Случай мультилокулярной кистозной нефромы почки
Рубрика: Эхография в урологии
Введение
Мультилокулярная киста почки - очень редкое заболевание. Эти образования описываются под многочисленными названиями: кистозная аденома, кистозная лимфангиома, кистозная гамартома, мультилокулярная кистозная аденома, мультилокулярная кистозная нефрома, кистозная опухоль Вильмса, поликистозная нефробластома, дифференцированная нефробластома, сегментарная поликистозная почка, опухоль Перельмана, доброкачественная кистозная нефрома, аденоматозная поликистозная опухоль [1]. Подобная терминологическая недоговоренность отражает, как правило, различные теории патогенеза и объясняет малоизученность этих опухолей ввиду их редкости (рис. 1).
Рис. 1. Схематическое изображение мультилокулярной кистозной нефромы.
Согласно Международной классификации опухолей, мультилокулярные кистозные нефромы отнесены к группе истинных новообразований, следовательно, их нужно именовать кистозной нефромой или нефробластомой [2, 3].
В отечественной литературе мультилокулярная киста обычно описывается в разделе кистозных образований паренхимы почек [1]. Подобные изменения встречаются у больных разного возраста - от рождения до 80 лет, чаще в почках младенцев мужского пола и взрослых женщин, они могут достигать в массе 450 г.
К 1964 г. М.Д. Джавад-Заде собрал в литературе описание 22 случаев мультилокулярной кисты почки. А.Я. Пытель и А.Г. Пугачев [4] за 10 лет нашли в литературе 67 описаний мультилокулярной кисты и сообщили о 3 своих наблюдениях.
Kfivanek и соавт. (1973) наблюдали 2 детей с мультилокулярной почечной кистой. У одного ребенка они произвели резекцию почки, у другого - марсупиализацию кисты. Оба ребенка выздоровели. Под наблюдением Johnson и соавт. (1973) находились 3 детей с мультилокулярной почечной кистой в возрасте 11, 13 и 28 мес.
В таких случаях у детей часто предполагают наличие опухоли Вильмса. Uson и Melicow (1963) сообщили о 10 случаях мультилокулярной кисты почки, из них в 3 случаях в сочетании с опухолью Вильмса.
Крайне редко мультилокулярная киста встречается в подковообразной почке. В наблюдении Michalakis (1973) мультилокулярная киста диаметром 11 см занимала правую половину подковообразной почки, вызывала боли, в связи с чем потребовалось выполнение геминефрэктомии.
Н.А. Лопаткин и Е.Б. Люлько [5] описали 6 случаев мультилокулярной кисты почки у больных в возрасте от 33 до 57 лет, В.Н. Степанов и соавт. [1] привели описание 5 больных с мультилокулярной кистой почки, В.Н. Русаков и соавт. [6] - 11.
Приведенные наблюдения свидетельствуют о большой трудности распознавания мультилокулярной почечной кисты, несмотря на применение современных диагностических методов.
Гистологически мультилокулярная кистозная нефрома варьирует от доброкачественной до высокозлокачественной [7]. Мультилокулярная киста гистологически сходна с ангиомиолипомой.
Патогенез данного образования также неоднозначен. Одни авторы указывают на наличие диспластических элементов вокруг мультилокулярной кисты (эмбриональных канальцев, скоплений лимфоцитов, хрящевой ткани и др.), что свидетельствует о ее раннем эмбриональном происхождении, и расценивают кисту как доброкачественное образование. Другие полагают, что мультилокулярная киста обычно содержит примитивную ткань метанефроса, что свидетельствует в пользу ее родственной связи с опухолью Вильмса, и оправдывают альтернативные названия: мультилокулярная кистозная нефрома, дифференцированная нефробластома. В ряде случаев описаны сочетания этих патологических состояний. По этой причине ряд авторов рассматривая мультилокулярную кисту как доброкачественное образование, все же считают показанной нефрэктомию [1]. По данным М.А Величко и П.А. Малиновского [3], изученная мультилокулярная киста почки является своеобразной мальформацией, увеличивающейся в результате накопления жидкости в уродливо развитых элементах почки, не имеющих полноценных выводных протоков, что приводит к постепенному кистозному превращению в виде опухолевой массы. Это гамартрома, эпителиальный компонент которой морфологически сходен с коллекторным эпителием, происходящим из зародыша почки.
Диагностика мультилокулярной кисты крайне сложна. По данным В.Н. Степанова и соавт. [1], из 5 пациентов диагноз до оперативного вмешательства был поставлен в 2 случаях. Ряд авторов считают, что этот вариант опухоли невозможно отличить методами визуализации как от кистозных аномалий почки, так и от кистозной формы нефробластомы [8-10].
При осмотре пациента почку, содержащую мультилокулярную кисту, находят случайно при пальпации живота или при урорентгенологическом исследовании, производимом по другому поводу.
При больших размерах кисты у больных могут отмечаться боли в пояснице, повышение артериального давления (чаще диастолического), гематурия (за счет выбухания кисты в лоханку с образованием некроза и последующего изъязвления), пиурия, повышение температуры тела, озноб, гипокалиемия, повышение экскреции альдостерона [1, 3, 6].
Макро- и микроскопическое строение образования характерно и может быть использовано для дифференциальной диагностики.
При экскреторной урографии и ретроградной пиелографии у всех больных выявляются признаки объемного образования. Отмечаются увеличение размеров почки, деформация ее контуров с наличием рентгенологических признаков смещения чашечно-лоханочной системы к противоположному полюсу, сдавление или раздвигание чашечек в месте расположения мультилокулярной кисты. Наблюдаются овальный дефект наполнения лоханки с четкими контурами и картина серповидного дефекта со смещением в сторону чашечки, прилегающей непосредственно к стенке кисты [3-5, 11].
В диагностике мультилокулярных кист ценные сведения можно получить при помощи ультразвукового исследования (УЗИ). По данным разных авторов, достоверность УЗИ в диагностике данной патологии составляет от 94 до 97,3% [1, 8, 9, 11-13]. Эхографически мультилокулярная киста визуализируется в виде многокамерного жидкостного образования округлой формы, расположенного в одном из полюсов почки, с множеством перегородок, как правило, с отложением извести, с четкими ровными контурами и дорсальным усилением эхо-сигнала (рис. 2) [1-3, 6, 8, 9, 12, 14]. Цветное допплеровское картирование (ЦДК) увеличивает чувствительность УЗИ, так как улучшает визуализацию областей с атипичной сосудистой архитектоникой и снижением васкуляризации. При допплерографии отмечаются неспецифические изменения почечного кровотока в виде повышения пульсационного индекса и индекса резистентности, особенно выраженных в сосудах, огибающих образование. Если при УЗИ обнаруживаются утолщение перегородок кист или солидные структуры, в которых при ЦДК регистрируются сосуды, это может быть признаком малигнизации [11, 13, 15-19].
Эхонегативное многокамерное образование неправильной формы, с неровными стенками. Большое количество тонких перегородок в полости образования.
Достоверность комьютерной томографии (КТ) в диагностике мультилокулярной кистозной нефромы, по данным разных авторов, составляет от 95 до 98%. При КТ определяется негомогенное многокамерное образование округлой или неправильно-округлой формы, возможно с капсулой, плотность образования неоднородная, пониженная относительно паренхимы, в полости образования определяется большое количество перегородок (рис. 3). Если при КТ с контрастированием происходит накопление контрастного вещества, это может быть признаком предполагаемой малигнизации [11, 13, 19].
а) До внутривенного контрастирования определяется негомогенное образование неправильной округлой формы с капсулой и едва заметными перегородками, плотность ниже, чем плотность паренхимы почки.
б) После контрастирования отчетливо выявляются плотная стенка и множество перегородок.
Диагностическая значимость магнитнорезонансной томографии (МРТ) у пациентов с мультилокулярной кистозной нефромой высока, чувствительность достигает 83,3%, а специфичность - 45,45%. Прогнозируемая ценность положительных и отрицательных результатов соответствует 62,5 и 71,43% [20].
На ангиограммах при мультилокулярной кистозной нефроме выявляется аваскулярный дефект наполнения в одном из полюсов почки, сосудистая архитектоника в этих случаях обычно не нарушена.
Макроскопически мультилокулярная кистозная нефрома определяется как объемное, четко отграниченное образование, диаметром 5-10 см, располагающееся в одном из полюсов почки, чаще в нижнем, реже в среднем сегменте. Кистознодиспластический процесс поражает только одну почку. Узел расположен в корковом веществе почки, коричневатожелтого цвета на разрезе. Опухоль состоит из юкстагломерулярных клеток, секретирующих ренин. От почечной ткани опухоль отделена морфологически полноценной плотной псевдокапсулой до 0,5 см, на разрезе состоит из множества кист диаметром от нескольких миллиметров до 5-10 см, заполненных прозрачной желтоватой жидкостью. Стенки их гладкие, местами лишены эпителиальной выстилки, большей частью выстланы одним слоем эпителиальных клеток кубической, уплощенной формы или напоминающих шляпки сапожных гвоздей. Перегородки между кистами состоят из нежноволокнистой соединительной ткани с незначительным количеством фибробластов и фиброцитов или из веретенообразных клеток эмбрионального типа, очень редко саркоматозного вида. В соединительной ткани неравномерно рассеяны тонкостенные кровеносные сосуды. В широких перегородках между внутренними кистами и в общей капсуле встречаются атрофические, уродливые почечные клубочки овальной формы и эпителиальные трубочки с выстилкой, идентичной таковой в канальцах почки.
Иногда встречаются также скопления мелких округлых недифференцированных клеток бластемного типа, узкие канальцы, выстланные кубическим или призматическим эпителием, в некоторых случаях пучки лентовидных рабдомиобластов с поперечной исчерченностью. Мелкие полигональные или продолговатые клетки опухоли с мономорфными пузырькообразными ядрами содержат в цитоплазме ШИК-положительные гранулы. Солидные поля и трабекулы, состоящие из сплошного разрастания этих клеток, разъединены тонкими прослойками фиброваскулярной стромы. Клетки окружены аргирофильными волокнами. Митозы обнаруживаются очень редко [14].
При наличии кисты почка функционирует, поскольку сохранены лоханка, мочеточник и сосудистая ножка, хотя функция ее нарушена [1, 3, 6].
По данным В.Н. Русакова и соавт. [6], мультилокулярная киста может сочетаться с пиелонефритом в 45% случаев, с уролитиазом в 18%, гидронефрозом в 9%, опухолью в 18%.
Выделяют следующие морфологические критерии мультилокулярной кисты почки: солитарность; односторонность поражения; многокамерность кисты; отсутствие сообщения между чашечнолоханочной системой; отсутствие связи между отдельными полостями; наличие безэпителиальных соединительнотканных тяжей; отсутствие дифференцированных элементов почки; почечная паренхима вне мультилокулярной кисты не изменена; в перегородках между отдельными камерами находят только фиброзную ткань; мелкие кистозные образования выстланы кубическим эпителием [1].
Биопсия для диагностики мультилокулярной кисты применяется крайне редко, так как не дает дополнительных результатов и диагностическая значимость ее невысока [1].
Необходимость в лечебных мероприятиях возникает при развитии осложнений (нефролитиаз, пиелонефрит), при сочетании кисты и опухоли. Объем оперативных вмешательств при мультилокулярной кистозной нефроме варьирует от органосохраняющих операций (марсупилизации, вылущивании кисты, сегментарной резекции почки) до нефрэктомии.
Учитывая большую редкость заболевания, единичные публикации в литературе, представляем собственное клиническое наблюдение.
Клиническое наблюдение
Больной С., 51 года, поступил с жалобами на боли в поясничной области справа. Болен в течение 2 мес, когда появились указанные выше жалобы. При объективном обследовании диагностически значимых изменений не было выявлено. Общий и биохимический анализ крови, общий анализ мочи в пределах нормы.
При проведении инструментального обследования выявлены следующие изменения.
Экскреторная урография. Почки расположены обычно, сохраняют свою форму, экскреция почек удовлетворительная. Слева отмечается повышение тонуса полостной системы почек как отображение хронического пиелонефрита. Справа почка увеличена в размерах за счет наличия дополнительного образования до 30 мм в диаметре.
Заключение: Объемное образование правой почки.
Ультразвуковое исследование. Почки расположены типично, в размерах не изменены, контуры ровные, четкие, подвижность сохранена, полостная система не расширена. Мочеточники не визуализируются. Конкрементов не выявлено. В нижнем полюсе правой почки визуализируется эхонегативное многокамерное образование диаметром до 30 мм, с большим количеством перегородок внутри и единичным кальцинатом.
Заключение: Сложная киста нижнего полюса правой почки (рис. 4).
Округлое кистозное образование с множеством перегородок в полости образования и единичным кальцинатом.
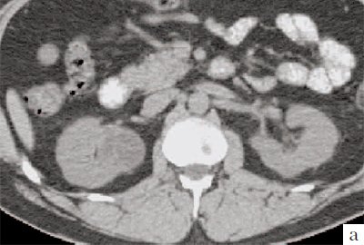
Компьютерная томография. В нижнем полюсе правой почки определяется неоднородное образование, с четкими неровными контурами, округлой формы, в диаметре до 30 мм, неоднородно пониженной плотности от +15 до +18 HU по шкале Хаунсвильда. После внутривенного контрастирования образование не изменят свою форму, размеры и плотность. В полости образования выявляются множественные перегородки, накапливающие контрастное вещество, единичный кальцинат.
Заключение: Сложное кистозное образование нижнего полюса правой почки, больше данных о мультилокулярной кистозной нефроме (рис. 5).
а) До внутривенного контрастирования определяется негомогенное образование округлой формы, с единичным кальцинатом, плотность ниже, чем плотность паренхимы почки.
б) После контрастирования (паренхиматозная фаза) отчетливо выявляются плотная стенка и множество перегородок.
Аортоартериография почек. Брюшная аорта и ее ветви без особенностей. Размеры, положение, форма почек обычные. Нефрограмма интенсивная, гомогенная. В нижнем полюсе правой почки определяется аваскулярное образование шаровидной формы, не накапливающее контрастное вещество, до 30 мм в диаметре.
Заключение: По ангиографической картине больше данных о кистозном доброкачественном образовании нижнего полюса правой почки (рис. 6).
В нижнем полюсе правой почки определяется аваскулярное образование шаровидной формы, не накапливающее контрастное вещество, до 30 мм в диаметре (стрелки).
Под местной анастезией (0,25% новокаина) под контролем УЗИ проведена диагностическая пункция образования. При цитологическом исследовании получены атипичные клетки.
В процессе операции выполнена сегментарная резекция правой почки.
Патоморфологическое исследование позволило устновить окончательный диагноз. В присланном материале узел до 30 мм, пестрого строения, чередование серых участков и участков с геморрагическим пропитыванием. Опухолевая ткань представлена кистами, разделенными тонкими перегородками. Это плотный узел, имеет мелкоячеистое строение, ячейки заполнены густой геморрагической жидкостью. Микроскопически: множественные кисты, выстланные одним слоем эпителиальных клеток, кубической формы, несколько уплощенной или напоминающей шляпки сапожных гвоздей. Перегородки между кистами узкие, представлены волокнистой нежной соединительной тканью с веретенообразными клетками типа эмбриональных.
Заключение: Мультилокулярная кистозная нефрома нижнего полюса правой почки.
Таким образом, представленное клиническое наблюдение показывает, как трудна диагностика мультилокулярной кистозной нефромы, несмотря на использование всех методов лучевой диагностики, а диагностическая пункция не всегда обладает диагностической эффективностью.
Выводы
Современные методы диагностики в большинстве наблюдений позволяют получить исчерпывающую информацию о характере жидкостного образования почек. Вместе с тем в ряде наблюдений, в частности при наличии мультилокулярной кистозной нефромы почки, несмотря на весь арсенал диагностических методов, включая диагностическую пункцию, характер жидкостного образования почки остается невыясненным до операции, которая в подобных ситуациях является как методом лечения, так и способом окончательной постановки диагноза.
Литература
- Степанов В.Н., Перельман В.М., Теодорович О.В., Денискова М.В. Роль ультразвукового исследования в диагностике мультилокулярной кисты почки.// Урология и нефрология. 1994. N 6. С. 20-24.
- Албинбаев М.К., Кусымжанов С.М. Современная диагностика и эндоскопические методы лечения кистозных заболеваний почек // Алма-Ата, 1998. С. 6.
- Величко М.А., Малиновский П.А. Истинная мультилокулярная киста почки. Возможности и перспективы диагностики и лечения в клинической практике // Москва, 1992. С. 110-112.
- Пытель А.Я., Пугачев А.Г. Очерки по детской нефрологии // Москва. 1977.
- Лопаткин Н.А., Люлько Е.Б. Аномалии мочеполовой системы // Киев. "Здоровье". 1987.
- Русаков В.Н., Мироненко Н.М., Полежаев К.Л., Сарынин В.Н. О мультилокулярных кистах в мультикистозных почках // Материалы научно-практической конференции врачей и научных работников, посвященной 75-летию Омской областной клинической больницы. Омск. 1995. С. 143-145.
- Маркосян Т.Г., Григорян В.А. Особенности диагностики кистозных новообразований почек // Материалы третьего конгресса Российского обществаонкоурологов. 2-3 октября 2008 г. Москва. С. 158-159.
- Couanet D., Neuenschwander S. Renal neoplasm // Pediatric Uroradiology / Fotter R. (ed.). Berlin-New York, 2001. P. 395-412.
- Geller E., Smergel E.M., Lowry P.A. Renalneoplasms of childhood // Radiol. Clin. North. Am. 1997. V. 35. P. 1391-1413.
- Murphy W.M., Grignon D.J., Perlman E.J. Kidney tumours in children // Murphy W.M. et al. Tumours of the Kidney, Bladder, and Related Urinary Structures.Washington. 2004. P. 1-100.
- Strouse P.J. Pediatric renal neoplasms // Radiol. Clin. North. Am. 1996. V. 34. P. 1081-1100.
- Григорян В.А., Амосов А.В. Особенности регионального кровообращения у больных с жидкостными образованиями почек // Сборник тезисов 1 съезда врачей ультразвуковой диагностики Центрального Федерального округа. С. 150.
- Riccabona M. Imiaging of renal tumours in infancy and childhood // Eur. Radiol. 2003. V. 13 (Suppl .4). P. 116-29.
- Пилипенко Н.В., Назаренко В.А. Ультразвуковая диагностика в урологии // Москва. 1993. Перспективы диагностики и лечения в клинической практике // Москва. 1992. С. 110-112.
- Дуган И.В. Цветная допплерография в диагностике почечно-клеточного рака // Український журнал малоiнвазивноi та ендоскопiчної хiрургii. 1997. # 4. С. 38-42.
- Дуган И.В. Допплеровские методы в ультразвуковой диагностике вариантов строения и аномалий развития почек // Променева дiагностика, променева терапiя. Збiрка наукових робiт Асоцiацii радiологiв Украiни. 1999. Вып. 4. С. 76-80.
- Дуган И.В. Комплексные ультразвуковые исследования в дифференциальной диагностике патологических образований почек // Тезисы Первого Украинского конгресса специалистов ультразвуковойдиагностики, Киев, 1999. С.139-140.
- Дуган И.В. Цветная допплерография в диагностикепочечно-клеточного рака // Генiтоурорадiологiя.Матерiали конференцii, Львiв, 1996. С. 58-59.
- Кошечкина Н.А., Панферова Т.Р., Калинская И.В. Визуальные методы диагностики опухолей почек у детей // Детская онкология. 2006. N 4. С. 36-42.
- Аляев Ю.Г., Григорьев Н.А. Магнитно-резонансная томография в диагностике жидкостных образований почки // Материалы третьего конгресса Российского общества онкоурологов. 2-3 октября 2008 г. Москва. С. 132-133.
УЗ сканер Samsung HM70A
Портативный аппарат экспертного класса, монокристальные датчики, полноэкранный режим отображения, эластография, 3D/4D в корпусе ноутбука. Гибкая трансформация в стационарный сканер при наличии тележки.
Публикации по теме
- Эхография при аномалиях мочевого протока. Обзор литературы и клинический случай - Анисимов А.В.
- Применение УЗИ и КТ в диагностике кистозных образований почек I и II категории - Курзанцева О.М.
- Случай мультилокулярной кистозной нефромы почки - Курзанцева О.М.
- Ультразвуковая и рентгеновская диагностика травматического и ятрогенного повреждений стенок кист почек - Буйлов В.М.
- Микроанатомическая оценка структур в клинической эхографии - возможности и перспективы - Быковский В.А.

