Применение УЗИ и КТ в диагностике кистозных образований почек I и II категории
Рубрика: Эхография в урологии
УЗ сканер Samsung HS40
Лидер продаж в высоком классе. Монитор 21,5" высокой четкости, расширенный кардио пакет (Strain+, Stress Echo), экспертные возможности для 3D УЗИ в акушерско-гинекологической практике (STIC, Crystal Vue, 5D Follicle), датчики высокой плотности.
Введение
Простая (солитарная) киста почки - доброкачественное, тонкостенное, объемное образование, развивающееся в паренхиме почки, четко отделенное от основной паренхимы фиброзной капсулой (которая выстлана плоскоклеточным или кубическим эпителием), содержащее, как правило, серозную жидкость. По данным разных авторов, простая киста почки встречается от 1,8 до 50% случаев [1-4]. С использованием в клинической практике УЗИ и КТ количество обнаруженных солитарных кист почек значительно возросло у обследуемых больных с урологической патологией. Простые кисты почек наблюдаются чаще в возрасте 50 лет и старше, встречаются чаще у мужчин, чем у женщин в соотношении от 3:2 до 2:1.
Считается, что удобной в клинической практике является следующая классификация простой кисты почки: 1) врожденная или приобретенная; 2) односторонняя или двусторонняя; 3) одиночная или множественная; 4) серозная, геморрагическая или инфицированная; 5) интрапаренхимная, кортикальная, окололоханочная, субкапсулярная.
Общеприняты три основные теории патогенеза простой кисты почки.
- Ретенционно-воспалительная. Киста развивается в результате обструкции канальцевых и мочевых путей, а также воспаления, в том числе, возникающего в период внутриутробной жизни.
- Пролиферативно-неопластическая. Киста возникает как следствие избыточной пролиферации почечного эпителия (уротелия) с нередким злокачественным превращением.
- Эмбриональная. Киста развивается в результате дефектного соединения между фильтрационной и секреторной частями метанефронов и экскреторной ткани мезонефральных протоков (вольфов проток).
Большинство простых кист почек протекают бессимптомно и выявляются случайно при обследовании взрослого человека. В других же ситуациях на фоне аномалии структуры паренхимы почки развиваются различные заболевания и осложнения.
Боли в поясничной области встречаются у 66,3-90,8% пациентов, обычно носят тупой характер и объясняются повышением внутрипочечного давления или натяжением сосудисто-нервного сплетения по ходу почечной ножки, либо острым нарушением оттока мочи из чашечнолоханочной системы.
Следующим симптомом является гематурия, обусловленная повышением венозного давления в форникальных венах, вследствие скручивания или даже перегиба вены через почечную артерию (при запрокидывании верхнего полюса с кистозным образованием кпереди), а также в результате расстройства гемодинамики (при торзии сосудистой ножки) вследствие патологической подвижности почки. Данный симптом, по мнению разных авторов, встречается в 18-64,2% случаев.
Пальпируемое опухолевидное образование определяется у 7,6-52% пациентов, а пиурия при сочетании кистозных образований с пиелонефритом - у 56,3-78,8%.
Мнения о влиянии простых кист на функциональное состояние почек противоречивы. Одни авторы считают, что наличие кистозного образования сопровождается нарушением экскреторной функции почки, другие - отрицают это влияние.
Некоторые авторы полагают, что наличие кистозного образования приводит к артериальной гипертензии, которая обусловлена увеличивающейся выработкой ренина. Данный симптом встречается у 7,1-44% пациентов и чаще всего при поликистозе почек.
Простые кисты почек могут осложняться инфицированием в 1,48-51% случаев, кровоизлиянием - 0,44-31% или разрывом стенки кисты в 0,89-18% случаев.
На фоне аномалий развития почек различные заболевания (хронический пиелонефрит, гидронефроз, нефролитиаз) встречаются в два раза чаще, при этом многократно возрастает угроза присоединения таких грозных осложнений, как хроническая почечная недостаточность и нефрогенная гипертония.
Лабораторные методы исследования (анализ крови, мочи) в диагностике кистозных заболеваний почек позволяют получить информацию о функциональном состоянии почек, выявить наличие воспалительного процесса в мочевыделительной системе.
При наличии более информативных методов диагностики традиционные рентгенологические методы исследования (обзорная и экскреторная урография, ретроградная пиелография) уже не могут удовлетворять современным требованиям диагностики простых кист почек. Они должны рассматриваться как вспомогательные методы, позволяющие уточнить некоторые анатомо-функциональные особенности почек, определить наличие или отсутствие нарушения оттока мочи из почки, сопутствующих урологических патологических изменений.
Благодаря высокой информативности ультрасонография стала одним из ведущих методов выявления простой кисты почки. УЗИ позволяет выявить кистозный характер объемного образования, оценить четкость контуров, определить размеры и локализацию, уточнить взаимоотношения с прилегающими органами. В 90% наблюдений этот метод дает возможность определения дальнейшей тактики в отношении больного. Кроме того, УЗИ является одним из надежных методов контроля за безопасностью выполнения диагностических и лечебных пункций кист почек. Данный метод неинвазивен, экономически выгоден, не причиняет неудобств больному, легко выполним, обычно не требует подготовки больного, не зависит от функционального состояния почек, не подвергает риску облучения, позволяет проводить динамическое наблюдение и скрининг [1-16].
КТ почек - наиболее точный метод диагностики кист почек. Является методом выбора для решения вопроса о возможном онкологическом процессе, оценки состояния кровоснабжения образования, определения размеров, контуров, распространении образования внутри и вне почки. КТ позволяет получить высоко информативное прямое изображение структуры почек и имеющихся новообразований, в сравнительном аспекте судить об их форме и величине, определить значения "плотности" разных участков тканей [1-13, 15, 16].
Преимущества КТ проявляются при выполнении так называемой "методики усиления", которая заключается во внутривенном введении водорастворимых йодсодержащих контрастных препаратов. В отличие от кист, злокачественные новообразования накапливают рентгеноконтрастный препарат, при этом плотность опухоли увеличивается более чем на 5-15Н.
Диагностические пункции кист почек следует применять при получении противоречивых результатов от предыдущих методов обследования. Кроме того, диагностическая часть пункционного метода при простой кисте почки закономерно переходит непосредственно в лечебное воздействие и в подавляющем большинстве случаев заканчивается введением в полость кисты склерозирующих веществ [1, 3, 4, 8, 12].
Первая категория - простая солитарная киста почки. При УЗИ простая киста почки представляется в виде эхонегативного образования округлой или овальной формы. Характерны отсутствие визуализации стенок и внутренних структур в образовании, четкие ровные непрерывные контуры. Возможно наличие эффекта дорсального усиления соответственно объему кисты (рис. 1).
а) Образование имеет округлую форму, четкие ровные контуры. Стенка не видна, внутренние структуры и перегородки отсутствуют.
б) Киста имеет эхонегативное содержимое и четкий зеркальный артефакт (эффект дорсального усиления).
Простая киста почки при КТ визуализируется как гомогенное округлое образование без видимой капсулы, четко отграниченное от нормальной паренхимы. Образование имеет однородную, относительно низкую плотность, соответствующую плотности воды (0…+20Н). При КТ с внутривенным усилением плотность, размеры и форма образования не изменяются (рис. 2).
а) До контрастирования определяются три гомогенных округлых образования с четкими ровными контурами, без видимой капсулы, однородной плотности, характерной для воды.
б) После введения контрастного вещества кисты не изменяют форму, размеры и плотность.
Если киста небольших размеров и КТ-исследование сделано толстыми срезами, то может наблюдаться эффект усреднения плотности или частичный объемный эффект (феномен парциального объема при малых образованиях). При обнаружении малых образований дополнительно проводится исследование с тонкой каллимацией рентгеновского пучка (тонкие срезы): ширина каллимации пучка рентгеновского излучения составляет максимум 1/2 от поперечника кисты.
Наблюдение 1
Больная И., 41 года, поступила в ГУЗ "Кемеровская областная клиническая больница" с жалобами на боли в поясничной области слева. Боли беспокоят в течение нескольких лет. При диспансерном наблюдении 3 года назад после УЗИ выявлена киста левой почки, при поступлении выявлен рост кисты в динамике. Объективное обследование не выявило диагностически значимых отклонений в физикальном статусе. Общий и биохимический анализы крови, общий анализ мочи в пределах нормы.
Экскреторная урография. Почки расположены типично, правая почка обычных размеров, экскреторная функция сохранена с обеих сторон. Слева почка увеличена в размерах в проекции нижнего полюса за счет дополнительного образования до 50 мм в диаметре. Деформации чашечно-лоханочной системы не выявлено.
Заключение: Объемное образование в проекции нижнего полюса левой почки.
Ультразвуковое исследование почек. Почки расположены типично. Контуры ровные, четкие, подвижность сохранена, полостная система не расширена. Мочеточники не визуализируются. Конкрементов не выявлено. В проекции нижнего полюса левой почки, экстраренально, визуализируется эхонегативное образование округлой формы, диаметром до 50 мм, с четкими, ровными, непрерывными контурами, стенка не видна, внутренние структуры отсутствуют. Имеется эффект дорсального усиления.
Заключение: Киста I категории в проекции нижнего полюса левой почки. Рост кисты в динамике при сравнении с предыдущим УЗИ (рис. 3).
Рис. 3. Наблюдение 1. Эхограмма простой кисты левой почки (I категория).
Компьютерная томография. В нижнем полюсе левой почки определяется гомогенное образование с четкими контурами, округлой формы, однородное по эхоструктуре, без признаков капсулы, четко отграничена от нормальной паренхимы, с равномерно пониженной плотностью изображения до +7 HU по шкале Хаундсвильда, диаметр 50 мм. После введения контрастного вещества образование не меняет свою форму, размеры и плотность.
Заключение: Киста I категории в проекции нижнего полюса левой почки (рис. 4).
а) До контрастирования.
б) После введения контрастного вещества.
Учитывая доброкачественный характер кисты пациентке проведена лечебно-диагностическая пункция под контролем УЗИ с последующей склеротерапией: под местной анастезией 0,25% новокаина проведена пункция кисты левой почки. Удалено 50 мл светлой серозной жидкости, которая направлена на цитологическое исследование. Введен 96% спирт в объеме 1/10 от удаленной жидкости, экспозиция 5 минут, спирт удален.
При цитологическом исследовании жидкости клеточных элементов не обнаружено.
Проведенное через 1, 3, 6 и 12 месяцев УЗИ жидкостных образований в левой почке не выявило (рис. 5).
Рис. 5. Наблюдение 1. УЗИ почки через 12 мес.
Рецидива кисты у данной пациентки при динамическом УЗИ в течение четырех лет не было отмечено.
Вторая категория - доброкачественные кистовидные образования, минимально осложненные кисты, но вызывающие некоторые сомнения по результатам лучевой диагностики. Чаще всего это кисты после кровоизлияний или воспалений, имеющие более сложную структуру, чем простые кисты. Поэтому оба определения кист - сложные (по структуре) и осложненные (воспаление, кровоизлияние) - имеют диагностическое подтверждение. В русскоязычной литературе чаще используется термин "сложные кисты", так как понятие "осложненные" нередко ассоциируется с озлокачествлением. Однако первый термин также не вполне точно определяет существо понятия "complicated cyst".
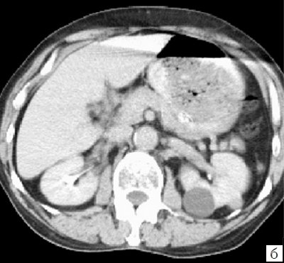
Первым из критериев, заставляющих отнести образование ко II категории, является визуализация стенки кисты при УЗИ и/или КТ (рис. 6, 7).
Четко определяется тонкая ровная стенка у кортикальной кисты.
а) До внутривенного контрастирования (определяется выбухание латерального контура левой почки, подозрительное на новообразование).
б) После контрастирования (образование по латеральному контуру не изменяет плотность и становится гиподенсивным по отношению к паренхиме почки; парапельвикальные кисты не накапливают контрастный препарат).
Наличие перегородки - второй не менее важный и самостоятельный признак. Для II категории кист характерно наличие единичных тонких, ровных перегородок, толщиной 1 мм и меньше, примыкающих к стенкам кист без видимого утолщения. При КТ с контрастированием невидимая до этого перегородка может накапливать контрастный препарат и становиться видимой.
Наблюдение 2
Больной С., 49 лет, поступил в ГУЗ "Кемеровская областная клиническая больница" с жалобами на боль в поясничной области справа. Болен в течение месяца. При осмотре диагностически значимых отклонений в физикальном статусе не выявлено. Общий и биохимический анализы крови, общий анализ мочи в пределах нормы.
Ультразвуковое исследование почек. Почки расположены типично. Контуры ровные, четкие, подвижность сохранена, полостная система не расширена. Мочеточники не визуализируются. Конкрементов не выявлено. В правой почке, в среднем сегменте, экстраренально, визуализируется эхонегативное образование диаметром до 60 мм, с четкими, ровными, непрерывными контурами, четкой стенкой, имеется эффект дорсального усиления, в полости кисты визуализируется солитарная перегородка толщиной 1 мм, которая прикрепляется к стенке кисты без видимого утолщения.
Заключение: Киста правой почки среднего сегмента II категории (рис. 8).
Рис. 8. Наблюдение 2. Эхограмма сложной кисты правой почки (II категория).
Компьютерная томография. В правой почке в среднем сегменте определяется гомогенное образование с четкими контурами, округлой формы, равномерно пониженной плотностью +6 HU по шкале Хаундсвильда, диаметром до 60 мм. Признаки капсулы отсутствуют, киста четко отделена от нормальной паренхимы. После введения контрастного вещества образование не изменяет свои размеры, форму и плотность. В полости образования определяется солитарная перегородка, толщиной до 1 мм, которая при контрастировании накапливает контраст.
Заключение: Киста правой почки среднего сегмента II категории (рис. 9).
Рис. 9. Наблюдение 2. Компьютерная томограмма сложной кисты правой почки (II категория).
С лечебной целью под местной анастезией 0,25% новокаина проведена двукратная лечебно-диагностическая пункция кисты правой почки с последующей склеротерапией. Удалено 60 мл светлой серозной жидкости, которая отправлена на цитологическое исследование. Введен 96% спирт в объеме 1/10 от удаленной жидкости, экспозиция 5 минут, спирт удален (рис. 10).
Рис. 10. Наблюдение 2. Лечебно-диагностическая пункция под УЗ-контролем. Четко виден кончик иглы.
При цитологическом исследовании жидкости клеточных элементов не обнаружено. Динамическое УЗИ через 1, 3, 6 и 12 мес жидкостных образований в правой почке не выявило (рис. 11).
Рис. 11. Наблюдение 2. УЗИ почки через 12 мес.
Рецидива кисты при динамическом наблюдении в течение четырех лет не отмечено.
Следующим диагностическим признаком, позволяющим отнести образование ко II категории, является характер отложений кальция (особенности кальцификации). До существования КТ основным методом определения кальцинатов был рентгенологический, который эффективен в 4-11%. Кроме того, выявление кальцинатов при рентгенологическом исследовании не позволяет определить характер образования (киста, эхинококкоз, абсцесс, туберкулез, ангиомиолипома, опухоль). В настоящее время основным методом диагностики кальцинатов является КТ. Наличие кальцинатов в кисте всегда тревожный знак возможного озлокачествления. Но, несмотря на это, маленькие кальцинаты линейной формы могут встречаться в стенке или перегородке доброкачественных кист. Размеры и форма кальцинатов особенно важны в дифференциальной диагностике.
Если все другие радиологические признаки, полученные при УЗИ и КТ, определяют кисту как доброкачественное образование, то наличие единичного кальцината в солитарной перегородке в виде тонкого очага линейной формы (без наличия участков тканевой плотности в образовании) не противоречит определению данной кисты как сложной, но не злокачественной, и позволяют отнести ее ко II категории (рис. 12, 13).
Эхонегативное образование округлой формы, с ровными контурами, четкой стенкой и эффектом дорсального усиления. В полости кисты визуализируется одиночная перегородка с кальцинатом.
Сложная киста правой почки (II категория). Образование (стрелка) имеет округлую форму, ровные контуры, четкую стенку. Плотность образования соответствует плотности воды. В полости образования видна одиночная перегородка с линейным кальцинатом в ней.
Единичные кальцинаты в виде линейной формы очагов могут располагаться в кисте также и пристеночно. Если при этом сохранены все остальные признаки простой кисты почки при УЗИ и КТ, то образование можно считать доброкачественным (рис. 14, 15).
а) Визуализируются пристеночно несколько кальцинатов.
б) Визуализируются пристеночно одиночный крупный кальцинат.
в) Визуализируются несколько пристеночных кальцинатов линейной формы.
а) До внутривенного контрастирования образование практически не выявляется, виден лишь точечный кальцинат.
б) После контрастирования определяется киста неправильной формы, с пристеночным единичным кальцинатом.
Ко II категории относятся и образования повышенной плотности при проведении КТ (в частности геморрагические кисты). Выполнение УЗИ у таких пациентов подтверждает жидкостный характер образования. Но здесь особенное значение имеет выполнение КТ с внутривенным "усилением". Геморрагические кисты отличаются утолщенными стенками, повышенной эхогенностью при УЗИ и повышенной плотностью при КТ. Кисты (в отличие от опухолей) не накапливают контрастное вещество и не изменяют своей плотности (рис. 16).
а) До внутривенного контрастирования определяется округлое гомогенное образование с четкими контурами, мягкотканной плотности сложной геморрагической кисты и простая киста.
б) После контрастирования обе кисты не меняют свои размеры, форму и плотность.
Литература
- Аляев Ю.Г., Амосов А.В., Газимиев М.А. Ультразвуковые методы функциональной диагностики в урологической практике. М.: Изд. Р. Валент., 2001.
- Ахметов Н.Р. Хирургическое лечение солитарных кист почек: дисс. ... канд. мед. наук. Уфа, 2000.
- Громов А.И. Диагностический подход к случайно выявленным мелким патологическим образованиям в почках // Современная лучевая диагностика в многопрофильном лечебном учреждении. СПБ, 2004. С. 87-88.
- Пальмер П.Е. Руководство по ультразвуковой диагностике. ВОЗ Женева. М.: Медицина, 2000.
- Аляев Ю.Г., Крапивин А.А., Григорьев Н.А. Особенности диагностики новообразований почки до 4 см // Мед. визуал. 2003. N2. С. 33-39.
- Аляев Ю.Г., Крапивин А.А. Резекция почки при раке. М.: Медицина, 2001.
- Аляев Ю.Г., Крапивин А.А., Аль-Агбар Н.И. Маленькая опухоль почки // Урология. 2002. N2. С. 3-7.
- Рублевский В.П., Рублевский Б.В., Ильинская Е.В., Лихачев А.Г. Малоинвазивная хирургия органов забрюшинного пространства с применением ретроперитонеоскопа. Материалы научно-практической конференции "Актуальные вопросы урологии", Кемерово, ИнСЭПЗ. 2002. С.129-132.
- Трапезникова М.Ф., Глыбин П.А., Морозов А.П. и др. Ангиогенные факторы при почечно-клеточном раке // Онкоурология. 2008. N4. С. 82-87.
- Хинман Ф. Оперативная урология: Атлас: Пер. с англ. М.: ГЭОТАР-МЕД. 2001.
- Bruyn R., Gordon I. Imaging in cystic renal disease // Arch Dis Child. 2000. V. 83. P. 401-407.
- Brian D. Davison MR Imaging of Renal Masses Interpreted on CT to Be Suspicious // AJR. 2000. V. 174. P. 1017-1022.
- Chung B.H., Kim J.H., Hong C.H. Comparison of single and multiple sessions of percutaneous sclerotherapy for simple renal cyst. BJU Int. 2000. V. 85. N 6. P. 626-627.
- Delakas D., Karyotis I., Loumbakis P. Long-term results after percutaneous minimally invasive procedure treatment of symptomatic simple renal cysts // Int Urol Nephrol. 2001. V. 32. N 3. P. 321-326.
- Hashimoto Y., Kimura G., Tsuboi N. Usefulness of power Doppler ultrasound in a patient with renal cell carcinoma in the wall of a simple renal cyst // Hinyokika Kiyo. 2001. V. 47. N 5. P. 325-327.
- Scialpil M., Di Maggio A. Small Renal Masses // AJR. 2000. V. 175. P. 751-755.
УЗ сканер Samsung HS40
Лидер продаж в высоком классе. Монитор 21,5" высокой четкости, расширенный кардио пакет (Strain+, Stress Echo), экспертные возможности для 3D УЗИ в акушерско-гинекологической практике (STIC, Crystal Vue, 5D Follicle), датчики высокой плотности.
Публикации по теме
- Диагностика рака предстательной железы с помощью гистосканирования - Амосов А.В.
- Эхография при аномалиях мочевого протока. Обзор литературы и клинический случай - Анисимов А.В.
- Применение УЗИ и КТ в диагностике кистозных образований почек I и II категории - Курзанцева О.М.
- Случай мультилокулярной кистозной нефромы почки - Курзанцева О.М.
- Ультразвуковая и рентгеновская диагностика травматического и ятрогенного повреждений стенок кист почек - Буйлов В.М.

