Эхографическая диагностика порока Арнольда-Киари у плода
Рубрика: Эхография в акушерстве
                                УЗИ сканер HS60
Профессиональные диагностические инструменты. Оценка эластичности тканей, расширенные возможности 3D/4D/5D сканирования, классификатор BI-RADS, опции для экспертных кардиологических исследований.
Материалом для данного исследования явились 55 ультразвуковых исследований у 55 беременных при сроках 15-40 недель гестации с верифицированным синдромом Арнольда-Киари у плода. Выявлен ряд особенностей в эхографическом изображении мозга при наличии этой аномалии в различные сроки гестации. Проведен изолированный анализ эхографических критериев порока в зависимости от плоскости сканирования и срока беременности. Показано снижение значимости известных эхографических признаков менингомиелоцеле у плода ("банан", "лимон") с увеличением срока беременности. Предложены новые, по мнению автора, более информативные критерии порока Арнольда-Киари, выявляемые в горизонтальных плоскостях (затрудненная визуализация мозжечка, расширение надшишковидного кармана 3-го желудочка, особая форма задних отделов тела бокового желудочка, а также вентрикуломегалия без расширения передних отделов 3-го желудочка). Указывается на особую информативность сагиттальной плоскости сканирования, позволяющей в 95% случаях выявлять основной морфологический признак аномалии Арнольда-Киари - вклинение мозжечка в большое затылочное отверстие и удлинение ствола мозга. Показана исключительная значимость исследования головного мозга у плода для выявления Spina Bifida.
Введение
Аномалия развития головного мозга - порок (синдром) Арнольда-Киари впервые был описан в 1986 г. [1]. Современная патоморфология выделяет три основные типа этой аномалии: I - проникновение миндалин мозжечка в шейный отдел позвоночного канала; II - вклинение дисплазированного мозжечка в большое затылочное отверстие в сочетании с удлинением ствола мозга; III - изолированное тотальное смещение структур заднего мозга в расширенное затылочное отверстие, сопровождаемое образованием грыжи (рис. 1). I тип обычно не сопровождается поражением спинного мозга и выявляется чаще у взрослых при помощи КТ и ЯМР [2]. II и III типы порока характеризуются высокой летальностью в перинатальном периоде или раннем детском возрасте [2, 3]. По данным аутопсии у детей с менингомиелоцеле аномалию Арнольда-Киари II типа обнаруживают в 95-100% случаев [2, 3] (рис. 2, 3).
                            Рис. 1. Схема различных типов порока Арнольда-Киари в сагиттальной плоскости.
                            Рис. 2. Беременность 23 недели. Порок Арнольда-Киари II типа. Вид задней черепной ямки у плода после элиминации (отмечено стрелками).
                            Рис. 3. Плод с пороком Арнольда-Киари в 19 недель. Менингоцистоцеле в крестцовой области у плода после элиминации.
Точная частота синдрома Арнольда-Киари неизвестна, однако менингомиелоцеле встречается в 1-4 случаях на 1000 рождений [4, 5], занимая одно из первых мест в структуре аномалий ЦНС. Отрицательные результаты в попытках лечения детей с менингомиелоцеле, возможно, объясняются наличием дизонтогенеза головного мозга [2]. В связи с этим возрастает роль пренатального определения не только грыжи спинного мозга, но и оценки развития головного мозга у плода с целью выявления или исключения порока Арнольда-Киари.
В большинстве публикаций как отечественных, так и зарубежных авторов, посвященных уьтразвуковой диагностике пороков ЦНС у плода, отмечаются значительные сложности в выявлении менингомиелоцеле, особенно во II триместре беременности [6-8]. При упоминании об аномалии Арнольда-Киари также обычно указывается на значительные трудности в типировании и диагностике порока [8, 9]. На современном этапе к возможным эхографическим признакам аномалии Арнольда-Киари относят внутреннюю гидроцефалию [8, 9], а также типичную форму мозгового черепа типа "лимон" и изображение мозжечка в виде "банана" [4, 9]. Однако по мнению некоторых исследователей эти признаки не отличаются высокой специфичностью по отношению к пороку Арнольда-Киари [7]. Целью настоящего исследования являлось определение надежных ультразвуковых критериев диагностики аномалии Арнольда-Киари у плода, а также разработка рациональных методических приемов сканирования при подозрении на этот порок.
Материалы и методы
Материалом для настоящего исследования явились 55 ультразвуковых исследований у 55 беременных при сроках 15-40 недель гестации с верифицированным синдромом Арнольда-Киари у плода. Возраст матерей колебался от 18 до 38 лет (средний возраст 26,4 года). Возраст отцов варьировал от 21 до 46 лет (средний возраст 29,6 года). В 23 случаях (41 %) пациентки являлись первобеременными. Повторнобеременные первородящие - 5 случаев. Повторнородящие составили 49,1% (27 человек), из них у 9 детей в анамнезе отмечены пороки развития ЦНС (анэнцефалия, Spina Bifida, синдром Смита-Лемли-Опитца, гидроцефалия). У 18 женщин в анамнезе имелись здоровые дети.
После проведенного эхографического исследования в 50 случаях беременность была прервана по медицинским показаниям в сроках 20-34 недели беременности. У 5 женщин беременность закончилась рождением живого ребенка с менингомиелоцеле. Во всех случаях живорождения дети умерли в возрасте от 12 суток до 5 месяцев жизни. Во всех наблюдениях произведено патологоанатомическое исследование. Spina Bifida отмечена в 54 случаях, из них пояснично-крестцовая локализация составила 52 (94,5%), шейная - 3 наблюдения (5,5%). Внутренняя гидроцефалия обнаружена у 44. У 2 плодов отмечена агенезия мозолистого тела, у 1 косолапость, диафрагмальная грыжа и атрезия кишечника, у 2 - микроцефалия, у 2 - наружная гидроцефалия, и у 3 - порэнцефалические кисты головного мозга. Аномальное развитие задней черепной ямки и мозжечка, характерное для порока Арнольда-Киари, отмечено во всех наблюдениях.
Эхографическое обследование плодов производилось при помощи различных ультразвуковых приборов с использованием как трансабдоминального, так и трансвагинального доступов датчиками частотой 3,5-7,5 МГц. После проведения рутинного акушерского ультразвукового обследования у всех плодов производилось сканирование головного мозга с использованием трех взаимно перпендикулярных плоскостей (горизонтальной, фронтальной, сагиттальной), при этом в каждой плоскости отмечались особенности эхографической картины.
Результаты
Для выяснения возможного разнообразия эхографического изображения мозга у плодов с пороком Арнольда-Киари в различные сроки беременности с использованием трех плоскостей сканирования все обследования были разделены на три группы: 1 - плоды при беременности 15-22 недели гестации (n=18), 2 - 23-28 недель (n=17), 3 - 28-40 недель (n=20). Выявленные особенности в эхографическом изображении мозга у плодов с синдромом Арнольда-Киари при использовании горизонтальной, фронтальной и сагиттальной плоскостей в отдельных группах представлены в табл. 1-3.
При проведении эхографического обследования спинного мозга Spina Bifida была обнаружена у 53 плодов (у 3 - шейной локализации, у 50 - пояснично-крестцовой локализации). Размер дефекта колебался от 1 до 5 см в длину. При этом зависимости между размерами дефекта спинного мозга и эхографическим изображением головного мозга не выявлено. В 1 случае дефект позвоночника у плода в 17 недель беременности не был обнаружен из-за выраженного ожирения пациентки и расположения плода в заднем виде. Учитывая особенности анатомии задней черепной ямки, а также степень удлинения ствола мозга, исследование показало возможность диагностики типа порока Арнольда-Киари.
Порок Арнольда-Киари II типа обнаружен у 52,1 типа - у 2 и III типа - у 1 плода (рис. 4-6). При этом наиболее информативной являлась сагиттальная плоскость. Точность эхографического выявления типа порока во всех наблюдениях совпала с патологоанатомическими данными. При диагностике III типа порока Арнольда-Киари основным критерием, наряду с выраженным удлинением ствола мозга, было выявление грыжи в затылочной области, которая была сформирована за счет расширения большого затылочного отверстия. При обследовании плодов с наличием I типа синдрома выраженность удлинения стволовой части головного мозга была незначительной, обращало на себя внимание лишь отсутствие большой цистерны и субарахноидального пространства в задней части верхних отделов позвоночного канала. Диагностика II типа порока была наиболее доступной, благодаря выраженному удлинению стволовой части мозга, а также отсутствию изображения большой цистерны и субарахноидального пространства верхней части шейного отдела позвоночного канала.
                            Рис. 4. Беременность 37 недель. Порок Арнольда-Киари I типа. Сагиттальное сканирование. Отсутствие большой цистерны (отмечено стрелкой).
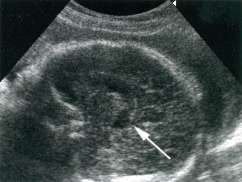
                            Рис. 5. Беременность 23 недели. Порок Арнольда-Киари II типа. Расширенные задние отделы 3-го желудочка (отмечено стрелкой).
                            Рис. 6. Беременность 17 недель. Порок Арнольда-Киари II типа. Фронтальное сканирование. Деформация межполушарной щели (1). Наличие дополнительной латеральной стенки бокового желудочка(2).
В результате эхографических обследований головного мозга плодов с пороком Арнольда-Киари в горизонтальных плоскостях (см. табл. 1) вентрикуломегалия, а именно увеличение ширины задних отделов тела бокового желудочка, обнаружена в 41 случае. Следует отметить, что расширение тел боковых желудочков в наших исследованиях не всегда сопровождалось расширением 3-го желудочка при сроках беременности 36-40 недель. Во всех наблюдениях расширение передних отделов 3-го желудочка сочеталось с расширением ширины задних отделов тела бокового желудочка более 2 см.
| Признак порока (особенность) | Число случаев и процент к числу наблюдений в группах | ||
|---|---|---|---|
| 1 (n=18)  | 
                        2 (n=17)  | 
                        3 (n=20)  | 
                        |
| "Банан" | 3 (16,6%) | 2 (11,7%) | 0 (0%) | 
| "Лимон" | 5 (27,7%) | 2 (11,7%) | 0 (0%) | 
| "Банан" + "Лимон" | 3 (16,6%) | 0 (0%) | 0 (0%) | 
| Вентрикуломегалия (ширина задних отделов тела бокового желудочка > 1,0 см)  | 
                        11 (61,0%) | 13 (76,4%) | 17 (85,0%) | 
| Расширение 3-го желудочка: передних отделов задних отделов  | 
                        0 (%) 9 (50,0%)  | 
                        1 (5,8%) 7 (41,1%)  | 
                        5 (25,0%) 10 (50,0%)  | 
                        
| Ланцетовидная форма задних отделов тела желудочка | 8 (44,0%) | 7 (41,1%) | 11 (55,0%) | 
| Затрудненная визуализация мозжечка | 12 (66,0%) | 15 (88,2%) | 19 (95,0%) | 
Расширение задних отделов 3-го желудочка в настоящем исследовании обнаружено у 26 плодов. Выявление ромбовидной структуры в области цистерны четверохолмия (см. рис. 5), соответствующее расширению надшишковидного кармана 3-го желудочка, сочеталось либо с полным отсутствием гидроцефалии, либо с вентрикуломегалией, когда ширина задних отделов тела бокового желудочка была менее 2 см. Следует отметить, что расширение задних отделов 3-го желудочка у плодов с пороком Арнольда-Киари отмечено в половине случаев в каждой из групп (см. табл. 1).
Без четкой корреляции со сроком беременности у плодов с пороком Арнольда-Киари при горизонтальных сканированиях выявлена характерная, заостренная кзади ("ланцетоподобная"), форма задних отделов тела бокового желудочка, которая в абсолютном числе наблюдений коррелировала с характерными изменениями формы боковых желудочков при фронтальных сканированиях.
При обследованиях мозга плодов во фронтальных плоскостях тело бокового желудочка на протяжении от отверстия Монро до треугольника приобретало дополнительную латеральную стенку. Следует отметить тенденцию к учащению появления этого признака у плодов с увеличением гестационного срока (см. табл. 2). Подобная тенденция наблюдалась также в эхографическом выявлении асимметрии расположения сосудистых сплетений боковых желудочков (рис. 6). Искривления мозолистого тела и асимметрия борозд медиальных поверхностей полушарий чаще отмечались у плодов во 2 и 3 группах. Отсутствие прозрачных перегородок не коррелировало с гестационным возрастом.
| Признак порока (особенность) | Число случаев и процент к числу наблюдений в группах | ||
|---|---|---|---|
| 1 (n=18)  | 
                        2 (n=17)  | 
                        3 (n=20)  | 
                        |
| Атипичность субарахноидальных пространств лобных долей | 6 (33,3%) | 13 (76,4%) | 16 (80,0%) | 
| Изменение формы боковых желудочков | 8 (44,4%) | 12 (70,5%) | 19 (95,0%) | 
| Асимметрия расположения сосудистых сплетений боковых желудочков | 11 (61,1%) | 13 (76,4%) | 15 (75,0%) | 
| Искривление молозистого тела и асимметрия борозд медиальных поверхностей полушарий | 3 (16,6%) | 5 (29,4%) | 9 (45,0%) | 
| Отсутствие прозрачной перегородки | 2 (11,1%) | 3 (17,6%) | 3 (15,0%) | 
При фронтальных сканированиях через лобные доли у плодов с синдромом Арнольда-Киари во 2 и 3 группах (см. табл. 2) выявлено частое атипичное изображение латеральных субарахноидальных пространств лобных долей, которое проявлялось в резком сужении или даже в полном их отсутствии при сроках беременности менее 34 недель.
Резкое удлинение ножек мозга и моста, отмеченное при сагиттальных сканированиях у плодов с пороком Арнольда-Киари, в подавляющем большинстве случаев (см. табл. 3) характеризовалось увеличением расстояния (2 см или более) между задней поверхностью валика мозолистого тела и верхней поверхностью червячка мозжечка (см. рис. 5). Следует отметить, что при наличии порока Арнольда-Киари I типа удлинение ножек мозга и моста было незначительным (см. рис. 4). Во всех случаях диагностики порока Арнольда-Киари I типа выявлялось, прежде всего, отсутствие большой цистерны, а также отмеченные выше другие признаки этой аномалии.
| Признак порока (особенность) | Число случаев и процент к числу наблюдений в группах | ||
|---|---|---|---|
| 1 (n=18)  | 
                        2 (n=17)  | 
                        3 (n=20)  | 
                        |
| Отсутствие большой цистерны вследствие смещения мозжечка | 12 (66,6%) | 16 (94,1%) | 19 (95,0%) | 
| Резкое удлинение ножек мозга и моста | 17 (94,4%) | 15 (88,2%) | 19 (95,0%) | 
Обсуждение
Ультразвуковая диагностика пороков развития ЦНС у плода за последнее десятилетие значительно повысила свои потенциальные возможности [13]. По данным Nelson N. L. et al. [10], открытые формы спинномозговой грыжи могут быть диагностированы у плода в 88% случаев, а закрытые формы - в 76%. Однако эти же авторы подчеркивают, что абсолютная возможность ультразвукового определения Spina Bifida во время пренатальных обследований колеблется от 22 до 0%. По-видимому, такая ситуация в диагностике одного из наиболее распространенных пороков ЦНС у плода обусловлена сложившейся к настоящему времени общей системой подхода к выявлению этой аномалии, включающей в себя эхографическое обнаружение признаков "лимона" и "банана", а также вентрикуломегалии в горизонтальной плоскости в сочетании с продольным и поперечным визуальным исследованием позвоночника.
Анализируя результаты настоящего исследования (см. табл. 1), при использовании горизонтальных плоскостей сканирования совокупная выявляемость таких признаков порока Арнольда-Киари, как "лимон" и "банан", составила не более 45% при сроке гестации до 22 недель и 24% при беременности до 28 недель. Вентрикуломегалия (увеличение ширины задних отделов тела бокового желудочка или atrium более 1,0 см) встретилась в 61, 76 и 85% (в 1,2 и 3 группах соответственно). Однако по данным Американского института ультразвука в медицине вентрикуломегалия при ширине задних отделов тела бокового желудочка более 1,5 см абсолютно точно устанавливается лишь в 53% случаев [10]. Затруднительное выявление или полное отсутствие визуализации мозжечка в сочетании с выявлением "ланцетовидной" формы задних отделов тела боковых желудочков и расширения надшишковидного кармана 3-го желудочка, по нашему мнению, по своей информативности значительно превосходят другие критерии порока Арнольда-Киари и менингомиелоцеле при горизонтальных сканированиях (см. табл. 1). Достаточную помощь в постановке диагноза порока Арнольда-Киари может также оказать определение вентрикуломегалии с отсутствием признаков расширения передних отделов 3-го желудочка. На это указывают как данные настоящего исследования, так и результаты ультразвуковых обследований у новорожденных с менингомиелоцеле [12].
Отсутствие в литературе данных по применению фронтальных и сагиттальных плоскостей сканирования у плодов с Spina Bifida или синдромом Арнольда-Киари несколько затрудняет интерпретацию результатов, полученных в ходе настоящего исследования (см. табл. 2, 3). Однако они не противоречат как патоморфологическим представлениям о макроскопической организации порока, так и данным постнатальных исследований мозга с применением различных визуальных методов [2, 3,11,12].
Результаты эхографических обследований, приведенные в табл. 2, указывают на наличие ряда особенностей мозга, которые могут быть выявлены при использовании фронтальных сканирований у плодов с менингомиелоцеле. Несмотря на высокую выявляемость (см. табл. 2) таких признаков, как атипичность субарахноидальных пространств лобных долей, изменение формы боковых желудочков и асимметрию сосудистых сплетений и борозд, эти критерии, по-видимому, отражают больше вторичные общие дизонтогенетические изменения мозга, связанные с различными вариантами аномального развития ЦНС [14]. Вместе с тем выявление таких особенностей может способствовать более точной диагностике аномального головного мозга и дополнять картину прогноза в каждом конкретном случае.
Частота эхографической выявляемости таких признаков, как отсутствие большой цистерны и удлинение ножек мозга (см. табл. 3), убедительно показала преимущества сагиттальной плоскости сканирования мозга для диагностики основного макроскопического признака порока Арнольда-Киари - вклинения частей мозжечка в большое затылочное отверстие. Получение изображения головного мозга плода в сагиттальной плоскости во II триместре беременности, по нашему мнению, не является сложной технической задачей. В связи с этим использование сагиттальной плоскости сканирования мозга можно предложить как одну из наиболее информативных плоскостей для диагностики или исключения аномалии Арнольда-Киари у плода как во II, так и в III триместрах беременности.
Обнаружение признаков аномалии Арнольда-Киари у плода может явиться показанием к исключению дефектов развития позвоночника (включая инвазивные), при этом даже полное отсутствие ультразвуковой информации о состоянии позвоночника указывает на наличие Spina Bifida более чем в 95% случаев.
Таким образом, выполненное исследование показало, что использование не только горизонтальной, но и других плоскостей сканирования (фронтальной, сагиттальной), позволяет выявить ряд высокоинформативных критериев аномалии Арнольда-Киари у плода. Эхографический диагноз этого порока при использовании совокупности плоскостей и учета перечисленных выше признаков не должен представлять затруднений в подавляющем большинстве случаев после 16-й недели гестации.
Литература
- Chiari H. Veber Veranderungen des Kleinhirns, des Pons und der Medulla oblongata in Folge von genitaler Hydrocephalic des Grosshirns. Denkschr Acad Wiss Wein. - N 63. - 1896. - S. 71-116.
 - Carmel P. W. The Chiari malformations and Syringomyelia/Disorders of Developing Nervous System: Diagnosis andTreatment / Ed. Hoffman H. V. - Boston. - 1986. - pp. 133-135.
 - Mc Lone D. G., Naidich T. P. Myelomeningocele / Disorders of the Developing Nervous System: Diagnosis and Treatment/Ed. Hoffman H. J. - Boston. - 1986.- pp. 87-107.
 - Nicolaides K. H., Campbell S., Gabbe S. G., Guidetti R. Ultrasound Screening for Spina Bifida: Cranial and Cerebellar Signs. The Lancet. - Vol. 2. - 1986. - pp. 72-74.
 - Pilu G., Bovicelli L. Sonography of the Fetal Cranium/Diagnosis and Therapy of Fetal Anomalies/ Ed. Hobbins J.C., Benaceraff B.R. - N. Y. - 1989. - pp. 221-258.
 - В. Н. Демидов, A. M. Стыгар, Б. И. Зыкин, М. В. Медведев, А. Г. Сичинава, М. А. Фукс, Г. Л. Доронин. Ультразвуковая диагностика в акушерстве // Ультразвуковая диагностика. Нормативные материалы и методические рекомендации. -М.: 1990.- с. 401-418.
 - Pilu G., Romero R., Rizzo N., Gabrielli S., Perot о A., Bovicelli L. Prenatal Diagnosis of Cerebro-Spinal Anomalies / The Principles and Practice of Ultrasonography in Obstetrics and Gynecology / Ed. Fleischer A.C. - 1991.- pp. 211-228.
 - Steven M., Edwards В., Filly R. Diagnosis and Management of Fetal Disorders of the Central Nervous System / Disorders of the Developing Nervous System: Diagnosis and Treatment /Ed. Hoffman H. J. - Boston. - 1986.-pp. 67-70.
 - Charvenak F. A., Isaacson G., StreltzoffJ. Normal Anatomy and Malformations of the Fetal Neural Axis / An Atlas of Ultrasonography in Obstetrics and Gynecology / Ed. Kurjak A. 1992. - pp. 33-48.
 - Nelson N. L., Filly R. A., Goldstein R. В., Callen R. W. The AIUM/ACCR Antepartum Obstetrical Sonographic Guidelines: Expectations for Detection of Anomalies. J. Ultrasound in Med., Vol. 12. - N4. - 1993.-pp. 189-196.
 - Воеводин С. М., Озерова О. Е. Эхографическая анатомия головного мозга у новорожденных разного гестационного возраста // Акуш. и гинекол. - 1991, - N 6. - с. 33-42.
 - Воеводин С. М. Эхографическая диагностика пороков развития головного мозга у новорожденных и детей грудного возраста // Педиатрия. - 1990. - N 9. - с. 45-51.
 - Pilu G. Prenatal Diagnosis of Central Nervous System Anomalies - 20 Years after. Ultrasound Obstet. Gynecol. - 1993. - Vol. 3. - N 3. - pp. 231-233.
 - Voevodin S. M. Echographic Signs of Cerebral Cortex Anomalies in the Fetus. Ultrasound Obstet. Gynecol. - 1994, Vol. 4. - Suppl. 1 - p. 209.
 
                                УЗИ сканер HS60
Профессиональные диагностические инструменты. Оценка эластичности тканей, расширенные возможности 3D/4D/5D сканирования, классификатор BI-RADS, опции для экспертных кардиологических исследований.
Публикации по теме
- Номограмма Mansoura для определения размеров шейки матки при нормальной беременности - Mohamed El-Said Ghanem
 - Базовая информация, которую следует получить при УЗИ в первом, втором и третьем триместрах беременности - Curios A. Bruguera
 - Эхографическая диагностика порока Арнольда-Киари у плода - Воеводин С.М.
 - Основы проведения УЗИ в первом триместре беременности - Birendra Joshi
 - Значение трансфундального надавливания во время проведения трансвагинального УЗИ у беременных, отобранных для наложения швов на шейку матки - M.A. Emam
 

                    