Гемодинамика матки после хирургического гемостаза при акушерских кровотечениях
Рубрика: Эхография в акушерстве

УЗИ сканер RS80
Эталон новых стандартов! Беспрецедентная четкость, разрешение, сверхбыстрая обработка данных, а также исчерпывающий набор современных ультразвуковых технологий для решения самых сложных задач диагностики.
Введение
Кровотечения - основная причина материнской смертности в мире: от них ежегодно в мире умирают 127 000 женщин, что составляет 25% от всех материнских смертей, и тенденции к снижению частоты этого осложнения не наблюдается [1, 2].
В России 3-8%, от общего числа, родов осложняются акушерскими кровотечениями. При этом в 2-4% они связаны с гипотонией матки в последовом и послеродовом периодах [3]. Частота данного осложнения увеличивается при абдоминальном родоразрешении [1, 4]. Она в 3-5 раз выше, чем после самопроизвольных родов через естественные родовые пути [5].
Существуют различные способы остановки акушерских кровотечений. Так, В.Е. Радзинским и соавт. [6] предложен алгоритм консервативных этапов борьбы с кровотечениями: ручное обследование стенок полости матки при неуверенности в отсутствии остатков плодного яйца и целости стенок матки (однократно), введение утеротоников, клеммирование маточных артерий (МА), введение внутриматочного гемостатического баллона. При отсутствии эффекта от применения консервативного лечения, переходят к оперативной остановке кровотечения. К органосохраняющим методам относятся: наложение компрессионных гемостатических швов на матку (Б-Линча, Перейра), лигирование сосудистых пучков (маточных и яичниковых (ЯА) артерий), перевязка или эмболизация внутренних подвздошных артерий (ВПА).
В настоящее время накоплен значительный опыт как отечественных, так и зарубежных специалистов по лигированию ВПА при массивных акушерских кровотечениях [6-13]. Однако объективных данных об особенностях течения послеоперационного периода, о состоянии гемодинамики малого таза, в частности после применения хирургических методов остановки акушерских кровотечений, в настоящее время нет.
Целью данной работы явилось изучение особенностей маточной гемодинамики и течения послеродового периода после лигирования ВПА и ЯА при акушерских кровотечениях. Для достижения указанной цели были определены следующие задачи.
- Оценить эффективность перевязки ВПА и ЯА для остановки послеродовых кровотечений.
- Изучить особенности течения послеродового периода у этих женщин.
- Оценить гемодинамику маточных сосудов в разные временные периоды после перевязки ВПА и ЯА с обеих сторон.
Материал и методы
Всего обследовано 105 женщин. Основную (1-ю) группу составили 35 женщин, у которых роды осложнились гипотоническим кровотечением, с последующей перевязкой ПВА и ЯА с обеих сторон, 2-ю группу составили 35 женщин, родоразрешенных через естественные родовые пути без осложнений, 3-ю - 35 пациенток, родоразрешенных путем кесарева сечения без патологической кровопотери.
Гипотония матки в этой группе наступила на фоне следующих акушерских осложнений в родах: преждевременная отслойка нормально расположенной плаценты у 12 (34,3%) женщин, несоответствие размеров таза и предлежащей части плода - у 8 (22,8%), расслаивающая гематома при несостоятельности рубца на матке - у 1 (2,9%), дискоординация родовой деятельности - у 9 (25,7%), разрывы шейки матки II-III степени - у 5 (14,3%) женщин.
Отягощенный акушерско-гинекологический анамнез у женщин основной группы был у 27 (77,1%) пациенток. Так, наличие рубца на матке имело место у 4 (14,8%) пациенток, 3 и более медицинских аборта в анамнезе - у 5 (18,5%), самопроизвольные аборты или искусственные роды - у 3 (11,1%), хронический аднексит - у 5 (18,5%), хронический эндометрит - у 5 (18,5%), миома матки - у 4 (14,8%), двурогая матка была у 1 (3,7%) обследованной нами женщины.
Кровопотеря в группе исследования колебалась от 1000 до 2500 мл. Объем кровопотери у 28 (80%) пациенток был до 1500 мл, у 4 (11,4%) - от 1500 до 2000 мл, у 3 (8,6%) - от 2000 до 2500 мл.
Первым этапом лечения гипотонии матки II типа проводилась консервативная терапия, которая не принесла положительного эффекта. Это потребовало выполнения хирургического гемостаза. Для остановки кровотечения были применены различные методы хирургического лечения. Так, перевязка ВПА и ЯА с обеих сторон была выполнена всем пациенткам, из них 3 (8,6%) предварительно был наложен компрессионный шов на матку по Б-Линчу без эффекта.
В послеоперационном периоде оценивали температурную реакцию пациенток, длительность их пребывания в послеродовом отделении, динамику инволюции матки, а также артериально-венозную гемодинамику в маточных и яичниковых сосудах с обеих сторон.
Ультразвуковое исследование проводилось на аппарате с использованием конвексных трансабдоминального и трансвагинального мультичастотных трансдьюсеров, позволяющих проводить дуплексное сканирование в режиме цветового допплеровского картирования (ЦДК). Сканирование проводилось в течение всего послеоперационного периода. Маточные сосуды (a. et v.uterine) сканировали в сагиттальной плоскости, что позволяло оценить индексы сопротивления в артериальных сосудах: индекс резистентности (Ri) и пульсационный индекс (Pi), а также пиковую систолическую скорость (Ps) и конечную диастолическую скорость (Ed); в венах - среднюю линейную скорость потока крови (Vtamx). Трансабдоминальное сканирование в 83,7% случаев позволило адекватно визуализировать изучаемые сосуды. Лишь в 16,3% наблюдений из-за выраженного метеоризма потребовалось использование трансвагинального трансдьюсера.
Инволюцию матки в послеродовом периоде оценивали при эхографии по традиционной методике [14].
Статистическую обработку полученных данных проводили с помощью компьютерной программы MSExel-2003. Достоверное отличие признаков определяли с помощью t-критерия Стьюдента (p = 95%) с учетом коэффициента корреляции Пирсона.
Результаты
Перевязка ВПА и ЯА с обеих сторон при гипотонии матки II типа была выполнена всем пациентка 1-й группы (рис. 1, 2). В 91,6% это способствовало остановке кровотечения и, как следствие, сохранению органа. Следует отметить, что ни в одном из анализируемых случаев после перевязки ВПА и ЯА с обеих сторон не было некроза матки и яичников.

1 - общая подвздошная артерия;
2 - наружная подвздошная артерия;
3 - внутренняя подвздошная артерия.

1 - общая подвздошная артерия;
2 - наружная подвздошная артерия;
3 - кровоток во ВПА ниже места перевязки не определяется.
Анализ кривых температуры тела в послеродовом периоде выявил недостоверные отличия в группах. В динамике послеродового периода у пациенток всех групп имело место снижение температуры тела до нормальных цифр. Некоторые подъемы температуры тела у пациенток 3-й группы на 4-е сутки (в среднем до 37°C) не выходили за рамки физиологических значений и объяснялись особенностями инволюции матки после кесарева сечения у 4 (11,43%) родильниц.
Инволюция матки во всех группах имела сходную, однонаправленную динамику, но в абсолютных числах высота дна матки имела различные значения в пределах физиологической нормы. При ультразвуковой оценке размеров матки на 5-е сутки послеродового периода установлено, что у подавляющего большинства пациенток всех групп размеры матки соответствовали нормативу послеродового периода. Имевшиеся отличия размеров матки в группах были недостоверными (р > 0,05). Таким образом, темпы инволюции матки после использованного метода хирургического гемостаза существенно не отличаются от физиологических.
При анализе сроков пребывания в родильном стационаре были отмечены достоверные различия между пациентками 1-й и 2-й групп. Это объясняется не осложненным течением послеродового периода у родильниц после физиологических родов. Продолжительность послеоперационного/послеродового периодов у пациенток 1-й и 3-й групп была сравнимой. Так, пациентки 1-й группы в среднем были выписаны на 6,9±0,1 день, что достоверно не отличалось от сроков выписки пациенток 3-й группы (6,6±0,1 день). Таким образом, несмотря на осложненный кровотечением соматический статус пациенток 1-й группы перевязка ВПА и ЯА с обеих сторон не привела к увеличению сроков пребывания в послеродовом отделении.
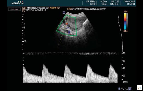
Ультразвуковое исследование кровотока в МА выявило следующие особенности. После перевязки ВПА и ЯА с обеих сторон на фоне акушерских кровотечений в течение первых суток послеоперационного периода кровоток в МА не регистрировался ни в одном из анализируемых случаев (рис. 3). На вторые сутки послеоперационного периода кровоток в МА отмечался у 6,6% пациенток. На третьи сутки кровоток в МА регистрировался у 93,4% пациенток (рис. 4). На пятые сутки гемоциркуляция в МА отмечалась у всех оперированных женщин.

Кровоток в левом сосудистом пучке матки (a. et vena uterine sinistra) не определяется (стрелки).

а) В правой артерии матки (a. uterine dextra).

б) В левой артерии матки (a. uterine sinistra).

в) В правом сосудистом пучке матки (v. uterine dextra).
Анализ допплерометрических характеристик маточной гемодинамики в группах выявил следующее (табл. 1-5). Во всех изучаемых группах достоверных отличий гемодинамики в правых отделах матки (как в артериях, так и в венах) от гемодинамики в левых не было выявлено. Кроме этого, сравнение динамики показателей маточной гемоциркуляции во 2-й и 3-й группах статистически значимых отличий не выявило.
Сутки | 1-я группа | 2-я группа | 3-я группа | |||
---|---|---|---|---|---|---|
правая | левая | правая | левая | правая | левая | |
Третьи | 0,08 ± 0,04 | 0,09 ± 0,04 | 0,89 ± 0,22 | 0,87 ± 0,26 | 0,58 ± 0,04 | 0,62 ± 0,04 |
Пятые | 0,88 ± 0,04 | 0,90 ± 0,04 | 0,54 ± 0,04 | 0,63 ± 0,02 | 0,58 ± 0,03 | 0,68 ± 0,02 |
Седьмые | 0,98 ± 0,05 | 0,96 ± 0,05 | 0,58 ± 0,03 | 0,65 ± 0,04 | 0,57 ± 0,03 | 0,65 ± 0,03 |
P1-2 | < 0,01 | < 0,01 | < 0,01 | < 0,01 | > 0,05 | > 0,05 |
P1-3 | < 0,001 | > 0,05 | < 0,01 | < 0,01 | > 0,05 | > 0,05 |
P2-3 | > 0,05 | < 0,05 | > 0,05 | > 0,05 | > 0,05 | > 0,05 |
Сутки | 1-я группа | 2-я группа | 3-я группа | |||
---|---|---|---|---|---|---|
правая | левая | правая | левая | правая | левая | |
Третьи | 0,05 ± 0,03 | 0,06 ± 0,03 | 0,75 ± 0,05 | 0,79 ± 0,07 | 0,88 ± 0,14 | 0,82 ± 0,15 |
Пятые | 0,53 ± 0,01 | 0,53 ± 0,01 | 0,84 ± 1,02 | 0,82 ± 0,15 | 0,91 ± 0,10 | 0,88 ± 0,03 |
Седьмые | 0,55 ± 0,01 | 0,56 ± 0,02 | 0,84 ± 0,16 | 0,88 ± 0,06 | 0,90 ± 0,13 | 0,87 ± 0,08 |
P1-2 | < 0,001 | < 0,001 | > 0,05 | < 0,05 | > 0,05 | > 0,05 |
P1-3 | < 0,001 | < 0,001 | < 0,05 | < 0,05 | > 0,05 | > 0,05 |
P2-3 | > 0,05 | > 0,05 | > 0,05 | > 0,05 | > 0,05 | > 0,05 |
Сутки | 1-я группа | 2-я группа | 3-я группа | |||
---|---|---|---|---|---|---|
правая | левая | правая | левая | правая | левая | |
Третьи | 34,88 ± 2,54 | 38,82 ± 1,18 | 46,16 ± 2,83 | 46,79 ± 1,35 | 45,38 ± 1,31 | 44,54 ± 1,68 |
Пятые | 37,61 ± 3,82 | 38,88 ± 2,63 | 37,43 ± 2,82 | 38,97 ± 1,75 | 36,23 ± 1,11 | 35,38 ± 2,90 |
Седьмые | 42,34 ± 3,01 | 39,26 ± 1,93 | 35,65 ± 1,25 | 32,25 ± 2,15 | 34,41 ± 1,82 | 35,18 ± 1,09 |
P1-2 | > 0,05 | > 0,05 | < 0,05 | < 0,05 | < 0,05 | < 0,01 |
P1-3 | < 0,05 | > 0,05 | < 0,05 | < 0,01 | < 0,01 | < 0,01 |
P2-3 | < 0,05 | > 0,05 | > 0,05 | > 0,05 | > 0,05 | > 0,05 |
Сутки | 1-я группа | 2-я группа | 3-я группа | |||
---|---|---|---|---|---|---|
правая | левая | правая | левая | правая | левая | |
Третьи | 15,58 ± 1,21 | 14,44 ± 1,78 | 17,17 ± 2,72 | 14,24 ± 1,91 | 16,23 ± 1,02 | 17,08 ± 2,51 |
Пятые | 17,58 ± 1,49 | 16,35 ± 1,81 | 20,13 ± 2,58 | 14,37 ± 2,90 | 18,53 ± 2,57 | 19,21 ± 2,36 |
Седьмые | 19,26 ± 2,39 | 18,44 ± 1,50 | 15,80 ± 1,90 | 13,75 ± 1,95 | 14,21 ± 1,15 | 13,82 ± 2,72 |
P1-2 | > 0,05 | > 0,05 | > 0,05 | > 0,05 | > 0,05 | > 0,05 |
P1-3 | > 0,05 | > 0,05 | > 0,05 | > 0,05 | > 0,05 | > 0,05 |
P2-3 | > 0,05 | < 0,05 | > 0,05 | > 0,05 | > 0,05 | > 0,05 |
Сутки | 1-я группа | 2-я группа | 3-я группа | |||
---|---|---|---|---|---|---|
правая | левая | правая | левая | правая | левая | |
Третьи | 1,78 ± 1,18 | 1,82 ± 0,99 | 12,83 ± 1,43 | 8,43 ± 1,05 | 12,20 ± 1,62 | 10,76 ± 1,62 |
Пятые | 16,66 ± 2,13 | 16,01 ± 1,93 | 11,30 ± 2,68 | 8,43 ± 1,57 | 10,79 ± 2,56 | 10,09 ± 1,26 |
Седьмые | 15,34 ± 1,39 | 13,57 ± 0,72 | 6,95 ± 0,46 | 6,77 ± 0,51 | 5,70 ± 0,60 | 7,02 ± 0,29 |
P1-2 | < 0,001 | < 0,01 | > 0,05 | > 0,05 | > 0,05 | > 0,05 |
P1-3 | < 0,001 | < 0,001 | < 0,01 | > 0,05 | < 0,01 | < 0,01 |
P2-3 | > 0,05 | > 0,05 | < 0,05 | > 0,05 | < 0,001 | < 0,01 |
После лигирования ВПА и ЯА с обеих сторон на фоне кровотечения (1-я группа) к третьим суткам послеоперационного периода отмечалось восстановление маточной перфузии, о чем свидетельствуют низкие показатели индексов сопротивления в МА. Данное явление, парадоксальное с первого взгляда, с нашей точки зрения, является следствием компенсаторной активации гемодинамики малого таза за счет мощных сосудистых коллатералей, "включившихся" в маточных кровоток после перевязки крупных питающих матку сосудов (см. табл. 1, 2).
После не осложненных родов, как через естественные родовые пути, так и после не осложненного кесарева сечения к третьим суткам, наоборот, отмечалось некоторое снижение маточной перфузии, вероятно, вследствие выраженного физиологического снижения интенсивности системной гемодинамики сразу после родов. Скоростные показатели кровотока в МА во 2-й и 3-й группах женщин практически не менялись.
Необходимо отметить, что в течение первых пяти дней после перевязки магистральных сосудов спектральные характеристики кровотока в МА сохраняли особенности, характерные для гестации [15]. Так, отмечалось отсутствие ранней диастолической выемки и высокий диастолический компонент.
К седьмым суткам рост значений Ri и Pi в МА в 1-й группе женщин сопровождался также увеличением как пиковой систолической, так и конечной диастолической скоростей кровотока (см. табл. 3, 4), а характер кровотока в МА возвращался к спектру, наблюдающемуся вне беременности.
"Усиление" артериального притока к матке после перевязки ВПА и ЯА с обеих сторон сопровождалось одновременной активацией венозного оттока (см. табл. 5). Скорость венозного оттока во 2-й и 3-й группах обследованных женщин в течение всего послеродового периода достоверно не менялась.
Коррелятивных взаимосвязей между показателями артериального и венозного кровотоков в матке после лигирования ВПА и ЯА с обеих сторон не было выявлено. Однако отмечалась достоверная положительная коррелятивная связь между показателями гемодинамики противоположных МА. После перевязки ВПА и ЯА с обеих сторон в течение первых семи суток послеоперационного периода восстановления кровотока в этих сосудах не было ни в одном из анализируемых наблюдений.
После перевязки a. iliaca interna и a. ovarica с обеих сторон в течение первых семи суток послеоперационного периода восстановления кровотока в этих сосудах не было ни в одном из анализируемых наблюдений. В то же время допплерометрические параметры кровотока в a. iliaca communis и a. iliaca externa после лигирования a. iliaca interna и a. ovarica в течение семи суток после операции достоверно не менялись, практические не отличаясь от исходных значений.
Вывод
- Перевязка ВПА и ЯА позволяет достичь гемостаза в 91,6%, что сопоставимо с эффективностью выполнения экстирпации матки.
- Перевязка ВПА и ЯА не влияет на темпы инволюции матки и не приводит к ее некрозу. Длительность послеродовой госпитализации после органосохраняющих операций не отличается от таковой после физиологических родов и не осложненного кесарева сечения.
- После перевязки a. iliaca interna и a. et v. ovarica с обеих сторон в течение первых семи суток послеоперационного периода восстановления кровотока в этих сосудах не происходит при сохраненном кровотоке в a. iliaca communis и a. iliaca externa.
- Восстановление кровотока к третьим суткам послеоперационного периода в МА при лигировании ВПА и ЯА происходит, вероятно, за счет сосудистых анастомозов малого таза.
Литература
- Радзинский В.Е., Кузнецова О.А., Костин И.Н., Елисеев П.Л. Современные технологии лечения акушерских кровотечений // Фарматека. 2010. N 1. С. 12-16.
- Барышев Б.А. Современные подходы к инфузионно-трансфузионной терапии акушерских кровотечений // Журнал акушерства и женских болезней. 2003, N 1. С. 66-71.
- Айламазян Э.К. Неотложная помощь при экстремальных состояниях в акушерской практике // СПб.: СпецЛит, 2007. 400 с.
- Кровотечения в послеродовом периоде. Методическое письмо Министерства здравоохранения и социального развития Российской Федерации // Москва, 2008.
- Chai V.Y., To W.W. Uterine compression sutures for management of severe postpartum haemorrhage: five-year audit // Hong Kong Med. J. 2014. V. 20, N 2. P. 113-120.
- Радзинский В.Е., Жуковский Я.Г., Оленева М.А. и др. Лечение гипотонических маточных кровотечений. Новая технология старого метода // Акушерство и гинекология. 2007. N 1. С. 48-50.
- Авраменко Н.В., Петряев Ю.Ф., Барковский Д.Е. Перевязка внутренних подвздошных артерий как метод выбора хирургической остановки кровотечений в акушерско-гинекологической практике // Запорожский медицинский журнал. 2012. N 3. С. 5-6.
- Рымашевский А.Н., Радзинский В.Е., Красникова Н.А. и др. Хирургический компонент лечения акушерских и гипотонических кровотечений // Акушерство и гинекология. 2008. N 3. С. 30-34.
- Salvat J., Schmidt M. H., Guilbert M., Martino A. Vascular ligation for severe ob stetrical hemorrhage: review of the literature // J. Gynecol. Obstet. Biol. Reprod. 2002. V. 31. N 7. P. 629-639.
- Бреслав И.Ю. Перевязка внутренних подвздошных артерий в лечении массивных акушерских кровотечений // Дисс. 34 канд. мед. наук. М., 2009. 157 с.
- Канес Е.Б., Зубенко Н.В., Зубенко В.Б. Запланированная перевязка магистральных сосудов при высоком риске массивных акушерских кровотечений // Мать и дитя: Материалы X юбилейного Всероссийского научного форума. М., 2009. С. 83.
- Montufar-Rueda C., Rodriguez L., Jarquin J. et al. Severe postpartum hemorrhage from uterine atony: a multicentric study // J. Pregnancy. 2013. V. 2013, Article ID 525914. P. 1-6.
- Айламазян Э.К., Репина М.А., Кузьминых Т.У. Еще один взгляд на проблему акушерских кровотечений // Журнал акушерства и женских болезней. 2008. N 3. С. 3-11.
- Волков А.Е., Михельсон А.Ф. Эхография в послеродовом периоде // Ультразвуковая диагностика в акушерстве и гинекологии. Практическое руководство / Под редакцией А.Е. Волкова.- Ростов н/Д: Феникс, 2006. С. 286-290.
- Стрижаков А.Н., Баев О.Р., Черкезова Э.И. Прогностическое значение показателей венозного и артериального кровотока в различные сроки беременности // Актуальные вопросы акушерства и гинекологии. 2001-2002. Т. 1. Вып. 1. С. 93-94.

УЗИ сканер RS80
Эталон новых стандартов! Беспрецедентная четкость, разрешение, сверхбыстрая обработка данных, а также исчерпывающий набор современных ультразвуковых технологий для решения самых сложных задач диагностики.
Публикации по теме
- Оценка носовой кости в I триместре беременности: как, где, когда и зачем мы делаем - Андреева Е.Н.
- Фетальные аритмии: антенальная ультразвуковая дифференциальная диагностика, прогнозирование постнатальных результатов и перинатальная практика - Сафонова И.Н.
- Гемодинамика матки после хирургического гемостаза при акушерских кровотечениях - Волков А.Е.
- Возможности 3D эхографии в прогнозировании репродуктивных исходов после консервативной миомэктомии - Тохунц Карине
- Возможности эхографии для диагностики дефектов позвоночника плода - Мазырко М.А.