Ультразвуковая диагностика гамартомы селезенки
Рубрика: Эхография брюшной полости
                                УЗИ аппарат RS85
Революционные изменения в экспертной диагностике. Безупречное качество изображения, молниеносная скорость работы, новое поколение технологий визуализации и количественного анализа данных УЗ-сканирования.
Введение
К очаговым образованиям селезенки традиционно относят злокачественные и доброкачественные опухоли, истинные, ложные и паразитарные кисты, а также абсцессы. Эти заболевания встречаются достаточно редко и составляют от 0,5 до 2% всех ее поражений [1-3]. L. Morgenstern даже назвал очаговые изменения селезенки казуистикой [4].
По данным 72 237 аутопсий, выполненных в медицинском центре университета в Южной Калифорнии за период с 1950 по 1974 г., было выявлено 32 случая (1:2257) образований селезенки [5]. На основании анализа более чем 42 000 аутопсий L. Morgenstern пришел к выводу, что частота образований селезенки составляет 0,07% [4], а, по мнению N. Borner, частота очаговых образований селезенки достигает 3,2-4,2% на 100 000 населения [6].
S. Natsugoe и соавт. привели данные W.L. Bostick (1945), который на основании аутопсий и интраоперационных ревизий (более 8000 наблюдений) выявил, что доброкачественные опухоли селезенки встречаются у 0,007% населения [7].
Обращает на себя внимание частота диагностических ошибок, которая даже при использовании современных методов диагностики достигает 75-80% [8]. Правильный диагноз нередко устанавливается только во время операции с использованием срочного морфологического исследования. Ошибки диагностики во многом связаны с недостаточным знанием практическими врачами особенностей обследования подобных больных. В работах, основанных на единичных наблюдениях, нет достаточного описания признаков, характерных для соответствующих патологических образований селезенки, которые выявляются современными методами исследования.
Гамартома (спленаденома, спленома) - термин, используемый для обозначения узловых поражений селезенки, состоящих исключительно из элементов красной пульпы [2, 9]. Чаще гамартома трактуется как неопухолевое образование, состоящее из различных сочетаний нормальных компонентов селезенки [10, 11]. Считается, что это врожденное состояние, однако убедительных данных, подтверждающих это, пока недостаточно [12]. В некоторых случаях гамартома селезенки может сочетаться с подобными образованиями любой локализации [10].
Впервые данная "доброкачественная опухоль" была описана в 1861 г. Rokitansky под названием "спленома" [13]. Публикуемые сообщения посвящены единичным наблюдениям, считается, что к началу нашего столетия описано не более 150 клинических случаев подобного поражения селезенки [14].
Гамартома образуется в результате нарушения морфогенеза и гистологически представлена пролиферирующими фиброзно-мышечными элементами в сочетании с эпителиальными включениями с частичной метаплазией без признаков атипии [15, 16]. Выделяют два подтипа гамартом: образования белой пульпы, состоящие из абберантной лимфоидной ткани, и образования красной пульпы, состоящие из аббератных комплексов синусов [10]. Однако большинство гамартом содержат оба типа элементов. При гистологическом исследовании определяеться отсутствие атипичных фигур митозов и клеток Reed-Sternberg. Важно отметить, что компрессия окружающей селезеночной паренхимы, а не ее инвазия позволяет дифференцировать гамартому от лимфомы селезенки [10].
Гамартома встречается у больных обоего пола, но чаще у женщин [10] пожилого возраста [17]. Клинически практически всегда отмечается бессимптомное течение [2, 10, 11], либо гамартома проявляется последствиями увеличения органа или гиперспленизмом (анемия, тромбоцитопения) [11, 14, 18]. При тяжелых осложнениях - разрыв селезенки, развитие внутрибрюшного кровотечения - появляются соответствующие клинические признаки. Обращает на себя внимание тот факт, что в литературе, несмотря на редкость подобного поражения, описано уже несколько случаев спонтанного разрыва селезенки с гамартомой [13]. Таким образом, специфических синдромов гамартомы селезенки нет.
При ультразвуковом исследовании гамартома выглядит как солидное гомогенное образование с четкими контурами, реже отмечаются кистозная деформация и кальцификация. При дуплексном сканировании имеет место повышенная васкуляризация [19, 20].
При лучевом исследовании гамартому следует дифференцировать с лимфомой, метастатическим поражением, воспалительной миофибробластической опухолью, распространенной грибковой и микобактериальной инфекцией, саркоидозом и сосудистыми опухолями селезенки, такими как гемангиома, "прибрежноклеточная" ангиома (littoral cell angioma), лимфангиома, гемангиоэндотелиома, склерозирующие ангиоматозные узлы и ангиосаркома [4, 19].
Макроскопически патологический очаг выглядит в виде четко отграниченного узла более темного цвета, выбухающего над поверхностью органа, отмечается компрессия окружающей ткани селезенки без ее инфильтрации [14]. В отличие от лимфомы гамартома селезенки красного цвета, часто с геморрагическими проявлениями [21]. Обычно это единичный очаг, который редко может содержать кальцинаты [22], однако описаны наблюдения нескольких патологических узлов в селезенке [14].
При гистологическом исследовании обращают на себя внимание отсутствие фолликулов и дендритических клеток, слабо развитые фиброзные трабекулы, могут наблюдаться очаги экстрамедуллярного кроветворения.
При иммуногистохимическом исследовании клетки сосудистых структур экспрессируют эндотелиальные маркеры, такие как CD-31 и фактор VIII, а также CD-8 и виментин. Реакция на CD-21 и CD-68 в этих клетках отрицательная, хотя CD-68 положителен в рассеянных тромальных макрофагах [23].
Методом лечения больных с данными образованиями является хирургический. Кроме общепризнанного объема операции - спленэктомии, описаны единичные наблюдения резекций селезенки [7, 10].
Материалы и методы
В Институте хирургии им. А.В. Вишневского накоплен опыт диагностики и лечения более 300 пациентов с различными очаговыми образованиями селезенки, но с гамартомами столкнулись лишь в 3 наблюдениях.
Характеристика пациентов: 2 мужчин и 1 женщина в возрасте 50, 54 и 58 лет с образованиями селезенки размерами 6,6x7,5x8,3 см. Из клинических проявлений все трое больных отмечали лишь периодические тянущие боли в правом подреберье.
Всем пациентам предоперационно выполняли УЗИ в полном объеме: исследование в В-режиме, дуплексное сканирование в режимах цветового допплеровского картирования (ЦДК), энергии отраженного допплеровского сигнала (ЭОДС) и импульсной допплерографии.
Во всех случаях проведено оперативное лечение, а образования морфологически верифицированы.
Результаты
При УЗИ во всех случаях отмечали увеличение селезенки в размерах и наличие в разной степени васкуляризированного образования с частично внеорганным расположением. Данные предоперационного УЗИ были представлены следующим образом.
Наблюдение 1
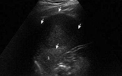
При УЗИ больного Т. селезенка увеличена (площадь - 68 см²), контуры ее неровные, четкие, структура паренхимы неоднородная за счет наличия в средней трети образования, деформирующего латеральный контур селезенки, однако не доходящего до ее ворот. Образование округлой формы, по структуре солидное, гипоэхогенное, с четкими ровными контурами, размером 65x60x53 мм (рис. 1).
                            Рис. 1. Эхограмма гамартомы селезенки (В-режим), гамартома указана стрелками.
При дуплексном сканировании образование по контуру огибают селезеночные сосуды без локальных изменений скоростных показателей (рис. 2).
                            Рис. 2. Регистрация кровотока по огибающим образование сосудам при дуплексном сканировании.
В структуре образования лоцируются два венозных сосуда диаметром 1,5-2,0 мм (рис. 3).
                            Рис. 3. Дуплексное сканирование селезенки. Кровоток в структуре образования и в паренхиме селезенки (режим ЦДК, al - селезеночная артерия).
Заключение: опухоль селезенки средней степени васкуляризации, наиболее вероятно, гемангиома.
Наблюдение 2
При УЗИ больной М. селезенка увеличена в размерах (площадь - 45 см²), контуры ровные, четкие, структура паренхимы неоднородная за счет наличия в проекции нижнего полюса округлого образования размером 61,3x52,5 мм, расположенного частично экзоорганно. Структура его солидная, гипоэхогенная, незначительно неоднородная, контуры четкие, ровные (рис. 4).
                            Рис. 4. Эхограмма гамартомы селезенки, В-режим.
При дуплексном сканировании в структуре образования определяются сосуды (рис. 5, а): регистрируются артерии (линейная скорость кровотока - ЛСК - от 0,33 до 0,47 м/с) и вены (ЛСК от 0,08 до 0,12 м/с) (см. рис. 5, б). Вокруг образования отмечается некоторое обеднение сосудистого рисунка, наиболее вероятно, за счет компрессии окружающей ткани селезенки.
                            Рис. 5. Дуплексное сканирование гамартомы селезенки.
                                а) Режим энергетического допплера.
                            б) Режим цветового допплеровского картирования и импульсной допплерографии с регистрацией спектра допплеровских частот.
Заключение: солидное гиперваскулярное образование нижнего полюса селезенки, наиболее вероятно, гемангиома.
Наблюдение 3
При УЗИ больного С. селезенка увеличена (площадь - 80 см²). В области верхнего полюса селезенки определяется образование с четкими, несколько неровными контурами. Образование распространяется до ворот селезенки и частично экзоорганно, достигая места деления селезеночной артерии на ветви 1-го порядка. Размер образования составляет 70x56x64 мм. Капсула не прослеживается. Структура образования преимущественно однородная, повышенной эхогенности, с наличием лишь небольших отдельных гипоэхогенных зон (рис. 6).
                            Рис. 6. Эхограмма гамартомы селезенки, В-режим.
В структуре образования по периферии регистрируются два сосуда с венозным спектром кровотока (рис. 7). К медиальному контуру образования тесно прилежит сегментарная селезеночная вена без признаков экстравазальной компрессии. Далее в области ворот селезенки визуализируется анатомический ход еще двух сегментарных вен, которые сопровождают одноименные артерии 2-го порядка.
                            Рис. 7. Регистрация венозного кровотока в структуре гамартомы, дуплексное сканирование.
Заключение: солидная опухоль селезенки умеренной степени васкуляризации.
Таким образом, в двух случаях (см. рис. 1-5) предположительно диагностировали гемангиому, в одном диагноз был сформулирован следующим образом: солидное образование умеренной степени васкуляризации (см. рис. 6, 7). Обращала на себя внимание выраженная гиперваскуляризации образования в одном случае и нетипичная картина солидного образования в другом, вследствие чего в 2 из 3 случаев, нельзя было полностью исключить злокачественную природу очагового поражения селезенки. Эти предположения были также подтверждены по данным компьютерной томографии с контрастным усилением.
Все 3 больных были оперированы. В первом наблюдении (больной Т.), учитывая локализацию образования, произвели спленэктомию. При морфологическом исследовании выявлена гамартома селезенки (рис. 8). Ткань гамартомы характеризовалась стертым рисунком, была нормального гистологического строения за счет утолщения межсинусоидальных пространств с убылью лимфоидной ткани и очаговыми скоплениями призматических клеток.
                            Рис. 8. Микропрепарат гамартомы. Окраска гематоксилином и эозином, x200.
Во втором наблюдении (больная М.) выполнили резекцию селезенки из традиционного доступа в объеме удаления нижней доли вместе с образованием (рис. 9).
                            Рис. 9. Макропрепарат, удаленная нижняя доля селезенки вместе с образованием.
При морфологическом исследовании также была выявлена гамартома селезенки (рис. 10). Структура образования напоминала строение красной пульпы селезенки с наличием большого числа сосудистых каналов, выстланных эндотелиоподобными клетками. Выявлялись небольшие участки некроза, четкой границы с нормальной тканью селезенки не определялось, лимфоидные фолликулы отсутствовали.
                            Рис. 10. Микропрепарат гамартомы. Окраска гематоксилином и эозином, x200.
В третьем случае (больной С.) произвели спленэктомию (рис. 11) дополненную с учетом данных срочного гистологического исследования, гетеротопической аутотрансплантацией селезеночной ткани. В нижнем полюсе удаленной селезенки выявили очаг в хорошо выраженной капсуле. Центр образования практически полностью был замещен плотными белесоватыми массами.
                            Рис. 11. Макропрепарат, удаленная селезенка вместе с образованием.
При морфологическом исследовании выявлена липоматозная гамартома (рис. 12).
                            Рис. 12. Микропрепарат липоматозной гамартомы. Окраска гематоксилином и эозином, x200. Определяются группы липоцитов, располагающихся среди измененной полнокровной ткани селезенки.
Образование селезенки в последнем наблюдении представляло наибольший интерес, так как, по данным обследования, макро- и микроскопически отличалось от двух первых. Наличие жировых включений позволило нам установить диагноз - липоматозная гамартома. В медицинской литературе лишь однажды был описан случай первичной липомы селезенки [24], по-видимому, то образование отличалось от описанного в данной статье.
У больного Т. (самый молодой в представленной группе) после спленэктомии, по данным обследования, отмечены выраженные изменения в системе как иммунной защиты, так и гемостаза. Со времени выполнения спленэктомии прошло менее 1 года, за это время были отмечены появление тромбоза вен нижних конечностей, два эпизода пневмонии.
Пациентка М. после резекции селезенки полностью вернулась к привычному образу жизни. При контрольных обследованиях - без особенностей.
Больной С., перенесший спленэктомию, дополненную гетеротопической аутотрансплантацией селезеночной ткани, был вынужден перейти на более легкую работу, в настоящее время продолжает вести активный образ жизни.
Оценивая ретроспективно данные предоперационных обследований и результаты интраоперационной ревизии, можно сказать, что во всех наблюдениях пациентам могли быть выполнены резекционные вмешательства на селезенке (при условии срочного морфологического исследования), что обеспечило бы более высокое качество жизни.
Заключение
Приведенные наблюдения представляют интерес в связи с редким выявлением гамартомы селезенки, что во многом объясняет возникшие трудности дооперационной диагностики. Дважды были заподозрены злокачественные образования селезенки, что в итоге определило объем и характер выполненных хирургических вмешательств. Селезенка была сохранена лишь в одном случае. Срочное морфологическое исследование, исключившее злокачественную природу опухоли, в одном наблюдении позволило произвести гетеротопическую трансплантацию селезеночной ткани. По-видимому, несмотря на редкость гамартомы, вероятность такого поражения селезенки следует учитывать при проведении дифференциально-диагностического поиска.
Литература
- Барта И. Селезенка. Анатомия, физиология, патология и клиника. Будапешт: Издательство АН Венгрии. 1976. 264 с.
 - Ершов Ю.А., Суворова Е.В., Минкина С.М., Гласко Е.Н. // Гамартома селезенки. Гематология и трансфузиология. 1988. N 8. С. 53-56.
 - Mignon F., Brouzes S., Breitel D.L. et al. Preoperative selective embolization allowing a portial Splenectomy for splenic hamartoma // Ann. Chir. 2003. N 2. P. 112-116.
 - Morgenstern L. Nonparasitis splenic cysts (NPSCs): pathogenesis, classification and treatment // J. Am. Coll. Surg. 2002. V. 194. N 3. P. 306-314.
 - Uranus S. Current spleen surgery // Munchen: W. Zuckschwerdt Publishers. 1995; 100 p.
 - Borner N., Blank W., Bonhof J., Frank K. Echogenic splenic lesions - incidence and differential diagnosis // Ultraschall. Med. 1990. V. 11. N 3. P. 112-118.
 - Natsugoe S., Ohwaki T., Tsubouti H. Inflammatory pseudotumor of the spleen: Report of a case // Jpn. J. Surg. 1993. V. 23. P. 246-250.
 - Mambrini P., Sabbah P., Le-Toquart J.P. et al. Kystes epidermoides de la rate. A propos de deux cas: revue de la litterature // J. Chir. Paris. 1994. V. 131. N 4. P. 184-190.
 - Krishnan J., Frizzera G. Two splenic lesions in need of clarification: hamartoma and inflammatory pseudotumor // Semin. Diagn. Pathol. 2003. V. 20. P. 94-104.
 - Lozzo R.V., Haas J.E., Chard R.L. Symptomatic splenic hamartoma: a report of two cases and a review of the literature // Pediatrics. 1980. V. 66. P. 261-265.
 - Pinto P.O., Advigo P., Garcia H. et al. Splenic hamartoma: a case report // Eur. Radiol. 1995. V. 5. P. 93-95.
 - Morgenstern L., McCafferty L., Rosenberg J. et al. Hamartomas of the spleen // Arch Surg 1984. V. 119. P. 1291-1293.
 - Ballardini P., Incasa E., Del Noce A. et al. Spontaneous splenic rupture after start of lung cancer chemotherapt. A case report // Tumori. 2004. V. 90. N 1. P. 144-146.
 - Colovic N., Cemerikic V., Colovic R. et al. Hamartoma of the spleen // Srp. Arch. Celor Lek. 2005. V. 128. N 9-10. P. 331-334.
 - Itoh H., Yanagi M., Setoyama T. et al. Solitary fibroleiomyomatous shamartoma of the lungina patient without a preexisting smooth - muscle tumor // Pathology. 2001. V. 51. P. 661-665.
 - Lee H., Maeda K. Hamartoma of the spleen // Arch. Pathol. Lab. Med. 2009. V. 133. N 1. P. 147-151.
 - Morgenstern L., Robenberg J., Geller S.A. Tumors of the spleen // World J. Surg. 1985. V. 9. P. 468-476.
 - Tsitouridis I., Michaelies M., Tsitouridis K. et al. Symptomatic splenoma (hamartoma) of the spleen // A case report. Hippokratia. 2010. V. 14. N 1. P. 54-56.
 - Brinkley A.A., Lee JK. Cystic hamartoma of the spleen: CT and sonographic findings // JCU. 1981. V. 9. P. 136-138.
 - Nakanishi S., Shiraki K., Yamamoto K. et al. Basket pattern blood flow signals discovered in a case of splenic hamartoma by power Doppler ultrasonography // World J. Gastroenterol. 2005. V. 7. N 11. P. 5235-5238.
 - Коротких И.Ю., Баранин А.А., Пробатова Н.А. О гамартомах селезенки // Вестн. РОНЦ им. Н.Н. Блохина РАМН. 1994. V. 5. N 5. P. 68-71.
 - Komaki S., Gombas O.F. Angiographic demonstration of a calcified splenic hamartoma // Radiology. 1976. V. 121. P. 77-78.
 - Arber D.A., Strickler J.G., Chen Y.-Y. B.S., Weiss L.M. Splenic vascular tumors: a histologic, immunophenotypic and virologic study // Am. J. Surg. Pathol. 1997. V. 21. P. 827-835.
 - Easler R.E., Dowlin W.M. Primary lipoma of the spleen. Report of a case // Arch. Pathol. 1969. V. 88. P. 557-559.
 
                                УЗИ аппарат RS85
Революционные изменения в экспертной диагностике. Безупречное качество изображения, молниеносная скорость работы, новое поколение технологий визуализации и количественного анализа данных УЗ-сканирования.
Публикации по теме
- Лучевая диагностика патологии желчного пузыря и желчевыводящих путей - Курзанцева О.М.
 - Случай ультразвуковой диагностики нефункционирующей нейроэндокринной опухоли поджелудочной железы - Катерлина И.Р.
 - Ультразвуковая диагностика гамартомы селезенки - Степанова Ю.А.
 - Лучевая диагностика кистозного рака почки - Курзанцева О.М.
 - Деструктивный аппендицит, осложненный пилефлебитом с развитием абсцесса печени и прорывом в правую плевральную полость (клиническое наблюдение) - Степанова Ю.А.
 

                    