Лучевая диагностика патологии желчного пузыря и желчевыводящих путей
Рубрика: Эхография брюшной полости

УЗИ аппарат RS85
Революционные изменения в экспертной диагностике. Безупречное качество изображения, молниеносная скорость работы, новое поколение технологий визуализации и количественного анализа данных УЗ-сканирования.
Введение
Заболевания желчного пузыря - это особый раздел в современной медицине, которому специалисты уделяют повышенное внимание [1-8]. С одной стороны, патология желчного пузыря (например, полипы), может протекать совершенно бессимптомно, но имеет тенденцию к малигнизации [4-10]. С другой стороны, некоторые заболевания, такие как конкременты желчного пузыря и желчевыводящих путей, сопровождаются сильными приступами болей и могут привести к тяжелым осложнениям. В результате длительного давления камнем на слизистую оболочку пузыря в ней могут возникнуть язвы и пролежни, образоваться дивертикулоподобные выпячивания, внутренние и наружные желчные свищи, перфоративные отверстия с развитием подпеченочного или поддиафрагмального абсцессов, желчного перитонита. Перемещение желчных камней может сопровождаться закупоркой пузырного протока, водянкой желчного пузыря или его эмпиемой. При обтурации камнем выходного отдела общего желчного протока наступает механическая желтуха. Длительное нахождение камня в желчных протоках и присоединение инфекции ведут к развитию холангита. Выпадение крупного желчного камня из желчного пузыря в кишку через образовавшееся соустье может привести к непроходимости кишечника [1, 3, 5-8, 10-12]. Поэтому своевременная диагностика заболеваний желчного пузыря и протоковой системы имеет очень важное значение.
Образование желчи в печени - процесс непрерывный, однако поступление ее в кишечник в норме происходит преимущественно в процессе пищеварения. Это обеспечивается резервуарной функцией желчного пузыря и его ритмическими сокращениями с последовательным расслаблением сфинктера Люткенса и далее сфинктера Одди, расположенного в месте впадения общего желчного протока в кишку (рис. 1).

1 - дно желчного пузыря;
2 - пузырный проток;
3 - собственная печеночная артерия;
4 - воротная вена;
5 - желудочно-печеночная связка;
6 - левая доля печени;
7 - хвостатая доля печени;
8 - нижняя полая вена;
9 - хвостатый отросток;
10 - шейка желчного пузыря;
11 - правая доля печени;
12 - тело желчного пузыря;
13 - квадратная доля печени.
Натощак желчный пузырь содержит 30-80 мл желчи, но он может концентрировать печеночной желчи в 5-10 раз больше. При застое желчи в пузыре ее количество может увеличиваться. У женщин желчный пузырь в состоянии функционального покоя имеет несколько больший объем, чем у мужчин, но сокращается быстрее. С возрастом сократительная функция желчного пузыря снижается.
Ультрасонография является одним из самых информативных и доступных инструментальных методов диагностики заболеваний желчного пузыря [4-10].
Акустические свойства ультразвука позволяют выявлять мельчайшие эхогенные структуры, находящиеся в желчном пузыре.
С помощью УЗИ значительно сокращается время диагностического поиска. В отличие от компьютерной томографии (КТ) и магнитно-резонансной томографии (МРТ) при УЗИ врач-исследователь сам непосредственно участвует в получении изображения, что имеет свои плюсы и минусы. Положительной является возможность более целенаправленного и детального исследования изучаемого объекта. Отрицательная сторона - качество изображения и его расшифровка в значительной степени зависят от опыта исследователя и правильности применяемых им методик.
Полипы в желчном пузыре имеются у 6% всего населения. В 80% случаев полипы в желчном пузыре отмечаются у рожавших женщин в возрасте после 30 лет. Так как полипы клинически себя никак не проявляют, диагностика их чаще всего случайна и происходит при проведении УЗИ у пациента по совершенно другим причинам [4-10].
Хотя причины появления полипов на стенках в желчного пузыря не установлены, а симптомы неочевидны, известны четыре типа таких образований. Наиболее часто по статистике в желчном пузыре у пациентов сегодня встречаются следующие типы [4, 5, 9].
Воспалительный полип желчного пузыря - является своего рода воспалительной реакцией самой слизистой оболочки желчного пузыря, проявляется у пациента в виде различных разрастаний грануляционной внутренней ткани пораженного органа.
Нередко врачи также ставят диагноз аденомы желчного пузыря. Так происходит потому, что это своего рода доброкачественная опухоль в виде полиповидного разрастания железистой ткани желчного пузыря больного.
Также следует отметить папиллому или полипоз желчного пузыря у некоторых пациентов. Такая папиллома представляет собой доброкачественную опухоль слизистой оболочки пузыря в виде различных по виду и структуре своеобразных папиллом или сосочковых разрастаний.
К самому распространенному типу относят так называемый холестериновый полип желчного пузыря, который представляет собой возвышение слизистой оболочки пузыря с холестриновыми отложениями на ней. Холестероз достаточно часто встречается среди пациентов, направленных на операцию с клиническим диагнозом "полипы" или "полипоз желчного пузыря", по некоторым данным от 42 до 95% случаев.
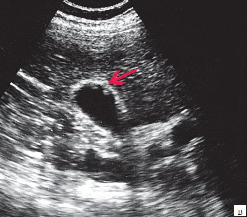
Ультрасонография является эффективным средством выявления полиповидной формы холестероза [4-10]. Традиционной считается следующая сонографическая характеристика холестериновых полипов: неподвижные гиперэхогенные структуры, которые не дают акустической тени и прикрепляются к стенке желчного пузыря. Контуры таких образований, как правило, ровные, а размеры таких образований различны, чаще не превышают 10 мм (рис. 2).

a) Одиночный полип в желчном пузыре (гиперэхогенное пристеночное неподвижное образование, с ровными контурами, без акустической тени).

б) Одиночный полип в желчном пузыре.

в) Полиповидно-сетчатая форма холестероза, полипы размерами до 5 мм, повышенной эхогенности.

г) Одиночный полип в желчном пузыре.
Однако, по некоторым данным, размеры холестериновых полипов могут быть более 20 мм. Кроме того, полипы больших размеров (в 7% от общего числа) могут иметь пониженную эхогенность и фестончатый контур.
Мелкие холестериновые включения, образующие диффузную сеточку в толще подслизистого слоя размерами 1-2 мм, выглядят как локальное утолщение или уплотнение стенки желчного пузыря и в некоторых случаях (см. рис. 2) вызывают реверберацию (эхографический симптом "хвост кометы").
При распространенном холестерозе визуализируются множественные гиперэхогенные образования, дающие картину "земляничного" желчного пузыря (рис. 3).

а) Множественные полипы в желчном пузыре, картина "земляничного" желчного пузыря.

б) В режиме цветного допплеровского картирования кровоток не регистрируется.
Характер ножки полипа традиционно учитывается в онкологической практике как признак, ассоциированный со злокачественной природой образования. Вероятность возможной малигнизации больше, если у него имеется широкое основание, а не тонкая ножка. Однако необходимо принимать во внимание возможность ложноположительной диагностики широкого основания при полипах больших размеров из-за их ограниченной смещаемости в просвете желчного пузыря. Дрожание, напоминающее пламя свечи, наблюдается у полипов небольших размеров и вытянутой формы, и указывает на их тонкую ножку [4-10].
Желчнокаменная болезнь (cholelithiasis; калькулезный холецистит) - заболевание, обусловленное наличием конкрементов в желчном пузыре и желчных протоках. Частота образования желчных камней увеличивается с возрастом, достигая 45-50% у женщин старше 80 лет. У мужчин желчные камни встречаются в 3-5 раз реже, у детей - крайне редко. Только в 20% случаев желчные камни существуют бессимптомно ("немые" конкременты) [5].
Существует два основных механизма образования желчных камней: печеночнообменный и пузырно-воспалительный. Печеночно-обменный механизм заключается в формировании желчных камней вследствие таких факторов, как несбалансированное питание с преобладанием в рацио не грубодисперсных животных жиров (свиного, бараньего, говяжьего) в ущерб растительным; нейроэндокринные нарушения, например, связанные с дисфункцией эндокринной системы возрастного характера и гипофункцией щитовидной железы; поражения печеночной паренхимы токсического и инфекционного генеза; гиподинамия и застой желчи. В результате печень продуцирует литогенную желчь, т. е. способную образовывать холестериновые или смешанные камни. При пузырно-воспалительном механизме желчные камни формируются под влиянием воспалительного процесса в желчном пузыре, приводящего к физико-химическим сдвигам в составе желчи (дисхолии). Изменение рН желчи в кислую сторону, характерное для любого воспаления, приводит к уменьшению защитных свойств коллоидов, в частности белковых фракций желчи, переходу мицеллы билирубина из взвешенного состояния в кристаллическое. При этом образуется первичный кристаллизационный центр с последующим наслоением других ингредиентов желчи, слизи, эпителия и др.
Желчные камни - плотные образования, количество которых может составлять от одного до нескольких тысяч, размер - до нескольких сантиметров в диаметре, масса - до 30 г и более. В желчном пузыре чаще встречаются камни округлой формы, в общем желчном протоке - эллипсоидной или продолговатой, во внутрипеченочных протоках ветвистой. В зависимости от состава различают холестериновые, пигментно-холестериновые, холестериново-пигментно-известковые, пигментные и известковые камни; на распиле они имеют пигментное ядро и слоистое строение.
Клиническая картина желчнокаменной болезни многообразна [5-6, 10]. Условно выделяют хроническую болевую, хроническую рецидивирующую, диспептическую, стенокардитическую и ряд других клинических форм. Характерным ультразвуковым признаком конкремента в желчном пузыре является его акустическая тень. Такая тень возникает из-за высокой плотности камня по сравнению с мягкими тканями. Наличие или отсутствие тени помогает отличить камень от полипа желчного пузыря (рис. 4).

а) Одиночный конкремент желчного пузыря (подвижная гиперэхогенная структура, дающая четкую теневую дорожку).

б) Множественные конкременты желчного пузыря.

в) Множественные конкременты желчного пузыря, изменение расположения при смене положения тела (подвижность конкрементов).

г) Отключенный (полностью заполненный конкрементами) желчный пузырь, уменьшение размеров желчного пузыря (сморщивание).
Холедохолитиаз. Предположить наличие конкрементов в желчевыводящих протоках можно прежде всего на основании классической триады Шарко - боль в верхнем отделе справа или посередине живота, озноб с лихорадкой и желтуха. Однако эта триада встречается только у 30% больных с холедохолитиазом. По данным литературы, примерно 75% больных холедохолитиазом жалуются на боли в правом верхнем квадранте живота или эпигастральной области, а холестатическая желтуха развивается у части пациентов, в 18-84% случаев она имеется в анамнезе или присутствует на момент осмотра [1, 2, 11-13].
Наиболее труден для клинической диагностики бессимптомный холедохолитиаз, который встречается у 19,8% пациентов.
Судьба конкремента в общем желчном протоке может быть разной. Он может вместе с током желчи "проскочить" через сфинктер Одди в двенадцатиперстную кишку (ДПК), не вызвав никаких осложнений. Этот вариант возможен, если конкремент имеет маленький размер (1-3 мм). Другой вариант - вентильный камень (более 3 мм) в холедохе, не мешающий оттоку желчи, но и не выходящий в кишку. Такой конкремент может находиться в холедохе дни, месяцы и даже годы, увеличиваясь в размерах. В конце концов, он закупоривает холедох, вызывая нарушение оттока желчи из печени и/или панкреатического сока из поджелудочной железы. Даже самый маленький камень может вызвать такую закупорку. Блокада общего печеночного протока нарушает отток желчи из печени, развивается механическая желтуха.
Хорошо известные сонографические признаки холедохолитиаза делятся на прямые и косвенные. К прямым ультразвуковым признакам относится расширение холедоха более 7 мм и наличие в его просвете гиперэхогенных структур различного размера, дающих теневую дорожку. К косвенным ультразвуковым признакам относится билиарная гипертензия, увеличение головки поджелудочной железы, наличие изменений паренхимы печени в паравезикальной зоне. Однако локализация камня в интрапанкреатической части холедоха и в ампуле Фатерова сосочка значительно затрудняет его диагностику. Если размеры камня меньше, чем диаметр холедоха, или он частично перекрывает просвет протока, желтуха может иметь ремиттирующий характер. В таких случаях полная обтурация может возникать при перемещении камня по протоку и закупоривании холедоха в местах физиологического сужения. Тогда возникает стойкая билиарная гипертензия с соответствующей клинической картиной желтухи [1-3, 11, 13].
В качестве иллюстрации приводим собственные клинические наблюдения.
Клиническое наблюдение 1
Больная Т., 62 лет, поступила в клинику с жалобами на боли в правом подреберье, пожелтение кожных покровов.
Из анамнеза известно, что в 1991 году больной была выполнена холецистэктомия по поводу желчнокаменной болезни.
При УЗИ органов брюшной полости, выполненном при поступлении, установлено: печень несколько увеличена в размерах, эхоструктура диффузно неоднородна, повышенной эхогенности, визуализируются расширенные внутрипеченочные протоки. Воротная вена 12 мм. Желчный пузырь удален. Общий желчный проток расширен до 15 мм, сужен к терминальному отделу. В просвете общего желчного протока множественные конкременты в диаметре от 8 до 15 мм. Поджелудочная железа нормального размера, контуры ровные, четкие, структура неоднородная, повышенной эхогенности, проток 1 мм. Селезенка нормального размера, структурно не изменена. Селезеночная вена 7 мм. Заключение: состояние после холецитэктомии. Ультразвуковая картина низкого печеночного блока, обусловленного холедохолитиазом (рис. 5).


а, б) В просвете общего желчного протока множественные гиперэхогенные структуры различного диаметра, дающие четкую акустическую тень.
Для уточнения диагноза проведена эндоскопическая ретроградная холангиопанкреатография (ЭРХПГ) с эндоскопической папиллосфинктеротомией (ЭПСТ). Устье БДС канюлировано боковым папиллотомом, аспирационная проба положительная, получена мутная желчь. При введении 40 мл контрастного вещества контрастируется расширенный холедох до 25 мм, долевые и сегментарные протоки, множественные округлые подвижные тени конкрементов от 0,8 до 20 мм. Боковым папиллотомом разрез в анатомических пределах 1,0 см. При ревизии общего желчного протока корзинкой Дормиа извлечено 3 конкремента диаметром от 15 до 20 мм, замазкообразная желчь с хлопьями. Сброс контраста в ДПК умеренный. Заключение: холедохолитоэкстракция (рис. 6).


а, б) Конкременты холедоха. Наличие на фоне контрастной тени общего желчного протока множественных дефектов наполнения, проявляющихся округлыми и полигональными участками просветлений по ходу тени желчных протоков.
Учитывая наличие крупных конкрементов и невозможность удалить все конкременты при ЭРХПГ пациентке проведена холедохолитотомия, холедохолитоэкстракция.
Послеоперационный период протекал без осложнений. В удовлетворительном состоянии больная выписана под наблюдение хирурга по месту жительства.
Клиническое наблюдение 2
Больная Л., 74 лет, поступила в клинику с диагнозом: желчнокаменная болезнь. Хронический калькулезный холецистит. Множественный холедохолитиаз. Механическая желтуха тяжелой степени. Гнойный холангит.
При УЗИ органов брюшной полости установлено: печень несколько увеличена в размерах, контуры ровные, четкие, структура неоднородная, повышенной эхогенности. Воротная вена 12 мм. Расширение внутрипеченочных протоков, долевые 5 мм, общий печеночный проток (ОПП) расширен до 20 мм, просвет представлен структурами по плотности мелких конкрементов, замазки, распространяющиеся на просвет правого долевого протока. Желчный пузырь размером 89x32 мм, стенка - 2 мм, в нем подобные массы. Общий желчный проток - 15 мм, просвет также представлен конкрементами и замазкой. Поджелудочная железа нормального размера, контуры ровные, структура диффузно неоднородная, повышенной эхогенности, проток не расширен. Селезенка нормального размера, средней эхогенности, селезеночная вена 7 мм. Заключение: конкременты желчного пузыря. Ультразвуковая картина низкого печеночного блока, обусловленного холедохолитиазом (рис. 7).

а) Увеличенный желчный пузырь (синяя стрелка), конкременты общего желчного протока (красная стрелка).

б) Множественные гиперэхогенные структуры в просвете общего желчного протока, с четкой теневой дорожкой.
При проведении ЭРХПГ установлено: БДС находится в типичном месте, диаметром 1 см, на дне дивертикул без признаков воспаления, диаметром до 0,4 см. Слизистая над ним гиперемирована. Устье визуализируется. Желчь не поступает. Продольная складка просматривается частично, так как находится практически полностью в дивертикуле. Канюляция БДС боковым папиллотомом. Аспирационная проба положительная. Введено 20 мл контрастного вещества. Контрастирован общий желчный, общий печеночный, долевые печеночные, терминальные отделы сегментарных протоков. В просвете холедоха определяются множественные дефекты наполнения от 0,5 до 2 см, холедох расширен до 2,5 см в диаметре. После ревизии корзинкой Дормиа удалено 4 конкремента по 1 см и множество мелких до 0,5 см. Отток в ДПК восстановлен. На 12 см от папиллы расположен конкремент до 2 см в диаметре, захватить конкремент корзинкой и удалить не удается. Выше уровня конкремента установлен потерянный дренаж. Заключение: холедохолитиаз, холедохолитоэкстракция, гнойный холангит (рис. 8).

а) Холедох, полностью заполненный конкрементами.

б) Холедох с конкрементами (красная стрелка), сброс контраста в кишку (синяя стрелка).
Учитывая наличие крупных конкрементов и невозможность удаления их при ЭРХПГ, пациентке проведена операция холецистэктомии, холедохолитотомии.
Клиническое наблюдение 3
Больная К., 85 лет, поступила в клинику с жалобами на пожелтение кожных покровов после болевого приступа, установлен диагноз: желчнокаменная болезнь. Хронический калькулезный холецистит. Холедохолитиаз. Механическая желтуха легкой степени тяжести.
При УЗИ брюшной полости установлено: печень нормального размера, структура диффузно неоднородная, внутрипеченочные протоки расширены, долевые до 8 мм. Воротная вена 12 мм. Желчный пузырь размером 100x34 мм, в просвете подвижные конкременты диаметром до 8 мм. Общий желчный проток - 17 мм, в просвете конкремент - до 13 мм. Поджелудочная железа нормального размера, контуры ровные, четкие, структура неоднородная, повышенной эхогенности, проток 1 мм. Селезенка нормального размера, селезеночная вена - 7 мм. Заключение: конкременты желчного пузыря. УЗ картина низкого печеночного блока, обусловленного холедохолитиазом (рис. 9-11).

а) Внутрипеченочные протоки.

б) Правый долевой проток.

а) В холедохе визуализируется гиперэхогенная плотная структура с четкой теневой дорожкой.

б) Конкременты в холедохе (красная стрелка) и в желчном пузыре (синяя стрелка).

а) Конкременты в желчном пузыре.

б) Конкременты в желчном пузыре (синяя стрелка) и расширенный холедох (красная стрелка).
С диагностической и лечебной целью проведены ЭРХПГ, ЭПСТ, холедохолитоэкстракция. БДС расположен в типичном месте, размер 0,5 см. Продольная складка напряжена, желчь поступает. Канюляция устья БДС боковым папиллоотомом. Аспирационная проба положительная. Введено 15,0 мл контрастного вещества. Холедох - 1,5 см. В просвете конкремент размером 0,9 см. Продольная складка рассечена на протяжении 1,0 см. При ревизии корзинкой Дормия конкремент удален. Сброс контраста хороший. Заключение: холедохолитиаз, холедохолитоэкстракция (рис. 12).

а) Конкремент в холедохе.

б) Конкременты в желчном пузыре (синяя стрелка), в холедохе (красная стрелка).
Учитывая возраст и соматическое состояние пациентки, оперативное лечение по поводу желчнокаменной болезни было отложено.
Заключение
Таким образом, УЗИ является "золотым стандартом" в определении полипов и конкрементов в желчном пузыре, а также позволяет всегда определить косвенные признаки холедохолитиаза. Что касается наличия прямых признаков холедохолитиаза (определения конкремента в желчных протоках), то здесь более информативным является эндоскопическая ретроградная холангиопанкреатография, которая одновременно является и лечебной манипуляцией.
Литература
- Амосов В.И., Бубнова Е.В., Щетинин В.Н., Мосягина С.Г., Брызгалова C.B., Путилова И.В. Лучевая диагностика мелких конкрементов гепатикохоледоха // Ученые записки Санкт-Петербургского государственного медицинского университета им. акад. И.П. Павлова. 2009. T. XVI. N3.
- Амосов В.И., Бубнова Е.В., Щетинин В.Н. Особенности рентгенологической диагностики мелких конкрементов гепатикохоледоха при эндоскопической ретроградной холангиопанкреатикографии // Материалы 2-го Всероссийского национального конгресса по лучевой диагностике и терапии: сб. научых трудов. Москва. 2008.
- Бубнова Е.В., Щетинин В.Н. Особенности рентгенологической диагностики мелких конкрементов гепатикохоледоха при ЭРХПГ. Материалы научно-практической конференции, посвященной 50-летию городской клинической больницы N20: сб. науч. тр. Санкт-Петербург. 2008.
- Никитина М.Н., Пиманов С.И., Луд Н.Г. Ультразвуковое исследование и тактика ведения пациентов с полипами желчного пузыря // Мед. новости. 2002. N9. С. 62-64.
- Рощинский С.М., Федорук A.M. Внутрипросветные образования желчного пузыря: результаты ультразвуковых исследований // Материалы науч.-практ. конф., посвящ. 10-летию Минск. диагностич. центра. Минск, 1999. С. 77-78.
- Савельев B.C., Петухов В.А., Болдин Б.В. Холестероз желчного пузыря. М.: ВЕДИ, 2002. 192 с.
- Sugiyama М., Atomi Y., Kuroda E. et al. Large cholesterol polyp of the gall bladder: diagnosis by means of US and endoscopic US // Radiology. 1995. V. 196. N2. P. 493-497.
- Seo D.W., Kim H.J., Kim D.I., Park E.T., Yoo K.S., Lim B.C., Myung S.J., Park H.J., Min Y.I. A new strategy to predict the neoplastic polyps of the gallbladder based on scoring system using EUS // Gastrointest Endosc. 2000. V. 52. N3. Р. 372-379.
- Никитина М.Н., Пиманов С.И. Ультразвуковая диагностика холестероза желчного пузыря // SonoAce-Ultrasound. 2004. N12.
- Liu C.L., Lo C.M., Chan J.K.F., Poon R.T.P., Fan S.T. EUS for detection of occult cholelithiasis in patients with idiopathic pancreatitis // Gastrointest Endosc. 2000. V. 51. P. 28-32.
- Бубнова Е.В., Брызгалова C.B., Путилова И.В., Каменская О.В. Лучевая диагностика мелких конкрементов гепатикохоледоха // Материалы IV Всероссийского национального конгресса лучевых диагностов и терапевтов "Радиология-2010". Москва. 2010.
- Поташов Л.В., Щетинин В.Н., Кудреватых И.П., Полиглотгов О.В., Бубнова Е.В. Эндоскопическое лечение осложненных форм холедохолитиаза // Тезисы VI Международного конгресса по эндоскопической хирургии: сб. науч. тр. Москва. 2004.
- Бубнова Е.В. Методика выявления мелких конкрементов гепатикохоледоха при эндоскопической ретроградной холангиопанкреатикографии // Материалы Невского радиологического форума: сб. науч. тр. Санкт-Петербург. 2009.

УЗИ аппарат RS85
Революционные изменения в экспертной диагностике. Безупречное качество изображения, молниеносная скорость работы, новое поколение технологий визуализации и количественного анализа данных УЗ-сканирования.
Публикации по теме
- Применение ультразвукового исследования и компьютерной томографии в диагностике опухоли Клацкина - Курзанцева О.М.
- Некоторые аспекты диагностики и дифференциальной диагностики механической желтухи - Курзанцева О.М.
- Лучевая диагностика патологии желчного пузыря и желчевыводящих путей - Курзанцева О.М.
- Случай ультразвуковой диагностики нефункционирующей нейроэндокринной опухоли поджелудочной железы - Катерлина И.Р.
- Ультразвуковая диагностика гамартомы селезенки - Степанова Ю.А.