Возможности ультразвуковой диагностики острого парапроктита. Клиническое наблюдение
Рубрика: Эхография в гастроэнтерологии

УЗИ сканер HS70
Точная и уверенная диагностика. Многофункциональная ультразвуковая система для проведения исследований с экспертной диагностической точностью.
Введение
Острый парапроктит - острое воспаление околопрямокишечной клетчатки, обусловленное распространением воспалительного процесса из анальных крипт и анальных желез [1-3].
Острый парапроктит является самым распространенным заболеванием в практике неотложной хирургической колопроктологии. Пациенты этой группы составляют около 1 % всех госпитализированных в различные стационары хирургического профиля и 5 % среди страдающих заболеваниями ободочной и прямой кишки [4]. В числе острых гнойных поражений аноректальной зоны частота острого парапроктита приближается к 45 % [5]. Острый парапроктит распространен повсеместно и на протяжении многих десятилетий является предметом оживленных дискуссий на страницах отечественной и зарубежной литературы. Наиболее часто обсуждаются ишиоректальные, пельвиоректальные, ретроректальные и подковообразные гнойники, встречающиеся, по разным данным, с впечатляющим размахом: от 5 до 58 % случаев острого парапроктита [6, 7]. Развитие острого парапроктита обусловлено рядом предрасполагающих факторов, таких как: ослабление иммунитета вследствие сопутствующей острой или хронической инфекции, сосудистые изменения вследствие сахарного диабета, желудочно-кишечные расстройства, наличие геморроя, анальной трещины, криптита [1, 3, 8].
В настоящее время в клинической практике используется классификация, подразделяющая острый парапроктит по характеру возбудителя, локализации поражения, локализации крипты, вовлеченной в процесс воспаления, по характеру гнойного хода. Классификация применяется для определения тяжести поражения и выбора метода лечения [3, 9]. В клинической практике данная классификация чаще всего используется в следующем виде (табл.).
I. По характеру возбудителя |
---|
|
II. По локализации поражения |
|
III. По локализации крипты, вовлеченной в процесс воспаления |
|
IV. По характеру гнойного хода |
|
В последние годы все большее применение для топографической характеристики острого парапроктита находит ультразвуковая (УЗ) диагностика. По сравнению с огромным числом УЗ-исследований различных органов и систем опыт их применения в колопроктологии представлен достаточно скромно как в отечественной, так и зарубежной литературе [10, 11].
УЗИ позволяет оценить локализацию, размер, структуру патологического очага, наличие дополнительных ходов, степень вовлечения в воспалительный процесс стенки прямой кишки и волокон наружного сфинктера, глубину расположения патологического очага от кожных покровов [10, 12, 13]. Информативность УЗ-исследования в определении острого парапроктита составляет 80-89 % [10, 12, 13].
Материал и методы
Исследование проводится на ультразвуковых аппаратах с использованием линейных и полостных датчиков в режиме серойшкалы и УЗ-ангиографии транспромежностным доступом или трансректально/ трансвагинально.
При исследовании транспромежностно линейный датчик устанавливают на перианальную область и полипозиционно исследуют стенки анального канала, подкожно-жировую клетчатку и мышцы промежности.
При исследовании трансректально (ТРУЗИ) больному, лежащему на левом боку, в анальный канал вводят полостной датчик на расстояние до 8 см с предварительно надетым на него резиновым баллончиком и откачанным из него воздухом. Через переходник баллончик заполняют дистиллированной водой (30-50 мл), что обеспечивает хорошую проводимость УЗ-луча. Датчиком осуществляют вращательные движения по часовой стрелке и проводят линейное УЗ-сканирование путем получения продольных сечений анального канала, вращая датчик. Точность УЗ-исследования достигает 90 % [14-18].
Д.Ю. Филлипов [19], L. Stewart и соавт. [20] пришли к заключению, что эндоректальная сонография позволяет с большей надежностью определить характер патологических изменений в клетчаточных пространствах и провести дифференциальную диагностику острого парапроктита с заболеваниями соседних органов. Чувствительность и специфичность метода, по данным Д.Ю. Филлипова [19], составили 89 и 80 % соответственно, а общая точность - 86 %. L. Stewart и соавт. указывают, что предоперационные данные сонографии были подтверждены на операции в 85 % наблюдений [20].
Клиническое наблюдение
Пациентка А., 43 лет, обратилась в поликлинику с жалобами на боли в области заднего прохода, появление болезненного уплотнения в области ануса. Вышеуказанные жалобы беспокоили пациентку в течение недели. При осмотре общее состояние удовлетворительное. Кожные покровы и видимые слизистые - бледно-розовой окраски. Дыхательных, гемодинамических нарушений нет. АД 120/80 мм рт. ст. Пульс - 72 уд/мин, ритмичный. Живот не вздут, мягкий, безболезненный при пальпации. Стул регулярный, оформленный. Дизурии нет. Status localis: при пальпации в подкожной клетчатке левой ягодицы определяется инфильтрат неправильной формы размером 4×2 см, туго-эластической консистенции, болезненный при пальпации, кожа над ним не изменена. При пальцевом исследовании прямой кишки на 2-3 часах по условному циферблату в дистальной трети анального канала в рубцах нечетко определяется воронкообразное втяжение (внутреннее свищевое отверстие?). Пациентке установлен клинический диагноз: "острый подкожный парапроктит".
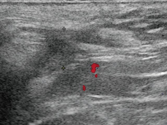
При УЗ-исследовании мягких тканей промежности выявлено: в перианальной области слева в проекции пальпируемого уплотнения на 2-3 часах по условному циферблату ближе к анальному каналу на глубине 0,6 см от поверхности кожи определяется гипоэхогенное жидкостное образование с четкими неровными контурами с наличием неоднородного гиперэхогенного подвижного содержимого размером 3,9×2,1×1,9 см, объемом 8,24 мл с утолщенными до 0,3 см стенками. Описываемое образование прилежит к передне-боковой утолщенной стенке анального канала, нечетко от нее дифференцируется (см. рис. 1, а, б). По периферии образования - выраженная сосудистая реакция (см. рис. 1, в). По периферии образования ближе к ягодичной области - формирующийся свищевой ход размером 1,3×0,6×0,6 см (см. рис. 1, г).


а, б) В-режим. В перианальной области слева на глубине 0,6 см от поверхности кожи определяется гипоэхогенное жидкостное образование с четкими неровными контурами с наличием неоднородного гиперэхогенного подвижного содержимого размером 3,9×2,1×1,9 см, объемом 8,24 мл с утолщенными до 0,3 см стенками. Описываемое образование прилежит к передне-боковой утолщенной до 1,0 см стенке анального канала, нечетко от нее дифференцируется (стрелки).

в) Режим ЦДК. В подкожно-жировой клетчатке по периферии образования отмечается обогащение сосудистого рисунка.

г) В-режим. По периферии образования ближе к ягодичной области - формирующийся свищевой ход размером 1,3×0,6×0,6 см (стрелки).
При ТРУЗИ передняя стенка анального канала утолщена до 1,3 см, неоднородной структуры, сниженной эхогенности; задняя стенка утолщена до 0,8 см, несколько неоднородной структуры, умеренно сниженной эхогенности. Сосудистый рисунок в передней стенке умеренно обогащен.
Пациентке по экстренным показаниям было выполнено оперативное вмешательство в объеме вскрытия и дренирования подкожного острого парапроктита.
В послеоперационном периоде больной проводилась антибактериальная терапия, выполнялись ежедневные перевязки (промывание раны растворами антисептиков, наложение повязок с мазями на водо- и жирорастворимой основе).
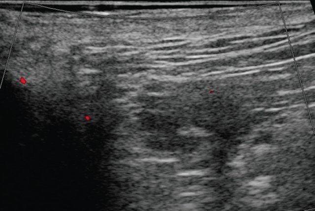
При контрольном исследовании через 3 дня после оперативного вмешательства: описываемое гипоэхогенное жидкостное образование с четкими неровными контурами с наличием неоднородного гиперэхогенного подвижного содержимого уменьшилось в размере до 2,4×1,7×1,8 см и объеме до 3,84 мл (рис. 2, а, б). В подкожно-жировой клетчатке по периферии гипоэхогенного образования отмечается уменьшение степени выраженности сосудистой реакции (рис. 2, в). Описываемый свищевой ход уменьшился в размере до 1,1×0,2×0,5 см (рис. 2, г).


а, б) В-режим. Описываемое гипоэхогенное жидкостное образование с четкими неровными контурами с наличием неоднородного гиперэхогенного подвижного содержимого уменьшилось в размере до 2,4×1,7×1,8 см, до объема 3,84 мл (стрелки).

в) Режим ЦДК. Через 3 дня после оперативного вмешательства. В подкожно-жировой клетчатке по периферии гипоэхогенного образования отмечается уменьшение степени выраженности сосудистой реакции.

г) В-режим. Через 3 дня после оперативного вмешательства. Описываемый свищевой ход уменьшился в размере до 1,1×0,2×0,5 см (стрелки).
При контрольном УЗ-исследовании через 14 дней после оперативного вмешательства: описываемое гипоэхогенное жидкостное образование с четкими неровными контурами уменьшилось в размере до 1,1×0,6×0,8 см и объеме до 0,29 мл (рис. 3, а, б). Сосудистая реакция в подкожно-жировой клетчатке не определяется (рис. 3, в). Свищевой ход визуализируется нечетко, уменьшился в размере до 0,8×0,2×0,4 см (рис. 3, г).


а, б) В-режим. Через 14 дней после оперативного вмешательства. Гипоэхогенное жидкостное образование с четкими неровными контурами в перианальной области уменьшилось в размерах до 1,1×0,6×0,8 см, объемом 0,29 мл (стрелки).

в) Режим ЦДК. Через 14 дней после оперативного вмешательства. Сосудистая реакция в подкожно-жировой клетчатке не определяется.


г, д) В-режим. Через 14 дней после оперативного вмешательства. Свищевой ход визуализируется нечетко, уменьшился в размере до 0,8×0,2×0,4 см (стрелки).
Через 3 месяца при контрольном осмотре больная жалоб не предъявляла. Status localis: на 1-2 часе по условному циферблату на расстоянии 2,0 см от края ануса определяется линейный послеоперационный рубец без признаков воспаления. При пальцевом исследовании прямой кишки на 2-3 часах в дистальной трети анального канала определяются рубцовые изменения (облитерированное внутреннее свищевое отверстие?).
При контрольном УЗ-исследовании: описываемое ранее жидкостное образование в подкожно-жировой клетчатке четко не визуализируется, в его проекции - умеренная неоднородность ткани без четких очаговых изменений (рис. 4, а). Сосудистый рисунок в подкожно-жировой клетчатке в данной проекции не обогащен (рис. 4, б).

а) В-режим. Описываемое ранее жидкостное образование со свищевым ходом в подкожно-жировой клетчатке четко не визуализируется, в его проекции - умеренная неоднородность ткани без четких очаговых изменений.

б) Режим ЦДК. Сосудистый рисунок в подкожно-жировой клетчатке в данной проекции не обогащен.
Заключение
Таким образом, УЗ-исследование перианальной области при остром парапроктите позволяет определить локализацию, размеры гнойника, характер и количество содержимого гнойной полости, глубину расположения патологического очага от кожных покровов, инфильтрацию подкожной клетчатки, наличие свищевых ходов и дополнительных гнойных затеков, что имеет особо важное значение для установления диагноза с последующим выбором объема лечения.
Литература
- Дульцев Ю.В., Саламов К.Н. Парапроктит. М.: Медицина 1981. 208 с.
- Кайзер Андреас М. Колоректальная хирургия. М.: Издательство БИНОМ 2011. С. 473-477.
- Шелыгин Ю.А., Благодарный Л.А. Справочник по колопроктологии. М.: Литтерра 2012. 596 с.
- Жуков Б.Н., Исаев В.Р., Чернов А.А. Основы колопроктологии для врача общей практики: монография. Самара, РФ: Офорт 2009. 218 с.
- Акопян А.С. и др. Улучшение результатов лечения больных острым парапроктитом // Сб.: Проблемы колопроктологии. М., 2002. Вып. 7. С. 24-28.
- Слесаренко С.С., Федоров В.Э. Результаты хирургического лечения острого парапроктита // Сб.: Актуальные проблемы колопроктологии. М., 2005. Вып. 8. С. 125-126.
- Vasilveski C.A. Anorectal abscesses and fistulas. In: Wolff B.G., Fleshman J.W., Beck D.E., Pemberton J.H., Wexner S.D., eds. The ASCRS Textbook of Colorectal Surgery. New York: Springer. 2007. Р. 192-214.
- Болквадзе Э.Э. Cложные формы острого парапроктита. Обзор литературы // Колопроктология. 2009. 27 (1). С. 38-46.
- Воробьев Г.И. Основы колопроктологии. М.: Медицинское информационное агентство 2006. 430 с.
- Орлова Л.П. Ультрасонография в диагностике заболеваний прямой кишки и параректальной области: Автореф. дисс. … докт. мед. наук. М., 1992. 44 с.
- Santoro G.A., Di Falco G. Benign Anorectal Diseases. Diagnosis with Endoanal and Endorectal Ultrasound end New Treatment Options // Springer-Verlag Italia. 2006. 404 p.
- Santoro G.A., Fortling B. The advantages of volume rendering in three-dimensional endosonography of the anorectum // Dis Colon Rectum. 2007. 50. Р. 359-368.
- Toyonaga T., Tanaka Y., Song J.F. et al. Comparison of accuracy of physical examination and endoanal ultrasonography for preoperative assessment in patients with acute and chronic anal fistula // Tech Coloproctol. 2008. 12. Р. 217-223.
- Buchanan G.N., Bartram C.I., Williams A.B., Halligan S., Cohen C.R. Value of hydrogen peroxide enhancement of three-dimensional endoanal ultrasound in fistulainano // Dis Colon Rectum. 2005. 48. Р. 141-147.
- West R.L., Zimmerman D.D., Dwarkasing S. et al. Prospective comparison of hydrogen peroxide-enhanced three-dimensional endoanal ultrasonography and endoanal magnetic resonance imaging of perianal fistulas // Dis Colon Rectum. 2003. 46. Р. 1407-1415.
- Shobeiri S.A. Practical pelvic floor ultrasonography. A multicompartmental approach to 2D/3D/4D ultrasonography of Pelvic floor // Springer Science+Business Media New York 2014.
- Pescatori M., Regadas F.S.P., Regadas S.M.M., Zbar A.P. Imaging atlas of the pelvic floor and anorectal diseases // Springer-Verlag Italia 2008.
- Tonolini M., Maconi G. Imaging of perianal inflammatory diseases // Springer-Verlag Italia 2013.
- Филлипов Д.Ю. Ультрасонография в диагностике острого парапроктита. Автореф. дисс. ... канд. мед. наук. М., 1999. 25 с.
- Stewart L.K., McGee J., Wilson S.R. Transperineal and transvaginal sonography of perianal inflammatory disease // Аm. J. Roentgenol. 2001. V. 177 (3). P. 627-632.

УЗИ сканер HS70
Точная и уверенная диагностика. Многофункциональная ультразвуковая система для проведения исследований с экспертной диагностической точностью.
Публикации по теме
- Возможности ультразвуковой диагностики острого парапроктита. Клиническое наблюдение - Кислякова М.В.
- Комплексная эластография (в режиме ручной компрессии и акустическая импульсно-волновая ARFI) и эластометрия (SWV) в дифференциальной диагностике гиперэхогенных образований печени - Бердников С.Н.
- Возможности ультразвуковой оценки функциональных результатов хирургической коррекции дуоденогастрального рефлюкса - Гибадулина И.О.
- Кишечная дупликационная киста: ультразвуковая диагностика и морфологические сопоставления - Степанова Ю.А.
- Возможности инвазивной ультразвуковой диагностики острого панкреатита - Мамошин А.В.