Возможности эхографии в диагностике аутоиммунного гепатита у детей
Москва, Россия
Рубрика: Эхография в педиатрии

УЗИ аппарат HM70A
Экспертный класс по доступной цене. Монокристальные датчики, полноэкранный режим отображения, эластография, 3D/4D в корпусе ноутбука. Гибкая трансформация в стационарный сканер при наличии тележки.
Введение
В настоящее время в связи с развитием высокоразрешающей ультразвуковой диагностической аппаратуры значительно повышается интерес к возможностям эхографии в дифференциальной диагностике диффузных болезней печени. В работах ряда авторов [l,2] представлены эхо- и доплерографические критерии оценки печени при вирусных гепатитах и циррозах печени. Однако в России в структуре хронических гепатитов у детей 2% приходится на долю аутоиммунного гепатита, что составляет значительную величину и привлекает активное внимание гепатологов [3].
Аутоиммунный гепатит - прогрессирующее гепатоцеллюлярное воспаление неясной этиологии, характеризующееся наличием перипортального гепатита, гипергаммаглобулинемии, печеночноассоциированных сывороточных аутоантител и положительным ответом на иммуносупрессивную терапию [4]. Девочки и женщины составляют 75% больных [5]. Этиология аутоиммунного гепатита неизвестна, а патогенез изучен недостаточно. В качестве возможных пусковых факторов возникновения заболевания обсуждается роль вирусов Эпштейна-Барр, гепатитов А и С, а также лекарств. Не исключается возможность возникновения аутоиммунного гепатита вследствие первично обусловленного нарушения иммунного ответа, когда появление "запрещенных клонов" аутореактивных клеток происходит без воздействия триггерных факторов [6]. Обязательным для постановки диагноза аутоиммунного гепатита является наличие аутоантител в сыворотке крови: антинуклеарных (ANA), и/или антигладкомышечных (SМА) антител при аутоиммунном гепатите I типа; аутоантител к микросомам печени и почек (anti-LKM I) при аутоиммунном гепатите II типа, гипергаммаглобулинемии, а также отсутствие признаков вирусных и метаболических болезней печени [7]. В исходе аутоиммунного гепатита не редко формируется цирроз печени в относительно короткие сроки после первой манифестации процесса. У детей цирроз печени встречается в 74% при аутоиммунном гепатите I типа и в 44% случаев при аутоиммунном гепатите II типа [5]. У взрослых ситуация об ратная: при аутоиммунном гепатите II типа чаще развивается цирроз печени, чем при аутоиммунном гепатите I типа (82% против 43%, со ответственно) [6].
Учитывая актуальность проблемы и отсутствие в доступной литературе данных о возможностях ультразвуковой диагностики в распознавании аутоиммунного гепатита, целью работы явилось определение эхографических изменений печени при аутоиммунном гепатите у детей.
Материалы и методы
Наблюдались 36 детей (31 девочка и 5 мальчиков) в возрасте от 7 до 15 лет с диагнозом аутоиммунный гепатит. Средняя продолжительность наблюдения 31,4±19,8 месяцев. К моменту поступления продолжительность заболевания была от 1 месяца до 8 лет.
Всем детям проводили лабораторное об следование, включающее общий анализ крови, биохимический анализ крови, определение содержания иммуноглобулинов (Ig) классов А, М, G, маркеров вирусных гепатитов А, В, С (anti-HAV IgM, HbsAg, anti-HBc, anti-HBe, anti-HBs, anti-HCV) методом ИФА, ДНК вируса гепатита В и РНК вируса гепатита С методом полимеразной цепной реакции (ПЦР). Были выявлены нарушения пигментного обмена, признаки цитолиза и изменений иммунологической активности. У 33 пациентов (91,7%) диагностирован аутоиммунный гепатит I типа, характеризующийся наличием ANA и SMA, но отсутствием anti-LKM I в сыворотке крови и у 3 (8,3%) детей - аутоиммунный гепатит II типа.
Пункционная биопсия печени проведена у 27 из 36 больных. Морфологическое исследование ткани печени свидетельствовало о наличии хронического гепатита у 8 больных; признаки цирроза печени были выявлены у 19 больных. У 9 больных в связи с отказом от проведения пункционной биопсии печени формирование цирроза печени было установлено на основании клинико-лабораторных данных. Таким образом, у 28 из 36 детей с аутоиммунным гепатитом был цирроз печени. Эндоскопическое исследование при поступлении в клинику выявило варикозное расширение вен пищевода 12 степени у 19 пациентов с циррозом печени и еще у 6 больных через 1-1,5 года с момента начала наблюдения.
Контрольную группу составили 25 здоровых сверстников. В качестве группы сравнения обследовано 56 детей с вирусным гепатитом В и 42 ребенка с вирусным гепатитом С в возрасте от 7 до 15 лет. Всем проводили ультразвуковое исследование органов брюшной полости и забрюшинного пространства. Использовались датчики частотой 3,5-5,0 МГц. Выполнялась обще принятая методика эхографической оценки печени и кровотока в цветовом и импульсном режимах. Исследование печени включало измерение левой доли (переднезадний, медиально-латеральный и верхненижний размеры), правой доли (верхненижний размер).
Доплерографическое исследование сосудов портальной системы и чревного ствола проводилось по воротной вене - в области ствола, по печеночным и селезеночным артериям - в месте их выхода из чревного ствола, по селезеночной вене - в области ворот селезенки, по средней печеночной вене - отступая 2-3 см от места ее впадения в нижнюю полую вену. Основными критериями оценки кровотока являлись показатели объемного кровотока, индекса резистентности по артериям и пульсового индекса по печеночной вене. Полученные результаты обрабатывались статистически по общепринятым методикам вариационнй статистики. Достоверность различий изучаемых показателей определяли по критерию Стьюдента.
Результаты исследований
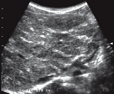
У всех детей с аутоиммунным гепатитом на стадии хронического гепатита наблюдалось диффузное увеличение печени. Четкой зависимости от активности процесса или давности заболевания не прослеживалось. Увеличение правой доли составило в среднем 20%, а левой доли - 8% по верхненижнему и 20% по медиально-латеральному размерам по сравнению с нормальными возрастными показателями. Контур печени был ровный, но с выраженной дольчатостью. Углы долей соответствовали нормальному контуру печени. Отмечалась гиперэхогенность паренхимы. Неоднородность ее была обусловлена гипер- и гипоэхогенными участками сред них размеров (3-5 мм), гиперэхогенной тяжистостью по ходу ветвей воротной вены, что создавало впечатление сетчатости печеночного рисунка (рис. 1 а). Визуализировались единичные печеночные вены с небольшой протяженностью от места впадения в нижнюю подую вену, тонкие, горизонтально направленные, с ровным контуром (косой срез печени). Ослабления ультразвука не наблюдалось, и паренхима печени хорошо прослеживалась до заднего контура. Диаметр ствола воротной вены оставался в пределах допустимых значений. Имела место гиперэхогенность стенок как ствола, так и мелких ветвей воротной вены. У одного ребенка определялось не большое раскрытие пупочной вены (до 2 мм) без признаков кровотока в ней.

а) При хроническом гепатите.

б) При циррозе печени.

в) При вирусном гепатите С.
Изменений размеров селезенки, ее паренхимы и ствола селезеночной вены не наблюдалось. Эхографических признаков портальной гипертензии в этой группе больных выявлено не было.
По данным доплерографии (таблица 1) отмечалось увеличение объемного кровотока по воротной вене за счет повышения его скорости. Диаметр сосуда был в пределах нор мы. Определялся двухфазный кровоток по средней печеночной вене в отличие от трех фазного у здоровых детей. У 2-х пациентов имел место линейный характер доплеровской кривой. Наблюдалась тенденция к увеличению индекса резистентности кровотока по печеночной артерии. Кровоток по сосудам селезенки практически не отличался от такового у детей из контрольной группы.
Сосуд | Контрольная группа (n = 25) |
Аутоиммунный гепатит | ||||
---|---|---|---|---|---|---|
Хронический гепатит (n = 8) |
Цирроз печени (n = 28) |
|||||
Q | IR | Q | IR | Q | IR | |
Воротная вена | 0,47±0,02 | 0,59±0,03* | 0,76±0,05* | |||
Печеночная артерия | 0,73±0,03 | 0,78±0,04 | 0,81±0,06* | |||
Селезеночная вена | 0,39±0,02 | 0,41±0,05 | 0,50±0,02* | |||
Селезеночная артерия | 0,59±0,02 | 0,70±0,04 | 0,75±0,04* |
* Достоверные различия по сравнению с контрольной группой (р<0,05).
При УЗИ пациентов с циррозом печени в исходе аутоиммунного гепатита было выявлено увеличение правой доли на 30-40%, левой доли на 10-20% по верхненижнему и на 40% по медиально-латеральному размерам по сравнению с возрастной нормой, и оставалось таковым до появления признаков декомпенсации процесса. У поло вины детей контур печени был неровный или явно бугристый; углы закруглены. Отмечалось повышение эхогенности паренхимы. Эхоструктура печени была неоднородной за счет узлов различных размеров и количеств, с четким контуром, однородных по структуре, чаще изоэхогенных, реже - умеренно гипоэхогенных без четкой локализации. Так же наблюдались так называемые "радиальные расщелины", которые визуализировались как гипоэхогенные тяжи по всей паренхиме печени, вертикально направленные с неровным контуром (рис. 1б). У 18% больных отмечалось ослабление ультразвука на 1/4-1/3 по переднезаднему размеру. Сосудистый рисунок был обеднен. Визуализировались единичные печеночные вены, вертикально направленные, с извитым контуром. На первый план выступали ультразвуковые признаки портальной гипертензии. Ствол воротной вены был расширен до 10-14 мм. Отмечались гиперэхогенные тяжи по ходу ствола воротной вены и ее расширенных ветвей, а также по ходу межсегментарных перегородок. Имелись множественные дополни тельные ветви воротной вены, реканализация пупочной вены с кровотоком по ней. Селезенка была значительно увеличена: у 13 детей на 15%, у 10 детей на 20-25% и 5 детей на 30-40% по сравнению с возрастной нормой. Паренхима ее была неоднородной, гиперэхогенной со множеством внутриорганных ветвей и анастомозов между селезеночной артерией и веной в области ворот. Ствол селезеночной вены был расширен до 8-14 мм и извит.
При доплерографическом исследовании отмечалось снижение скорости кровотока по воротной и селезеночной венам. Однако за счет значительного расширения диаметра этих сосудов объемный кровоток был увеличен. Индекс резистентности по печеночной и селезеночной артериям повышался (см. табл.). У всех больных с циррозом печени определялся линейный характер кровотока по средней печеночной вене.
У больных с аутоиммунным гепатитом с одинаковой частотой как при хроническом гепатите, так и при циррозе печени выявлялись различные деформации желчного пузыря (перегибы в области дна или тела) и увеличение его размеров. Уплотнение или небольшое утолщение стенок пузыря (до 2 мм) было характерно для пациентов с хроническим гепатитом, тогда как при циррозе печени чаще имело место более значительное их утолщение до (2-4 мм). У 9 детей определялся варикоз сосудов стенок желчного пузыря (один из признаков портальной гипертензии), что сочеталось с варикозным расширением вен пищевода и васкулопатией слизистой желудка по данным эндоскопического исследования.
Изменения поджелудочной железы чаще носили характер реактивных изменений, что проявлялось либо диффузным увеличением всей железы, либо увеличением какого-либо ее отдела (головки или хвоста), без изменений паренхимы. При этом отмечались множественные линейные параллельные гиперэхогенные сигналы, чаще в области хвоста или головки железы, что расценивалось как уплотнение стенок сосудов. Вирсунгов проток визуализировался в основном в области тела железы и был в пределах нормальных возрастных значений (1-2 мм). У 8 детей (28%) с циррозом печени диффузное увеличение поджелудочной железы сочеталось со снижением эхогенности ее паренхимы, то есть имели место ультразвуковые признаки панкреатита.
При поступлении в клинику всем детям назначали иммуносупрессивную терапию (преднизолон и азатиоприн). Повторные УЗИ показали, что в основном на фоне терапии отмечалось небольшое уменьшение размеров как печени, так и селезенки, а также диаметров стволов воротной и селезеночной вен. Структура и эхогенность паренхимы печени не менялись. Наблюдалась тенденция к снижению объемного кровотока по воротной вене и уменьшению индекса резистентности по печеночной артерии.
У 9 детей с циррозом печени в исходе аутоиммунного гепатита выявлялись признаки декомпенсации процесса (выраженная портальная гипертензия, угроза кровотечения из варикозно расширенных вен пищевода, печеночная энцефалопатия), что обусловило необходимость постановки вопроса о проведении у них операции ортотопической трансплантации печени.
Обсуждение
С УЗИ часто начинается обследование ребенка при подозрении на заболевание печени, поэтому встает вопрос о первичной дифференциальной диагностике болезней печени. Гиперэхогенность и неоднородность ее паренхимы при отсутствии признаков портальной гипертензии выстраивают дифференциальный ряд, на первом месте в котором стоят вирусные и затем метаболические болезни печени.
Эхографическая картина паренхимы печени у больных с аутоиммунным гепатитом на стадии хронического гепатита характеризовалась неоднородностью за счет гипер- и гипоэхогенных участков средних размеров, гиперэхогенной тяжистостью по ходу ветвей воротной вены и обеднением сосудистого рисунка. Такая картина отличалась от мелкодиффузной неоднородной паренхимы печени, наблюдаемой при гепатитах В и С в группе сравнения. Различия выявлялись также в характеристике сосудистого русла: обилие печеночных вен с ровным контуром, горизонтально направленных, прослеживающихся по всему срезу паренхимы печени. Не было ярко выраженной гиперэхогенной тяжистости по ходу ветвей воротной вены (рис. 1в), Иногда отмечались параллельные линейные средней эхогенности сигналы по ходу мелких ветвей воротной вены, но, как правило, это сочеталось с увеличением желчного пузыря, его деформациями и снижением сократительной функции. Совокупность этих признаков расценивалась как дискинезия желчевыводящих путей с явлениями холестаза.
В области ворот печени у 80% пациентов с вирусным гепатитом В и С визуализировались один или два лимфоузла овальной формы с четким, ровным контуром, гипоэхогенные и однородные по структуре. Раз мер их был в пределах 8 х 5 - 10 х 5 мм. Данный признак ни разу не был зафиксирован при аутоиммунном гепатите.
Каких-либо достоверных различий в показателях гемодинамики портального кровотока у пациентов с вирусным гепатитом и аутоиммунным гепатитом выявлено не было. Отмечалась лишь тенденция к увеличению индекса резистентности по печеночной артерии у детей с аутоиммунным гепатитом.
Таким образом, при комплексном УЗИ печени у детей с аутоиммунным гепатитом выявляются характерные диагностические признаки, которые мо гут быть использованы в дифференциальной диагностике с другими диффузными заболеваниями печени.
Литература
- Аббас Н.М. Состояние центральной и периферической гемодинамики у детей с хроническими заболеваниями печени: Дис. ...канд. мед. наук. М., 1996. 160 с.
- Митьков В.В. Количественная ультразвуковая оценка чревной гемодинамики при неопухолевых заболеваниях гепатобилипанкреатической зоны: Дис. ... д-ра мед. наук. M., 2001. 278 c.
- Terminology of Chronic Hepatitis. International Working Party Report //Am. J. Gastroenterol. 1995. Vol. 90, N 2. Р. 181-189.
- Нисевич Н.И., Учайкин В.Ф. Эволюция инфекционных болезней детей в XX веке и проблемы ХХI / Медицинский форум. 1999. N 1 (13). C. 17-20.
- Autoimmune hepatitis in childhood: 20-Year Experience / G.V.Gregorio, B. Portmann, F. Reid et al. // Hepatology. 1997. Vol. 25. P. 541547.
- Czaja A.J. Autoimmune hepatitis. Evolving concepts and treatment strategies // Dig. Dis. Sci. 1995. Vol. 40. Р.435-456.
- International Autoimmune Hepatitis Group Report: review of criteria for diagnosis of autoimmune hepatitis // Hepatol. 1999. Vol. 31. P. 929-938.

УЗИ аппарат HM70A
Экспертный класс по доступной цене. Монокристальные датчики, полноэкранный режим отображения, эластография, 3D/4D в корпусе ноутбука. Гибкая трансформация в стационарный сканер при наличии тележки.
Публикации по теме
- Эхография в диагностике уретероцеле рудиментарного мочеточника у ребенка - Павленко О.В.
- Динамика изменений стенки прямой кишки у детей с хроническими запорами по данным эхо и доплерографии - Дворяковский И.В.
- Возможности эхографии в диагностике аутоиммунного гепатита у детей - Дворяковская Г.М.
- Лучевая диагностика поражений печени, желчного пузыря и поджелудочной железы при муковисцидозе у детей - Делягин В.М.
- Ультразвуковая оценка отдаленных результатов лечения гетеродельфуса - Павленко О.В.