Коронарные фистулы и шунты с точки зрения локальной гемодинамики. Анатомические и диагностические особенности
2 ФГБУ «Государственный научно-исследовательский испытательный институт военной медицины» МО РФ, Москва
Рубрика: Эхография в кардиологии
 
                                Журнал "SonoAce Ultrasound"
Содержит актуальную клиническую информацию по ультрасонографии и ориентирован на врачей ультразвуковой диагностики, выходит с 1996 года.
Информация о коронарных фистулах (КФ), имеющаяся в доступной литературе, носит несистемный характер, без уточнения причин разброса максимальных скоростей (Vmax) и, соответственно, максимальных градиентов давления (Gmax), регистрируемых при подобной патологии. Характеристика КФ чаще ограничивается их локализацией и фазой сердечного цикла, в которую регистрируются патологические потоки.
Даже с учетом немногочисленных данных по данной проблеме, в настоящее время можно однозначно говорить о том, что появление КФ чаще обусловлено нарушением эмбриогенеза с формированием «синусоидов» – расширенных терминалей коронарных артерий (КА), открывающихся в камеры сердца, часто на фоне сохранившегося губчатого строения миокарда. За счет деления КА на ветви 1–2–3 порядка происходит снижение давления в дистальных сегментах коронарного русла с 60–90 до 18–28 мм рт.ст. и еще большее снижение давления в «синусоидах», между дистальными отделами КА и камерами сердца, часто до 4–6 мм рт.ст. Высокие же показатели Gmax, на уровне 44–51 мм рт.ст., чаще обусловлены ангиографическими либо оперативными вмешательствами и могут быть отнесены к послеоперационным (чаще – проксимальным) КФ.
Разделение КФ по гемодинамическим характеристикам целесообразно проводить как в целях прогнозирования возможных осложнений, так и в связи с необходимостью выработки тактики дальнейшего ведения таких пациентов, формирования рекомендаций по уровню их дальнейшей физической активности. Однако следует помнить о том, что это возможно только при четком понимании патофизиологических основ данной патологи.
Представленная в 2011 г. в Москве на научно-практической конференции «Редкие наблюдения и ошибки инструментальной диагностики» статья М.Ю. Чернова и соавт. [1] оказалась одной из немногих статей, в которой приводилась достаточно полная информация о различных вариантах внутрисердечных шунтов и возможностях их рентгенодиагностики [2–4]. При этом публикации подобного рода, но уже с точки зрения ультразвуковой диагностики, как все-таки менее затратной и, что немаловажно, неинвазивной современной методики, до настоящего времени нам не встречались, равно как нигде не приводится и объяснение разброса показателей Vmax и Gmax в проекции КФ, причем в ряде случаев – в разы. Наиболее поздняя публикация, в которой обобщены данные по 35 случаям КФ, диагностированным при ЭхоКГ-исследовании, относится к 2014 г. [5], однако и в ней не раскрываются гемодинамические особенности локальной гемодинамики в проекции КФ. Безусловно, разрозненная информация по отдельным нозологическим единицам имеется во многих руководствах по ЭхоКГ [6–8], в учебниках по кардиологии и кардиохирургии [9, 10]. Однако и там информация представляется в крайне обрывочной форме, а дифференциально-диагностических критериев тех же КФ или парапротезных фистул от иных внутрисердечных сообщений или визуализируемых потоков не приводится вовсе.
Единичные случаи КФ, описываемые в литературе, кардинально разнятся по фазности потоков и по показателям пикового градиента давления на уровне КФ. Объяснений ни одному из подобных феноменов нигде не приводится. В большинстве руководств чаще дается лишь краткая характеристика подобной патологии, как это, к примеру, изложено в руководстве У. Вилкенсхоф и И. Круг (2008) [6, 7].
Нами была предпринята попытка систематизировать имеющуюся в доступной литературе информацию по КФ и шунтам в форме обзора, частично дополнив его собственными данными.
В глобальном аспекте ультразвуковая диагностика патологических потоков сводится, главным образом, к трем основным составляющим:
- Локация потока относительно основных структур сердца.
- Оценка фазы сердечного цикла, в который регистрируется патологический поток.
- Определение скоростных характеристик потока и его направленности.
Описываемые в специальной литературе данные о частоте выявления КФ [8] сводятся чаще всего к результатам, полученным в ходе проведения кардиохирургических вмешательств, либо к результатам патологоанатомических исследований лиц с сердечно-сосудистой патологией. В популяции в целом частота регистрации коронарных артериальных фистул составляет 0,002%, т.е. близка к нулевым значениям, а при коронароангиографии (КАГ) КФ встречаются в 0,1–0,2% случаев [11]. По данным J. McNamara и R. Gross (1969) [12] и C. Gillebert и соавт. (1986) [13], частота КФ среди больных с врожденными пороками сердца (ВПС) составляет 0,13–0,4%. Несколько чаще с полостями сердца сообщается правая, чем левая, КА; при этом фистулы КА в правых отделах обнаруживаются во много раз чаще, чем в левых отделах сердца. H. Bankl [14] выделяет следующие варианты коронарных фистул (данные коронароангиографии):
- Анастомоз коронарных артерий с правыми отделами сердца (артериовенозные фистулы, около 90%):
 а) с правым желудочком (ПЖ), б) с правым предсердием (ПП), в) с коронарным синусом, г) с легочной артерией (ЛА).
- Анастомоз коронарных артерий с левыми отделами (артерио-артериальная фистула, около 10%):
 а) с левым предсердием (ЛП), б) с левым желудочком (ЛЖ).
Информация же по КФ, полученная на основании результатов ЭхоКГ-исследований, до настоящего времени представляется крайне обрывочной и несистематизированной. Это касается как отечественных данных, так и данных европейских и американских исследователей [6, 7, 9].
Гемодинамическое обоснование возможностей ЭхоКГ в диагностике внутрисердечных шунтов и сообщений приводится ниже.
Возможные варианты лево-правых внутрисердечных шунтов и патологических сообщений представлены в табл. 1, где указаны и ожидаемые расчетные скоростные характеристики потоков с учетом значений максимального градиента давления между полостями и структурами сердца (Gmax = 4 · Vmax2), а также с учетом падения внутрисосудистого давления в КА вследствие деления последних на ветви 1–2–3 порядка (рис. 1). Гемодинамически значимыми оказываются только аортолевожелудочковые и аортоправожелудочковые шунты, наиболее близкие с анатомической и гемодинамической точки зрения к КФ, однако все же имеющие с ними существенные различия (табл. 2).
| Вариант внутрисердечного сообщения | Давление в проксимальном участке, мм рт.ст.* | Давление в дистальном участке, мм рт.ст.* | Ожидаемый градиент давления, мм рт.ст.* | Ожидаемый градиент давления, м/с | Характеристика потока | Источник публикации | 
|---|---|---|---|---|---|---|
| ОАП | Ао: S 100-140 D 50-90 | ЛА: S 25-30 D 10-15 | 110-75 | 5,2-4,3 | Нарастающий систолический шум ко II тону и диастолический убывающий к I тону | |
| ДМПП | ЛП: S 7-17 D 0-2 | ПП: S 3-7 D 0-2 | 4 (10) - 0 | 1 (1,5) - 0 | Турбулентный систоло-диастолический поток в PW-режиме [8] | |
| ДМЖП | ЛЖ: S 100-140 D 0-12 | ПЖ: S 30-35 D 0-1 | 105-12 | 5,1-1,7 | ||
| КА-ЛЖ | КА: 60 (94) | ЛЖ: S 100-140 D 0 | 60 (94) | 3,87 (4,85)II | Диастолический+ [9] | [1, 18, 31, 32] | 
| ТН | ПЖ: S 30-35 D 0–1 | ПП: S 3–7 D 0–2 | 28–0 | 2,6–0 | ||
| ЛН | ЛА: S 25–30 D 10–15 | ПЖ: S 30–35 D 0–1 | 14–30 | 1,87–2,7 | ||
| АН | Ао: D 50–90 | ЛЖ: S 100–140 D 0–12 | 78 | 4,4 | ||
| МН, парапротезная фистула | ЛЖ: S 100–140 | ЛП: S 7–17 D 0–2 | 123 | 5,54 | ||
| Ао-легочный канал | Ао: S 100–140 D 50–90 | ЛА: S 25–30 D 10–15 | 110–75 | 5,2–4,33 | ||
| Ао-ПЖ фистула | Ао: S 100–140 D 50–90 | ПЖ: S 30–35 D 0–1 | 105–89 | 5,1–4,7 | [16,17] | |
| КА-ПЖ | КА: 60 (94)¶ | ПЖ: S 30–35 D 0–1 | 60 (94) | 3,87 (4,85)II | Систолическая и диастолическая фазы равной интенсивности | [28] | 
| КА-ЛА | КА: 60 (94)¶ | ЛА: S 25–30 D 10–15 | <45 (80) | 3.35 (4,47)II | Систолическая и диастолическая фазы равной интенсивности | [11, 19, 33] | 
| КА-ПП | КА: 60 (94)¶ | ПП: S 3–7 D 0–2 | 60 (94) 11,56-43 [19] | 3,87 (4,85) 1,7–3,28 [19] | Преобладает систолический компонент шума со среднесистолическим усилением [5] | [34] | 
| КА-ЛП | КА: 60 (94)¶ | ЛП: S 7–17 D 0–2 | 60 (94) | 3,87 (4,85)II | Преобладает систолический компонент шума со среднесистолическим усилением [5] | [1] | 
* - показатели скоростей и градиентов давления приведены с учетом нормальных значений системного АД и давлений в камерах сердца (S – систолическое давление; D – диастолическое давление).
+ - в систолу отверстие фистулы частично или полностью закрывается. II – при уровне давления в дистальных сегментах КА 59,7 ± 2,9 мм рт.ст. [21] (в проксимальных отделах КА давление может достигать значений 94 ± 2,3 мм рт.ст., данные для лиц в возрасте 65 ± 10 лет с сохранной ФВ).
¶ – поскольку кровоток в коронарных артериях осуществляется только в диастолическую фазу, максимальные значения давления в проксимальных сегментах КА у взрослых пациентов (при нормальном АД) не должны превышать 90 мм рт.ст. и поэтому находятся в пределах 60–90 мм рт.ст. [21].
Ао – аорта, ДМПП – дефект межпредсердной перегородки, ДМЖП – дефект межжелудочковой перегородки, ТН – трикуспидальная недостаточность, ЛН – легочная недостаточность, АН – аортальная недостаточность, МН – митральная недостаточность.
 
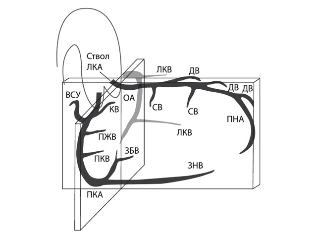
                            ВСУ – ветвь синусового узла,
                                ЛКА – левая коронарная артерия,
                                ДВ – диагональные ветви,
                                ОА – огибающая артерия,
                                ПНА – передняя нисходящая артерия (передняя межжелудочковая артерия),
                                СВ – септальные ветви,
                                ПКА – правая коронарная артерия,
                                КВ – конусная ветвь (ветвь артериального конуса),
                                ПЖВ – правожелудочковая ветвь,
                                ПКВ – правая краевая ветвь (ветвь острого края),
                                ЗБВ – задняя боковая ветвь,
                                ЗНВ – задняя нисходящая ветвь,
                                ЛКВ – левая краевая ветвь (ветвь острого края).
| Показатель | Коронарная фистула | Парапротезная фистула | Открытый артериальный (боталлов) проток | 
|---|---|---|---|
| Локализация | По ходу основных стволов и ветвей КА | В проекции клапанного кольца | Ствол ЛА (чаще основание левой ЛА, ближе к бифуркации ствола ЛА) [35] | 
| Скорость потока, Vmax | До 3–5,5 м/с [15, 17] | До 4,4–5,77 м/с | До 5,2–4,3 м/с [36] | 
| Фаза сердечного цикла | Диастолический поток (основной), диастолосистолический – диастолический шум нарастает к I тону, систолический убывает ко II тону. При открытии в правое предсердие/желудочек или легочную артерию регистрируется непрерывный систолодиастолический поток. При открытии в левый желудочек – только диастолический поток [35] | Систолический на МК/ТК (в полости ЛП/ПП); диастолический на АК/КЛА (в полости ЛЖ/ПЖ) | Непрерывный систолодиастолический, высокочастотный, высокоамплитудный, усиливающийся при задержке дыхания на вдохе, ослабевающий при натуживании. Систолический шум усиливающийся ко II тону, диастолический шум убывающий к I тону. У детей первых месяцев жизни поток только систолический [35] | 
Приводимые К. Ananthasubramaniam [15] значения скорости в проекции КФ могут достигать 5,5 м/с, тогда как по данным Н. Karapinar и соавт. [16] не превышают 1,5 м/с, по данным же F. Triki и соавт. [17] и того меньше – 0,5 м/с и до 2 м/с по данным М.Ю. Чернова [1] и P. Unger и соавт. [18]. При этом все представленные случаи относятся к КФ только лишь в области ЛЖ! Для КФ в стволе ЛА измеренные скорости уже приводятся на уровнях 0,9 м/с [11], 1,2 м/с [19] и т.п. Отличаются также и характеристики описываемых потоков. В большей степени это касается КФ в дистальных отделах коронарного русла.
В чем же кроется причина подобных расхождений скорости потоков в проекции КФ, да притом – в разы, между расчетными значениями градиента давления и соответственно максимальной зарегистрированной скорости и значениями, приводимыми в различных литературных источниках?
Таких причин может быть четыре.
Во-первых, регистрируемая скорость на уровне КФ зависит от того, в какую камеру/полость сердца происходит шунтирование из КА (от разницы давления в коронарном русле и камере сердца, см. табл. 1).
Во-вторых, от удаленности КФ от проксимального участка той или иной ветви КА, т.е. от порядка деления КА на ветви – 1–2–3 порядка.
В-третьих, от величины системного артериального давления (АД, систолического и диастолического), который в том числе зависит от возраста [20] и, соответственно, от величины давления в камерах сердца у детей и взрослых пациентов.
И, наконец, четвертая, не менее значимая, а в ряде случаев и наиболее важная причина выявляемых расхождений между реальными и расчетными значениями максимальных скоростей и градиентов давления в проекции КФ скрывается в самой допплеровской методике измерения этих показателей. Поскольку допплерография является уголзависимой методикой, именно этот фактор может оказывать наибольшее влияние на конечные результаты.
Поскольку кровоток в КА осуществляется преимущественно в фазу диастолы, максимальные значения давления в проксимальных сегментах КА у взрослых пациентов (при нормальном АД) не должны превышать 90 мм рт.ст. и находиться в пределах 60–90 мм рт.ст. [21]. Для детей данный показатель будет намного ниже, если учитывать тот факт, что нормальное систолическое АД не должно превышать значение «2 · возраст + 70». При этом давление, рассчитанное на разном удалении от устья КА (в соответствии с уравнением Бернулли), будет еще ниже, находясь на уровне 29 мм рт.ст. для правой нисходящей артерии (ПНА) и диагональной ветви левой КА (ДВ ЛКА) и 18 мм рт.ст. для задней нисходящей артерии (ЗНА) и задней боковой ветви правой КА (ЗБВ ПКА, при уровне системного диастолического АД порядка 60 мм рт.ст.; для 90 мм рт.ст. расчетное давление составит 45 мм рт.ст. в ПНА и 28 мм рт.ст. в ДВ ЛКА соответственно).
Подобный расчет ожидаемого внутрисосудистого давления на любом участке коронарного русла может быть выполнен самостоятельно на основании формулы Бернулли: P2=(P1·S1)/S2, где Р – давление, в мм рт.ст., S – площадь поперечного сечения сосудов, данных о величине среднего диаметра основных КА 1–2–3 порядка на исследуемом уровне и данных об уровне системного диастолического АД.
Но даже эти механизмы во многих, но не во всех случаях объясняют низкие скорости и градиенты давления на уровне КФ.
Наиболее вероятной причиной низких значений скоростей и градиентов давления, регистрируемых на практике в проекции КФ, является аномалия развития артериовенозной системы сердца на этапе эмбриогенеза, механизм которого достаточно подробно изложен В.И. Бураковским и Л.А. Бокерия [10].
Механизм формирования венечно-артериальной системы, по мнению В.И. Бураковского и Л.А. Бокерия, не имеет однозначного толкования, поскольку в экспериментальной эмбриологии до сих пор не разработана приемлемая модель животных, на которой можно было бы проследить весь процесс закладки и развития системы венечных сосудов, и многие моменты и механизмы формирования этой системы все еще остаются непонятными. Известно, что рост и развитие сосудов сердца в ходе эмбриогенеза происходит в трех направлениях: со стороны эндокарда растут первичные синусоиды, которые образуют в основном субэндокардиальную синусоидальную сеть; субэпикардиально к верхушке сердца растут стволы и ветви венечных артерий; в области перикарда по магистральным сосудам сердца к миокарду подрастают экстракардиальные артерии и вены. Венечно-артериальные свищи при этом представляют собой прямое соединение венечных артерий с камерами сердца, без промежуточного капиллярного русла между ними. В этом случае фистулы венечных артерий (венечно-артериально-камерные фистулы) – пример сохранения эмбрионального кровообращения в виде синусоидной циркуляции, чаще наблюдаемый совместно с сохранившимся губчатым строением миокарда. На окончательном этапе васкуляризации сердца формируется терминальное сосудистое русло. В ходе слияния мышечных трабекул, т.е. по мере формирования компактного миокарда, большая часть синусоид подвергается редукции. Их эндотелиальная выстилка превращается в эндотелиальные тяжи с исчезнувшим просветом, чего в случае с КФ по тем или иным причинам не происходит вовсе либо осуществляется частично.
Наибольшие трудности в дифференциальной диагностике могут возникнуть в случае наличия патологических потоков в стволе ЛА (рис. 2–5), а также при дефекте межжелудочковой перегородки (ДМЖП, в этом случае должна проводиться дифференциальная диагностика с КФ в правом желудочке). При этом следует помнить об ЭхоКГ-характеристиках потоков при открытых артериальных протоках (ОАП) и легочной регургитации (см. рис. 2). «Злую шутку» при этом может сыграть исследование в CW-режиме. В таких ситуациях целесообразно пользоваться режимом цветового допплеровского картирования (ЦДК) и PW-допплеровского исследования, главным образом в тех случаях, когда имеет место наложение на ось сканирования нескольких цветовых, равнонаправленных и к тому схожих по фазе сердечного цикла потоков. Не стоит забывать об анатомических особенностях и наиболее частой локализации той или иной патологии.
Наибольшие скорости в проекции КФ регистрируются при их выявлении в проксимальных отделах КА, ближе к устью ЛКА и ПКА. В этих случаях характеристики регистрируемых потоков оказываются схожими с таковыми в проекции парапротезных фистул и лево-правых шунтов, когда скорости потоков достигают 4–5 м/с (рис. 4, 6).
Какие же дальнейшие действия предполагает постановка диагноза «коронарной фистулы»? Бесспорно, врачу-диагносту, равно как и любому лечащему врачу, следует четко уяснить возможные патофизиологические механизмы, лежащие в основе аномального формирования КА в варианте КФ (табл. 3), и уже после этого обратиться к руководящим документам по данной патологии [22, 23].
Что касается прогноза, то, по данным Н. Шиллера и М.А. Осипова [24], в список «редкой патологии, при которой вероятность дожить до взрослого состояния ВЕЛИКА», отнесены коронарные артериовенозные фистулы. ЭхоКГ-признаком фистулы КА являются: дилатация проксимальных отделов КА и патологический кровоток в тех отделах сердца, куда поступает кровь из коронарного русла [16].
| Патофизиологический механизм | Доказательство действия | ||
|---|---|---|---|
| вероятно | возможно | невозможно | |
| Первичная ишемия миокарда (постоянная или эпизодическая) | - | + | - | 
| Вторичная ишемия миокарда (эпизодическая) | + | - | - | 
| Повышенный риск атеросклеротического поражения коронарных артерий | + | - | - | 
| Повышенный риск инфекционного эндокардита | - | + | - | 
| Объемная перегрузка | + | - | - | 
| Технические трудности при выполнении ангиографии или ангиопластики | - | + | - | 
 
                                a) парастернальная позиция короткая ось на уровне аортального клапана, ствола легочной артерии. Низкообъемный диастолический поток сброса крови направо на уровне проксимального отдела левой коронарной артерии в ствол легочной артерии. Поток к датчику.
 
                                б) парастернальная позиция короткая ось на уровне аортального клапана, ствола легочной артерии. Режим РW-допплеровского картирования. Регистрируется среднескоростной диастолический (!) поток сброса крови направо, Vmax 1,0 м/с, Gmax 4,0 мм рт.ст.
 
                                     
                                     
                                     
                                    а) Парастернальная позиция короткая ось на уровне аортального клапана, ствола легочной артерии. Режимы В- и ЦДК. Низкообъемный патологический диастолический поток, направленный от датчика, в проекции ствола левой коронарной артерии и основания правой легочной артерии.
                                        ЛА – легочная артерия, АК – аортальный клапан, КЛА – клапан легочной артерии.
 
                                    б) Парастернальная позиция короткая ось на уровне аортального клапана, ствола легочной артерии. Увеличенное изображение.
 
                                в) Парастернальная позиция, короткая ось на уровне аортального клапана, ствола легочной артерии. В режиме CW- регистрируются среднескоростные равнонаправленные: систолический поток в стволе ЛА/проксимальном отделе правой легочной артерии (Vmax до 1,5 м/с, обозначен стрелкой «1») и диастолический поток из проекции коронарной фистулы, низкообъемный, с Vmax до 1,4 м/с (Gmax – 7,84 мм рт.ст., обозначен стрелкой «2»). Данные по Vmax и Gmax в проекции патологического потока практически идентичны показателям, приводимым S.-M.Hong и соавт. [19].
Ао – аорта; ЛЖ – левый желудочек; ЛП – левое предсердие.
 
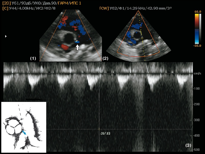
                                    а) Апикальный доступ, четырехкамерная позиция. В полости ЛЖ от уровня основания задней створки МК вдоль левой боковой стенки в режиме ЦДК визуализируется патологический скоростной турбулентный диастолический поток (на схеме – красная стрелка «1»); в полости левого предсердия – функциональные диастолические (!) потоки из проекции легочных вен (на схеме – красные стрелки «2»).
 
                                    б) Апикальный доступ, четырехкамерная позиция. В режиме CW регистрируется высокоскоростной диастолический поток, Vmax до 4,58 м/с, Gmax – 84 мм рт.ст. Учитывая высокие скорость и градиент давления, а также фазу сердечного цикла, в которую регистрируется поток, в качестве единственной возможной причины его появления рассматривается только коронарная фистула между проксимальным сегментом коронарной артерии (наиболее вероятно, огибающая артерия левой коронарной артерии) и полостью левого желудочка.
 
                                в) Парастернальная позиция по длинной оси. В режиме ЦДК визуализируются 2 патологических диастолических потока: 1-й – на уровне аортального клапана (на схеме – синяя стрелка «1»), 2-й – на уровне основания задней створки митрального клапана (на схеме – сине-красная стрелка «2»).
Показания к оперативному лечению
Показаниями к оперативному лечению, как и при большинстве врожденных/приобретенных пороков сердца, являются состояние гемодинамики и размерные показатели камер сердца, показатель диастолической дисфункции миокарда ЛЖ, а также уровень давления в ЛА. При этом не стоит забывать о том, что оценка нормативных размерных показателей сердца у детей осуществляется с учетом данных возраста и массы тела (!) таких пациентов [25].
В качестве метода выбора для лечения гемодинамически значимых КФ должна рассматриваться методика эмболизации «detachable balloon or coil» [11, 26], а в случае больших коронаросердечных фистул могут использоваться окклюдеры (например, Amplatzer) [27].
Динамическое наблюдение: 1 раз в 3–5 лет (данные 2011 г., США) [23].
Допуск к занятиям спортом осуществляется на основании «Национальных рекомендаций по допуску спортсменов….» (2011) [22] и «Основ спортивной кардиологии» (США, 2011) [23].
Коронарные фистулы не выделены в отдельный раздел в «Национальных рекомендациях…», а рассматриваются в контексте остаточных симптомов порока после хирургической коррекции ВПС. В разделе 4.14 «Дисфункция миокарда желудочков после операции на сердце», в частности, указано: «Известно, что после хирургической коррекции врожденных пороков сердца может развиваться дисфункция левого и/или правого желудочков, ограничивающая толерантность к физической нагрузке. У некоторых пациентов могут быть остаточные симптомы порока (дисфункция клапанов, резидуальные шунты), поддерживающие дисфункцию желудочков. Необходимо динамическое наблюдение за спортсменами после успешно выполненных хирургических вмешательств на сердце, так как дисфункция миокарда может со временем прогрессировать».
Рекомендации
- Для допуска спортсмена к занятиям всеми видами спорта необходимо, чтобы функция ЛЖ была нормальной или субнормальной (фракция выброса (ФВ) ≥50 %).
- Спортсмены с незначительными признаками желудочковой дисфункции (ФВ от 40 до 50%) могут быть допущены к низкоинтенсивным статичным видам спорта (класс IA).
- Спортсмены с умеренной и/или тяжелой дисфункцией желудочков (ФВ ≤ 40%) должны быть отстранены от занятий любыми видами спорта.
Прогноз для таких пациентов чаще благоприятный при отсутствии гемодинамических нарушений в виде: а) диастолической дисфункции, б) расширения камер сердца, в) повышения давления в ЛА, г) отсутствия признаков хронической сердечной недостаточности, д) отсутствия ишемических изменений на ЭКГ. Такие пациенты подлежат динамическому наблюдению, и они могут заниматься спортом.
Что касается детей и подростков, то за основу нормы размерных показателей камер сердца, по отклонению от которых можно судить о характере гемодинамических нарушений и выраженности перегрузки, следует принять данные, приводимые Ю.М. Белозеровым [25].
Дифференциальную диагностику следует проводить главным образом с ОАП и ДМЖП, аортолегочными свищами, разрывом аневризмы синуса Вальсальвы, артериовенозными свищами легких. И если ничего из вышеперечисленного в процессе выполнения ЭхоКГ-исследования не выявлено, вероятность диагноза КФ становится намного большей.
Таким образом, в качестве основных ЭхоКГ-признаков КФ с учетом данных доступной литературы и собственных данных следует выделить следующие: 1) локализация по ходу основных стволов и ветвей КА; 2) фазность регистрируемого потока – чаще диастолический (см. табл. 1, 2), но может быть и систолодиастолическим с преобладанием систолической составляющей в случае КФ в ПП [9]; 3) величина максимального градиента давления (Gmax) в зависимости от того, в какую камеру сердца открывается КФ (см. табл. 1). Поскольку скоростные показатели в проекции КФ оказываются далекими от расчетных максимальных значений (на примере градиентов давлений между различными сегментами КА и отделами сердца), отличаясь в разы (см. табл. 1), данный признак КФ не может быть использован в процессе ЭхоКГ-диагностики как «первостепенно значимый».
Близкие к расчетным значения могут быть получены только в случае наличия шунта в проксимальном отделе ствола ЛКА, устье КА, равно как и между аортой и камерами сердца (чаще – постоперационные шунты). Наиболее значимыми в таком случае остаются: фазность потока и локализация шунта [16].
Однако поскольку фазность потока также имеет определенные различия, совпадая по «преобладающей диастолической составляющей» с такими часто встречающимися потоками, как ОАП, трикуспидальная и митральная недостаточность, парапротезная фистула в области аортального клапана или клапана ЛА, на итоговое заключение в конечном счете влияют все ТРИ составляющих/признака. Только их комплексная оценка, помноженная на опыт врача-диагноста, позволяет приблизить вероятность правильного ЭхоКГ-диагноза к 100%.
С учетом имеющихся в доступной литературе данных в качестве однозначных ЭхоКГ-признаков существования КФ следует рассматривать следующие:
- Появление необычных потоков в камерах сердца после инвазивных эндоваскулярных вмешательств.
- Появление/наличие «необычного» патологического потока в полости ЛЖ.
- Диастолические патологические потоки, не связанные с клапанными структурами и не пересекающие межжелудочковую перегородку на всем протяжении в режиме ЦДК.
- Максимальная скорость диастолического потока порядка 2–3,3 м/с (градиент давления 16–44 мм рт.ст.). Чаще регистрируются потоки со скоростью порядка 1–1,5 м/с [28].
- Наличие дополнительных аномалий/пороков сердца, нарушение структуры миокарда (некомпактный миокард) [29].
С учетом имеющихся литературных данных можно сделать вывод о том, что в случае врожденной патологии КА первичные/истинные КФ формируются главным образом в терминальных отделах коронарного русла, в местах формирования синусоидных капилляров, и чаще характеризуются низкими скоростными показателями (ввиду низкого внутрисосудистого давления) [30]. Приобретенные/вторичные фистулы (образовавшиеся вследствие оперативного лечения сердечно-сосудистой патологии, главным образом после протезирования клапанных структур, ангиографических манипуляций) характеризуются главным образом высокоскоростными потоками с наиболее частой локализацией в проксимальных отделах коронарного русла.
Перспективным направлением изучения данной проблемы остается катетеризация КА и камер сердца у лиц с КФ с оценкой in vivo гемодинамических показателей у таких пациентов с последующим формулированием окончательных выводов о возможностях ЭхоКГ-диагностики КФ в сравнении с КАГ-методикой.
Благодарность
Выражаем искреннюю признательность доктору медицинских наук, профессору кафедры терапии, кардиологии и функциональной диагностики с курсом нефрологии ФГБУ «УНМЦ» Управления делами Президента Российской Федерации Алехину М.Н., оказавшему поддержку при написании данной статьи.
Литература
- Чернов М.Ю., Шаронова С.П., Корнеев Н.В. и др. Эхокардиография в диагностике коронарных фистул: Материалы научно-практической конференции «Редкие наблюдения и ошибки инструментальной диагностики». М., 2011. http://uzi.su/doc/programma_rnch_2011.doc (24 May 2011)
- Парамонова Т.И., Вдовкин А.А., Палькова В.А., Карпухин В.Г. Коронарные артериовенозные фистулы. Комплексная лучевая диагностика в современной кардиохирургической клинике // Лучевая диагностика и терапия. 2012; 3 (2): 88–94.
- Орлов Р.Б., Лебенко И.А., Шутемова Е.А. Редкая врожденная аномалия коронарных сосудов – множественные коронаролевожелудочковые фистулы// Вестник Ивановской медицинской академии. 2017; 22 (1): 47–50.
- Саламатина Л.В., Левченко Е.Ю., Сеитов А.А. и др. Редкая аномалия коронарных сосудов: коронаролевожелудочковые фистулы// Клиницист. 2014; 2: 45–49.
- Прийман Н.Ф., Иванов Д.О., Петренко Ю.В. Коронарные фистулы у детей с шумами над областью сердца// Детская медицина Северо-Запада. 2015; 5 (4): 21–26.
- Вилкенсхоф У., Крук И. Справочник по эхокардиографии. Изд. 3-е. М.: Медицинская литература, 2008. 240 с.
- Фейгенбаум Х. Эхокардиография: Пер. с англ.; Под ред. В.В. Митькова. М.: Видар, 1999. 512 c.
- Рыбакова М.К., Алехин М.Н., Митьков В.В. Практическое руководство по ультразвуковой диагностике. Эхокардиография. М.: Издательский дом Видар-М, 2008. 512 с.
- Белоконь Н.А., Подзолков В.П. Врожденные пороки сердца. М.: Медицина, 1990: 303–307.
- Бураковский В.И., Бокерия Л.А. Сердечно-сосудистая хирургия: Руководство/ Под ред. акад. АМН СССР В.И. Бураковского, проф. Л.А. Бокерия. М.: Медицина, 1989. 752 с.
- Yang Y., Bartel T., Caspari G. et al. Echocardiographic Detection of Coronary Artery Fistula into the Pulmonary Artery// Eur J Echocardiogr. 2001; 2: 292–294.
- McNamara J.J., Gross R.E. Congenital coronary artery fistula// Surgery. 1969; 65: 59–69.
- Gillebert C., Van Hoof R., Van de Werf J., Piessens J., De Geest H. Coronary artery fistulas in an adult population// Eur Heart J. 1986; 7: 437–443.
- Bankl H. Congenital malformations of the heart and great vessels. Baltimor: Urban & Schwarzenberg, 1977. 264 p.
- Ananthasubramanian К. Clinical and echocardiographic features of aorto-atrial fistulas// Cardiovasc Ultrasound. 2005; 3: 1–5.
- Karapinar Н., Kucukdurmaz Z., Gumrukcuoglu H.A. et al. Treatment strategies for aorta-right ventricular fistula associated with aortic and/or mitral valve replacements: a case report with a review of the literature// Postepy w Kardiologii Interwencyjnej. 2011; 7, 2 (24): 182–184.
- Triki F., Kahla S.B., Hammami R. et al. Aorto-right ventricular fistula: An early complication of aortic valve replacement// Case Rep Intern Med. 2015; 2 (2): 51–55.
- Unger P., Moreels M., Stoupel E., Cannière D. Acquired coronary fistula after left ventricular de-airing by apical needle aspiration// Eur Heart J – Cardiovasc Imaging. 2008; 9 (3): 410–411.
- Hong S.-M., Yoon S.-J., Rim S.-J. Contrast Echo-A Simple Diagnostic Tool for a Coronary Artery Fistula// Korean Circulat J. 2012; 42 (3): 205–207.
- Манджони С. Секреты клинической диагностики. М.: Изд-во БИНОМ, 2006. 608 с.
- Muller O., Pyxaras S.A., Trana C. et al. Pressure-Diameter Relationship in Human Coronary Arteries – Pressure// Circulat Cardiovasc Intervent. 2012; 5: 791–796.
- Национальные рекомендации по допуску спортсменов с отклонениями со стороны сердечно-сосудистой системы к тренировочно-соревновательному процессу // Рациональная фармакотерапия в кардиологии. 2011; 7 (6). Приложение.
- Sports Cardiology essentials. Evaluation, Management and Case Studies/ Ed. Lawless С.E. Springer Science+Business Media, 2011. 412 p.
- Шиллер Н., Осипов М.А. Клиническая эхокардиография. Изд. 2-е. М.: Практика, 2005. 344 с.
- Белозеров Ю.М. Детская кардиология. М.: МЕДпресс-информ, 2004. 600 с.
- Гильманов А.А., Сафина Э.И., Постников А.В. и др. Клинический случай множественных коронарно-легочных фистул у пациента с ишемической болезнью сердца и хронической тромбоэмболией легочной артерии // Научно-практический медицинский журнал «Практическая медицина». 2015; 2–3 (88): 74–76.
- Бокерия Л.А., Алекян Б.Г., Подзолков В.П. и др. Применение окклюдеров Amplatzer для закрытия больших коронарно-сердечных фистул // Грудная и сердечно-сосудистая хирургия. 2014; 1: 40–48.
- Kidawa M., Peruga J.Z., Foryś J. et al. Acute coronary syndrome or steal phenomenon – a case of right coronary to right ventricle fistula// Kardiologia Polska. 2009; 67 (3): 287–290.
- Барышникова И.Ю., Беришвили Д.О., Макаренко В.Н., Нефедова И.Е. Крупные коронаросердечные фистулы у грудных детей// Детские болезни сердца и сосудов. 2014; 4: 42–46.
- Tsokolov A., Terentiev S., Lushchenkov D. Coronary Fistulas and Shunts in Terms of Local Hemodynamics and Anatomical Organization. The 16th world federaton for ultrasound in medicine and biology congress in 2017 in conjunction with the 9th Asian conference on ultrasound contrast imaging and Chinese Taipei Society of ultrasound in medicine annual convention, TAIPEI, TAIWAN // Ultrasound Med Biol. 2017; 43 ( S1): S70.
- Demirbag R. Coronary Arteriovenous Fistula. In: Baskot B., ed. Coronary Angiography – The Need for Improvement in Medical and Interventional Therapy. Croatia: InTech, 2011: 165–188.
- Patel C.R., Shah D.M., Dahms B.B. Prenatal Diagnosis of a Coronary Fistula in a Fetus with Pulmonary Atresia with Intact Ventricular Septum and Trisomy 18 // J Ultrasound Med. 1999; 18 (6): 429–431. DOI: 10.7863/ jum.1999.18.6.429
- Qawoq H., Krecki R., Lipiec P. et al. A coronary fistula diagnosed in the eighth decade of life: The utility of non-invasive methods in the selection of treatment approach// Cardiol J. 2010; 17 (3): 299–302.
- Lemos A.E.T., Araújo A.L.J., Belém L.S. et al. Traumatic Fistula between the Right Coronary Artery and Right Atrial Chamber // Arquivos Brasileiros de Cardiologia. 2007; 88 (3): e66–e67.
- Зиньковский М.Ф. Врожденные пороки сердца/ Под ред. А.Ф. Возианова. Киев: Книга плюс, 2008. 1168 с.
- Lim W.-H., Kang S.-H., Jeon K. et al. Asymptomatic Right Coronary Artery-to-Pulmonary Artery Fistula Incidentally Detected by Transthoracic Echocardiography // J Cardiovasc Ultrasound. 2009; 17 (3): 106–109.
- Angelinin P., Villason S., Chan A.V., Diez J.G. Normal and anomalous coronary arteries in humans. In: Angelini P., ed. Coronary Artery Anomalies. Philadelphia, PA: Lippincott, Williams and Wilkins, 1999: 27–150.
 
                                Журнал "SonoAce Ultrasound"
Содержит актуальную клиническую информацию по ультрасонографии и ориентирован на врачей ультразвуковой диагностики, выходит с 1996 года.
Публикации по теме
- Возможности эхокардиографического исследования образований атриовентрикулярной борозды - Салахова А.М.
- Эхокардиография при неотложных состояниях в онкологии - Делягин В.М.
- Коронарные фистулы и шунты с точки зрения локальной гемодинамики. Анатомические и диагностические особенности - Цоколов А.В.
- Особенности эхокардиографической диагностики четырехстворчатого клапана легочной артерии - Салахова А.М.
- Внутримиокардиальное напряжение левого желудочка у детей и подростков - Докторова Н.М.

 
                         
                     
                    
 
                