Оценка шейки матки во время беременности с помощью технологии ЭластоСкан™
Рубрика: Технологии, методики и стандарты
УЗ сканер Samsung HM70A
Портативный аппарат экспертного класса, монокристальные датчики, полноэкранный режим отображения, эластография, 3D/4D в корпусе ноутбука. Гибкая трансформация в стационарный сканер при наличии тележки.
Введение
Эластография широко используется для диагностики опухолей, а также во время проведения биопсии печени, слюнных, щитовидной и предстательной желез. Авторами представлены предварительные данные об оценке шейки матки с помощью эластографии для того, чтобы продемонстрировать возможность этого метода в оценке консистенции шейки матки во время беременности. Изменения шейки матки накануне родов, иначе называемые созреванием, сопровождаются ее размягчением к концу беременности. На представленных изображениях показаны изменения, на основании которых авторы сделали вывод о возможности прогнозирования преждевременных родов и успеха в случае индукции родов.
Методы
На представленных иллюстрациях, полученных с помощью технологии ЭластоСкан™, показана шейка матки во время беременности. Эхограммы в В-режиме получены с использованием критериев Фонда Медицины Плода для измерения внутреннего зева и длины цервикального канала. При эластографии была использована цветовая карта 2 (со шкалой от фиолетового до красного). Жидкость в мочевом пузыре либо амниотической полости кодируется красным цветом, а кости черепа плода фиолетовым.
Авторами предложена следующая бальная оценка изображений, полученных с помощью ЭластоСкан™: плотным структурам (фиолетовый цвет) присвоено 0 баллов, менее плотным (голубой) 1 балл, зеленый - 2, желтый - 3, красный - 4 баллами. Таким образом, была сформулирована пятибалльная шкала, названная Индексом Цервикальной Эластографии (CEI), а части шейки матки (передняя и задняя губы, внутренний и наружный зевы и цервикальный канал) оценивались в баллах по CEI.
На рис. 1 представлена незрелая шейка матки во время беременности. Консистенция шейки матки одинаковая в области внутреннего и наружного зева, цервикального канала, передней и задней губ. Все части шейки матки, представленные на рис. 1, были оценены в 0 баллов, что можно интерпретировать двояко: вся шейка матки либо плотная, либо мягкая. После проведения около 50 исследований был сделан вывод, что такая картина соответствует ригидной шейке матки без симптомов созревания.
Рис. 1. Шейка матки во время беременности без признаков созревания.
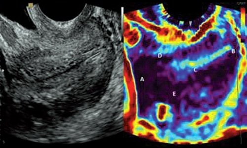
На рис. 2 представлена шейка матки при сроке беременности 28 нед, когда наружная часть губ шейки матки мягче зоны цервикального канала. Области передней и задней губы шейки матки были присвоены 5 баллов по CEI, наружному зеву - 2 балла, а средней части цервикального канала - 3 балла. В данном сроке внутренний зев шейки матки - структура, играющая наиболее значимую роль в механизме сохранения беременности, был наиболее плотной частью. Возникает вопрос: является ли этот эффект результатом размягчения стенок шейки матки, происходящего до того, как начинается созревание внутреннего зева, или результатом уплотнения области внутреннего зева как реакции на повышение давления вследствие роста плода.
Рис. 2. Шейка матки во время беременности с вероятными начальными признаками созревания.
В случае приближающихся родов (срочных или преждевременных) область внутреннего зева и вся шейка матки становятся мягче. Авторы наблюдали статистически значимую корреляцию между CEI области внутреннего зева и успехом в индукции родов с помощью окситоцина (r=0,71, p=0,0004). Чем мягче область внутреннего зева, тем были выше шансы положительной реакции на введение окситоцина. На рис. 3 и 4 показана шейка матки незадолго до родов. Внутренний зев на рис. 3 был оценен в 0 баллов, однако нижние части цервикального канала - его середина и наружный зев - соответствовали 3 баллам.
Рис. 3. Шейка матки незадолго до родов.
На рис. 4 представлена шейка матки непосредственно перед родами: область внутреннего зева соответствовала 4 баллам по CEI, аналогично средней части цервикального канала, и была мягче, чем область наружного зева (3 балла).
Рис. 4. Шейка матки непосредственно перед родами.
Сложно оценить область внутреннего зева у пациенток с несостоятельностью шейки матки. На рис. 5 представлен подобный случай, хотя интерпретация данного изображения требует проведения дальнейших исследований.
Рис. 5. Шейка матки во время беременности с признаками цервикальной недостаточности.
Авторы полагают, что изменения эластографической картины шейки матки при исследовании с помощью технологии ЭластоСкан™ столь очевидны, что выявление состояния области внутреннего зева более 1 балла по CEI, так же как и оценка всей шейки матки, аналогично представленной на рис. 3 и 4, могут быть легким и ценным прогностическим признаком наступления срочных или преждевременных родов. Исследование шейки матки с помощью технологии ЭластоСкан™ может быть методом объективной оценки созревания внутреннего зева перед срочными или преждевременными родами. Разрабатываемые стандарты свойств шейки матки, выявляемых посредством эластографии во время беременности, могут быть полезны при диагностике риска преждевременных родов на самой ранней стадии и планировании индукции родов с помощью простагландинов или окситоцина.
Литература
- Celik E.. To M.. Gajewska K.. Smith G.C. et al. (2008) Cervical length and obstetric history predictspontaneous preterm birth: development and validation of a model to provide individualized risk assessment Ultrasound Obstet. Gynecol. 31: 549-54.
- Chao AS., Chao A., Hsieh P.C. (2008) Ultrasound assessment of cervical length in pregnancy. Taiwan J. Obstet. Gynecol. 47: 291-5.
- Bishop E.H. (1964) Pelvic scoring for elective induction. Obstet. Gynecol 24: 266-8.
- Brown J.S., Crombleholme W.R. (1993) Handbook of Gynecology and Obtetri cs. Appleton and Lange; East Norwalk.
- Ross M.G., Beall M.H. (2009) Prediction of preterm birth: nonsonographic cervical methods. Semin. Perinatot 33: 312-6.
- Wischnik A. Stocklein R., Wemer T.Z. (1999) [Evaluating the pregnant cervix uteri by ultrasound with computer assisted texture analysis] Geburtshilfe Neonatol. 203:115-9.
- Kuwata T., Matsubara S.. Taniguchi N.. Ohkuchi A. et aL (2010) A novel method for evaluating uterine cewical consistency using vaginal ultrasound gray-level histogram. J. Perinat. Med. [Epub ahead of print]
- Lang C.T., Iams J.D., Tangchitnob E.. Socrate S. et al. (2010) A method to visualize 3-dimensional anatomic changes in the cervix during pregnancy: a preliminary observational study. J. Ultrasound Med. 29: 255-60.
- Myers K.M., Socrate S.. Paskaleva A.. House M. (2010) A study of the anisotropy and tension/compression behavior of human cervical tissue. J. Biomech. Eng. 132: 021003.
- Berghella V., Baxter J.K., Hendrix N.W. (2009) Cervical assessment by ultrasound for preventing preterm delivery. Cochrane Database Syst. Rev. 8: CD00723S.
- Aigner F., Mitterberger M., Rehder P., Pallwein L. et al. (2010) Status of Transrectal Ultrasound imaging of the Prostate. J. Endourol. [Epub ahead of print]
- Farrokh A.. Wojcinski S.. Degenhardt F. (2010) Diagnostic Value of Strain Ratio Measurement in the Differentiation of Malignant and Benign Breast Lesions. Ultraschall Med. [Epub ahead of print]
- Wojcinski S., Farrokh A.. Weber 5., Thomas A et al.(2010) Multicenter Study of Ultrasound Real-Time Tissue Elastography in 779 Cases for the Assessment of Breast Lesions: Improved Diagnostic Performance by Combining the Bl-RADS(R)-US Classification System with Sonoelastography.Ultraschall Med. [Epub ahead of print]
- Dighe M., Kim J., Luo S., Kim Y. (2010) Utility of the ultrasound elastographic systolic thyroid stiffness index in reducing fine-needle aspirations. J. Ultrasound Med.29: 565-74.
- Bhatia K.S., Rasalkar D.D.. Lee Y.P., Wong K.T. et aL Evaluation of real-time qualitative sonoelastography of focal lesions in the parotid and submandibular glands: applications and limitations. [Epub ahead of print]
- Inoue Y.. Takahashi M.. Arita J.. Aoki T. et al (2010) lntra-operative freehand real-time elastography for small focal liver lesions: "Visual palpation" for non-palpable tumors. Surgery. [Epub ahead of print]
- Berzigotti A, Abraldes J.G., Tandon P., Erice E. et aL Ultrasonographic evaluation of liver surface and transient elastography in clinically doubtful cirrhosis. J. Hepatot [Epub ahead of print]
- Biswas R., Patel P., Park D.W., Cichonski T.J. et al. (2010) Venous elastography: validation of a novel high-resolution ultrasound method for measuring vein compliance using finite element analysis. Semin. Dial. 23: 105-9.
- Biswas R., Patel P., Park D.W., Cichonski T.J. et aL. (2010) Venous elastography: validation of a novel high-resolution ultrasound method for measuring vein compliance using finite element analysis. Semin. Dial. 23: 105-9.
- Malgorzata Swiatkowska-Freund, Krzysztof Preis, Zofia Pankrac (2010) Ultrasound elastography in assessment of uterine cenrical consistence during pregnancy. Archives of Perinatal Medicine 16(3). 175-177. 2010..
- Malgorzata Swiatkowska-Freund. Krzysztof Preis (2010) New methods of ultrasound examination of uterine cervix before labor induction, Gin Pol Med Project 2010; 3: (17), 9-15.
УЗ сканер Samsung HM70A
Портативный аппарат экспертного класса, монокристальные датчики, полноэкранный режим отображения, эластография, 3D/4D в корпусе ноутбука. Гибкая трансформация в стационарный сканер при наличии тележки.
Публикации по теме
- Методика проведения эластографии печени и селезенки у пациентов с алкогольной болезнью печени - Борсуков А.В.
- ЭластоСкан™ в ультразвуковой диагностике молочной железы: новая технология повышает достоверность исследования - Katja Gabriel
- Клиническое применение Volume NT™ с использованием трехмерного УЗИ - Hye-Sung Won
- Оценка шейки матки во время беременности с помощью технологии ЭластоСкан™ - Святковска-Фреунд Малгожата
- VOCAL - количественный анализ в трехмерной эхографии - Анисимов А.В.
