Ультразвуковая диагностика фитобезоаров желудка. Клиническое наблюдение
Москва, Россия
Рубрика: Эхография брюшной полости

УЗИ сканер HS50
Доступная эффективность. Универсальный ультразвуковой сканер, компактный дизайн и инновационные возможности.
Введение
Безоарами (от франц. - bezoard) называются инородные тела, образующиеся в самом желудке вследствие попадания в него, прежде всего с пищей, таких ее компонентов, которые не перевариваются, а накапливаются и формируют инородное тело. Различают несколько видов безоаров: фито-, трихо-, шеллако- (из красящих веществ, шеллака, смолы), гемато- (из сгустков крови), себо- (из некоторых видов жира, козьего сала), псевдо- и полибезоары [1, 2]. Чаще других встречаются фитобезоары, на долю которых приходится до 80% всех безоаров. Формируются они из растительной клетчатки, кожицы семян или косточек плодов хурмы, диких слив, вишни, винограда, инжира, фиников, черемухи. По некоторым данным, безоары могут образовываться вследствие размножения в желудке грибов Candida. Скорость образования фитобезоара зависит от его органической природы и колеблется от 1-5 дней до десятков лет. Очень быстро фитобезоары формируются из незрелой хурмы, содержащей в большом количестве смолистые и вяжущие вещества, которые склеивают остатки пищи, прежде всего растительной, в компактную массу.
В зависимости от длительности существования безоары могут иметь консистенцию от мягкой до каменистой плотности, быть единичными и множественными, размером от нескольких миллиметров до 10 см и более.
Трихобезоары (впервые заболевание описал в 1912 г. В.М. Мыш), образующиеся при попадании в желудок шерсти, волос, встречаются, как правило, у парикмахеров, а также у лиц с неуравновешенной психикой, страдающих непреодолимым желанием кусать волосы.
Безоары не имеют четкой клинической симптоматики, основными методами диагностики являются рентгенологический и эндоскопический.
Накопленный за последние годы опыт успешной ультразвуковой диагностики различных патологических состояний верхних отделов пищеварительного тракта [3-5], позволяет диагностировать все новые заболевания пищевода, желудка, двенадцатиперстной кишки, что ранее считалось невозможным.
В настоящем сообщении хотим поделиться своим опытом ультразвуковой диагностики фитобезоара желудка.
Описание наблюдения
Больная К., 1932 года рождения, обратилась к участковому врачу поликлиники с жалобами на появившееся в последние 1-2 мес чувство тяжести в подложечной области, усиливавшееся после приема пищи. Анамнез жизни без особенностей.
При осмотре: состояние удовлетворительное. Нормального питания. Кожные покровы и видимые слизистые чистые, нормальной окраски. Сердечно-сосудистая система и легкие - в пределах возрастной нормы. Пульс 80 ударов в 1 мин, ритмичный, удовлетворительного наполнения. А/Д = 130/80 мм рт.ст. Язык влажный, обложен серым налетом. Живот при пальпации мягкий, безболезненный во всех отделах. Обращает на себя внимание наличие в левом верхнем квадранте живота ближе к средней линии овальной формы тугоэластической консистенции безболезненного, смещаемого образования длиной до 15 см.
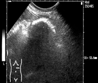
С подозрением на опухоль брюшной полости больная направлена на ультразвуковое исследование, при котором: печень в размере не увеличена, контур ее ровный, паренхима однородная. Очаговой патологии не выявлено. Внутри- и внепеченочные желчные протоки, вены, портальная вена не расширены. Желчный пузырь средних размеров, стенка его уплотнена, содержимое однородное. Поджелудочная железа нормальных размеров, структура однородная. Вирсунгов проток не визуализируется. Диаметр сечения пищеварительного тракта на уровне пищеводного отверстия диафрагмы 14,8 мм, толщина стенки 2,5 мм. В левом подреберье на уровне левой окологрудинной линии визуализируется гиперэхогенное образование 53,6 х 94,9 мм, дающее за собой акустическую тень (рис. 1). Селезенка имеет нормальные размеры и структуру. Селезеночная вена не расширена. Почки обычно расположены, не увеличены, ЧЛС - не расширена, конкрементов не определяется. Брюшной отдел аорты нормального диаметра, стенка его уплотнена. Свободной жидкости в брюшной полости не определяется.

а) Поперечное сечение.

б) Продольное сечение.
Для решения вопроса об органопринадлежности выявленного образования больной предложено выпить 500 мл кипяченой воды. После заполнения желудка водой (рис. 2) в полости его визуализируется гиперэхогенное овальной формы образование 53,7 х 117,1 мм, дающее за собой акустическую тень. Толщина стенки желудка не превышает 5,3 мм, перистальтика не прослеживается.

а) Поперечное сечение.

б) Продольное сечение.
Заключение: инородное тело (безоар) желудка. Признаки грыжи пищеводного отверстия диафрагмы. Для дообследования рекомендуется проведение ЭГДС и рентгеноскопии желудка.
В процессе расспроса больной было уточнено, что на протяжении многих лет, являясь большой любительницей хурмы, каждую зиму она практически ежедневно съедала по 1-2 плода. В текущем году в один из дней ей было съедено 1,5 кг хурмы.
При эндоскопическом исследовании, проведенном на следующий день, выявлено следующее: эндоскоп введен свободно. Пищевод не изменен, кардия смыкается полностью. Видимая слизистая желудка розовая, с мелкоочаговой гиперемией в антруме, перистальтика равномерная. Луковица 12-перстной кишки не деформирована, слизистая ее пастозная. В желудке определяется безоар больших размеров (рис. 3), занимающий почти полностью всю полость желудка, сужающийся к нижней трети тела, при пальпации плотный. В процессе исследования провести его деструкцию не удалось.

Рис. 3. Эндоскопическая картина безоара желудка.
Заключение: безоар желудка. Гастрит. Дуоденит.
Рентгенологически имела место следующая картина: акт глотания не нарушен. Пищевод и кардия свободно проходимы. Имеется аксиальная нефиксированная грыжа пищеводного отверстия диафрагмы. Желудок обычно расположен. Натощак содержит небольшое количество жидкости и слизи, удлиненной формы, провисает. В полости желудка содержится инородное тело - безоар - около 4 х 11 см, несколько сужающийся книзу (рис.4). На фоне безоара рельеф слизистой тела и угла желудка проследить не удается. В антральном отделе складки слизистой среднего калибра, эластичные. Подвижность желудка сохранена. Перистальтика прослеживается только в антральном отделе желудка. Эвакуация своевременная. Компрессия безболезненная. Луковица и нисходящие отделы 12-перстной кишки без особенностей. Заключение: аксиальная нефиксированная грыжа пищеводного отверстия диафрагмы. Безоар желудка.

Рис. 4. Рентгенограмма безоара желудка.
Для решения вопроса о характере лечения пациентка с диагнозом фитобезоар желудка направлена в хирургическое отделение стационара.
Вывод
Настоящее наблюдение доказывает возможность ультразвуковой диагностики инородных тел желудка, в частности, безоаров (фитобезоаров) и тот факт, что эхография может претендовать на роль не только вспомогательного, но и наравне с рентгенологическим основного метода диагностики данного патологического состояния.
Выявив объемное образование, нельзя было исключить его принадлежность к толстому кишечнику, в связи с чем потребовалось проведение дополнительного исследования после заполнения желудка водой. Проводя эхографию органов брюшной полости и получив данные о наличии в области проекции желудка гиперэхогенного образования, дающего акустическую тень, врач ультразвуковой диагностики должен в своем заключении указать на возможное наличие безоара желудка.
Литература
- Хирургические болезни / Под ред. М.И. Кузина. - М.: Медицина, 1986. - 564 с.
- Справочник по гастроэнтерологии /Под ред. В.Х. Василенко. М.: Медицина, 1976. - С.64 - 65.
- Бурков С.Г., Арутюнов А.Г., Гурова Н.Ю. Дивертикул 12-перстной кишки, симулировавший кисту поджелудочной железы // Sonoace International, 2001. - Вып. 8. - С. 34 - 37.
- Клиническое руководство по ультразвуковой диагностике /Под ред. В.В. Митькова. IV том. - М.: Видар, 1997. - 388 с.
- Berstad A., Hausken T., Gilja O.H. Ultrasonography of the human stomach // Scand. J. Gastroent., 1996. - Vol. 220 Suppl. - Pp. 25-82.

УЗИ сканер HS50
Доступная эффективность. Универсальный ультразвуковой сканер, компактный дизайн и инновационные возможности.
Публикации по теме
- Ультразвуковая диагностика холестероза желчного пузыря - Никитина М.Н.
- Трехмерное ультразвуковое изображение абдоминальных структур - H.X. Xu
- Ультразвуковая диагностика фитобезоаров желудка. Клиническое наблюдение - Бурков С.Г.
- Ультразвуковая диагностика псевдоопухолевой формы актиномикоза печени - Дергачев А.И.
- Трехмерная эхография органов пищеварения (аналитический обзор) - Бурков С.Г.