Клинико-экспериментальное обоснование способа трансуретрального лечения доброкачественной гиперплазии предстательной железы электрохимическим лизисом под УЗ-контролем
Рубрика: Эхография в урологии

УЗИ аппарат RS85
Революционные изменения в экспертной диагностике. Безупречное качество изображения, молниеносная скорость работы, новое поколение технологий визуализации и количественного анализа данных УЗ-сканирования.
Введение
В течение многих лет для лечения доброкачественной гиперплазии предстательной железы (ДГПЖ) успешно применяется метод трансуретральной (TUR-P) резекции простаты [10, 13]. Однако постоянное стремление к использованию малоинвазивных методов и информированность врачей об осложнениях, связанных с TUR-P (кровопотеря, синдром TUR-P, уретральная стриктура и риск развития недержания мочи), стали причиной того, что большое количество применявшихся ранее методов медикаментозного и немедикаментозного лечения ДГПЖ проверяются сейчас в ходе клинических исследований или отнесены к экспериментальным методам [5, 9, 13]. При немедикаментозном лечении в последнее десятилетие используются следующие виды вмешательств: криохирургия, дилатация баллонным катетером, установка постоянных уретральных стентов, термотерапия, воздействие ультразвуком высокой мощности (HIFU), воздействие радиочастотным излучением (TUNA), фокальная экстракорпоральная гипертермия и лазеротерапия [12, 13].
В связи с большим разнообразием способов воздействия на предстательную железу необходимо знать границы применения различных видов лечения, успех которого зависит от различных факторов: типа воздействия, его мощности и продолжительности лечения, способа подвода к органу, а также от циклического отвода тепла в простате. Экспериментальное исследование этих факторов позволило бы разработать методику новых видов терапии, которая наряду с сокращением продолжительности лечения увеличила бы его эффективность и уменьшила количество осложнений. Все это требует клинико-экспериментальной проверки новых способов малоинвазивного лечения заболеваний предстательной железы. Многообещающим выглядит метод электрохимического лизиса (ЭХЛ) под УЗ-контролем в лечении ДГПЖ, так как температура в зоне воздействия не меняется. Лечебный эффект от электрохимического лизиса обеспечивается прямым некротизирующим воздействием на ткани постоянного тока и последующих продуктов электролиза тканей (рис. 1). Режим лизиса работоспособен при силе тока не менее 80 мА и длительности сеанса 30-45 мин; критерием появления зоны некроза в области воздействия - эхопозитивное образование вокруг проводника постоянного тока (электрода), находящееся в центре образования во время электрохимического лизиса под ультразвуковым контролем и сохраняющееся в течение 24 ч после лизиса [3].

Рис. 1. Биоэлектрическая основа девитализирующего механизма воздействия электрохимического лизиса на живую ткань.
Цель исследования - клинико-экспериментальная оценка возможности использования электрохимического лизиса в малоинвазивном лечении ДГПЖ под ультразвуковым контролем.
Материалы и методы
На базе ПНИЛ СГМА в течение 2005-2006 гг. проведены сеансы электрохимического лизиса на препаратах предстательной железы (n=21) после простатэктомии для отработки оптимального режима электрохимического лизиса. Методология способа трансуретрального лизиса [4] разработана совместно с заведующим кафедрой урологии с курсом урогинекологии и андрологии МГМСУ профессором Д.Ю. Пушкарем (рис. 2).

Рис. 2. Схема позиционирования биполярного электрода в простатическом отделе уретры и локализация зон некроза в процессе лизиса.
Время между удалением узлов и началом лизиса составляло не более 2-х часов. При наружном осмотре узлы были разных размеров, в среднем от 2 до 5,5 см, в капсуле, бугристые, плотной или плотноэластической консистенции, на разрезе - волокнистые, белесоватого и желто-белесоватого цвета. Гистологически соответствовали диагнозу: нодозная гиперплазия (аденома) предстательной железы, железистый или железисто-стромальный вариант.
В центр узла или по ходу простатического отдела уретры вводился биполярный платиновый электрод диаметром 2,5 мм. Адекватное позиционирование электрода осуществлялось под УЗ-контролем трансректальным датчиком 5 и 7 МГц в условиях фантома трансректального УЗ-исследования (рис. 3). Для нодозной гиперплазии в зоне периуретральных желез с формированием средней доли лизис проводили в среде, имитирующей содержимое мочевого пузыря. На препаратах использовалась оригинальная программа подбора оптимального режима электрохимического лизиса в виде изменений силы тока, продолжительности лизиса и позиции электрода. Патоморфологический материал подвергался стандартной парафиновой проводке с последующим изготовлением микропрепаратов, окрашенных гематоксилином и эозином, пикрофуксином по Ван Гизону. Методологической основой морфологической оценки эффективности электрохимического лизиса являлась теория патоморфоза тканей в ответ на внешнее воздействие.


Использован фантом трансректального УЗ-мониторинга.
Результаты и обсуждение
Микроскопические изменения в зоне электрохимического лизиса отмечены как в стромальном, так и паренхиматозном компонентах аденом. Поскольку электрохимический лизис подвергался послеоперационной и аутопсийный материал, термин "некроз" может быть применен условно, более логичен - "деструкция". По этой же причине реакция ткани на воздействие в виде демаркационного воспаления, сосудистые реакции в наблюдении отсутствуют.
В исследовании отмечена разная степень выраженности деструкции ткани: минимальная (n=2), умеренная (n=2), глубокая (n=17). Слабо выраженная деструкция отмечена при воздействии на ткань силы тока 70-100 мА в течение 10-15 мин. Изменения наблюдались преимущественно в строме, носили очаговый характер, соответствовали фибриноидному набуханию. При умеренной деструкции помимо очагов фибриноидного набухания отмечены изменения железистого компонента в виде кариопикноза и кариорексиса. Умеренные изменения наблюдались при воздействии силы тока 80-90 мА в течение 15 мин. Глубокая деструкция с очагами некротического детрита, распространенным фибриноидным набуханием волокон стромы, разрушением желез, наличием "электрометок" наблюдалась в большинстве случаев исследования. Феномен "электрометки" отмечен в наших предыдущих работах по электрохимическому лизису [1-3]. Применялась сила тока от 90 до 100 мА, время воздействия от 25 до 40 мин в зависимости от размеров и УЗ-семиотики тканей (рис. 4).

а) До лизиса.

б, в) После лизиса.
В процессе исследования была отмечена особенность: решающее значение для распространенности некроза имеет не сила тока, а продолжительность воздействия на ткань. Учитывая этот факт, можно думать о возможности регулирования объема деструкции по времени воздействия постоянного тока. Преобладание коагуляционного некроза предполагает снижение риска интраоперационного кровотечения. Во время лизиса отмечался УЗ-эффект повышения эхогенности в зоне электрохимического лизиса, что являлось критерием границ распространения полной деструкции тканей (рис. 5).

а) До электрохимического лизиса (ЭХЛ).

б) Во время электрохимического лизиса (ЭХЛ).
Выводы экспериментальной части работы:
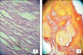
- оптимальный режим трансуретрального лизиса - сила тока 85-95 мА, длительность воздействия 35-45 мин;
- размер полной деструкции диаметром 25-30 мм, протяженность 20-25-30 мм (рис. 6);
- выявлен прямой механизм четкой регулировки объема некроза независимо от гистологической структуры тканей или различной плотности расположения сосудов в зоне электрохимического лизиса;
- технические характеристики биполярных электродов позволяют моделировать зоны некроза в объеме 360° и учитывать особенности анатомического строения простатического отдела уретры.


После сеанса электрохимического лизиса (ЭХЛ).
После получения результатов эксперимента трансуретральный электрохимический лизис проведен у 6 больных с доброкачественной гиперплазией предстательной железы, имевших стабильно низкий уровень PSA (до 5 нг/мл), ухудшение индекса IPSS и рост объема железы более 75 см³ Эти пациенты имели высокий анестезиологический риск (III степень) по сопутствующей соматической патологии (ИБС, нарушение ритма сердца, хроническая сердечная недостаточность) для проведения радикальной простатэктомии и стандартной ТУР железы. Критериями эффективности лечения служили: оценка жалоб IPSS, индекс качества жизни QOL, уровень PSA, данные урофлоуметрии и УЗ-мониторинг (остаточная моча, объем железы, изменения эхоструктуры по серошкальному сканированию и данные цветного допплеровского картирования - ЦДК - по количественным и качественным параметрам гемодинамики).
Критерий | Время наблюдения после ЭХЛ | ||||
---|---|---|---|---|---|
До лизиса | После лизиса | Через 1 мес | Через 3 мес | Через 6 мес | |
IPSS, баллы | 18 | - | 9 | 6 | 6 |
QOL, баллы | 5,3±0,2 | - | 4,7±0,16 | 4,1±0,2 | 3,2±0,4 |
Qmax, мл/с | 4,9±1,3 | - | 6,1±2,7 | 9,2±3,1 | 10,4±2,6 |
PSA, нг/мл | 4,1 | 4,9 | 4,2 | 4,0 | 4,3 |
V железы, см³ | 86±19,7 | 98±18,9 | 80,6±9,4 | 60,2±18,6 | 61±12,5 |
Остаточная моча, мл | 137±13,5 | - | 59,1±11,4 | 56,5±8,6 | 52,1±7,3 |
После проведения трансуретральных сеансов электрохимического лизиса под трансректальным УЗ-мониторингом указанные выше симптомы стабилизировались в течение 1 мес, а затем уменьшились через 6 мес (на 35-40 % от исходного) (таблица). При УЗ-мониторировании во всех случаях отмечено появление эхопозитивного образования по всей зоне лизиса с постепенным его увеличением (рис. 7 а). В режиме ЦДК наблюдалось прогрессивное снижение линейных скоростей и проявление нарастающего стеноза сосудов артериального характера, что служит признаком нарастающего некроза тканей и тромбоза сосудов (рис. 7 б). В перифокальных зонах сохранялись признаки неравномерного низкоскоростного артериального кровотока, венозные сосуды не определялись (рис. 7 в).

а) Эхопозитивное образование по всей зоне лизиса в предстательной железе.

б) Прогрессивное снижение линейных скоростей и проявление нарастающего стеноза сосудов артериального характера (режим ЦДК).

в) В перифокальных зонах лизиса сохраняются признаки неравномерного низкоскоростного артериального кровотока, венозные сосуды не определяются (режим ЦДК).
В качестве иллюстрации приводим одно из наших клинических наблюдений.
Клиническое наблюдение
Больной К., 75 лет, диагноз: ДГПЖ, наблюдался у уролога в течение 10 лет. Принимал альфа-блокаторы, уровень PSA стабилен: 5-8 нг/мл. В течение последних 2 лет отмечено увеличение объема предстательной железы с 48 до 85 см², по данным урофлоуметрии скорость истечения уменьшилась с 9,7 до 4,9 мл/с, показатель IPSS снизился с 4 до 12 баллов. Было решено провести трансуретральный малоинвазивный электрохимический лизис, так как пациент имел тяжелую сопутствующую патологию (бронхиальная астма, среднетяжелое течение, ИБС, стабильная стенокардия III ФК, хроническое легочное сердце, субкомпенсация).
Предстательная железа при пальцевом исследовании увеличена в 2,5 раза, срединная бороздка сглажена, плотность ее увеличена, подвижность железы сохранена, болезненность при пальпации незначительная. При трансректальном УЗИ было отмечено, что форма железы изменена (округлая), эхогенность неравномерно повышена, в периферической центральной и транзиторной зонах определялось множество узлов ДГПЖ от 8 до 15 мм с деформацией простатического отдела уретры, в периферической зоне - единичные кальцинаты. Шейка мочевого пузыря не изменена, объем остаточной мочи составил 98 мл. ЧЛС почек с обеих сторон - умеренно расширенны (до 18-22 мм).
Установлен клинический диагноз: ДГПЖ (рост из трех анатомических зон). Хроническая задержка мочи III степени.
Больному проведен трансуретральный сеанс электрохимического лизиса (1-75 мА, время лизиса 24,5 мин). Сформирован канал некроза между внутренним и наружным сфинктерами протяженностью 53 мм, диаметром 8 мм. Установлен катетер. Через 24 ч при контрольном трансректальном УЗИ признаков кровотечения нет, пассаж мочи по катетеру сохранен. Через 4 дня катетер был удален. Микция самостоятельная, 5 раз в день. Через 1 мес при урофлоуметрии скорость истечения мочи составила 5,4 мл/с, индекс IPSS-9 баллов, ночные микции уменьшились до 2 раз, объем предстательной железы до 80 см³.
При контрольном осмотре через 6 мес после лизиса: IPSS - 6 баллов, скорость истечения 10,4 мл/с, объем железы сократился до 61см³, объем остаточной мочи не превышал 52 мл.
Вывод
Таким образом, предлагаемый трансуретральный малоинвазивный электрохимический лизис доброкачественной гиперплазии предстательной железы имеет преимущества по сравнению с другими методами лечения благодаря малотравматичности, отсутствию патологического изменения температуры в зоне лечения и возможности многократного применения. При этом необходимо увеличение клинической группы наблюдения, а так же сроков инструментального мониторинга для объективизации результатов лечения.
Литература
- Борсуков А.В. Малоинвазивный электрохимический лизис злокачественных очаговых поражений печени: эволюция критериев эффективности лечения//VIII Симпозиум с международным участием "Современные методы инструментальной диагностики". - Москва, РНЦХ РАМН, М. - С.45.49.
- Борсуков А.В., Бельков А.В., Алибегов Р.А., Гассинец А.И. Малоинвазивный хирургический лизис единичных метастазов в печень: результаты 18 месяцев наблюдения после лечения//XI международная конференция хирургов-гепатологов России и стран СНГ. - 2004.-М. - С.63.
- Борсуков А.В., Бельков А.В., Алибегов Р.А., Лемешко З.А. ЭХЛ метастатического рака печени: возможности малоинвазивного локального лечения//Эндоскопическая хирургия.- 2005. - N3.- С.16.25.
- Борсуков А.В. Пушкарь Д.Ю. Способ трансуретрального лечения ДГПЖ (заявка на изобретение N2004135700\14(0388230), положительное решение от 6 декабря 2004 года).
- Камалов А.А. и соавт. Современные аспекты оперативного лечения ДГПЖ//Урология. - 2004. - N1. - С.30.34.
- Кан Я.Д., Кириллов С.А, Тедеев В.В. Сравнительная оценка роторезекции и ТУР в лечении ДГПЖ//Урология. - 2004. - N4.- С.58-61.
- Лоран О.Б., Пушкарь Д.Ю, Раснер П.И. Современные возможности лечения больных ДГПЖ//Консилиум Медикум. - 2000. - N4.- С.147-152.
- Малышев А.В., Васильев Ю.В. Патогенетические механизмы инфекционно.воспалительных и тромбогеморрогических осложнений ТУР простаты//Урология. - 2004. - N2. - С.31-33.
- Мартов А.Г., Лопаткин Н.А. Практическое руководство по трансуретральной эндоскопической электрохирургии доброкачественной гиперплазии предстательной железы. - М.: Триада Х, 1999.
- Roebrborn C.G. Standard surgical interventions: TUIP, TURP. OPSU/In Kirby R., McConnell J. Fitzpatrick J. (eds) Textbook of benign prostatic byperplasia. Oxford: ISIS. - 1996. - P. 347-78.
- The 4thInternational Consultation on BPH. Proceedings. (Ed. A.Cocket et al.). - S.C.I. - Paris. 1997. - 213 р.
- Michel M., Kohrman K., Weber A. et al. New methods for transurethral therapy of a mild BPH on experimental and clinical matching//J. Endourol. - 1996. - 5. - P. 473-478.

УЗИ аппарат RS85
Революционные изменения в экспертной диагностике. Безупречное качество изображения, молниеносная скорость работы, новое поколение технологий визуализации и количественного анализа данных УЗ-сканирования.
Публикации по теме
- Ультразвуковые методы исследования в метафилактике мочекаменной болезни - Саенко В.С.
- Ультразвуковые методы функциональной диагностики в амбулаторном наблюдении пациентов с мочекаменной болезнью после оперативного лечения - Саенко В.С.
- Клинико-экспериментальное обоснование способа трансуретрального лечения доброкачественной гиперплазии предстательной железы электрохимическим лизисом под УЗ-контролем - Борсуков А.В.
- Использование различных методов лучевой диагностики у детей с патологией почек и мочевыводящих путей - Курзанцева О.М.
- Ультразвуковая и рентгеновская диагностика дивертикулов чашечно-лоханочных систем почек - Буйлов В.М.