Случай ультразвуковой диагностики рака прямой кишки
Москва, Россия
Рубрика: Эхография в онкологии
УЗИ аппарат HS40
Лидер продаж в высоком классе. Монитор 21,5" высокой четкости, расширенный кардио пакет (Strain+, Stress Echo), экспертные возможности для 3D УЗИ в акушерско-гинекологической практике (STIC, Crystal Vue, 5D Follicle), датчики высокой плотности.
Введение
Колоректальный рак по частоте занимает 4-е место в мире среди злокачественных новообразований. Ежегодно в мире этой формой рака заболевают 950 тыс. человек, из них 500 тыс. умирают. Высокий уровень заболеваемости отмечается в странах Европы и Северной Америки. В России каждый год регистрируются 46 тыс. впервые выявленных больных колоректальным раком, причем от 20 до 50% пациентов уже на стадии отдаленных метастазов. По уровню смертности колоректальный рак занимает 2-е место после рака легких, опережая злокачественные опухоли желудка, предстательной железы и других локализаций [1, 2]. Статистика свидетельствует, что рак прямой кишки и анального канала составляет до 10% всех локализаций рака, причем в разных странах его частота существенно колеблется - от 1,5 до 17,7 на 100 тыс. населения.
Выживаемость пациентов с колоректальным раком напрямую зависит от стадии заболевания на момент его обнаружения. К сожалению, у 25% больных выявляется некурабельная диссеминированная форма заболевания. У 75% колоректальный рак курабелен, тем не менее 50% этих пациентов умирают в течение 5 лет из-за рецидива опухоли. Все это диктует необходимость разработки новых принципов и подходов к диагностике рака кишечника.
К методам диагностики (в том числе скрининга) рака прямой кишки относят пальцевое ректальное исследование, анализ кала на скрытую кровь, аноскопию, ректороманоскопию и колоноскопию с прицельной биопсией. В литературе имеются также данные и о возможности использования ультразвуковой диагностики трансабдоминальным и трансректальным доступами для распознавания данного заболевания [3]. Вместе с тем описаний случаев визуализации рака прямой кишки в процессе трансвагинального ультразвукового исследования (ТВУЗИ) мы не нашли.
Приводим наблюдение
Пациентка С., 48 лет, была направлена гинекологом на трансвагинальное УЗИ в рамках ежегодного диспансерного обследования. В анамнезе - надвлагалищная ампутация матки без придатков по поводу множественной миомы.
При УЗИ, проводимом по общепринятой методике полостным датчиком частотой 7 МГц, визуализировалась культя шейки матки с ровными четкими контурами размером 5,2х5,3х3,7 см. Структура ткани неоднородная, с наличием кист размером от 0,4х0,4 до 0,7х1 см. Цервикальный канал не расширен. Эндоцервикс не утолщен. Правый яичник расположен типично, его размер 3,5х1,9х3,5 см. Контуры четкие, ровные. В структуре определяются два аваскулярных жидкостных образования размером до 1 см с тонкими стенками и однородным содержимым. Левый яичник расположен типично, его размер 2,8х1,6х2,4 см. Контуры четкие, ровные. Структура умеренно неоднородная, фолликулы не определяются. Жидкости в позадиматочном пространстве не выявлено.
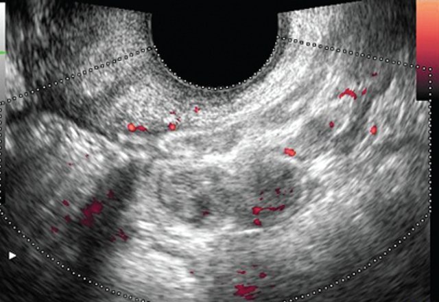
К задней стенке культи шейки матки прилежит участок прямой кишки толщиной до 2,9 см на протяжении до 7,4 см. Стенка кишки неравномерно утолщена до 0,5-0,6 см, пониженной эхогенности, дифференцировать слои стенки не представляется возможным. При ультразвуковой ангиографии на измененном участке определяется выраженная васкуляризация с наличием сосудов с артериальным типом спектра (Vmax 14,4 см/с, RI 0,74). Перистальтика кишечника в данном сегменте отсутствует, внутренний просвет не дифференцируется. Слева от описываемого участка кишечника в межкишечном пространстве определяется гипоэхогенное образование с четкими ровными контурами, неоднородной структуры, размером 2,6х1,9х2,3 см. При ультразвуковой ангиографии в нем лоцируются множественные деформированные сосуды (рис. 1, а, б, в).
а) В-режим.
В полости малого таза, кзади от культи матки, определяется участок кишечника размером до 6,8х2,9х7,4 см с утолщенной до 0,5-0,6 см стенкой сниженной эхогенности. Перистальтика кишечника в данной проекции отсутствует, внутренний просвет дифференцируется нечетко. Содержимое кишечника практически не определяется, просвет сомкнут.
б) Режим энергетического картирования.
в) Режим импульсной допплерографии.
При ультразвуковой ангиографии в стенке определяется выраженная васкуляризация с наличием сосудов с артериальным типом спектра (Vmax 14,4 см/с, RI 0,74).
Заключение. Состояние после надвлагалищной ампутации матки без придатков. Кисты правого яичника. Ультразвуковые признаки опухоли прямой кишки, образования малого таза (измененный увеличенный лимфатический узел?).
При детальном расспросе пациентки выяснилось, что она страдает запорами более 20 лет. В течение последних 6 мес у нее периодически появлялись боли в нижних отделах живота, примесь слизи в кале, отмечалось нарастание слабости.
Для уточнения диагноза произведена магнитно-резонансная томография органов малого таза. На серии полученных томограмм в проекции дистальных отделов сигмовидной и проксимальных отделов прямой кишки определяется зона измененного магнитно-резонансного (МР) сигнала, размером 5,5х4,2х5,5 см - подозрение на объемное образование кишки. Наружные контуры изменений нечеткие, неровные. Структура неоднородная, с наличием солидного и жидкостного компонентов. Стенка дистальных отделов прямой кишки циркулярно утолщена до 8 мм. Изменения оказывают объемное воздействие на культю матки (отклонена кпереди и вправо) и прилежащие петли кишечника (неравномерно расширены, заполнены содержимым, жидкостью и газом). По ходу подвздошных сосудов определяются множественные лимфатические узлы размером 6-13 мм. Отмечается изменение МР-сигнала от нижнепоясничных, крестцовых позвоночников и тазовых костей - МР-сигнал неоднородно гипоинтенсивен на Т1-ВИ и смешанных гипогиперденсного МР-сигнала на Т2-ВИ.
Матка: состояние после надвлагалищной ампутации. Культя шейки матки размером 44х37 мм. МР-сигнал от цервикального канала несколько неоднороден, канал расширен до 5 мм, по передней стенке нельзя исключить наличие мелкого полипа (3 мм). В структуре шейки определяются единичные кисты наботиевых желез 3-6 мм. В проекции правого яичника имеется кистоподобное образование размером 16х17 мм, с четкими ровными контурами. Левый яичник на фоне петель кишечника четко не визуализируется. Свободная жидкость в полости малого таза не определяется (рис. 2-4).
Рис. 2. Магнитно-резонансная томография (МРТ).
Т2-ВИ, сагиттальная проекция. Опухоль сигмовидной кишки (светлые длинные стрелки). МР-сигнал неоднородно повышен на Т2-ВИ, контуры образования бугристые. Культя матки с кистой (светлая пунктирная стрелка) отклонена кпереди за счет образования.
Рис. 3. Магнитно-резонансная томография (МРТ).
Т2-ВИ, фронтальная проекция. Опухоль сигмовидной кишки (светлые длинные стрелки). МР-сигнал от опухоли неоднородный, контуры изменений неровные, бугристые. Над опухолью просвет кишки неравномерно расширен.
а) Т2-ВИ, аксиальная проекция.
б) Т2-ВИ, аксиальная проекция.
в) Т1-ВИ, аксиальная проекция.
г) FS, аксиальная проекция.
Заключение. Подозрение на объемное образование дистальных отделов сигмовидной кишки (с распространением на проксимальные отделы прямой кишки; проявления умеренной лимфаденопатии). Подозрение на вторичные изменения костных структур на изученных уровнях. Состояние после надвлагалищной ампутации. Кисты матки наботиевых желез. Подозрение на полип цервикального канала. Кистоподобное образование правого яичника.
Для уточнения диагноза была произведена колоноскопия: осмотр на 50 см, дальше пройти не удалось из-за резкого изгиба кишки. На стенках много слизи, складки утолщенные, эластичные. Слизистая оболочка отечная, розовая. Сосудистый рисунок усилен. На участке 15 см видна большая (5-7 см) экзофитная дольчатая опухоль синюшного цвета. При биопсии ткань плотная, кровоточивость повышена.
Заключение. Опухоль ректосигмоидного угла.
Последующее гистологическое исследование подтвердило наличие высокодифференцированной темноклеточной аденокарциномы с очагами некроза и активного воспаления.
Пациентка была госпитализирована для проведения оперативного лечения, в процессе которого выполнена передняя резекция прямой кишки с наложением сигморектального анастомоза по типу конец в конец. По данным гистологического исследования отрезка толстой кишки длиной 16 см в дистальной части выявлена грибовидная опухоль диаметром 3,5 см. Микроскопически определялась высокодифференцированная папиллярная слизеобразующая аденокарцинома с очаговой инвазией в мышечный слой. На отдельных участках опухоль имела строение тубулярной аденомы. В 4 из 9 лимфатических узлов выявлены метастазы рака. Резекция выполнена вне опухолевого роста.
Клинический диагноз: рак прямой кишки III стадии T2N2M0.
В последующем пациентка чувствует себя хорошо, находится под наблюдением онколога и гастроэнтеролога.
При контрольном ТВУЗИ, выполненном через 1 год после операции (рис. 5, а, б), признаков рецидива опухоли прямой кишки, поражения лимфатических узлов или прогрессирования изменений шейки матки и придатков не выявлено.
а) В-режим.
б) Режим энергетического картирования.
Заключение
Ультразвуковое исследование толстой и прямой кишки трансабдоминальным доступом получает все большее распространение в клинической практике [4-7], однако оно имеет ряд ограничений в визуализации пораженного отдела кишечника, особенно при недостаточной подготовке пациента. Трансвагинальное исследование в визуализации прямой кишки не требует изменения положения пациента, не столь сильно зависит от метеоризма и при этом позволяет получать более качественные изображения стенки. Представленное наблюдение свидетельствует о необходимости при проведении стандартных полостных исследований органов половой сферы у женщин обращать внимание и описывать не только исследуемый орган (матку, яичники), но и изменения в прилежащих сигмовидной и прямой кишках, что позволяет диагностировать их, а также сопутствующую неопластическую патологию.
Литература
- Маканени Д. Болезни прямой кишки и заднепроходного канала// Общая врачебная практика / Под.ред. Нобеля Дж. Пер с англ. М.: Практика 2005. С. 986-992.
- Ривкин В.Л., Бронштейн А.С., Файн С.Н. Рак прямой кишки // Руководство по колопроктологии. М.: Медпрактика. 2001. С. 219-265.
- Лемешко З.А. Ультразвуковое трансабдоминальное исследование кишечника // Клиническое руководство по ультразвуковой диагностике / Под ред. Митькова В.В. Том 4. М.: Видар 1997. С. 49-81.
- Valette P.-J., Rioux M., Pilleul F., Saurin J.-S., Fouque P., Henry L. Ultrasonography of chronic inflammatory bowel diseases // Ultrasound. Categorical Course ECR. 2002. P. 205-212.
- Бурков С.Г., Кокова Н.И., Чистов Л.В. и др. Случай ультразвуковой диагностики лейомиомы червеобразного отростка // Sonoace International. 1999. N5. С. 14-16.
- Бурков С.Г., Бурдина Е.Г., Гурова Н.Ю. и др. Случай ультразвуковой диагностики рака тощей кишки // Sonoace International. 2000. N7. С. 11-13.
- Пиманов С.И., Вергесова Е.В., Луд Н.Г. Скрининговая ультразвуковая диагностика рака ободочной кишки // Sonoace International. 2002. N10. С. 5-11.
УЗИ аппарат HS40
Лидер продаж в высоком классе. Монитор 21,5" высокой четкости, расширенный кардио пакет (Strain+, Stress Echo), экспертные возможности для 3D УЗИ в акушерско-гинекологической практике (STIC, Crystal Vue, 5D Follicle), датчики высокой плотности.
Публикации по теме
- Случайные находки поражения костных структур при эхографии опухолей различного генеза (три клинических примера: опухоль мозга, опухоль плевры, опухоль оболочек спинного мозга) - Заболотская Н.В.
- Комплексное ультразвуковое исследование больных раком почки при малоинвазивных хирургических вмешательствах - Минько Б.А.
- Случай ультразвуковой диагностики рака прямой кишки - Кислякова М.В.
- Трансректальное УЗИ в диагностике местно-распространенного рака предстательной железы - Аляев Ю.Г.
- Трудности в диагностике новообразований почки (клиническое наблюдение) - Аляев Ю.Г.

