Atlas of ultrasound images - gynecology (pg. 2)

In the section "Gynecology" of atlas the results of ultrasound examinations of female maladies are represented. Here you can see images of uterus and ovaries, fallopian tubes and urinary bladder, the sonograms of ectopic pregnancy, endometrial polyp, myoma, cystic lesion, bicornuate uterus, etc.

Ovarian mass, OVIX, 3D

Accuvix-V20. Ovarian mass, OVIX, 3D.

Uterus, OVIX & 3D

Accuvix-V20. Uterus, OVIX & 3D.

Uterus - oblique view, B-mode

Accuvix-XQ. Uterus - oblique view, B-mode.

Uterus, OVIX & 3D

Accuvix-XQ. Uterus, OVIX & 3D.

Ovary - cyst, MSV

Accuvix-XQ. Ovary - cyst, MSV.

Bicornate uterus, MSV

Accuvix-XQ. Bicornate uterus, MSV.

Bicornate uterus, MSV

Accuvix-XQ. Bicornate uterus, MSV.

Uterus - subchorionic bleeding, B-mode

SonoAce-8000. Uterus - subchorionic bleeding, B-mode.

Ectopic pregnancy - fallopian tube dilatation, 3D

SonoAce-8000. Ectopic pregnancy - fallopian tube dilatation, 3D.

Uterus - subchorionic bleeding, 3D

SonoAce-8000. Uterus - subchorionic bleeding, 3D.

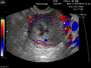
Uterus - subchorionic bleeding, color doppler

SonoAce-8000. Uterus - subchorionic bleeding, color doppler.

Ectopic pregnancy, 3D

SonoAce-8000. Ectopic pregnancy, 3D.

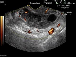
Ectopic pregnancy, power doppler

SonoAce-8000. Ectopic pregnancy, power doppler.

Ectopic pregnancy, B-mode

SonoAce-8000. Ectopic pregnancy, B-mode.

Myometrium, 3D

SonoAce-8000. Myometrium, 3D.

Uterine myoma, color doppler, 3D

SonoAce-8000. Uterine myoma, color doppler, 3D.

Uterine myoma, power doppler, 3D

SonoAce-8000. Uterine myoma, power doppler, 3D.

Endometrial polyp, 3D

SonoAce-8000. Endometrial polyp, 3D.

Ovarian cyst, 3D

SonoAce-8000. Ovarian cyst, 3D.

Ovarian cyst, power doppler & 3D

Accuvix-XQ. Ovarian cyst, power doppler & 3D.

Septate uterus, 3D

Accuvix-XQ. Septate uterus, 3D.

Septate uterus, 3D

Accuvix-XQ. Septate uterus, 3D.

Uterus, 3D

Accuvix-XQ. Uterus, 3D.

Uterus, B-mode

Accuvix-XQ. Uterus, B-mode.

Pages: 01 02 03

The description of ultrasound examinations in russian (эхография) and in english are situated in the database. The description of the diagnostic in the english language is closer to latin and doctors are likely to prefer this variant.