Ультразвуковая характеристика скелетных мышц при хроническом гломерулонефрите у детей
Москва, Россия
Рубрика: Эхография в педиатрии
УЗИ аппарат HS40
Лидер продаж в высоком классе. Монитор 21,5" высокой четкости, расширенный кардио пакет (Strain+, Stress Echo), экспертные возможности для 3D УЗИ в акушерско-гинекологической практике (STIC, Crystal Vue, 5D Follicle), датчики высокой плотности.
Введение
В настоящее время хроническим заболеваниям почек у детей посвящается большое количество исследований в различных странах мира, хотя вопросы этиологии, патогенеза, клиники и диагностики хронического гломерулонефрита достаточно хорошо изучены [I]. Основной интерес для клиницистов представляют новые схемы терапии хронического гломерулонефрита, которые основаны на все более широком и активном применении кортикостероидов и цитостатиков [2]. Данные группы препаратов известны своими побочными эффектами, особенно серьезными для детского организма [3]. Современная терапия хронических гломерулонефритов у детей приводит, с одной стороны, к удлинению продолжительности заболевания до гемодиализа и трансплантации почек, а с другой - к увеличению экстраренальных проявлений заболевания, обусловленных его течением и осложнениями терапии [3, 4]. Особое место среди этих проявлений занимает поражение опорнодвигательной системы в условиях интенсивного роста и развития организма ребенка [5]. При этом проблеме нарушения процессов окостенения и остеопороза посвящено достаточно большое количество работ, а изменениям в мышечной ткани уделяется, по нашему мнению, незаслуженно мало внимания. Хотя у детей, страдающих хроническим гломерулонефритом, отмечаются клинические проявления: миопатия в виде болей в нижних конечностях, слабость, снижение толерантности к физической нагрузке и при сохранных функциях почек, а миодистрофия является одним из синдромов хронической почечной недостаточности [1, 2, 5-7]. Для оценки состояния скелетных мышц у детей могут применяться различные методы (электромиография, эхография, компьютерная и ядерно-магнитно-резонансная томография), но эхография имеет ряд преимуществ - неинвазивность, отсутствие лучевой нагрузки, доступность и относительно низкая стоимость при достаточно высокой информативности, чувствительности и специфичности метода [8-10].
Материалы и методы
Обследовано 54 ребенка в возрасте от 3 до 16 лет, из них 27 пациентов с хроническим гломерулонефритом, a 27 - составили контрольную группу. Все пациенты были разделены на три возрастные группы: от 3 до 5, от 6 до 11 и от 12 до 16 лет.
Для оценки состояния скелетных мышц использовали линейные датчики с частотой 5-7,5 Мгц. Все исследования выполнялись в положении пациента лежа на спине или животе. При обследовании передней группы мышц бедра датчик устанавливали примерно на границе верхней и средней трети бедра строго перпендикулярно его поверхности, выполняя сначала поперечное, а затем продольное сканирование. Основным ориентиром для правильного расположения датчика служила бедренная кость, которая на эхограмме располагалась примерно в центре. При выполнении продольного сканирования датчик несколько наклоняли во внешнюю сторону от кости. При исследовании мышц бедра могли быть отдифференцированы прямая и промежуточная широкая мышцы на поперечном срезе и латеральная и медиальная широкие мышцы бедра при соответствующих продольных срезах.
Мышцы голени обследовались с задней поверхности, при этом также выполнялись поперечные и продольные срезы. Первые примерно на уровне средней трети, а вторые так, чтобы ультразвуковой луч проходил между двумя берцовыми костями. На эхограммах различались икроножная и камбаловидная мышцы. При исследовании длиннейших мышц спины датчик устанавливался параллельно позвоночнику по околопозвоночным линиям и немного наклонялся в сторону для отчетливой визуализации данной группы мышц.
Для количественной оценки состояния мышц измерялась толщина каждой мышцы, общая толщина всей конечности на уровне среза в переднезаднем направлении, толщина мышц и подкожно жирового слоя и определялось соотношение между толщиной мышц и подкожно-жировой клетчатки.
Помимо эхографических исследований были выполнены и допплерографические исследования кровотока по бедренным артериям в покое, в положении лежа на спине. Для этого в режиме цветового картирования потока дифференцировались указанные сосуды, после чего получали кривые потока в режиме импульсного допплера, оцениваемые качественно по форме кривой и количественно по таким характеристикам, как линейные скорости (минимальная, максимальная и средняя), индексы пульсационный и резистентности и величина объемного кровотока.
Результаты
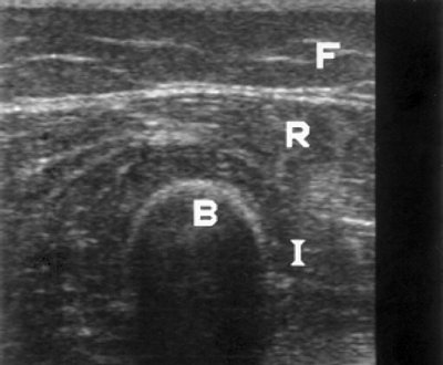
При обследовании мышц бедра четко дифференцировались прямая и широкие мышцы бедра, так как отделялись одни от других гиперэхогенными линейными структурами - фасциями. Все мышцы имели примерно одинаковую эхоструктуру; на гипоэхогенном фоне выделялись тонкие эхогенные полоски, расположенные в каждой мышце в определенном направлении, но обычно параллельные ее длинной оси и лучше видимые на продольных срезах. Происхождение этих сигналов связано с соединительно-тканными перимизиальными септами. На поперечных срезах мышцы имели округлый вид, так же как и их внутренние гиперэхогенные структуры. Эхогенность сокращенных мышц была несколько меньшей, чем у мышц, находящихся в состоянии расслабления. Кость на эхограммах, полученных на поперечных срезах, представлялась сильным дугообразным эхосигналом, сопровождавшимся "тенью", интенсивность которой прямо зависела от возраста пациента. Так, у пациентов младшего возраста ультразвук полностью не отражался от поверхности кости, что позволяло визуализировать ее полость. Внешний край мышц граничил с более эхогенным подкожно-жировым слоем, но в ряде случаев подкожный жир был сходен по плотности с мышцей, особенно у тучных пациентов (рис. 1).
а) Продольное сканирование.
При исследовании мышц голени на эхограммах различались икроножная и камбаловидная мышцы. Их эхоструктура была сходной с мышцами бедра. На поперечных срезах были видны два гиперэхогенных сигнала от поверхностей костей голени.
Длиннейшие мышцы спины визуализировались как гипоэхогенные тяжи, расположенные сразу после поперечных позвонков по обе стороны от позвоночника, с параллельными внутренними эхо от фиброзных перегородок. По размерам и эхоструктуре контралатеральные мышцы не отличались одни от других (рис. 2).
Рис. 2. Эхограмма длиннейших мышц спины в норме.
Толщина мышц и ее отношение к суммарной толщине мышечного и подкожножирового слоев у пациентов контрольной группы представлены в табл. 1, 2, причем толщина мышц прямо зависела от возраста. Структура всех обследованных мышц не имела возрастных и половых различий.
| Возраст, лет | Передняя группа мышц бедра, мм | Задняя группа мышц голени, мм | Длиннейшие мышцы спины, мм |
|---|---|---|---|
| 3-5, n=3 | 15,0 ± 2 | 15,66 ± 3,32 | 11 ± 4 |
| 6-11, n=11 | 22,37 ± 2,4 | 18,46 ± 1,58 | 15 ± 1,44 |
| 12-16, n=13 | 25,31 ± 2,9 | 22,62 ± 0,58 | 15,85 ± 1,84 |
| Всего 27 | |||
| Возраст, лет | Бедро | Голень | Спина |
|---|---|---|---|
| 3-5, n=3 | 0,81 ± 0,05 | 0,69 ± 0,05 | 0,7 ± 0,05 |
| 6-11, n=11 | 0,78 ± 0,04 | 0,73 ± 0,04 | 0,74 ± 0,05 |
| 12-16, n=13 | 0,73 ± 0,03 | 0,74 ± 0,04 | 0,7 ± 0,03 |
| Всего 27 | |||
При обследовании пациентов, страдающих хроническим гломерулонефритом, обращало на себя внимание повышение эхогенности скелетных мышц различной степени, нарушение внутренней структуры мышц в виде неоднородных участков уплотнения, утолщение окружающих каждую мышцу фасций (рис. 3). Наиболее выраженные изменения наблюдали в длиннейших мышцах спины, эхогенность которых в некоторых случаях приближалась к соединительной ткани, а внутренние структуры были трудноразличимы (рис. 4). Пациенты с такими эхографическими изменениями имели длительный стаж заболевания и(или) получали глюкокортикоидные препараты в исключительно высоких дозах. Эхогенность мышечной ткани у детей с почечной недостаточностью не превышала показателей эхогенности у пациентов с сохранными функциями почек.
а) Продольное сканирование.
б) Поперечное сканирование.
Рис. 4. Эхограмма длиннейших мышц спины у пациента с хроническим гломерулонефритом.
Сравнение параметров мышц у детей контрольной группы и пациентов с хроническим гломерулонефритом показал достоверное утончение мышц передней группы бедра у детей в возрасте от 6 до 11 лет (р<0,05) в группе больных хроническим гломерулонефритом, тенденция к утончению длиннейших мышц спины прослеживалась во всех возрастных группах, но достоверной не была. Толщина же мышц задней группы голени практически не отличалась от параметров контрольной группы (табл. 3). Толщина мышц относительно суммарной толщины мышечной и подкожно-жировой ткани имела тенденцию к уменьшению во всех возрастных группах больных хроническим гломерулонефритом по сравнению с контрольной группой, но разница была достоверной только для мышц бедра у детей 12-16 лет (р<0,05) (табл. 4). Особенно выраженное уменьшение толщины скелетных мышц наблюдалось у пациентов с хронической почечной недостаточностью 1-й степени (в наше исследование не входили больные с хронической почечной недостаточностью более высоких степеней).
| Возраст, лет | Передняя группа мышц бедра, мм | Задняя группа мышц голени, мм | Длиннейшие мышцы спины, мм |
|---|---|---|---|
| 3-5, n=6 | 13 ± 2,62 | 14,00 ± 4,54 | 10 ± 2 |
| 6-11, n=14 | 18,71 ± 2,38 (р<0,05) |
19,64 ± 2,82 | 13,63 ± 2,36 |
| 12-16, n=7 | 25,29 ± 2,60 | 23,72 ± 2,22 | 15,14 ± 1,1 |
| Всего 27 | |||
| Возраст, лет | Бедро | Голень | Спина |
|---|---|---|---|
| 3-5, n=6 | 0,73 ± 0,05 | 0,59 ± 0,05 | 0,61 ± 0,05 |
| 6-11, n=14 | 0,67 ± 0,05 | 0,68 ± 0,05 | 0,70 ± 0,03 |
| 12-16, n=7 | 0,62 ± 0,04 (р<0,05) |
0,72 ± 0,05 | 0,64 ± 0,05 |
| Всего 27 | |||
При исследовании кровотока по бедренным артериям и последующей оценке допплеровской кривой все параметры кровотока у детей контрольной группы не имели значительных возрастных отличий (табл. 5). Форма кривой у всех пациентов контрольной группы не отличалась от нормы, характерной для артерий нижних конечностей. У 4 больных хроническим гломерулонефритом ретроградная волна в диастолу отсутствовала в состоянии покоя, но появлялась после глубокого вдоха. При оценке количественных показателей кровотока по бедренным артериям в группе больных гломерулонефритом и их сравнении с показателями контрольной группы не обнаружено четких различий (табл. 6), вместе с тем, индивидуальный анализ выявил более высокие значения индекса резистентности (выше 0,90). Вследствие малочисленности исследуемой группы и большого разнообразия показателей индекса резистентности, это не сказалось на средних значениях.
| Возраст, лет | Vmax, см/с | Vmin, см/с | Vmean, см/с | PI | IR | Volume, л/мин |
|---|---|---|---|---|---|---|
| 3-5, n=6 | 30,01 ± 3,62 | -7,02 ± 1,94 | 6,23 ± 2,12 | 8,25 ± 1,96 | 0,83 ± 0,03 | 0,03 ± 0,01 |
| 6-11, n=26 | 41,00 ± 1,16 | -6,75 ± 2,12 | 8,12 ± 1,48 | 7,03 ± 2,36 | 0,83 ± 0,03 | 0,09 ± 0,03 |
| 12-16, n=18 | 37,83 ± 3,24 | -7,17 ± 1,66 | 7,16 ± 1,14 | 8,00 ± 2,40 | 0,82 ± 0,03 | 0,05 ± 0,01 |
| Возраст, лет | Vmax, см/с | Vmin, см/с | Vmean, см/с | PI | IR | Volume, л/мин |
|---|---|---|---|---|---|---|
| 3-5, n=10 | 23 ± 3 | -1,62 ± 2,64 | 6,88 ± 1,58 | 4,4 ± 0,4 | 0,81 ± 0,05 | 0,02 ± 0,005 |
| 6-11, n=36 | 38,86 ± 4,68 | -7,18 ± 2,58 | 7,64 ± 1,48 | 8,41 ± 1,78 | 0,82 ± 0,03 | 0,05 ± 0,01 |
| 12-16, n=16 | 37,56 ± 4,76 | -5,33 ± 2,66 | 8,69 ± 1,9 | 5,85 ± 1,76 | 0,79 ± 0,03 | 0,08 ± 0,02 |
Обсуждение
Повышение эхогенности скелетных мышц и появление в них участков уплотнения можно объяснить замещением части мышечной ткани жировой и разрастанием соединительно-тканных перимизиальных септ. Подобные изменения выявляли с помощью ультразвука у детей с первичной мышечной дистрофией J. Z. Heckmatt et al. [11], и ими была доказана высокая чувствительность (68%) и специфичность (97%) метода [12]. Причины этих изменений F. F. Horber et al. [13] связывают со стероидной миопатией, вызванной длительным постоянным пероральным приемом глюкокортикоидов, но, по нашим данным, ультразвуковые изменения в мышцах обнаруживаются и у больных, получающих стероиды относительно недолго, но в сверхвысоких дозах парентерально (пульс-терапия). Отмеченная нами тенденция к уменьшению толщины мышечной ткани в группе больных гломерулонефритом может навести на мысль о развитии мышечной атрофии, которая также является результатом стероидной миопатии, что показано R. L. Ruffet et al. [14], которые отмечали уменьшение толщины мышц бедра у 18% у пациентов с ревматоидным артритом, получающих стероиды, по сравнению со здоровыми добровольцами. По-видимому, причиной изменения мышц при хроническом гломерулонефрите является не только стероидная миопатия, так как для нее характерны боли в проксимальных мышцах конечностей в сочетании с остеопорозом, а у части пациентов с эхографическими изменениями скелетных мышц подобные жалобы и рентгенологические признаки остеопороза отсутствовали. Возможно, еще одной причиной миопатии служит строгий постельный режим пациентов, приводящий к уменьшению мышечной массы из-за гиподинамии. В этом случае состояние скелетных мышц может быть улучшено путем проведения лечебной физкультуры и массажа, поэтому нам представляется перспективным продолжение исследования больных в процессе лечения и после наступления ремиссии.
Литература
- Gustamo R., Perfumo F. Worldwide demographic aspects of chronic renal failure in children // Kidney Int. 1993 Supple; June; v. 41; 31-5.
- Brady H. R., O'Meara Y. M., Brenner. The major glomerulopathies // Harrison's principles of internal medicine - 14th edition, CD-ROM.
- Corticosteroids - glucocorticoids effects (systematic) // USP. DI Drug information for the health care professional 1999.
- Hurbert J. M. Limitations of therapeutic approaches to glomemlar diseases // Kidney Int. 1999; May; v. 55 (5); 2021-9.
- Murphey M. D. Musculoskeletal manifestations of chronic renal insufficiency // Radiographics 1993; Mart; v. 13 (2); 357-9.
- S. Nava, G. GayanERamires, H. Rollier et al. Effects of acute steroid administration on ventilatory and peripheral muscles in rats // Am. J. Respir. Crit. Care Med. 1996; v. 153; 1888-96.
- Berfuder J. Т. Renal osteodystrophy: imaging findings that mimic those of the other diseases // AJR 1995; July; v. 165 (1); 143-8.
- Kaplan P. A. Sonography of the musculoskeletal system // AJR 1990; v. 155; 237-45.
- Musculoskeletal ultrasound/ edited by van Holsbeeck M., Introcaso J. / St. Louis: M Y Book, 1991.
- Muscle imaging in health and disease/ edited by Fleckenstein J. L., Crues J. V., Reimers C. D. / New York: Springer- Verlag, 1996.
- Heckmatt J. Z. Detection on pathological change in dystrophic muscle with B-scan ultrasound imaging // Lancet 1980; v. 1; 1389-90.
- Heckmatt J. Z. Ultrasound imaging in the diagnosis of muscle disease // J. Pediatr. 1982; v. 101:656-60.
- Horber F. F. Evidence that prednisone-indused myopathy is reversed by physical training // J. Clin. Endocrinil. Metab. 1985; v. 61; 83-7.
- Ruff R. L. Endocrine myopathies // Myology / edited by Engel A., Bancer В. / New York: SpringerVerlag, 1986; p. 1871-1906.
УЗИ аппарат HS40
Лидер продаж в высоком классе. Монитор 21,5" высокой четкости, расширенный кардио пакет (Strain+, Stress Echo), экспертные возможности для 3D УЗИ в акушерско-гинекологической практике (STIC, Crystal Vue, 5D Follicle), датчики высокой плотности.
Публикации по теме
- Новые подходы в дифференциальной диагностике диффузного нетоксического зоба у детей и подростков - Рюмин Г.А.
- Возможности ультразвуковых исследований при портальной гипертензии у детей - Дворяковский И.В.
- Ультразвуковая характеристика скелетных мышц при хроническом гломерулонефрите у детей - Дворяковский И.В.
- Допплеровские исследования при хронических болезнях печени у детей - Дворяковский И.В.
- Дуплексное допплеровское сканирование почек у детей - Ольхова Е.Б.

