев, в то же время у пациентов, умерших от цирроза печени, пилетромбоз выявляется значительно чаще и достигает 9%. Частота тромбозов нижней полой вены и/или печеночных вен составляет 0,04 - 0,16 % [1].
Тромбоз воротной вены может быть следствием различных заболеваний: злокачественных новообразований, панкреатита, внутрибрюшного абсцесса, травмы, цирроза печени, воспалительных заболеваний толстого кишечника и т.д.
Пилетромбоз чаще развивается из-за локального нарушения системы свертывания крови и образования сгустка в просвете воротной вены. Эхографическая картина характеризуется появлением в просвете воротной вены неоднородного образования повышенной или смешанной эхогенности с неровными и нечеткими контурами, препятствующего кровотоку, размеры которого могут быть различными - от 0,5 см до полной окклюзии воротной вены и(или) ее ветвей [2].
По локализации различают 3 варианта пилетромбоза: радикулярный (корешковый), терминальный и трункулярный. Радикулярная форма характеризуется образованием тромбов в корешковых ветвях воротной вены - мезентериальных сосудах и селезеночной вене. Терминальный пилетромбоз возникает при наличии тромбов в просвете мелких разветвлений воротной вены внутри печени и в ее капиллярах. Трункулярный тромбоз воротной вены (стволовой пилетромбоз) может развиться первично в самом стволе и нередко вторично вследствие распространения тромботического процесса на ствол воротной вены из ее корешков [1].
Клиническая картина тромбоза воротной вены разнообразна и зависит от скорости формирования тромбов, локализации, степени закупорки сосудов, развития коллатеральных анастомозов. Острый тромбоз воротной вены чаще наблюдается при полицитемии, циррозе печени, после спленэктомии. Внезапно появляются разлитые боли в животе, тошнота, кровавая рвота, коллапс. Хронический пилетромбоз развивается медленно, от нескольких месяцев до нескольких лет. В случае образования кавернозных тромбов в просвете воротной вены больные могут жить годами и даже десятилетиями. Нередко начальным симптомом является желудочно-кишечное кровотечение. В большинстве случаев имеет место спленомегалия, а увеличение печени, кроме случаев цирроза, не является характерным признаком. В развернутой стадии болезни в клинической картине преобладают повторные желудочно-кишечные кровотечения [3, 4]. Изменения показателей функциональных проб печени зависят как от степени поражения сосуда, так и тяжести основного заболевания (цирроз, опухоль печени и др.), на фоне которого развился тромбоз воротной вены.
Тромбоз нижней полой вены и(или) печеночных вен регистрируется в 0,04 - 0,16 % вскрытий [1].
Эхографически тромбоз нижней полой вены проявляется наличием в просвете сосуда образования повышенной или смешанной эхогенности, чаще с неоднородной структурой, в которой могут выявляться мелкие анэхогенные трубчатые образования (участки реканализации) [2].
Клиническая картина тромбоза нижней полой вены зависит от ряда факторов: скорости формирования и распространения тромба; степени окклюзии просвета нижней полой вены; компенсаторных возможностей коллатералей; уровня тромбоза нижней полой вены, для которого принято выделять дистальный, почечный и печеночный сегменты. При локализации поражения в печеночном сегменте и переходе тромбоза на печеночные вены формируется синдром Бадда-Киари [5].
В литературе имеются данные о том, что тромбоз нижней полой вены не всегда сопровождается тяжелыми клиническими проявлениями, а чаще протекает бессимптомно. Последний вариант имеет место при хронической форме заболевания, неокклюзирующем тромбозе нижней полой вены, не имеющем характерных клинических признаков даже при большой распространенности процесса. Начальными симптомами болезни могут быть увеличение печени, боли в правом подреберье, рвота. На развернутой стадии нарастает гепатомегалия, печень становится плотной, в ряде случаев появляются спленомегалия, расширенные вены на передней брюшной стенке и грудной клетке. В терминальной стадии резко выражены симптомы портальной гипертензии. При острой форме заболевания имеют место те же симптомы, но скорость их появления и прогрессирования составляет несколько дней [1]. Нередко изолированный тромбоз печеночного сегмента нижней полой вены возникает при поражении этого отрезка вены опухолевым процессом [5].
Материалы и методы
Больной Х., 71 год, больная Б., 80 лет обследовались в условиях амбулаторного приема в отделении ультразвуковой диагностики МУЗ ГБ N 1 Курска. Сонографическое исследование проводилось по традиционной методике на современном ультразвуковом сканере, оснащенном линейным и секторным датчиками с частотой 3,5 Mгц. Учитывая скрининговый характер обследования больных, подробный сбор анамнеза, оценка функциональных, лабораторных данных не проводилась.
Клиническое наблюдение 1
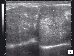
Больной Х. направлен кардиологом для проведения УЗИ сердца (по поводу ишемической болезни сердца, стабильной стенокардии напряжения III ФК: НIIА) и гепатобилиарной зоны (в связи с жалобами на ноющие боли, чувство тяжести в правом подреберье). При проведении эхографии печени размеры последней соответствовали верхней границе нормы. Паренхима визуализировалась диффузно неоднородной, в ней лоцировались гипо- и изоэхогенные округлые и овальные образования различного размера (от 1,5 до 4,8 см) преимущественно с неоднородной внутренней структурой, несколько нечеткими контурами (рис. 1 а,б).

а) Косое сканирование.
В просвете расширенных правой и левой ветвей воротной вены определялось лентовидное средней эхогенности образование (рис. 2), занимающее также часть просвета ствола воротной вены.

Рис. 2. Эхограмма тромбированных долевых ветвей воротной вены (отмечены курсором) у больного Х.
При исследовании брюшного отдела аорты выявлены округлые и овальные гипоэхогенные образования с однородной внутренней структурой размером от 1,5x2,3 см до 2,3x4,1 см, располагающиеся парааортально (рис. 3). Имеющаяся эхографическая картина была расценена как метастатическое поражение печени, парааортальных лимфатических узлов с формированием тромбоза ствола и долевых ветвей воротной вены. Пациент направлен к онкологу для дообследования и лечения.

Рис. 3. Эхограмма парааортальных лимфатических узлов у больного Х. Продольное (а) и поперечное (б) сканирование 1 - аорта; 2 - лимфатические узлы.
Клиническое наблюдение 2
Больная Б. обследована в отделении ультразвуковой диагностики по направлению онколога для верификации диагноза рака правой почки, стадия II, КГП. При сонографии правой почки определялось замещение значительной ее части овальным гетерогенным образованием размером 7,2x6,1 см. В оставшейся нормальной ткани почки лоцировался конкремент размером 16 мм (рис. 4). Левая почка была интактна.

Рис. 4. Эхограмма правой почки больной Б.
1 - опухоль почки; 2 - печень; 3 - конкремент; 4 - почка.
При исследовании печени отмечались незначительное увеличение ее размеров и диффузная неоднородность паренхимы, обращало на себя внимание наличие свободной жидкости в брюшной и правой плевральной полостях. В просвете нижней полой вены визуализировалось гетерогенное образование, заполнявшее практически полностью просвет печеночного сегмента вены и содержавшее анэхогенные включения различной формы и размера (рис. 5).

Рис. 5. Эхограмма тромба нижней полой вены у больной Б. (продольное косое сканирование)
1 - печень; 2 - тромб в просвете нижней полой вены; 3 - участки реканализации.
Эхокардиография позволила выявить в правом предсердии неоднородное, повышенной эхогенности образование, проникавшее в него из нижней полой вены (рис. 6).

Рис. 6. Эхокардиограмма больной Б. (субкостальная позиция)
1 - печень; 2 - тромб, проникающий из нижней полой вены в правое предсердие; 3 - правое предсердие; 4 - левое предсердие; 5 - правый желудочек; 6 - левый желудочек.
Таким образом, УЗИ позволило подтвердить неопластическое поражение правой почки, установить наличие мочекаменной болезни, а также диагностировать тромбоз нижней полой вены, протяженность которого включала печеночный сегмент вены до впадения ее в правое предсердие.
Обсуждение
Феномен паранеопластического синдрома известен клиницистам более 100 лет. В настоящее время описано более 60 клинических "масок" злокачественных опухолей [6]. Одним из их вариантов является развитие у онкологических больных тромботического синдрома. У больных с опухолевым процессом обнаруживаются значительные изменения в системе гемостаза: гиперфибриногенемия, гиперреактивность тромбоцитарного звена гемокоагуляции, повышение концентрации продуктов деградации фибриногена и угнетение фибринолиза, что обусловлено длительным поступлением из опухоли прокоагулирующих компонентов в общий кровоток. Развитие тромбозов может предшествовать другим клиническим симптомам на несколько месяцев, а в отдельных случаях - на 1-1,5 года. Почти в половине случаев тромбофлебит у больных старше 65 лет имеет паранеопластическую природу. Выраженность тромбозов коррелирует со стадией заболевания [6, 7].
Общей характеристикой обоих случаев является развитие тромбоза на фоне неопластического процесса, а также хронический вариант тромбообразования, который не сопровождается существенной клинической манифестацией данной патологии. Отсутствие выраженной симптоматики венозного тромбоза было, вероятно, обусловлено частичной реканализацией тромбов и развитием коллатерального кровообращения.
Наличие пилетромбоза у больного Х. и метастатический характер поражения печени, парааортальных лимфатических узлов, а также тромбоз нижней полой вены у пациентки Б. на фоне опухоли правой почки позволяет рассматривать тромбообразование как паранеопластический синдром. Использование УЗИ в обоих случаях позволило обнаружить патологические изменения, которые либо не проявлялись клинически, либо могли быть отнесены на счет основной патологии. Приведенные наблюдения подтверждают возможность быстрой и точной топической диагностики тромбоза нижней полой и воротной вен как в процессе скринингового, так и верифицирующего УЗИ.
Литература
- Редкие и атипичные синдромы и заболевания в клинике внутренних болезней/Под ред. И.М. Ганджи - Киев: Здоровье. - 1983. - 544 с.
- Клиническое руководство по ультразвуковой диагностике/Под ред. В.В. Митькова. - М.: Видар. - 1996. - Т. 1. - 334 с.
- Подымова С.Д. Болезни печени. - М.: Медицина. - 1984. - 480 с.
- Клиническая гастроэнтерология/Под ред. Г.И. Бурчинского. - Киев: Здоровье. - 1978. - 640 с.
- Болезни сердца и сосудов/Под ред. Е.И. Чазова. - М.: Медицина. - 1992. - Т. 3. - 446 с.
- Кухтевич А.В., Русских А.В., Кузнецова А.И., Горбачева Е.Н. Паранеопластический синдром (лихорадка, анемия, мигрирующие тромбофлебиты) при раке яичников//Тер. арх. - 1999. - N 10. - С. 46-48.
- Панченко В., Ершов А. О паранеопластическом синдроме//Врач. - 1999. - N 7. - С. 28-29.

УЗИ сканер RS80
Эталон новых стандартов! Беспрецедентная четкость, разрешение, сверхбыстрая обработка данных, а также исчерпывающий набор современных ультразвуковых технологий для решения самых сложных задач диагностики.
Публикации по теме
- Выявление опухоли передней брюшной стенки (наблюдение из практики врача лучевой диагностики) - Авраменко Г.В.
- Ультразвуковая диагностика плоскоклеточного рака мочевого пузыря - Суворова Н.Б.
- Ультразвуковая диагностика венозных тромбозов, имеющих паранеопластический генез (клинические наблюдения) - Поветкин С.В.
- Опыт использования интраоперационной ультразвуковой компьютерной томографии в уточняющей диагностике злокачественных новообразований печени - Патютко Ю.И.
- Светлоклеточный почечно-клеточный рак в мультилокулярной кисте почки - Буйлов В.М.