Цветовое допплеровское картирование в диагностике рака эндометрия
Москва, Россия
Рубрика: Эхография в гинекологии

УЗИ сканер RS80
Эталон новых стандартов! Беспрецедентная четкость, разрешение, сверхбыстрая обработка данных, а также исчерпывающий набор современных ультразвуковых технологий для решения самых сложных задач диагностики.
Рак эндометрия является доcтаточно частой патологией и занимает второе место среди всех злокачественных заболеваний женских половых органов. Статистические данные последних лет свидетельствуют о существенном возрастании заболеваемости раком эндометрия - в нашей стране ежегодное увеличение составляет приблизительно 6% в год [1]. За последние 20 лет заболеваемость раком эндометрия увеличилась в России в 2 раза [2]. Максимальная заболеваемость раком тела матки отмечается в возрасте 50-59 лет [3,4].
В большинстве случаев рак эндометрия является вторичным и возникает на фоне предраковых заболеваний. Г.М. Савельева и В.Н. Серов наблюдали переход доброкачественных неопластических процессов в рак у 79% больных, Я.В. Бохман - у 73% и Т.В. Савинова - у 26% [5,3,6]. К предраковым заболеваниям относят атипическую гиперплазию, аденоматозные полипы, железистокистозную гиперплазию в менопаузе (особенно рецидивирующую) или развившуюся на фоне нейроэндокринных нарушений [3,5,6]. Наиболее частый клинический признак рака эндометрия - аномальные кровяные выделения из половых путей. Несмотря на то, что рак эндометрия требует как можно более раннего проведения терапии, тем не менее от появления первых признаков заболевания до постановки окончательного диагноза проходит приблизительно 6 мес [1].
Стандартным методом дифференциальной диагностики злокачественных и доброкачественных изменений является гистопатологическое исследование ткани, полученной при раздельном диагностическом выскабливании матки с гистероскопическим контролем. Сегодня актуален вопрос изыскания возможностей неинвазивной типизации тканей с помощью цветового допплеровского картирования, энергетического допплера, импульсной допплерометрии. Согласно данным литературы, систематическое использование эхографии способствует более ранней диагностике рака эндометрия, повышению частоты встречаемости рака I стадии на 50% и уменьшению заболеваемости раком III-IV стадий в 1,5 раза [7,8].
По мнению большинства авторов, применение комплексного ультразвукового исследования с анализом кривых скоростей кровотока является высокоинформативным методом неинвазивной диагностики карциномы эндометрия, так как в подавляющем большинстве случаев заболевания отмечаются патологические кривые скоростей кровотока, характерные для сосудистой сети с низким уровнем периферического сопротивления. Индексы резистентности и пульсации позволили доказать отсутствие мышечной оболочки в стенке артериальных сосудов в бассейне неоваскуляризации при злокачественном росте опухоли. Индекс резистентности (RI) при карциноме эндометрия составляет 0,42+0,02, тогда как в норме, при атрофии эндометрия и при простой гиперплазии, эндометриальный кровоток не регистрируется [9,10-14]. Однако ультразвуковых исследований, позволяющих выявить возможности цветовой допплерографии в диагностике рака эндометрия, крайне недостаточно.
Цель работы - изучение возможностей комплексного ультразвукового исследования с использованием цветового допплеровского картирования, энергетического допплера, импульсной допплерометрии в дифференциальной диагностике доброкачественной и злокачественной патологии эндометрия в определении стадии, степени дифференцировки и глубины инвазии опухолевого процесса в миометрий.
Материалы и методы
Нами обследовано 40 больных в пре- и постменопаузальном периоде с патологией эндометрия. Использован стандартный алгоритм обследования этой группы больных. Диагноз был верифицирован при морфологическом исследовании удаленного препарата. Обнаружено 17 (42,5%) случаев гиперпластических и 23 (57,5%) случая злокачественны nх процессов эндометрия. Средний возраст больных при доброкачественной патологии составил 46,8±8,1 года, при раке эндометрия - 58,5±7 лет. Данные морфологического исследования больных представлены в табл. 1.
Морфологическая форма | Количество | % |
---|---|---|
Гиперпластические процессы | 17 | 42,5 |
Железисто-кистозная гиперплазия Железисто-фиброзные полипы Атрофический эндометрий Атипическая гиперплазия |
9 4 1 3 |
22,5 10 2,5 7,5 |
Злокачественная патология | 23 | 57,5 |
Аденокарцинома Плоскоклеточный рак Аденоакантома Сочетание аденокарциномы и эндометриальной стромальной саркомы |
17 3 2 1 |
42,5 7,5 5 2,5 |
Итого | 40 | 40 |
У 10 (58,8%) больных с гиперпластическими процессами и у 14 (60,9%) больных с аденокарциномой эндометрия наблюдалась сопутствующая миома матки небольших размеров (5-9 недель беременности). Длительное существование миомы матки (6-10 и более 10 лет) отмечено у всех пациентов с аденокарциномой.
Ультразвуковое исследование в сочетании с цветовым допплеровским картированием, энергетического допплера и импульсной допплерометрии выполнены всем пациентам на современных ультразвуковых аппаратах трансабдоминальным (конвексным датчиком с частотой 3,5 МГц) и трансвагинальным (конвексным датчиком с частотой 6,5 и 7 МГц) доступом. При эхографии оценивали размеры матки, величину, структуру, состояние полости матки и яичников. Допплеровский анализ включал определение: характера кровотока (артериальный или венозный), количества цветовых сигналов от сосудов в каждой опухоли, локализации внутриопухолевого кровотока (центральная или периферическая), наименьшего и среднего индекса резистентности (RImin и RImed) в маточных, аркуатных и опухолевых сосудах, максимальной скорости артериального (VAmax) и венозного кровотока (VVmax).
Для исключения субъективизма в оценке интенсивности внутриопухолевого кровотока нами предложена шкала. В 5-6 стопкадрах регистрировали количество цветовых сигналов от сосудов новообразования:
- "бедный" внутриопухолевый кровоток был представлен единичными цветовыми сигналами от сосудов - не более 5;
- умеренно выраженный - 5-10 цветовых сигналов;
- интенсивный, выраженный кровоток - более 10 цветовых сигналов от сосудов.
Для маточных артерий использовался частотный фильтр 100 и 50 Гц, для аркуатных и внутриопухолевых сосудов при размере "пробного объема" допплеровского луча 4 и 2 мм соответственно.
Результаты и их обсуждение
1 группа - гиперпластические процессы эндометрия (n=17). Клинически доброкачественная патология эндометрия проявлялась нарушениями менструального цикла по типу менометроррагии, анемией I-II степени у 47,1% больных. Их обследование выявило увеличение толщины М-эхо при доброкачественной патологии эндометрия в среднем - 13,8 мм (колебания 6-23 мм). При трансвагинальной эхографии железисто-кистозная гиперплазия определялась как образование повышенной эхогенности, однородной губчатой структуры с множественными точечными анэхогенными включениями и эффектом акустического усиления. При атипической гиперплазии в полости матки обнаруживалась неоднородная гиперэхогенная структура. Полипы отмечались как овальные или округлые гиперэхогенные образования, деформирующие полость матки, с небольшим количеством жидкости. При доброкачественных новообразованиях эндометрия выявлялся четкий и ровный наружный контур М-эхо.
Цветовая допплерография не зарегистрировала внутриопухолевый кровоток у 23,5% больных: при атрофическом эндометрии и в 3 случаях железисто-кистозной гиперплазии. У 76,5% пациенток обнаружен различной интенсивности периферический кровоток со средними значениями индекса резистентности. При железисто-кистозной гиперплазии отмечались единичные цветовые сигналы от сосудов, расположенные по периферии, со средними и высокими значениями индекса резистентности. При фиброзно-железистых полипах визуализировался умеренно выраженный венозный и артериальный периферический кровоток со средними показателями периферического сосудистого сопротивления. При атипической гиперплазии регистрировался интенсивный центральный и периферический внутриопухолевый кровоток со средним уровнем резистентности сосудов.
Минимальный индекс резистентности (RImin) при гиперпластических процессах эндометрия составил 0,56+0,05; максимальная скорость артериального кровотока - 9,3 см/с (колебания 5-13 см/с), максимальная скорость венозного кровотока-5 см/с (колебания 3-5 см/с).
2 группа - злокачественная патология эндометрия (n=23). Злокачественная трансформация эндометрия в большинстве случаев сопровождалась кровянистыми выделениями в постменопаузе, анемией различной степени у 73,9% пациенток.
Определение стадии рака осуществлено согласно Международной классификации рака тела матки (FIGO,1988). Сопоставление стадии и гистотипа представлено в табл. 2.
Стадия | Аденокарцинома | Другие* | Всего | |
---|---|---|---|---|
высоко- дифферен- цированная |
умеренно-дифферен- цированная |
|||
Ia | 4 | - | 1 | 5 |
Ib | 4 | 4 | 4 | 12 |
Ic | - | - | - | - |
II | - | 2 | 1 | 3 |
III | - | 2 | - | 2 |
IVc | - | 1 | - | 1 |
Итого: | 8 | 9 | 6 | 23 |
В нашем исследовании степень дифференцировки опухоли коррелировала со стадией заболевания: высокодифференцированный процесс ограничивался телом матки, при умеренно дифференцированной аденокарциноме отмечены II, III и IV стадии (распространение опухоли за пределы органа). Обследование больных с подозрением на рак эндометрия выявило увеличение толщины М-эхо до 18,1 мм (колебания 7-38 мм). При Ia стадии - толщина М-эхо составила 11,6 мм (колебания 7-20 мм), при Ib стадии - 16,5 мм (колебания 7-38 мм), при II стадии - 31 мм (колебания 27-33 мм), при III стадии-17,5 мм (колебания 16-19 мм), при IV стадии - 29 мм.
Ультразвуковыми признаками злокачественной патологии эндометрия были: неоднородость внутренней структуры образования, более высокая эхогенность по сравнению с миометрием, повышенная звукопроводимость ткани, неровный, "изъеденный" контур, проникающий в миометрий на различную глубину, наличие гипоэхогенного ободка вокруг новообразования.
У 30,4% больных с карциномой эндометрия при трансвагинальной эхографии обнаруживались локальные гиперэхогенные образования неоднородной внутренней структуры с преимущественной инвазией в определенном направлении одной из стенок матки или локализация в области дна либо одного из трубных углов. При морфологическом исследовании выявлена экзофитная форма роста опухоли I стадии. В остальных 69,6% клинических наблюдениях отмечалась эндофитная форма роста с равномерной инвазией в миометрий. У этих больных обнаружены неровные, "изъеденные" контуры опухоли, проникающей в миометрий на различную глубину, стертая граница между новообразованием и миометрием. Некроз опухоли с деформацией полости матки и наличие некоторого количества жидкости выявлены при III и IV стадиях процесса.
Неоваскуляризация эндометрия имела место у 91,3% (21) больных. Из них "бедный" и умеренно выраженный кровоток с низкими цифрами индекса резистентности наблюдался в 13% наблюдений высокодифференцированной аденокарциномы Ia стадии. Такой тип неоваскуляризации отмечен при экзофитной форме роста опухоли.
Интенсивный внутриопухолевый кровоток выявлен у 78,3% больных. При цветовой допплерографии зарегистрированы рассыпной тип кровоснабжения матки, по ходу сосудистого пучка, богатая васкуляризация миометрия со средними и низкими показателями резистентности сосудов, а также неоваскуляризация эндометрия с "мозаичной" формой картирования и низким уровнем периферического сопротивления новообразованных сосудов. Из них в 21,7% наблюдений отмечен преимущественно ве нозный тип внутриопухолевого кровотока в бассейне неоваскуляризации и с максимальной скоростью венозного кровотока - 8,3 см/с (колебания 4-13 см/с).
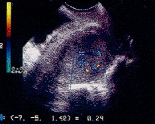
Интенсивность кровотока зависела от формы роста опухоли: при экзофитной форме отмечен интраопухолевый тип неоваскуляризации, при эндофитной - интенсивный интра- и периопухолевый тип кровотока, богатая васкуляризация миометрия (рис. 1).

а) Интра- и периопухолевый.

б) Интраопухолевый.
Хотя между выраженностью опухолевого кровотока и стадией, а также степенью дифференцировки отмечена прямая корреляция, зона неоваскуляризации соответствовала значительно более высокой стадии процесса.
RImin в бассейне неоваскуляризации составил 0,36+0,05, максимальная скорость артериального кровотока-10,2 см/с (колебания 4-22 см/с). Различные гистотипы рака эндометрия имели идентичный внутриопухолевый кровоток и низкие показатели индекса резистентности.
Цветовая допплерография не зарегистрировала неоваскуляризацию патологического процесса в 8,7% наблюдений. Причиной этого могло быть удаление опухоли малых размеров в результате предварительного диагностического выскабливания полости матки - при аденоакантоме Ia стадии и возникновение злокачественного процесса на фоне атрофии эндометрия при высокодифференцированной аденокарциноме Ia стадии.
В табл. 3 приведена сравнительная характеристика допплерометрических показателей при доброкачественной и злокачественной патологии эндометрия.
1 группа Гиперплазия эндометрия, n=17 |
II группа Рак эндометрия, n=23 |
|
---|---|---|
Внутриопухолевые сосуды | ||
Показатель гемодинамики | Кровоток отсутствует или периферический | Кровоток интенсивный - центральный и периферический |
RImin | 0,56+0,05 | 0,36+0,05 (р<0,05) |
RImed | 0,60+0,08 | 0,43+0,07 |
Range (предел) | 0,50-0,73 | 0,27-0,65 |
VAmax | 9,3 см/с | 10,2 см/с |
Range (предел) | 5-13 | 4-22 см/с |
VVmax | 5 см/с | 8,3 см/с |
Range (предел) | 3-5 | 4-13 |
Аркуатные артерии | ||
RImin | 0,61+0,07 | 0,55+0,1 |
RImed | 0,69+0,08 | 0,61+0,1 |
Range (предел) | 0,50-0,88 | 0,38-0,83 |
VAmax | 18 см/с | 15,4 см/с |
Range (предел) | 9-28 | 3-34 |
Маточные артерии | ||
RImed | 0,82+0,07 | 0,79+0,07 |
Выводы
При доброкачественных процессах эндометрия выявляется периферический внутриопухолевый кровоток со средними значениями индекса резистентности или отсутствие кровотока. Злокачественная трансформация эндометрия характеризуется наличием неоваскуляризации новообразования: интенсивный центральный и периферический опухолевый кровоток, хаотичное расположение сосудов с низким уровнем периферического сосудистого сопротивления.
Разница минимальных индексов резистентности внутриопухолевых сосудов при доброкачественной и злокачественной патологии эндометрия статистически достоверна (RImin 0,56±0,05 и 0,36±0,05, соответственно, р<0,05). Точность и чувствительность RImin = 0,36±0,05 в нашей работе составила 91,3%, специфичность - 89,5%.
Не выявлено достоверных различий в уровнях максимальной скорости артериального (9,3 см/с и 10,2 см/с соответственно) и максимальной скорости венозного кровотока (5 см/с и 8,3 см/с соответственно) в обеих группах больных.
Ультразвуковое исследование с использованием цветового допплеровского картирования, энергетического допплера, импульсной допплерометрии не позволяет оценить гистотип опухоли до операции. Но выявленный с помощью цветовой допплерографии уровень васкуляризации процесса позволяет прогнозировать быстроту роста обнаруженного новообразования.
Таким образом, комплексное ультразвуковое исследование с использованием цветовой и энергетической допплерографии, импульсной допплерометрии является высокоинформативным методом неинвазивной диагностики. Полученные результаты свидетельствуют о высокой точности метода в дифференциальной диагностике доброкачественной и злокачественной патологии эндометрия.
Литература
- Ашрафян Л.А. Стандартизированная диагностика рака эндометрия: Автореф. дис. докт. мед. наук. - М., 1989. - 40 с.
- Максимова Н.А. Некоторые аспекты ультразвуковой диагностики рака эндометрия // Ультразвук. диагн. акуш., гинек., педиатр. - 1999.-N3. - С. 196-201.
- Бохман Я.В. Руководство по онкогинекологии. - Медицина: Л., 1989. - 463 с.
- Демидов В.Н., Красикова С.П. Рак эндометрия - возможные пути его профилактики. Ультразвуковое исследование / Клинические лекции по ультразвуковой диагностике в акушерстве, гинекологии и перинатологии. - М., 1994.-С. 66-78.
- Савельева Г.М., Серов В.Н. Предрак эндометрия. - М.: Медицина, 1980.-168 с.
- Савинова Т.В. Рак эндометрия начальной стадии // Акуш. и гин. - 1988. - N5. -С. 19-24.
- Харченко Н.В. Возможности эхографии в первичной и уточняющих диагностиках рака эндометрия / Автореф. дис. канд. мед. наук. - М., 1996. - 22 с.
- Демидов В.Н., Гус А.Й. Ультразвуковая диагностика гиперпластических и опухолевых процессов эндометрия // Под ред. В.В. Митькова, М.В. Медведева. Клиническое руководство по ультразвуковой диагностике, 3 т.-Видар: М., 1997.-С. 120-131.
- Ракиц С., Маркович А., Дюкиц М. и др. Диагностика рака эндометрия с помощью трансвагинальной цветной допплеровской ультрасонографии // Sonoace international: пер. англ. - Русская версия, 1996.-N1. - С. 16 22.
- Терегулова Л.Е. Трансвагинальная эхография с использованием цветового допплеровского картирования у больных раком эндометрия // Ультразвук. диагн., 1996. - N4. - С. 21-23.
- Bourne T.H., Crayford T., Hanapson J., Reynolds K. et al. Transvaginal colour Doppler ultrasonography for the diagnosis of uterine cancer // Ultrasound Obstet. Gynecol., 1992, vol. 2, Suppl. 1, p. 75.
- Нata K., Hata T., Kitao M. Intratumoral blood flow analysis in endometrial cancer: does it differ among individual tumor characteristics? // Gynecol-Oncol., 1996, June; 61(3): 341-344.
- Kurjak A., Shalan H., Sosic A., Benic S. et al. Endometrial carcinoma in postmenopausal women: evaluation by transvaginal color Doppler ultrasonography // Am. J. Obstet. Gynecol., 1993, v. 169, p. 1597-1603.
- Оlaya F.J, Dualde D, Garcia E, Vidal P, Labrador T., Martinez F, Gordo G. Transvaginal sonography in endometrial carcinoma: preoperative assessment of the depth of myometrial invasion in 50 cases // Eur. J. Radiol., 1998, Feb., 26(3), p. 274-279.

УЗИ сканер RS80
Эталон новых стандартов! Беспрецедентная четкость, разрешение, сверхбыстрая обработка данных, а также исчерпывающий набор современных ультразвуковых технологий для решения самых сложных задач диагностики.
Публикации по теме
- Роль допплеровских методов в дифференциальной диагностике опухолей матки и яичников - Поморцев А.В.
- Особенности эхографической диагностики некоторых вариантов синдрома гиперандрогении - Кузьмина С.А.
- Цветовое допплеровское картирование в диагностике рака эндометрия - Капустина И.Н.
- Перекрут и некроз левого яичника у пятилетней девочки (описание клинического наблюдения) - Стоногин С.В.
- Значение поликлинического эхографического скрининга в снижении заболеваемости раком эндометрия - Демидов В.Н.