Эхография в диагностике и лечении бранхиальных кист шеи
Рубрика: Эхография поверхностно расположенных органов

УЗИ сканер HS60
Профессиональные диагностические инструменты. Оценка эластичности тканей, расширенные возможности 3D/4D/5D сканирования, классификатор BI-RADS, опции для экспертных кардиологических исследований.
Введение
Бранхиальные кисты шеи являются сравнительно редкой врожденной аномалией кистозных образований шеи. Накопленный в мировой литературе опыт позволяет считать ультразвуковой метод диагностики ведущим [8-10]. Цитологическое исследование содержимого кисты, полученное при пункции,и эндоскопическое исследование грушевидного синуса для обнаружения свищевого хода, соединяющего его с бранхиальной кистой шеи, уточняют диагностику данной аномалии [11,14]. В связи с редкостью бранхиальных кист шеи и особенностями их ультразвуковой диагностики, влияющими на тактику оперативного лечения, приводим наши наблюдения.
Материалы и методы
В клинике МНРЦ проведена комплексная диагностика и хирургическое лечение бранхиальной кисты шеи у 4 больных ( 2 женщины и 2 мужчины) в возрасте 6, 8, 12 и 24 лет. У 2 больных бранхиальные кисты шеи не имели клинических проявлений и были обнаружены при профосмотрах как "кисты щитовидной железы", у 2 пациентов бранхиальная киста шеи вызывала локальную деформацию подчелюстной области и нижней трети шеи. При пальпации в 3 случаях бранхиальные кисты шеи локализовалась в паратрахеальной области, в непосредственной близости от нижнего полюса левой доли щитовидной железы, оттесняя ее кпереди и кверху,в 1 случае - в верхней трети правой половины шеи.
Наблюдение 1
Больная, 24 года, за 3 мес до обращения обнаружила в правой подчелюстной области "образование". При осмотре в клинике в области верхней трети шеи справа пальпируется безболезненное образование плотнотестоватой консистенции величиной 3,2 см. При ультразвуковом исследовании выявлено эхоплотное образование пониженной плотности, однородное, с четкими контурами, величиной 4,5х8х3,5 см, располагающееся над сосудистым пучком, заполненное, вероятно, густым жидким содержимым (рис. 1 а,б).

а) Поперечная проекция.

б) Продольная проекция.
При компресии отмечено изменение формы образования. После пункции под УЗ-контролем получена прозрачная густая жидкость. Цитологическое заключение - картина мазка из кистозной полости, клеток злокачественного образования не выявлено. Во время операции проведено удаление кисты и ее ножки, которая была обнаружена только при интраоперационном обследовании. Ножка прослеживалась от кисты до мышц глотки и в пределах видимой части была иссечена. Гистологическое заключение - бранхиогенная киста.
Наблюдение 2
Больной, 12 лет. При профосмотре 2 года назад выявлена "киста левой доли щитовидной железы", проводилась гормональная терапия. Пальпаторное обследование: щитовидная железа увеличена до 1 ст., мягкая, смещаема, безболезненная, однородная. Дополни тельных образований не выявлено. При ультразвуковом исследовании в области нижнего полюса левой доли определяется полостное образование 3,2х1,8х1,8 см, овальной формы, с четкими ровными контурами. Внутри образования - мелкодисперсная взвесь, пристеночно-гиперэхогенное округлое образование диаметром 3 мм (рис. 2а). От верхней части бранхиальной кисты шеи к верхнему полюсу щитовидной железы, располагаясь кзади от нее, определяются две близко расположенные линейные структуры пониженной плотности длиной 3,5 см - ножка кисты (рис. 2б).

а) Поперечная проекция.

б) Косая проекция.
Выполнена тонкоигольная аспирационная биопсия - клеток злокачественного образования не выявлено. Операция - удаление боковой кисты шеи. В области нижнего полюса левой доли щитовидной железы определяется не связанное с ней кистозное образование, оттесняя ее кпереди, и распространяется вдоль левой боковой стенки трахеи над возвратным нервом. Острым и тупым путем образование мобилизовано и удалено; выделить ножку кисты на всем протяжении не удалось из-за ее обрыва. Макроскопически: кистозное образование 3,5х2,5х2,5 см, овальной формы, желтоватого цвета, мягкоэластичной консистенции, в области верхнего полюса пальпируется уплотнение хрящевой плотности. На разрезе: капсула утолщена, заполнена слизистым, светло-желтым содержимым; образование в области верхнего полюса - участок хряща. Морфологическое заключение: бранхиогенная киста.

в) Поперечная проекция.

г) Косая проекция.
При контрольном ультразвуковом исследовании через 2 года признаков рецидива кисты не выявлено, однако кзади от левой доли щитовидной железы отчетливо определяется неудаленная ножка кисты (рис. 2 в,г).
Наблюдение 3
Больная, 8 лет. При осмотре педиатром 2 года назад выявлен "узел щитовидной железы", однако при ультразвуковом исследовании диагностирована киста в области нижнего полюса шитовидной железы, размером 1,0х0,3х х0,6 см. При биопсии выявлены лимфоидные клетки. На фоне проводимой гормональной терапии отмечен рост кисты. При поступлении пациентка жаловалась на повышенную возбудимость, сердцебиение. При пальпации щитовидная железа не увеличена; в области нижнего полюса левой доли определяется эластичное образование размером 1,5 см. При ультразвуковом исследовании кзади от левой доли щитовидной железы, оттесняя ее кпереди и кверху, определяется анэхогенное образование размером 1,6х0,7х х1,5 см с утолщенными стенками и эффектом акустического усиления. Образование располагается вне щитовидной железы, прослеживается фрагмент ножки, идущей вдоль трахеи (рис. 3 а,б).

а) Поперечная проекция.

б) Косая проекция.
Операция: в области нижнего полюса левой доли щитовидной железы определяется образование 2х1,5 см, не связанное с железой, оттесняющее ее кпереди и распространяющееся вдоль левой боковой стенки трахеи над возвратным нервом. Киста выделена, прослежена ее ножка до места впадения под перстневидный хрящ, проведено ее отсечение и удаление кисты и ножки единым блоком. Макроскопически: полостное образование, заполненное прозрачным содержимым, стенки кисты равномерные, мягкие, без инфильтрации. Морфологическое заключение: стенка кисты представлена плотной волокнистой соединительной тканью, выстилка кисты не сохранилась.
Наблюдение 4
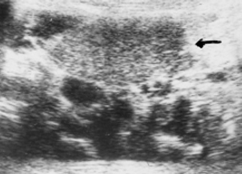
Больной, 6 лет. Родители заметили утолщение левой нижней половины шеи, при ультразвуковом исследовании диагностирована киста в области нижнего полюса левой доли. При осмотре в клинике МНРЦ в области нижнего полюса левой доли пальпируется плотное образование величиной 2х1 см. Ультразвуковое исследование: у нижнего полюса левой доли железы, смещаяя ее кверху, определяется полостное образование, в области верхней стенки прослеживается тонкая ножка кисты, идущая вдоль трахеи (рис. 4).

Рис. 4. Эхограмма в косой проекции - отчетливо определяется кистозное образование и фрагмент ножки (стрелка).
При аспирационной биопсии выявлены мелкие лизированные клетки. Произведена операция удаления боковой кисты шеи. В области нижнего полюса левой доли щитовидной железы определяется кистозное образование 3х2 см, не связанное с железой, оттесняющее левую долю кпереди и распространяющееся вдоль боковой стенки трахеи над возвратным нервом. Интраоперационно в кисту под давлением введено 0,5 мл раствора метиленовой сини, затем киста выделена, прослежена ее ножка до места впадения под перстневидным хрящем, проведено ее отсечение и удаление единым блоком с кистой. Макроскопическое исследование: полостное образование, заполненное прозрачным содержимым, стенки кисты ровные, мягкие, без инфильтративных изменений. Морфологическое заключение: стенка кисты представлена плотной волокнистой соединительной тканью.
Обсуждение
Возникновение бранхиальных кист шеи обусловлено нарушением эмбрионального формирования органов головы и шеи из бранхиального аппарата, который получает окончательную диффференцировку к концу 6-й недели внутриутробного развития плода. Он состоит из бранхиальных дуг, бранхиальной расщелины и бранхиальных выпячиваний (мешков). Каждое из этих образований служит основой для развития в дальнейшем четко определенных структур. На протяжении развития бранхиальная расщелина и выпячивания облитерируются, за исключением первой бранхиальной расщелины, из которой формируется наружный слуховой проход. Согласно классификации Техасской ассоциации детских хирургов, различают следующие варианты бранхиальной кисты шеи: 1-й, 2-й, 3-й и 4-й бранхиальной расщелины (рис. 5).

Рис. 5. Локализация кист (1-4) бранхиальной расщелины (данные Техасской ассоциации детских хирургов).
Бранхиальные кисты шеи 4-й бранхиальной расщелины встречаются достаточно редко и составляют около 2% всех аномалий бранхиального аппарата [1]. Тракт берет свое начало из грушевидного синуса, затем он выходит из глотки выше гортанного нерва и щитовидного хряща, спускается вниз латеральнее трахеи и возвратного нерва в грудную клетку. Обогнув дугу аорты, поднимается на шею позади общей сонной артерии, а перед повторным спуском огибает подъязычный нерв и открывается на коже кпереди от кивательной мышцы. Полный вариант аномалии казуистически редок. Обычно бранхиальная киста шеи локализуется в области нижнего полюса одной из долей щитовидной железы, чаще слева [2-4]. Бранхиальные кисты шеи 4-й бранхиальной дуги клинически проявляются в виде рецидивирующего воспалительного процесса в нижней трети шеи, нередко сопровождаемого развитием гнойного тиреоидита [5-7].
В 3 случаях представленных нами наблюдений с учетом их локализации бранхиальных кист шеи были производными 4-й бранхиогенной дуги и в 1 случае - 2-й дуги. При ультразвуковом исследовании 3 бранхиальные кисты шеи определялись как анэхогенные образования с эффектом акустического усиления ниже и кзади от нижнего полюса левой доли щитовидной железы. В 1 случае внутри кисты определялась мелкодисперсная взвесь, в другом - густое эхопрозрачное содержимое. Стенки бранхиальной кисты шеи в 3 наблюдениях были тонкими, в 1 - утолщенными. У 1 пациента внутри бранхиальной кисты шеи дополнительно определялось гиперэхогенное образование овальной формы без акустической тени, при последующем гистологическом включении выявлен участок хрящевой ткани.
Бранхиальные кисты шеи из 4-й бранхиальной дуги могут симулировать патологию щитовидной железы и их необходимо дифференцировать от других эмбриональных кист и кист паращитовидных желез и тимуса. Отличительной особенностью бранхиальной кисты шеи является наличие кистозной ножки, идущей по задней поверхности доли железы, вдоль трахеи и заканчивающейся в грушевидном синусе. Ножка хорошо дифференцируется при продольном ультразвуковом сканировании на фоне ткани щитовидной железы. Необходимо отметить, что А. Ahuja и соавт. [12] выделяют несколько вариантов ультразвукого изображения бранхиальной кисты шеи: анэхогенные образования (41%), гипоэхогенные, гомогенные с внутренними включениями (23,5%), псевдосолидные и гетерогенные (с наличием перегородок); при этом данные не зависят от наличия или отсутствия признаков инфицирования кисты. В наших наблюдениях 2 кисты определялись как анэхогенные образования, одна из них - как анэхогенное образование с наличием мелкодисперсной взвеси, а другая - как "псевдосолидное образование". В 3 случаях при тщательном полипроекционном сканировании, особенно в режиме увеличения, удалось выявить ножку кисты, диагностика которой является патогномоничной для бранхиальных кист шеи. В 1 наблюдении ножка кисты была обнаружена только во время интраоперационной ревизии. В наших наблюдениях ножки кист проходили вдоль трахеи, кпереди и латеральнее от возвратного нерва и заканчивались в области перстневидного хряща. Ни в одном случае внутригрудной компонент бранхиальной кисты шеи не был выявлен.
При цитологическом исследовании в 1 случае выявлены лимфоидные [1], во 2 случае - эпителиальные клетки с выраженными дегенеративными изменениями, в 2 других случаях клеточных элементов не обнаружено. По данным литературы, при цитологическом исследовании на фоне оксифильных слизеподобных масс и клеточного детрита выявляются обычные или дегенеративно измененные клетки плоского эпителия, при инфицировании - сегментоядерные лейкоциты в различном количестве [13]. Определенную помощь в правильной диагностике бранхиальной кисты шеи может оказать эндоскопическое исследование грушевидного синуса с целью обнаружения фистулы [14].
Несомненно, широкое внедрение в клиническую практику ультразвковых аппаратов высокого разрешения значительно улучшило диагностику заболеваний области шеи на ранней, доклинической стадии. У 2 пациентов данная аномалия была выявлена случайно при профосмотрах, у 1 - родителями замечена деформация шеи. В первом наблюдении больная, 24 года, сама заметила деформацию правой подчелюстной области и при пальпации выявила "опухоль". Необходимо отметить, что нецеленаправленная диагностика "кист" и невыявление ножки не позволило в самом начале провести уточненную дифференциальную диагностику "кист" от бранхиальных кист шеи и провести адекватное лечение.
Лечение бранхиальной кисты шеи обычно хирургическое и включает удаление кисты и ее ножки вплоть до грушевидного синуса, что позволяет исключить возможность рецидива бранхиальной кисты шеи. Интраоперационное контрастирование кисты и ее ножки метиленовым синим у детей предпочтительнее рентгеновской фистулографии из-за отсутствия лучевой нагрузки и возможной аллергической реакции на контрастное вещество.
Литература
- Choi S.S., Zalzai G.H. Branchial anomalies: a rewiew of 52 cases. Laryngoscope, 1995, v. 105, N 9, p. 909-913.
- Chamdi S., Freedman A., Just N., et al. Fourth branchial cleft cyst // J. Otolaryngol, 1992, v. 21, N 6, p. 447-449.
- Takimoto T., Yoshizaki T., Ohoka. H. et al. Fourth branchial pouch anomaly // J. Laryngol. Otol, 1990, v. 104, N 11, p. 905-907.
- Takimoto T., Itoh M., Furukawa M., et al. Branchial cleft (pouch) anomalies: a review of 2 cases // Auris. Nasus. Larynx, 1991, v. 18, N1, p. 87-92.
- Jordan J.A., Graves J.E., Manning S.C. et al. Endoscopic cauterization for treatment of fourth branchial cleft sinuses // Arch. Otolaryngol. Head. Neck. Surg, 1998, v. 124, N 9, p. 1021-1024.
- Burstin P.P., Briggs R.J. Fourth branchial sinus causing recurrent cervical abscess // Aust. NZ. J. Surg., 1997, v. 67, N 2-3, p.119-122.
- Hamoir Rombaux P., Cornu A.S. et al. Congenital fistula of the fourth branchial pouch // Eur. Arch. Otorhinolaryngol, 1998, v. 255, N 6, p. 322-324.
- Baatenburg J.R.J., Rongen R.J., Lameris J.S. et al. Evaluation of branchiogenic cysts by ultrasound ORL // J. Otorhinolaryngol. Relat. Spec, 1993, v. 55, N 5, p. 294-298.
- Grasi M.C., Hajek P., Lapin et. al. Ultrasound diagnosis of branchiogenic neck cysts // Laryngol. Rhinol. Otol, 1985, v. 64, N 10, p. 513-514.
- Reynolds J.H., Wolinski A.P. Sonographic appearance of branchial cysts // Clin. Radiol., 1993, v. 48, N 2, p. 109-110.
- RamosAGabatin A., Watzinger W. Fine needle aspiration and cytology in the preoperative diagnosis of branchial cyst // South. Med. J., 1984, v. 77, N 9, p. 1187-1189.
- Ahuja A.T., King A.T., Metreweli C. Second branchial cleft cysts:variability of sonographic appearances in adult cases // Am. J. Neuroradiol, 2000, v. 21, N 2, p. 315-319.
- Ивасенко П.И, Иванова С.В, Иванкович В.А и соавт. Эмбриональные кисты и свищи головы и шеи / Труды института стоматологии. - 1999. - N 1.
- Nicollas R., Ducroz V., Garabedian E.N. et al. Fourth branchial pouch anomalies: a study of six cases and review of the literature // Int. J. Pediatr. Otorhinolaryngol, 1998, v. 44, N 1, p. 5-11.

УЗИ сканер HS60
Профессиональные диагностические инструменты. Оценка эластичности тканей, расширенные возможности 3D/4D/5D сканирования, классификатор BI-RADS, опции для экспертных кардиологических исследований.
Публикации по теме
- Интраструмальное введение медицинского озона при лечении очаговых образований щитовидной железы под ультразвуковым контролем - Кузьмичев П.П.
- Опыт применения комплексного ультразвукового исследования с использованием цветного доплеровского картирования в диагностике и дифференциальной диагностике очаговых образований щитовидной железы - Курзанцева О.М.
- Эхография в диагностике и лечении бранхиальных кист шеи - Дергачев А.И.
- Клинические аспекты ультразвуковой диагностики заболеваний щитовидной железы - Шилин Д.Е.
- Заболевания щитовидной железы - сравнение ультразвукового и других методов исследования - Khalil I Okour