Антенатальный диагноз преждевременного закрытия овального окна
Рубрика: Эхография в кардиологии
УЗ сканер Samsung HM70A
Портативный аппарат экспертного класса, монокристальные датчики, полноэкранный режим отображения, эластография, 3D/4D в корпусе ноутбука. Гибкая трансформация в стационарный сканер при наличии тележки.
Введение
В антенатальном периоде в норме через овальное окно венозная кровь поступает в сердце, проходя из правого предсердия в левое, обеспечивая вместе с артериальным протоком кровообращение левых отделов сердца. С началом дыхания и уменьшения давления и сопротивления легочных сосудов повышается величина левопредсердного давления, и градиент давления между предсердиями уменьшается. Эти изменения приводят к тому, что клапанный лоскут отверстия (сrista dividens) приближается к краю межпредсердной перегородки и закрывает овальное окно. Функциональное закрытие осуществляется в течение нескольких часов. При малейшей нагрузке (плач, кормление), способствующей повышению давления в правых отделах сердца, овальное окно начинает функционировать. Клинически, по данным А. Nadas и D. Fyler [1], у 50% детей до 1 года овальное окно продолжает функционировать. Анатомическое закрытие наступает к 1-2 годам жизни. В старшем возрасте при состояниях, повышающих право-предсердное давление, возможно открытие овального окна, в частности, при беременности, тяжелой легочной недостаточности и эмболии легочной артерии.
Внутриутробное преждевременное закрытие овального окна - редкая патология. Имеются немногочисленные публикации, в которых дается описание единичных случаев данной патологии. При антенатальном закрытии овального окна развивается правожелудочковая сердечная недостаточность, и ребенок рождается обычно мертвым либо погибает вскоре после рождения [2]. Диагностика основана на интактной межпредсердной перегородке и отсутствии со общения между предсердиями. Патология очень редкая и, к сожалению, приводит к 100% гибели новорожденных.
Результаты
Предмет этой статьи - 4 наблюдения антенатального преждевременного закрытия овального окна, составивших 0,04% по отношению к общему числу выявленной кардиальной патологии. Патология определена в сроки гестации 30-37 недель. В 3 наблюдениях беременность закончилась своевременными родами и рождением детей с нормальными массо-ростовыми показателями, по шкале Апгар - 4-5 баллов, в 1 - беременность была прервана. Трое новорожденных погибли в первые часы жизни.
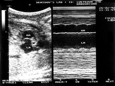
Первое наблюдение. У пациентки, 19 лет, на 22-й неделе беременности при ультразвуковом исследовании в полости левого желудочка плода выявлено плотное эхопозитивное светлое образование на фоне темной крови, синхронно движущееся с миокардом задней стенки левого желудочка на протяжении сердечного цикла. Использование цветного картирования потока показало отсутствие цветного потока или стойкий дефект наполнения (соответственно терминологии ангиографии) с ровными контурами, обтекаемый потоком. Поставлен диагноз: рабдомиома левого желудочка. На рис. 1 визуализируется плотное эхопозитивное образование размером 2,7 х 2 см, локализующееся и полностью занимающее полость левого желудочка. Опухоль представлена слоистым, подвижным образованием. Отказ пациентки от прерывания беременности позволил провести наблюдение за естественным ростом опухоли.
Рис. 1. Четырехкамерное сечение сердца плода в 30 недель гестации. Опухоль сердца прорастает миокард задней стенки левого желудочка, межжелудочковую перегородку. Межпредсердная перегородка уплотнена, овальное окно не функционирует (стрелка).
LA - левое предсердие, RA - правое предсердие, VS - межжелудочковая перегородка.
В 29 недель беременности отмечен значительный рост опухоли, распространенность процесса затронула стенки аорты, створки митрального клапана и межпредсердную перегородку. К моменту рождения опухоль вызвала формирование аортального и митрального стенозов, проросла в межпредсердную перегородку, вызвав преждевременное закрытие овального окна (рис. 2).
Рис. 2. В и М-сканирование на уровне межпредсердной перегородки, демонстрирующее отсутствие сообщения между предсердиями.
LA - левое предсердие, RA - правое предсердие.
Выраженность нарушений гемодинамики, обусловленная распространенностью опухолевого процесса, привела к летальному исходу через 8 ч после рождения. Гистологический диагноз рабдомиома.
Второе наблюдение. Беременность 37 недель. У плода имеется выраженный выпот в перикарде и плевральной полости. Отмечено нарушение ритма пароксизмальная тахикардия. Анатомически сердце сформировано правильно. Эхокардиографически выявляется дилатация нижней и верхней полых вен (рис. 3) из-за нарушения венозного возврата крови.
Рис. 3. Дилатация нижней (IVC) и верхней (SVC) полых вен при антенатальном закрытии овального окна.
Межпредсердная перегородка значительно утолщена, наиболее это выражено в области овального окна (рис. 4), клапан которого закрыт (рис. 5). Поток крови через межпредсердную перегородку отсутствует.
Рис. 4. Четырехкамерное сечение сердца. Увеличение предсердий. Межпредсердная перегородка уплотена, овальное окно закрыто. Отмечено наличие выпота в брюшной полости.
LA - левое предсердие, RA - правое предсердие (стрелкой указана область овального окна, плотная по структуре).
Рис. 5. Сканирование поперечного сечения корня аорты.
АО - аорта, LA - левое предсердие, RA - правое предсердие, AS - межпредсердная перегородка.
Из анамнеза удалось выяснить, что беременная страдает герпетической инфекцией, обострение процесса наблюдалось во время беременности. По всей вероятности, инфекционный процесс послужил причиной преждеврменного закрытия овального окна.
Третье наблюдение. Беременность 31 неделя. На фоне нормально сформированного сердца отмечено значительное увеличение правого предсердия и признаки трикуспидальной недостаточности, связанные с расширением клапанного кольца. Имеются признаки сердечной недостаточности: гепатомегалия, выпот в перикардиальной и брюшной полостях, регистрируется пароксизмальная тахикардия. Овальное окно не функционирует. Беременность прервана.
Четвертое наблюдение. Беременность 34 недели. При ультразвуковом исследовании у плода диагностирована фиброэластическая форма кардиомиопатии. Левый желудочек представлен шарообразной конфигураций с плотным светящимся эндокардом (рис. 6).
Рис. 6. Четырехкамерное сечение сердца плода. Фиброэластическая форма кардиомиопатии. Полость левого желудочка (LV) увеличена и имеет округлую форму, стенки уплотнены. Овальное окно не функционирует (стрелка), RV - правый желудочек.
Имеются признаки сердечной недостаточности: гепатомегалия и выпот в перикарде. Фиброэластический процесс распространился на межпредсердную перегородку, вызвав преждевременное закрытие овально го окна.
Обсуждение
В период внутриутробной жизни преждевременное закрытие овального окна возникает вследствие прилипания клапана к межпредсердной перегородке [3]. Патология редкая - за многие годы в отделении диагностировано 4 наблюдения. В литературных источниках также приводятся описания лишь единичных случаев патологии [4-7]. Есть данные о преждевременном закрытии овального окна вследствие нарушения кровообращения через митральный и(или) через аортальный клапаны [4,5,8] при синдроме гипоплазии левых отделов сердца. В таких случаях кровь из левого желудочка через аномальный венозный канал поступает в системную вену, как, например, через левую атриокардиальную вену, через бронхиальную вену или через синусоиды миокарда к коронарным артериям и далее через свищ в коронарный синус и правое предсердие. Можно предположить, что механизм прежде временного антенатального закрытия овального окна в данной ситуации аналогичен его функциональному закрытию после рождения: повышение давления в левом предсердии вызывает прилипание клапана овального окна к межпредсердной перегородке.
Считается, что аномальный характер кинетики клапана овального окна при ультразвуковом исследовании, проявляющийся изгибом клапана в сторону левого предсердия, и расположение клапана овального окна при М-сканировании поперек предсердия с a и b пиками являются предвестниками преждевременного закрытия овального окна [5]. Авторы связали такой характер движения клапана овального окна у 16 плодов с наличием неиммунного выпота и пароксизмальной тахикардией. В одном из наблюдений имелось спонтанное закрытие фетальной коммуникации в 23 недели гестации. Авторы, анализируя нормальный характер движения клапана овального окна в 81 наблюдении, предположили возможность преждевременного спонтанного закрытия овального окна в случае измененного характера движения клапана при наличии выпота и нарушении ритма сердечных сокращений.
Не только левые отделы могут воздействовать на функцию овального окна. Увеличение сократимости правого желудочка, увеличение правого предсердия и кольца трикуспидального клапана также могут явиться, по мнению некоторых авторов [4], причиной преждевременного закрытия овального окна. Механизм преждевременного закрытия овального окна в этих случаях аналогичен изменениям гемодинамики при синдроме гипоплазии левого желудочка и вызван венозным застоем и увеличением сопротивления выбросу, что приводит также к увеличению величины левопредсердного давления.
К причинам, оказывающим патологическое воздействие на функцию клапана овального окна, относятся опухоли сердца. В литературе приводятся данные о прорастании опухоли в межпредсердную перегородку с последующим закрытием овального окна [7,9,10].
Преждевременное закрытие овального окна может быть вызвано перенесенной внутриутробной инфекцией, что вызывает экссудативный перикардит и нарушение ритма сердечных сокращений, как это имело место в третьем и втором наблюдениях. В большинстве публикаций [4-6] прежде временное закрытие овального окна авторы связывают с неиммуннным выпотом и нарушением ритма сердечных сокращений, при чем эти проявления они считают первичны ми. Трудно определить, что первично в данной ситуации: выпот и нарушение ритма или же спонтанное закрытие овального окна, которое приводит к гемодинамическим на рушениям. В пользу последней версии свидетельствуют многочисленные наблюдения отделения функциональной диагностики плодов с наличием выпота и пароксизмальной тахикардией и функционирующим при этом овальным окном (рис. 7). В отделении также имелись наблюдения самоизлечения на протяжении беременности, когда полностью восстанавливался ритм сердечных сокращений, и выпот в полостях к моменту рождения не визуализировался.
Рис. 7. Четырехкамерное сечение сердца. Увеличение правого предсердия. Отмечено наличие выпота в перикарде (толстая стрелка) и в брюшной полости. Овальное окно функционирует (тонкая стрелка).
LA - левое предсердие, RA - правое предсердие.
Как следует из четвертого наблюдения, причиной преждевременного закрытия овального окна, может явиться фиброэластоз. Критическая ситуация может возникнуть в раннем неонатальном периоде при цианотических пороках сердца при спонтанном закрытии овального окна [11]. В таких ситуациях проводят экстренную операцию.
Таким образом, суммируя собственные результаты и данные литературы, можно от метить следующие патологические состояния у плода, которые могут явиться причиной преждевременного закрытия овального окна: синдром гипоплазии левых отделов сердца, дилатация правых отделов сердца и расширение клапанного кольца трикуспидального клапана, фиброэластоз, активная фаза инфекционного процесса во время беременности, опухоли сердца.
Литература
- Nadas A.S., Fyler D.C. Pediatric Cardioilogy. - Philadelphia,1972
- Naeye R.L.,Blanc W.A. Prenatal narrowing or closure of the foramen ovale// Ciculation,1964. - V.30,p.736.
- Банкл Г. Врожденные пороки сердца и сосудов. - М.: Медицина,1980
- Zimmer L.P., Dillenburg R.F., Dornelles A.P., Andrade A., Zielinsky P. Prenatal restriction of the foramen ovale.// Rev Esp Cardiol, 1997, Mar;50(3):18791
- Jouk P.S., Rossignol A.M., Denis B., Bost M. Restrictive ostium secundum: a new fetal malformation syndrome// Arch. Mal. Coeur Vaiss,1987. V.80. -N4. - P. 538542.
- Chobot V., Hornberger L.K., Hagen-Ansert S., Sahn D.J.Prenatal detection of restrictive foramen ovale// Echocardiography, 1998, Jul;15(5):459466.
- Gutierrez-Larraya Aguado F., Galindo Izquierdo A., Olaizola Llodio J.I., Sotelo,Rodriguez M.T., Merino Batres G., Velasco Bayon J.M., Perez Martinez A., de Castro, Fernandez J., Ordonez Perez D., de la Fuente Perez P. Fetal cardiac tumors// J Am Soc Echocardiogr, 1990, JanFeb;3(1):1519.
- Fraser W.D., Nimrod C., Nicholson S., Harder J. Antenatal diagnosis of restriction of the foramen ovale// J. Ultrasound Med., 1989. V.8, N5, p.281283.
- Затикян Е.П. Кардиология плода и новорожденного. -М.: Инфо-Медиа,1996. - 183 с.
- Затикян Е.П. Опухоли сердца у плода - возможности динамического ультразвукового наблюдения в прогнозировании жинеспособности новорожденного // Ультразвуковая диагностика. -2 000. - N2. - Cтр. 6268.
- Seliem M.A.,Shahab R.A., Palileo M. Spontaneous Obstruction of Interatrial Communication in Infants with Atrioventricular Valve Atresia or Stenosis in the Neonat Period: Serial Echocar diographicDoppler Study// J. Ultrasound Med., 1989, May;8(5):2813.
УЗ сканер Samsung HM70A
Портативный аппарат экспертного класса, монокристальные датчики, полноэкранный режим отображения, эластография, 3D/4D в корпусе ноутбука. Гибкая трансформация в стационарный сканер при наличии тележки.
Публикации по теме
- Оценка локальной сократимости миокарда левого желудочка методом тканевой допплерографии у больных с различными формами ишемической болезни сердца - Васюк Ю.А.
- Лучевая диагностика перикардита туберкулезной этиологии - Новикова А.Н.
- Антенатальный диагноз преждевременного закрытия овального окна - Затикян Е.П.
- Пренатальная диагностика тетрады Фалло - Затикян Е.П.
- Пролапс митрального клапана (диагностика, клинические и функциональные проявления, характер изменений данных функциональных методов исследования во время беременности) - Затикян Е.П.

