Atlas of ultrasound images - obsterics (pg. 7)

In the section "Оbsterics" of atlas the results of ultrasonic examinations of pregnant women with different durations of gestation are represented. Here you can see images of internally organs, cerebrum, cordis and the sex of the fetus, the sonograms of multiple pregnancy, the blood flow in placenta and umbilical cord, defects of fetal`s development, etc.

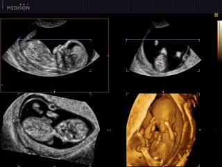
Corpus callosum of fetal brain, MSV+ОН и 3D

Accuvix-A30. Corpus callosum of fetal brain, MSV+ОН и 3D.

Fetal head, VSI & 3D

Accuvix-A30. Fetal head, VSI & 3D.

Umbilical vessels, CFM & PW

SonoAce-R7. Umbilical vessels, CFM & PW.

Fetal brain, MSV

SonoAce-R7. Fetal brain, MSV.

Fetal spine, 3D

SonoAce-R7. Fetal spine, 3D.

Fetal blood circulation, power doppler

SonoAce-R7. Fetal blood circulation, power doppler.

Fetus - 8 weeks, B-mode

SonoAce-R7. Fetus - 8 weeks, B-mode.

Cleft palate - defect of fetal`s development, 3D

SonoAce-R7. Cleft palate - defect of fetal`s development, 3D.

Fetal profile, B-mode

SonoAce-R5. Fetal profile, B-mode.

Fetus - umbilical artery, CFM & PW

SonoAce-R5. Fetus - umbilical artery, CFM & PW.

Fetus - urinary track, MSV

Accuvix-XG. Fetus - urinary track, MSV.

Fetus - nuchal translucency, Volume NT

Accuvix-XG. Fetus - nuchal translucency, Volume NT.

Fetal heart (4 chamber view), B-mode

Accuvix-XG. Fetal heart (4 chamber view), B-mode.

Fetal blood circulation, color doppler

Accuvix-XG. Fetal blood circulation, color doppler.

Fetal ductus venosus, CFM & PW

Accuvix-XG. Fetal ductus venosus, CFM & PW.

Corpus callosum of fetal brain, OVIX & 3D

Accuvix-XG. Corpus callosum of fetal brain, OVIX & 3D.

Fetus - 8 weeks, B-mode

Accuvix-XG. Fetus - 8 weeks, B-mode.

Fetгы - bilateral pleural effusion, B-mode

Accuvix-XG. Fetгы - bilateral pleural effusion, B-mode.

Fetus - bilateral pleural effusion, MSV

Accuvix-XG. Fetus - bilateral pleural effusion, MSV.

Fetus - abdominal cyst, MSV

Accuvix-XG. Fetus - abdominal cyst, MSV.

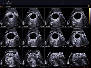
Fetus - 13 weeks, MPR, HDVI

Accuvix-XG. Fetus - 13 weeks, MPR, HDVI.

Fetal spine, HDVI, 3D

Accuvix-XG. Fetal spine, HDVI, 3D.

Fetal face, 3D

Accuvix-XG. Fetal face, 3D.

Fetal heart, B-mode

SonoAce-R3. Fetal heart, B-mode.

Pages:  «  05 06 07 08 09 next

The description of ultrasound examinations in russian (эхография) and in english are situated in the database. The description of the diagnostic in the english language is closer to latin and doctors are likely to prefer this variant.