Некоторые аспекты диагностики почечно-клеточного и переходно-клеточного рака почки
Рубрика: Эхография в онкологии

Журнал "SonoAce Ultrasound"
Содержит актуальную клиническую информацию по ультрасонографии и ориентирован на врачей ультразвуковой диагностики, выходит с 1996 года.
Введение
Опухоли почек составляют в настоящее время 2-3 % от всех злокачественных новообразований, занимая в структуре заболеваемости по странам СНГ среди мужского и женского населения, соответственно, 13-е и 15-е места. Число больных раком почки на 100 тыс. населения, по данным разных авторов, колеблется в очень больших пределах: от 1,14 до 7,9. Ежегодно в мире регистрируется 78 тыс. смертей и выявляется 150 тыс. новых случаев рака почки, что составляет 1,9 % от общего количества злокачественных новообразований. Заболеваемость раком почки неуклонно растет, и за последнее десятилетие она увеличилась втрое [1-4].
В России стандартизированный показатель заболеваемости раком почки на 100 тыс. населения среди мужчин и женщин составляет, соответственно, 8,3 и 4,3. Заболевание чаще встречается в возрасте 40-60 лет. Правая и левая почки поражаются с одинаковой частотой. Средний диаметр первичных опухолей - 6,19 см (диапазон от 0,7 до 13 см).
Использование ультразвукового исследования (УЗИ) и компьютерной томографии (КТ) внесло значительный вклад в обнаружение опухолей на ранних стадиях. Случайное обнаружение почечно-клеточного рака и особенно маленьких опухолей увеличилось в ходе диспансерных наблюдений и исследований по поводу других болезней.
Среди всех больных с опухолью почек злокачественные опухоли встречаются в 94 % случаев. Почечный рак составляет от 1,9 до 2,4 % всех раковых новообразований вообще (рис. 1).

Слева - здоровая почка, справа - опухолевое поражение почки.
В настоящее время бессимптомное течение рака почки и случайное его выявление с помощью современных методов исследования имеет место в 54 % случаев. С увеличением размеров опухоли частота клинически проявляющегося почечно-клеточного рака увеличивается с 6,1 до 48,8 %. Классически характерна триада симптомов в виде: гематурии; локальной болезненности; прощупываемой опухоли.
Настоящая публикация посвящена инструментальной диагностике почечноклеточной и переходно-клеточной формам рака почки.
Почечно-клеточный рак почки
Почечно-клеточный рак - наиболее часто встречающийся тип рака почки, он составляет около 85 % от всех опухолей почек. Злокачественные клетки почечно-клеточного рака развиваются из выстилки почечных канальцев, образуя раковую опухоль. Обычно это единичная опухоль.
Ультразвуковое исследование
При УЗИ, в случае рака, почка чаще увеличена в размерах, контуры неровные, нечеткие. В проекции нижнего или верхнего полюса визуализируется объемное образование, возможно, содержащее в своей структуре как тканевые, так и жидкостные компоненты (рис. 2, 3).

а) В просвете мочевого пузыря пристеночно визуализируется гиперэхогенное образование размером 70×50 мм, по типу сгустка крови.

б) В правой почке в проекции нижнего полюса визуализируется объемное образование общим размером 94х64 мм, содержащее в своей структуре тканевые и жидкостные компоненты.

а) В правой почке в проекции верхнего полюса, деформируя контур почки, визуализируется тканевое образование размером 50×80 мм, выраженно неоднородное по эхоструктуре.

б) Режим ЦДК. Опухоль почки. Визуализируются отдельные сосудистые сигналы внутри образования.
Компьютерная томография
При КТ выявляется образование негомогенной структуры, накапливающее контрастное вещество (рис. 4).

а) Нативная фаза. Правая почка увеличена в размерах и деформирована объемным образованием, размером до 80 мм в диаметре, с бугристым контуром, негомогенной структуры.

б) Артериальная фаза. Образование фрагментарно накапливает контрастное вещество.

в) Отстроченная фаза. Фрагментарные признаки дефекта наполнения.
Клиническое наблюдение 1
Пациентка П. В 2001 г. проведена нефрэктомия по поводу рака левой почки. На момент осмотра жалоб не предъявляет, лечится по поводу сахарного диабета.
При УЗИ в проекции нижнего полюса единственной правой почки визуализируется образование жидкостного характера, размером 44×37 мм, выходящее на контур почки, содержащее в своей структуре крупный пристеночный тканевой компонент и перегородки. Заключение: "объемное образование правой почки". С учетом анамнеза больше данных за неопластический характер поражения (рис. 5).

а) В проекции нижнего полюса визуализируется образование жидкостного характера размером 44х37 мм, выходящее на контур почки, содержащее в своей структуре пристеночный тканевой компонент и перегородки.

б) Объемное образование правой почки в режиме ЦДК. Регистрируются единичные эхосигналы по периферии образования.
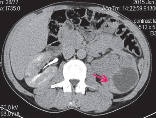
По данным КТ, единственная правая почка расположена типично, размеры не изменены, паренхима не истончена. В нижней трети паренхимы, с выходом на контур, - округлое образование диаметром 47 мм, частично выходящее на латеральный контур, кистозно-солидной структуры, достаточно интенсивно накапливающее контрастное вещество по периферии. Полостная система почки не расширена. Паранефрий заметно не изменен. Заключение: "КТ-картина тумора, с учетом анамнеза, вероятнее всего, вторичного характера" (рис. 6).

а) Нативная фаза. В нижней трети паренхимы, с выходом на контур, округлое образование, 47 мм в диаметре, частично выходящее на латеральный контур, кистозно-солидной структуры.

б) Артериальная фаза. Образование, достаточно интенсивно накапливающее контрастное вещество по периферии.

в) Отсроченная фаза. Фрагментарные признаки дефекта наполнения.
Пациентке выполнена резекция единственной правой почки, при гистологическом исследовании получены клетки почечно-клеточного рака, светлоклеточный вариант.
Переходно-клеточный рак лоханки
Около 6-7 % рака почек опухоли возникают не из почечной ткани, а в почечной лоханке. Почечная лоханка - это участок мочевыделительной системы, где почка соединяется с мочеточником. Эта опухоль называется переходноклеточным раком и состоит из раковых клеток, которые отличаются от клеток, характерных для почечно-клеточного рака. Исследования показали связь развития этих опухолей с курением сигарет. Клинические проявления переходно-клеточного рака лоханки подобны симптомам при почечно-клеточном раке, включают гематурию и боли в животе или в пояснице.
Клиническое наблюдение 2
Пациент С. считает себя больным в течение 3 месяцев, когда появилась гематурия, боли в поясничной области, лихорадка. При УЗИ в проекции верхней группы чашечек правой почки определяется образование тканевой плотности размером до 20 мм (рис. 7). Заключение: "объемное образование правой почки".

а) В проекции верхней группы чашечек визуализируется тканевой плотности образование, в диаметре до 20 мм, неправильной формы.

б) Режим ЦДК. Визуализируются отдельные сосудистые сигналы внутри образования.
Проведенная КТ подтвердила диагноз рака правой почки (рис. 8).

а) Нативная фаза. В проекции верхней группы чашечек - неоднородное образование неправильной формы общим размером 20×20 мм.

б) Артериальная фаза. Образование неравномерно накапливает контрастное вещество.

в) Отсроченная фаза. Фрагментарные признаки дефекта наполнения чашечек.
Пациенту произведена нефрэктомия. При гистологическом исследовании установлен умеренно дифференцированный переходно-клеточный рак почки.
Клиническое наблюдение 3
Пациент М. Впервые примесь крови в моче появилась около двух лет назад. В последующем неоднократно повторялась гематурия. За помощью обратился впервые.
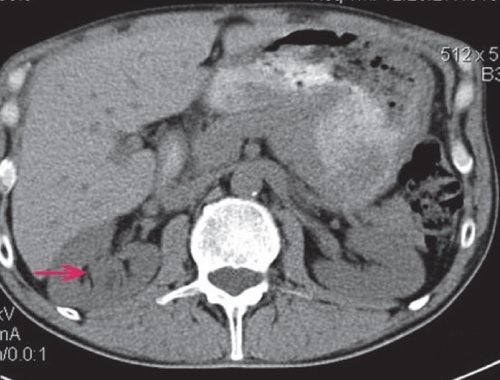
При УЗИ почки расположены типично, в размерах не изменены. Подвижность при дыхании сохранена, контуры ровные, четкие. Полостная система не расширена, мочеточники не визуализируются. В проекции нижней группы чашечек справа визуализируется тканевой плотности гипоэхогенное образование размером до 40 мм (рис. 9). Заключение: "объемное образование правой почки".

В проекции полостной системы визуализируется тканевой плотности гипоэхогенное образование размером до 40 мм.
При КТ в нижне-средних отделах ЧЛС справа определяется мягкотканное объемное образование с четкими контурами размером 50×40 мм, деформирующее ЧЛС, фрагментарно накапливает контрастное вещество (рис. 10).

а) Нативная фаза. В нижне-средних отделах ЧЛС справа мягкотканное объемное образование с четкими контурами размером 50×40 мм, деформирующее ЧЛС.

б) Артериальная фаза. Образование неравномерно накапливает контрастное вещество.

в) Отсроченная фаза. Фрагментарные признаки дефекта наполнения чашечек.
Пациенту проведено оперативное лечение - нефрэктомия. При гистологическом исследовании установлен переходно-клеточный умеренно дифференцированный рак правой почки.
Клиническое наблюдение 4
Пациентка Х. жалоб не предъявляла, обратилась на профилактический осмотр.
При УЗИ в проекции верхней группы чашечек левой почки визуализируется тканевой плотности образование размером 30×30 мм, неоднородное по эхоструктуре, преимущественно гиперэхогенное, при ЦДК визуализируются единичные эхосигналы внутри образования (рис. 11).

а) В проекции верхней группы чашечек левой почки визуализируется тканевой плотности образование размером 30×30 мм.

б) Режим ЦДК. Визуализируются единичные эхосигналы внутри образования.
По данным КТ (рис. 12), почки расположены типично, форма не изменена, паренхима не источена. В паренхиме верхней трети левой почки с частичным выходом на задне-медиальный контур определяется образование округлой формы размером 31 мм, гиподенсной нативной плотности (21 HU), диффузно накапливает контрастное вещество до 73 HU, в отсроченную фазу плотность 47 HU. Образование локально несколько деформирует чашечки верхней группы. Полостные системы почек не расширены, функция почек сохранена. Заключение: "объемное образование левой почки".

а) Нативная фаза. В паренхиме верхней трети левой почки определяется образование округлой формы размером 31 мм, гиподенсной нативной плотности (21 HU).

б) Артериальная фаза. Диффузно накапливает контрастное вещество до 73 HU.

в) Отсроченная фаза. Плотность образования 47 HU.
Пациентке произведена нефрэктомия. При гистологическом исследовании установлен переходно-клеточный умеренно дифференцированный рак левой почки.
Клиническое наблюдение 5
Пациент З. с жалобами на гематурию в течение года впервые обратился за помощью.
При УЗИ почек мочевой пузырь наполнен плохо, пристеночно визуализируется гиперэхогенное образование и подвижные множественные гиперэхогенные образования (вероятнее всего, сгустки). Левая почка значительно увеличена в размере до 160 мм, контуры нечеткие. Часть полостной системы слева представлена объемным образованием до 100 мм, содержащим в своей структуре жидкостной и тканевой компоненты. Заключение: "полостная опухоль левой почки" (рис. 13).

а) В проекции полостной системы слева визуализируется объемное образование размером до 100 мм.

б) Жидкостной компонент в объемном образовании слева.

в) Мочевой пузырь с гиперэхогенным образованием внутри.
По данным КТ почек, левая почка представлена объемным образованием размером 100×100×100 мм, неоднородной структуры, с тканевым и жидкостным компонентами, неравномерно копит контрастное вещество, процесс локализуется как в паренхиме, так и в полостной системе почки (последняя явно деформирована). Тумор интимно прилежит к селезенке и визуально четко неотделим от нее, к хвосту поджелудочной железы и селезеночной вене. По данным КТ, в процессе явно заинтересованы дистальные отделы левой почечной артерии и вены. Через 12 мин после в/в контрастирования в полостной системе левой почки - только мелкие следы контрастного вещества. Визуализируются парааортальные множественные лимфоузлы в диаметре до 20 мм (рис. 14).

а) Нативная фаза. Объемное образование левой почки размером 100×100×100 мм, неоднородной структуры, с тканевым и жидкостным компонентами.

б) Артериальная фаза. Образование неравномерно копит контрастное вещество.

в) Отсроченная фаза. Фрагментарные признаки дефекта наполнения.
Под внутривенным наркозом уретероскоп введен в мочевой пузырь: устья на 5 и 7 часах, без особенностей. В области треугольника Льето две грубоворсинчатые опухоли до 1 см. Уретероскоп введен в левый мочеточник, проведен до лоханки, от ПУС визуализируется грубоворсинчатая опухоль, чашечки не дифференцируются.
Пациенту проведено оперативное лечение - нефрэктомия слева, лимфоаденэктомия слева, резекция мочевого пузыря. По данным гистологического исследования, определен низкодифференцированный переходно-клеточный рак лоханки левой почки, с врастанием в паренхиму почки, низкодифференцированный переходно-клеточный рак мочевого пузыря.
Заключение
Рак почки часто имеет бессимптомное течение, в связи с чем проведение профилактических осмотров с использованием УЗИ является важной составляющей ранней диагностики рака.
В окончательной диагностике рака почки предпочтение отдается КТ, которая позволяет не только установить распространенность рака, но и выбрать тактику лечения.
Литература
- Кармазановский Г.Г. Клинические аспекты внутрисосудистого контрастирования при рентгенологических исследованиях // Медицинская визуализация. 2003. N1. C. 131-137.
- Кармазановский Г.Г., Федоров В.Д. Компьютерная томография поджелудочной железы и органов забрюшинного пространства // Издание второе, исправленное. М.: Изд. дом "Русский врач". 2002. C. 226-285.
- Смирнов И.В., Юдин А.Л., Афанасьева Н.И. Патогенез и КТ-диагностика рака почки (обзор литературы) // Медицинская визуализация. 2004. N1. С. 88-100.
- Zagoria R.J. Imaging of small renal masses: a medical success story // AJR. 2000. V. 175. P. 945-955.

Журнал "SonoAce Ultrasound"
Содержит актуальную клиническую информацию по ультрасонографии и ориентирован на врачей ультразвуковой диагностики, выходит с 1996 года.
Публикации по теме
- Возможности ультразвуковой диагностики в выявлении начальных опухолей языка - Соловьев В.А.
- Некоторые аспекты диагностики почечно-клеточного и переходно-клеточного рака почки - Курзанцева О.М.
- Значение тонкоигольной чрескожной пункционной биопсии под ультразвуковым контролем в диагностике рака молочной железы в юго-западных районах Брянской области - Зубарева И.А.
- Возможности современных ультразвуковых методик в диагностике рака эндометрия - Минько Б.А.
- Случайные находки поражения костных структур при эхографии опухолей различного генеза (три клинических примера: опухоль мозга, опухоль плевры, опухоль оболочек спинного мозга) - Заболотская Н.В.