Абсцессы легкого - многообразие ультразвуковой семиотики
Рубрика: Функциональная диагностика

УЗИ сканер HS60
Профессиональные диагностические инструменты. Оценка эластичности тканей, расширенные возможности 3D/4D/5D сканирования, классификатор BI-RADS, опции для экспертных кардиологических исследований.
Введение
В настоящее время ультразвуковое исследование (УЗИ) является одним из основных методов диагностической визуализации во многих областях практической медицины. Однако в таком важном направлении, как пульмонология и торакальная хирургия, УЗИ грудной клетки используется редко и в основном сводится к выявлению плевральных выпотов, хотя спектр диагностируемой патологии значительно шире. Одним из перспективных эхографических направлений является диагностика абсцессов легкого, однако как в отечественной, так и в зарубежной литературе этой проблеме уделяется недостаточное внимание [1-4].
Традиционно диагностика гнойно-деструктивных заболеваний легких считается прерогативой рентгенологического метода исследования, которое, хотя и остается золотым стандартом в распознавании этой патологии, все же имеет целый ряд ограничений. Наиболее важные из них, кроме лучевой нагрузки на врача и пациента, - это эффект суммации изображений и невозможность при одинаковой плотности тени дифференцировать жидкостные и тканевые структуры. УЗИ лишено этих недостатков и предоставляет принципиально новые возможности для визуализации патологических изменений за счет формирования их двухмерного изображения с высокой пространственной и динамической разрешающей способностью [5].
Компьютерная томография также создает двухмерное изображение с высоким разрешением в виде стандартных поперечных сечений, но томографов имеется несравнимо меньше, чем ультразвуковых сканеров [6], к тому же необходимо учитывать специфику как контингента больных с гнойными деструкциями легких, так и клинической картины заболевания. Поэтому на практике абсцесс легкого обычно устанавливается на основании клинических симптомов и данных рентгенографии грудной клетки, однако с помощью этих методов не всегда можно правильно определить природу очагового затемнения в легком. Использование УЗИ позволяет получить дополнительную, а нередко и решающую информацию о заболевании, но для этого необходимо знать эхосемиотику абсцессов легкого [7, 8].
В связи с этим цель настоящего исследования - изучить ультразвуковую картину абсцессов легкого и определить возможности УЗИ грудной клетки в диагностике очагового гнойно-деструктивного процесса в легких.
Материал и методы
На базе отделений торакальной хирургии Городской клинической больницы N5 Нижнего Новгорода с 1998 по 2006 г. УЗИ грудной клетки выполнено 145 пациентам с абсцессом легкого. Исследование проводилось на сканере среднего класса с использованием механического секторного датчика 3,5 МГц по разработанной в клинике методике и записывалось на видеомагнитофон с последующей оцифровкой на компьютере. Результаты УЗИ верифицировались данными клинико-рентгенологического обследования, пункций абсцессов с микробиологическим и цитологическим анализом пунктата, оперативных вмешательств (в большинстве случаев - торакоабсцессостомии).
УЗИ грудной клетки проводилось в продольной, поперечной и косой плоскостях сканирования в вертикальном, а при необходимости в горизонтальном положении пациента при свободном дыхании и его задержке на вдохе или выдохе. Наиболее часто применялось межреберное сканирование в поисковом или прицельном режиме. В прицельном режиме датчик устанавливался в межреберье в продольной или поперечной плоскости над предполагаемым местом контакта абсцесса с грудной стенкой.
При поисковом режиме проводился целенаправленный поиск пристеночного очага по всей проекции пораженной доли или всего легкого, когда датчик последовательно перемещался вдоль межреберья и по межреберьям вверх в сочетании с покачиванием его в продольной и поперечной плоскостях. Межреберное сканирование передних отделов легкого проводилось спереди из второго - пятого межреберий с опущенной рукой, в аксиллярной области с максимально поднятой вверх на голову рукой и сзади в нижних отделах с поднятой за голову рукой, а в верхних отделах с отведением лопатки. Для этого пациент клал руку на противоположное плечо, отводя лопатку вперед и в сторону.
Все ультразвуковые критерии были разделены на основные и дополнительные: к основным отнесены эхоструктура и контуры, к дополнительным - локализация, форма и размер. Основные критерии играли определяющую роль в диагностике пристеночного образования, в то время как дополнительные не имели существенного значения и оценивались только комплексно в сочетании друг с другом, а также с клинико-анамнестическими и лабораторными данными.
Результаты и обсуждение
В соответствии с предложенным нами синдромным подходом к ультразвуковой диагностике заболеваний органов грудной полости абсцесс легкого включен в синдром пристеночного образования. Общим ультразвуковым признаком этого синдрома являлось наличие пристеночно расположенного патологического очага. Зона контакта с межреберьем служила акустическим окном для исследования его эхоструктуры и при достаточной площади соприкосновения давала возможность детально оценить содержимое и контуры полости деструкции.
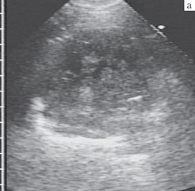
Однако даже минимальная прослойка воздушной легочной ткани между абсцессом и грудной стенкой вызывала полное отражение ультразвука и делала внутрилегочное образование эхографически невидимым, что являлось главным ограничением метода. Однако на визуализацию абсцессов легкого оно влияло редко, поскольку в большинстве случаев гнойный очаг располагался в периферических отделах легкого и соприкасался с грудной стенкой. Абсцессы в глубине легкого, не достигавшие грудной стенки, доступны сканированию при условии безвоздушности предлежащего слоя легочной ткани. Они могли находиться в структуре пневмонического инфильтрата или долевого обтурационого ателектаза и со всех сторон окружались безвоздушной паренхимой легкого (рис. 1).

Рис. 1. Острый гнойный абсцесс в структуре массивного воспалительного инфильтрата.
Топическая диагностика проводилась в соответствии с общепринятой проекцией долей и сегментов легкого на поверхность грудной клетки. Чаще поражались S6, S10 нижней доли и S2 верхней доли. Эти сегменты широко соприкасались с грудной стенкой, и абсцесс был хорошо доступен ультразвуковому сканированию. Исключение составил лишь заднелатеральный отдел S2, перекрываемый лопаткой даже при ее отведении и недоступный визуализации из аксиллярной области.
Большинство абсцессов имели овальную форму с короткой осью перпендикулярно грудной стенке, при этом длинная ось располагалась как вертикально, так и горизонтально. Размеры широко варьировали - от 3 до 13 см в наибольшем измерении, но чаще были в пределах 5- 8 см. Наиболее точно измерялась глубина абсцесса, т.е. наружно-внутренний размер, поскольку в этом направлении границы гнойной полости всегда лоцировались отчетливо. Боковые размеры часто оказывались заниженными из-за невозможности точно визуализировать латеральные границы вследствие экранирования их воздушной легочной тканью.
Ультразвуковая семиотика абсцессов легкого многообразна и зависит от содержимого его полости и состояния окружающих тканей. Основными диагностическими критериями являются эхоструктура и контуры. По эхоструктуре можно определить жидкостную или газообразную консистенцию содержимого, а при их сочетании - преобладание одного из этих компонентов и характер его распределения в гнойной полости, на основании чего оценить эффективность дренирования очага деструкции бронхами и сделать вывод о гнойной или гангренозной форме заболевания. Эхокартина контуров позволяет судить о длительности существования и степени отграничения гнойной полости от окружающего легкого, состоянии воздушности окружающей паренхимы, возможной хронизации процесса.
Нами впервые была предложена оригинальная ультразвуковая классификация абсцессов легкого, основанная на оценке эхоструктуры очага деструкции, а именно на количественном соотношении гипоэхогеного гнойного экссудата и гиперэхогенных воздушных включений и характере их пространственного расположения в полости. В зависимости от эффективности спонтанного дренирования абсцесса бронхами были выделены четыре ультразвуковых варианта, которые представляют собой последовательные стадии развития очагового гнойно-деструктивного процесса в легком:
- Блокированный абсцесс.
- Абсцесс с недостаточным спонтанным дренированием.
- Абсцесс со свободным спонтанным дренированием.
- Абсцесс с воздушной полостью.
Блокированный абсцесс представлял собой раннюю, закрытую, стадию деструкции легкого с образованием гнойной полости, окруженной легочной паренхимой и не сообщавшейся с бронхиальным деревом. Эхографически он имел вид округлого очага, чаще с однородной эхоструктурой, представленной ан- или гипоэхогенным жидким содержимым с эхогенной взвесью (гнойный детрит), но без гиперэхогенных сигналов от воздуха. Взвесь различалась по эхогенности, плотности и характеру распределения в полости деструкции. Как правило, она была мелкозернистой, достаточно рыхлой и диффузно заполняла весь абсцесс, не вызывая диагностических трудностей (рис. 2).

а) Анэхогенным содержимым с мелкозернистой редкой взвесью.

б) Гипоэхогенным содержимым с плотной взвесью, имитирующей периферический рак.
При равномерно высокой плотности густое гнойное содержимое имитировало эхогенную опухолевую ткань, в связи с чем требовалась дифференциальная диагностика с периферическим раком легкого. Неоднородная взвесь могла формировать локальные скопления повышенной эхогенности, имитирующие секвестры, но при интенсивном вдохе или кашле частицы эхогенного участка смещались независимо друг от друга, быстро изменяя его форму и контуры (рис. 3). Истинные внутриполостные тканевые фрагменты сохраняли постоянную форму, перемещаясь целиком (рис. 4).

Рис. 3. Блокированный острый гнойный абсцесс с неоднородной взвесью различной эхогенности, имитирующей секвестр (1), но при кашле частицы взвеси смещаются раздельно, значительно изменяя форму эхогенного участка.

Рис. 4. Острый гнойный абсцесс с внутриполостными метастазами семиномы в виде овальных эхогенных образований постоянной формы (1).
Полость не имела видимой стенки и ограничивалась непосредственно легочной паренхимой, которая при сохраненной воздушности лоцировалась как гиперэхогенная полоса разной ширины с неровной наружной границей, а при потере воздушности - как гипоэхогенная ткань вокруг очага деструкции.
После прорыва гнойного экссудата в бронхиальное дерево наступала открытая стадия абсцесса с наличием одного или нескольких дренирующих бронхов, по которым в полость деструкции поступал воздух и удалялось жидкостное содержимое. Для этой стадии характерна резко неоднородная эхоструктура очага за счет появления на фоне гипоэхогенного содержимого множественных гиперэхогенных сигналов, возникавших при отражении ультразвука от воздушных включений.
В зависимости от эффективности очищения гнойной полости через бронхи мы выделили абсцессы с недостаточным спонтанным дренированием и со свободным спонтанным дренированием. Эффективность дренирования оценивалась по количественному соотношению жидкого и газообразного содержимого и характеру распределения воздуха в полости деструкции. Стадии динамичны и могут переходить одна в другую в зависимости от эвакуирующей функции бронхов, степени тяжести перифокального воспаления, активности гнойно-деструктивного процесса и характера отграничения полости.
При недостаточном спонтанном дренировании в абсцессе лоцировались мелкие единичные или множественные гиперэхогенные сигналы, диффузно распределенные на фоне значительно преобладавшего жидкого содержимого. В ряде случаев они локально скапливались в одном из отделов в виде более крупных гиперэхогенных включений (рис. 5). При длительном существовании большой полости некоторое количество воздуха скапливалось в ее верхней части, образуя воздушный пузырь, вызывавший появление гиперэхогенного сигнала с акустической тенью (рис. 6). Почти у 1/3 больных с блокированными абсцессами и недостаточным спонтанным дренированием гнойной полости наблюдалось повышение плотности взвеси в пристеночных отделах, имитирующее стенку (рис. 7).

а) Равномерное.

б) Неравномерное с локальным скоплением более крупных эхосигналов у внутренней стенки полости.

Рис. 6. Крупный острый гнойный абсцесс с недостаточным спонтанным дренированием. Плотная взвесь создает псевдосолидную эхоструктуру, на фоне которой у наружной стенки определяется гиперэхогенный сигнал с акустической тенью от воздушного пузыря (1), еще одно скопление воздуха имеется ближе к нижней границе полости.

Рис. 7. Острый гнойный абсцесс с недостаточным спонтанным дренированием и единичными гиперэхогенными включениями на фоне преимущественно анэхогенного содержимого, пристеночное нарастание эхогенности экссудата вдоль внутренней стенки абсцесса.
При свободном спонтанном дренировании основная масса экссудата уже эвакуировалась через дренирующие бронхи, а поступивший в достаточном количестве воздух формировал в структуре экссудата крупные пузыри и скапливался в верхних отделах абсцесса. Для этой стадии характерно разделение содержимого на вышележащий газообразный и расположенный под ним жидкостный слои (рис. 8).

б) Поперечное сканирование на уровне гиперэхогенного воздушного содержимого.

в) Поперечное сканирование на уровне гипоэхогенного жидкого содержимого.
Свободный воздух в полости абсцесса имел вид сплошной гиперэхогенной линии с акустической тенью. При большой вязкости гнойного экссудата вместо непрерывной линии лоцировались несколько гиперэхогенных сигналов, расположенных ступенчато в непосредственной близости один от другого. Жидкое содержимое занимало нижнюю часть абсцесса, в нем также имелись гиперэхогенные включения воздуха, которые распределялись диффузно или реже с насыщенным воздушными пузырьками промежуточным слоем (рис. 9).

а) Гиперэхогенный линейный сигнал с акустической тенью от воздуха в верхней половине абсцесса (1).

б) Ступенчатое расположение гиперэхогенных линейных сигналов (1) и промежуточный слой с множественными мелкими пузырьками воздуха (2) при высокой вязкости гнойного экссудата.
Абсцессы с воздушной полостью наблюдались после полного очищения очага деструкции с относительно толстыми стенками, препятствовавшими его спадению и рубцеванию. Диагностические возможности УЗИ таких поствоспалительных воздушных полостей ограничены, поскольку весь ультразвук отражался на границе с воздухом. Визуализации был доступен лишь ограниченный участок в месте соприкосновения абсцесса с грудной стенкой, а лежащие глубже структуры перекрывались реверберациями от воздуха в полости или в окружающей паренхиме легкого.
Воздух внутри абсцесса имел вид гиперэхогенной дугообразной линии толщиной 2-3 мм с шероховатым, зазубренным контуром и множественными артефактами "хвоста кометы", но без характерных для нормального легкого ревербераций (рис. 10). Стенка абсцесса в виде гипоэхогенной полосы толщиной до 5-6 мм разделяла гиперэхогенные линии от воздуха в остаточной полости и в окружающем легком. Наружные и внутренние контуры стенки были четкими, с мелкозубчатой неровной поверхностью.

Рис. 10. Остаточная воздушная полость после острого гнойного абсцесса, гипоэхогенная тонкая стенка (1) отделяет гиперэхогенный сигнал от воздуха в полости (2) от прилежащей легочной ткани (3).
При оценке контуров абсцесса учитывались состояние воздушности и характер поверхности легкого на границе с очагом деструкции, наличие стенки и ее критерии (толщина, равномерность на протяжении, характер внутренней и наружной поверхности стенки). Отражение ультразвука от прилежащей к абсцессу воздушной паренхимы легкого обусловило появление вокруг него гиперэхогенного ободка, изображение которого зависело от характера отграничения гнойной полости и наличия в окружающей легочной ткани воспалительных или фиброзных изменений.
Гиперэхогенная граница воздушного легкого вокруг хорошо отграниченных абсцессов имела четкий и ровный контур. При нечетком отграничении контур гнойной полости был очень неровным, ступенчатым или зубчатым (рис. 11).

а) С четким и ровным контуром при полном отграничении.

б) С неровным, зубчатым контуром при недостаточном отграничении.
Гиперэхогенная полоса исчезала на уровне приграничных гипоэхогенных участков, соответствовавших зонам воспалительной инфильтрации легочной ткани. В этих местах граница между экссудатом и паренхимой легкого прослеживалась нечетко. Визуально перерыв по ходу гиперэхогенной поверхности легкого возникал и по ходу акустической тени позади крупных воздушных включений в нем (рис. 12).

а) Участком перифокальной воспалительной инфильтрации.

б) Акустической тенью от внутриполостных включений воздуха (стрелки).
Абсцесс внутри пневмонического инфильтрата или обтурационного ателектаза не имел вокруг себя гиперэхогенного "ареала" вследствие низкой эхогенности окружавшей безвоздушной легочной ткани. Контур очага деструкции прослеживался по ходу границы анэхогенного содержимого абсцесса и гипоэхогенной легочной ткани (см. рис. 1). Основным отличием абсцесса на фоне пневмонии являлся хорошо выраженный гиперэхогенный воздушный компонент в жидком содержимом. Прорыв гнойного экссудата в бронхи происходил достаточно рано при относительно небольших размерах полости деструкции. В обтурационных ателектазах даже крупные полости деструкции были заполнены жидким содержимым без гиперэхогенных включений, поскольку воздух в них не проникал из-за полной обтурации бронха опухолью (рис.13).

а) в пневмоническом инфильтрате, содержит мелкие гиперэхогенные включения воздуха. Гиперэхогенная граница воздушной легочной ткани очень неровная и прерывистая при пневмонии.

б) в обтурационном ателектазе, содержит диффузную плотную взвесь без воздуха. Гиперэхогенная граница воздушной легочной ткани четкая и ровная по ходу междолевой поверхности соседней воздушной доли.
В соответствии с патоморфологической картиной абсцесса его стенки формируются не ранее V стадии заболевания, поэтому на ранней стадии их визуализация невозможна. До этого очаг деструкции ограничен непосредственно легочной тканью с некротическими и фибринозными изменениями на ее поверхности. Стенка по всему периметру полости наблюдалась при хронических и затяжных абсцессах, а ее эхокартина имела решающее значение в дифференциальной диагностике с полостной формой периферического рака легкого. Наиболее важным критерием служила равномерная толщина стенки без локальных утолщений и выростов в сочетании с четкой и достаточно ровной внутренней границей.
В ультразвуковом изображении стенка абсцесса имела вид узкого (до 5-6 мм) гипоэхогенного ободка равномерной толщины, отделявшего гнойное содержимое от окружающей легочной ткани (рис. 14). Его наружный контур чаще был более неровным, зазубренным, чем внутренний, четкость визуализации которого зависела от эхогенности содержимого. Неоднократно отмечались повышенная эхогенность и плотность взвеси в пристеночных отделах полости деструкции по сравнению с центральными. Это приводило к визуальному утолщению истинной границы между стенкой и жидким экссудатом.

а) с ровными контурами.

б) с неровными контурами.
Как правило, стенка лучше прослеживалась на фоне анэхогенного экссудата вдоль внутренней границы абсцесса при недостаточном спонтанном дренировании, где ее визуализации не мешали артефакты от воздушных включений. При свободном спонтанном дренировании хорошо лоцировалась переднебоковая часть стенки на уровне воздушного содержимого, в виде гипоэхогенной дуги отделявшая его от окружавшего легкого (рис. 15). При наличии острых абсцессов за стенку можно было принять приграничный слой более эхогенной взвеси, но он не имел четкой внутренней границы при переходе в остальное жидкое содержимое. У некоторых абсцессов на отдельных участках стенки наблюдалась "подчеркнутость" внутренней поверхности гиперэхогенными сигналами за счет расположенных вплотную к ней мелких пузырьков воздуха (рис. 16).

Рис. 15. Хронический абсцесс легкого, наружнобоковой участок стенки на уровне скопления воздуха в полости абсцесса.

Рис. 16. Хронический абсцесс легкого, подчеркнутость стенки гиперэхогенными сигналами от мелких пузырьков воздуха вдоль ее внутренней поверхности.
Мы провели подробное изучение эхокартины гангренозных абсцессов с целью оптимизации тактики лечения и установили, что наряду со всеми изложенными выше признаками они имели некоторые особенности эхокартины. Самым характерным признаком являлись секвестры некротизированной легочной ткани. Они представляли собой фрагменты омертвевшего легкого, отторгнутые в результате гнойно-некротического процесса и обособленно расположенные в полости деструкции. В ультразвуковом изображении секвестры имели вид эхогенных участков неправильной формы, с неровными, местами нечеткими контурами, свободно расположенных в полости абсцесса и не связанных с окружающей легочной тканью. Они отличались средней эхогенностью и выделялись на фоне остального анэхогенного содержимого. По размеру секвестры, как правило, не превышали 2 см, но иногда встречались и более крупные высокоэхогенные фрагменты (рис. 17). Смещаемость секвестров в полости абсцесса выражена очень слабо, что связано с большой вязкостью экссудата. Мелкие некротические элементы (до 5 мм) практически не отличались от гнойной взвеси и выглядели как более крупные частицы.

а) несколько гипоэхогенных секвестров (1).

б) единичный крупный гиперэхогенный секвестр (2).
Другой особенностью гангренозного абсцесса являлось внутриполостное движение воздуха при дыхании, представлявшее собой ритмичное смещение гиперэхогенных сигналов на фоне гипоэхогенного экссудата. Оно наблюдалось в полостях деструкции с хорошим спонтанным дренированием и относительно небольшим количеством жидкого содержимого, где обеспечено свободное поступление воздуха. Чтобы увидеть смещение гиперэхогенных включений, необходимо наличие жидкого экссудата вокруг устьев дренирующих бронхов. Внутриполостное движение воздуха является универсальным ультразвуковым признаком бронхиального свища и присуще не только гангренозным абсцессам, но и гангрене и пиопневмотораксу. При острых гнойных абсцессах оно отмечено в единичных случаях затяжного течения заболевания.
При отсутствии этих характерных признаков о гангренозном характере абсцесса можно судить по неспецифическим критериям, а именно по сочетанию размеров полости деструкции с эффективностью спонтанного дренирования и наличием эхогенной стенки. В эхосемиотике гангренозных абсцессов мы выделили раннюю и позднюю стадии, обусловленные особенностями патоморфологического строения гнойной полости.
Макроскопической основой ранней стадии служила большая полость деструкции с недостаточным спонтанным дренированием, нечетко отграниченная от окружающей легочной ткани и заполненная гнойным экссудатом с секвестрами. Эхографически ей соответствовал крупный абсцесс с неоднородной структурой за счет диффузного распределения мелких гиперэхогенных сигналов от воздуха на фоне преобладавшего анэхогенного содержимого с грубозернистой взвесью и возможными эхогенными секвестрами. Характерны неправильная форма и неровные контуры очага, нечеткие в местах воспалительной инфильтрации окружающего легкого. Полость распада ограничена непосредственно легочной тканью, без эхогенных стенок и внутриполостного движения воздуха (рис. 18).

а) Ранняя стадия с недостаточным спонтанным дренированием и секвестрами.

б) Поздняя стадия со свободным спонтанным дренированием, гипоэхогенной стенкой, воздухом и секвестром.
На поздней стадии существовала отграниченная полость с четкими стенками, хорошо дренированная бронхами и содержавшая преимущественно воздух и немного гнойного экссудата. Эхографически ей соответствовал патологический очаг неоднородной структуры с преобладанием гиперэхогенных сигналов от воздуха и разделением содержимого на жидкостный и газообразный слои, причем последний занимал основной объем абсцесса. Небольшое количество жидкости располагалось в нижних отделах полости и частично перемешивалось с газообразным содержимым. При дыхании нередко наблюдалось внутриполостное движение воздуха. По наружнобоковой границе воздушной части абсцесса или вдоль его внутреннего контура на уровне экссудата лоцировалась гипоэхогенная стенка равномерной толщины с четкими контурами.
Важными задачами УЗИ являлись определение оптимального места для пункции или дренирования абсцесса и динамическая оценка эффективности лечения. Положительная динамика оценивалась как быстрая или медленная по изменению содержимого, размеров, контуров и формы. Содержимое было наиболее динамичным признаком, поскольку даже одна пункция с промыванием приводила к полному изменению эхокартины абсцесса: после удаления гнойного экссудата воздушность абсцесса повышалась, размеры уменьшались. Введенные растворы антибиотиков снижали эхогенность и вязкость жидкого компонента, воздух занимал верхние отделы полости, и абсцесс приобретал все признаки свободного спонтанного дренирования.
Быстрая положительная динамика наблюдалась при закрытом дренировании абсцессов без эхогенных стенок, когда после пункции происходило значительное уменьшение размеров, а форма из округлой становилась неправильной (рис. 19). При наличии стенок быстрого спадения полости не наблюдалось, процесс ее уменьшения шел медленно, параллельно с очищением абсцесса от гнойного содержимого, что проявлялось в постепенном увеличении в нем гиперэхогенного компонента.

а) До пункции.

б) После пункции.
Отсутствие положительной динамики при неэффективности закрытого дренирования на фоне консервативного антибактериального и противовоспалительного лечения абсцесса являлось одним из показаний к его хирургическому лечению. В клинике успешно применяется торакоабсцессостомия как органосохраняющий метод, в результате чего сначала формируется открытая торакостома, которая после эпителизации полости закрывается.
Наиболее частым осложнением абсцессов легкого было образование бронхоплевральной фистулы с развитием эмпиемы или пиопневмоторакса, в ряде случаев сопровождавшихся флегмоной грудной стенки и торакальным свищом. У одного больного, своевременно не обратившегося за медицинской помощью по поводу абсцесса средней доли правого легкого, мы наблюдали гигантский поддиафрагмальный абсцесс, развившийся в результате деструкции купола диафрагмы на фоне эмпиемы плевры (рис. 20).

а) Хронический абсцесс средней доли правого легкого.

б) Хронический абсцесс средней доли правого легкого, осложненный эмпиемой плевры с деструкцией купола диафрагмы (стрелки).

в) Хронический абсцесс средней доли правого легкого, осложненный гигантским поддиафрагмальным абсцессом.
Наиболее благоприятным исходом абсцесса легкого являлось полное спадение полости с развитием очагового фиброза. На стадии рубцующейся полости абсцесс имел вид небольшого по размерам (до 4 см) пристеночного очага с характерной неправильной или звездчатой формой, неровным зубчатым контуром и неоднородной эхоструктурой за счет коротких гиперэхогенных сигналов от воздуха на преобладавшем гипоэхогенном фоне (рис. 21). При полном рубцевании полости на ее месте оставался мелкий субплевральный гипоэхогенный участок склероза неправильной формы, с неровными контурами и значительно сниженной или отсутствующей дыхательной подвижностью. Позади него возникали интенсивные артефакты "хвоста кометы". Менее благоприятным исходом можно считать формирование остаточной воздушной полости по типу ложной кисты с изложенной выше эхокартиной.

Рис. 21. Фиброзирующийся абсцесс легкого неправильной формы, с неровным контуром и неоднородной эхоструктурой за счет коротких гиперэхогенных сигналов от воздуха на гипоэхогенном фоне.
Выводы
УЗИ грудной клетки является высокоинформативным методом диагностики абсцессов легкого, позволяющим определить стадию и характер нагноительного процесса, оценить спонтанное дренирование полости деструкции и степень ее отграничения от легочной ткани. При динамическом наблюдении этот метод позволяет оценить эффективность консервативного лечения и выявить показания к проведению оперативного вмешательства, а также своевременно распознать возникшие осложнения. УЗИ грудной клетки следует шире внедрять в клиническую практику как специализированных отделений грудной хирургии, так и терапевтических и хирургических стационаров общего профиля.
Литература
- Блашенцева С.А. Ультразвуковой и рентгенологический методы в диагностике острых гнойных абсцессов легких // Мед. визуализация. 2001. N2. С. 34-38.
- Сафонов Д.В. Возможности трансторакального ультразвукового исследования в диагностике абсцессов легкого // Нижегородский мед. журнал. 2002. N3. С. 61-65.
- Mathis G., Gehmacher O., Kopf A., et al. Lungenabszess - ultraschallgefuhrte Drainage // Ultraschall in der Medizin. 1995. Bd. 16. S. 60.
- Kroegel C., Reibig A. Transthorakale Sonographie: Grundlagen und Anwendung; ein Leitfaden fur die Praxis. Stuttgart; New York: Thieme 2000. 116 S.
- Gorg G. Lunge // Sonographische Differenzialdiagnose / hrsg. von Gunter Schmidt. Stuttgart; New York: Thieme 2002. S. 487-507.
- Тюрин И.Е. Компьютерная томография в диагностике воспалительных заболеваний легких: Автореф. дис. ... д-ра. мед. наук СПб. 1996: 46 с.
- Сафонов Д.В. Синдромная ультразвуковая диагностика заболеваний легких: Дисс. ... д-ра. мед. наук. - Нижний Новгород: НижГМА 2003; 293 с.
- Сафонов Д.В. Ультразвуковая диагностика гнойнодеструктивных заболеваний легких и плевры // Ультразвуковая и функциональная диагностика. 2005. N6. С. 80-93.

УЗИ сканер HS60
Профессиональные диагностические инструменты. Оценка эластичности тканей, расширенные возможности 3D/4D/5D сканирования, классификатор BI-RADS, опции для экспертных кардиологических исследований.
Публикации по теме
- Ультразвуковое исследование периферической нервной системы - Еськин Н.А.
- Возможности ультразвукового исследования с цветовым допплеровским картированием в диагностике тромбоза в системе воротной вены - Курзанцева О.М.
- Абсцессы легкого - многообразие ультразвуковой семиотики - Сафонов Д.В.
- Ультразвуковая диагностика венозного тромбоза в амбулаторных условиях - Раптанова Т.А.
- Возможности динамической ультразвуковой допплерографии в определении функциональной полноценности сосудистого анастомоза после реконструктивных хирургических вмешательств - Берестень Н.Ф.