Случайные находки поражения костных структур при эхографии опухолей различного генеза (три клинических примера: опухоль мозга, опухоль плевры, опухоль оболочек спинного мозга)
2 НУЗ "ДКБ на ст. Ярославль ОАО РЖД", Ярославль
3 Поликлиника №154 ЮАО, КДП №121 ЮЗАО, Москва
Рубрика: Эхография в онкологии
УЗИ аппарат HM70A
Экспертный класс по доступной цене. Монокристальные датчики, полноэкранный режим отображения, эластография, 3D/4D в корпусе ноутбука. Гибкая трансформация в стационарный сканер при наличии тележки.
Введение
Ультразвуковое исследование (УЗИ) костно-суставных структур все шире применяется при решении актуальных задач не только ревматологии и травматологии, но и челюстно-лицевой хирургии, отоларингологии, офтальмологии, нейрохирургии и других специальностей, так или иначе связанных с вовлечением в патологический процесс костной ткани [1-3].
При использовании ультразвуковых аппаратов широкого назначения удается получить диагностическую информацию о наиболее часто встречающихся заболеваниях костной ткани, особенно при патологии кортикального слоя и надкостницы.
Несмотря на практически полное отражение ультразвуковых волн на границе мягкая ткань-кость, при снижении минеральной плотности костной ткани изменяются ее акустические свойства. В обычном В-режиме на фоне хронического воспалительного процесса, при травматическом или опухолевом повреждении зоны нарушения нормального строения костной ткани хорошо диагностируются в виде симптома расширения кортикального слоя. Наибольшей специфичностью этот признак обладает при остром воспалительном процессе у детей, например при гематогенном остеомиелите [4, 5]. В случае хронизации воспалительного процесса, при чередовании зон репарации и деструкции, чаще с чрезмерной пролиферативной реакцией, чувствительность данного признака значительно снижается [2]. При этом возрастает роль других ультразвуковых критериев поражения кортикального слоя, в частности наличия костных дефектов разной степени выраженности. Характеристика ультразвуковой картины зон деструкции - их локализация, количество и глубина очагов, особенности периостальной реакции - во многом определяется нозологической формой заболевания. Речь идет в основном о хроническом остеомиелите разного генеза, опухолевом поражении (как пердеструктивные изменения могут быть от микроэрозивно-микрокистозных дефектов кортикального контура до глубоких, проникающих в костномозговой канал, участвующих в секвестрообразовании, а иногда и формирующих свищевой ход [1]. Особо стоят изменения в зонах консолидации перелома, контакта костной ткани и металлоконструкции. Во всех случаях УЗИ позволяет эффективно контролировать различные этапы репаративных изменений костного регенерата, степень «вызревания» фиброзно-хрящевого компонента и его оссификацию. На ранних этапах, когда зона репарации особенно чувствительна к воздействию неблагоприятных факторов, УЗИ во многом становится единственным наиболее информативным и безопасным методом лучевой диагностики [3, 7, 8].
В случае формирования свищевого хода использование УЗИ наиболее оправдано, так как позволяет не только оценить вовлечение мягкотканных и костных структур в состав свищевого хода, но и определить характер содержимого свища, в частности наличие секвестрации [9].
При наличии опухолевого поражения костной ткани ультразвуковая картина неоднозначна, так как сильно зависит от локализации зоны поражения, степени оссификации опухоли, что чаще не позволяет оценить размеры даже преимущественно периостально расположенного новообразования и его структуру в должной степени. Кроме того, УЗИ неинформативно для определения системного метастатического поражения костной ткани и очаговых изменений в губчатой кости и костномозговом канале. Тем не менее вовлечение в опухолевый процесс кортикальных отделов костной ткани в некоторых случаях диагностируется как случайная находка именно при УЗИ и позволяет дать достаточно ценную диагностическую информацию о степени инвазии компактной кости, надкостницы, периостальных структур [1]. Использование цветокодированных допплеровских методик (ЦДК, ЭД) дает возможность характеризовать степень васкуляризации патологического очага (или новообразования), анализировать симметричность сосудистого рисунка, степень кровоснабжения окружающих тканей, выраженность вовлечения их в патологический процесс.
Возможности УЗИ с использованием методик серой шкалы, ЭД в диагностике изменений надкостницы, костной ткани, окружающих мягких структур в полной мере отражены в следующих клинических примерах.
В настоящей работе представлены три случая ультразвуковой диагностики повреждения костных структур, при этом опухолевый процесс локализовался в разных полостях:
- В полости черепа с распространением на мягкие ткани лобно-височной области лицевого черепа.
- В грудной полости с распространением на мягкие ткани передней грудной стенки.
- В полости позвоночного канала с распространением на забрюшинное пространство.
Клиническое наблюдение 1
Пациент Т., 3 лет, был направлен участковым педиатром на консультацию в отделение челюстно-лицевой хирургии. Со слов родителей, в течение последних 6 мес ребенок наблюдался в поликлинике по месту жительства с диагнозом: липома правой лобно-височной области. В последние месяцы отмечен быстрый рост образования. За последнюю неделю ребенок стал малоактивным, сонливым. При осмотре грубых очаговых симптомов нет, имеются выраженные проявления внутричерепной гипертензии в виде сомноленции, многократной рвоты, пареза взора вверх, вялости зрачковых реакций. Локально: подвисочная ямка занята выбухающей, плотной на ощупь опухолью, которая в переднезаднем направлении распространяется от края орбиты до наружного слухового прохода. На глазном дне имеются начальные признаки внутричерепной гипертензии в виде начальных застойных дисков зрительных нервов. Для решения вопроса о возможности и необходимости оперативного лечения, уточнения размеров, структуры, васкуляризации поверхностного образования проведено УЗИ.

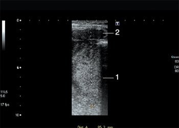
Рис. 1. Эхограммы костного дефекта, экстра- и интракраниального компонентов опухоли. Линейный датчик (7,5-15 МГц). Двухмерное исследование в серошкальном режиме. Продольное сечение.
При исследовании, выполненном на современном сканере с использованием линейного мультичастотного датчика (7,5-15 МГц) и режимов серой шкалы, тканевой гармоники, цветового и энергетического допплеровского картирования (ЦДК, ЭД), было установлено следующее: в правой височной области подкожно, в структуре апоневротического слоя визуализируется гипоэхогенное образование размером 5,2x4,5x2,6 см, неправильной, ближе к овальной, формы, с неровными, локально нечеткими, «фестончатыми» контурами, неоднородное, с единичными гиперэхогенными включениями до 0,1 см (по типу микрокальцинатов), без акустической тени, с единичными анэхогенными включениями до 0,7 см, без четко выраженной капсулы. В режимах ЦДК, ЭД в структурах опухолевого фокуса отмечено локальное усиление кровотока. Образование незначительно сжимаемое, безболезненное при компрессии. Задними отделами образование примыкает к костям свода черепа, где определяются прерывистость надкостницы, дефект костных структур черепа на протяжении 1,7-1,9 см. Края дефектов нечеткие, неровные, локально утолщены до 0,3 см. С другой (внутренней) стороны черепа к костному дефекту примыкает вторая часть образования неправильной формы размером примерно 2,3x2,5x4,2 см (в отделах, доступных для визуализации). По эхогенности, эхоструктуре, васкуляризации внутричерепная часть опухолевого фокуса полностью аналогична описанному выше в мягких тканях височной области, соединяется с ним перемычкой шириной до 1,9 см. Лимфатические узлы шеи (яремные группы), подчелюстные, подбородочные не увеличены, без признаков опухолевого поражения (рис. 1-5).
Рис. 2. Эхограмма интракраниального компонента опухоли через структуру кости. Линейный датчик (7,5-15 МГц). Двухмерное исследование в серошкальном режиме. Продольное сечение.
Рис. 3. Эхограмма васкуляризации интракраниального компонента опухоли через структуру кости. Линейный датчик (7,5-15 МГц). Режим энергетического допплеровского картирования. Продольное сечение.
Рис. 4. Эхограмма интракраниального компонента опухоли через структуру кости. Секторный датчик (2,5-4 МГц). Двухмерное исследование в серошкальном режиме. Продольное сечение.
Рис. 5. Эхограмма васкуляризации интракраниального компонента опухоли через структуру кости. Секторный датчик (2,5-4 МГц). Режим энергетического допплеровского картирования и спектральной импульсной допплерографии. Продольное сечение.
Заключение: опухоль головного мозга с деформацией костных структур черепа и поверхностным мягкотканным компонентом в правой височной области.
При проведении магнитно-резонансной и ренгеновской компьютерной томографии было установлено: имеется крупная опухоль, разрушающая на небольшом протяжении кости свода черепа в области правой подвисочной ямки, помимо крупного экстракраниального узла, выявлен крупный интракраниальный узел. Опухоль гетерогенного многоузлового строения, содержит много кист, ткань гиперинтенсивна относительно мозга и гиперинтенсивна относительно ликвора в режиме Т1 ВИ, гиперинтенсивна мозгу на компьютерной томограмме, интенсивно гомогенно накапливает контрастное вещество. Твердая мозговая оболочка включена в опухоль, окружающие кости реактивно утолщены (изменения затрагивают лобную, клиновидную и височную кости), подлежащий мозг отечный, имеется выраженное смещение срединных структур справа налево (рис. 6-8).
Заключение: рентгеносемиотика более всего соответствует саркоме Юинга, хотя не исключаются и другие мезенхимальные опухоли (остеосаркома, хондросаркома).
Рис. 6. Магнитно-резонансная томография (режим T1-взвешенных изображений). Фронтальная проекция.
Рис. 7. Магнитно-резонансная томография (режим T2-взвешенных изображений). Сагиттальная проекция.
Рис. 8. Рентгеновская компьютерная томография. Сагиттальная проекция
Проведена операция удаления гигантской злокачественной опухоли правой лобно-височной области с интраэкстрадуральным ростом. Последующее морфологическое исследование подтвердило наличие саркомы Юинга. После операции быстро регрессировали симптомы внутричерепной гипертензии. Нового неврологического дефицита не возникло. В относительно удовлетворительном состоянии через 17 дней стационарного лечения пациент был выписан для дальнейшего лечения у онколога.
Клиническое наблюдение 2
Пациентка Н., 46 лет, обратилась к онкологу в поликлинику по месту жительства с жалобами на асимметрию молочных желез, выбухание левой молочной железы.
При осмотре установлено, что молочные железы без пальпируемых нарушений строения. Визуально левая молочная железа в переднезаднем размере больше, чем правая.
Проведена рентгеновская маммография (РМ), в процессе которой данных о наличии опухолевого процесса в левой молочной железе не получено. Рекомендовано проведение динамической РМ через 1-3 мес.
В связи с ухудшением общего состояния, появлением слабости, одышки, неясных болезненных ощущений в грудной клетке пациентка вновь обратилась к терапевту в районную поликлинику. Рекомендовано рентгенологические исследование грудной клетки.
Проведенное УЗИ молочных желез, при котором были осмотрены и мягкие ткани передней грудной стенки и загрудинное пространство, выполнявшееся с использованием линейного мультичастотного (7,5-15 МГц) и конвексного мультичастотного (3,5-5 МГц) датчиков, в режимах серой шкалы, тканевой гармоники, цветового допплеровского картирования (ЦДК, ЭД), установило: в обеих молочных железах отмечается железистый тип строения. Дифференцируется хорошо выраженная протоковая система. Протоки симметричны, расширены более 2 мм в соответствии с нормой для 2-й фазы менструального цикла (рис. 9, 10).
Рис. 9. Эхограмма правой молочной железы (здоровая сторона). Чередование паренхимы и протоков. Датчик 7,5 МГц.
Рис. 10. Эхограмма левой молочной железы (на стороне асимметричного выбухания органа). Строение, аналогичное строению правой железы. Датчик 7,5 МГц.
При оценке мягких тканей передней грудной стенки в ретромаммарном пространстве отмечается асимметричность в изображении грудных мышц правой и левой половины. В переднезаднем изображении размеры грудных мышц (малой и большой грудной) в левой половине грудной стенки составляют 10 мм и меньше, справа - 15 мм (рис. 11). Мягкие ткани левой половины грудной стенки сдавлены и оттеснены кпереди структурами новообразования, которое исходит из четвертого межреберного промежутка (рис. 12, 13). Опухоль представляет собой новообразование, напоминающее по форме «песочные часы», и располагается как снаружи, так и внутри грудной полости; основная масса - в загрудинном пространстве. Общий размер опухоли - 7,5х12,6 см (рис. 14-16). Мягкотканный компонент опухоли снаружи от грудной стенки составляет 5,2х7 см.
Рис. 11. Эхограмма мягких тканей симметричных зон здоровой и пораженной сторон грудной стенки.
а) Опухолевые массы (1) сдавливают ткани грудных мышц (2) и молочную железу (3);
б) - Изображение нормального расположения грудных мышц (2) и молочной железы (3).
Рис. 12. Эхограмма фрагмента предгрудинной части опухоли. Прослеживается асимметрия в расположении прилежащих ребер, размеры костного фрагмента одного из ребер уменьшены в горизонтальной и утолщены в переднезадней плоскостях. Датчик 7,5 МГц.
Рис. 13. Эхограмма места выхода опухолевых масс в межреберный промежуток. Загрудинная часть опухоли (1), предгрудинная часть опухоли (2), ребра (3). Датчик 3,5 МГц.
Рис. 14. Эхограмма загрудинной части опухоли с жидкостным включением. Датчик 3,5 МГц.
В солидной структуре опухолевых масс определяется жидкостной компонент причудливой трубчатой формы, не сосудистой природы по данным цветокодированной и спектральной допплерографии. При сопоставлении изображения симметричных участков ребер правой и левой половины грудной стенки отмечается асимметричность в их изображении. При УЗИ прилежащих к опухолевым массам костных структур ребер выявлены признаки деструкции. Отмечается нечеткость контуров передней и задней поверхностей прилежащих к опухоли ребер, размеры костного фрагмента одного из ребер уменьшены в горизонтальной и утолщены в переднезадней плоскостях (см. рис. 12-15).
Заключение: основная масса опухоли располагается в грудной полости, распространяясь на костные и мягкотканные структуры грудной стенки. Опухоль оттесняет грудные мышцы и левую молочную железу кпереди. Выявлена деструкция костной части V и VI ребер. Признаков вовлечения в опухолевый процесс левой молочной железы не отмечено.
Компьютерная томография подтвердила данные УЗИ. Биопсия образования позволила установить диагноз мезотелиомы плевры.
Рис. 15. Эхограмма загрудинной (1) и предгрудинной (2) частей опухоли. Отмечается расширение 6-ого межреберного промежутка с асимметрией в расположении V и VI ребер. Датчик 3,5 МГц.
Рис. 16. Эхограмма загрудинной части опухоли. Срез через хрящевую часть сохраненного ребра. Датчик 7,5 МГц.
Клиническое наблюдение 3
Пациентка А., 52 лет, обратилась к онкологу в поликлинику по месту жительства с жалобами на боли в области спины и поясницы на протяжении 2-3 лет. В 2005 г. при рентгеновском исследовании установлен диагноз межпозвоночной грыжи. В последние 2 мес болевые ощущения изменили свой характер: значительно усилились при физических нагрузках.
При осмотре брюшной полости, а также при исследовании мягких тканей и позвоночного столба в области поясницы пальпаторных находок не обнаружено. В связи с наличием нечеткой неврологической симптоматики при проведении двигательных проб на сгибание и разгибание позвоночника и нижних конечностей рекомендовано проведение магнитно-резонансной томографии, при которой на уровне L2-S1 справа в мягких тканях визуализируется образование размером до 14х7 см, структура его неоднородная. Образование оттесняет аорту кпереди, нервные корешки на уровне L4-L5 утолщены. Складывается впечатление об их вовлечении в процесс. Поясничные мышцы оттеснены. Магнитно-резонансный сигнал от позвонков L4-L5 неравномерно понижен на Т1 и Т2 ВИ. Межпозвонковые диски L4-L5 уплощены. Магнитно-резонансный сигнал от них понижен на Т2 ВИ. Циркулярное выпячивание в просвет позвоночного канала до 3 мм. Снижение прозрачности просвета до Ultrasoundуровня тел L1 позвонков имеет обычные конфигурацию, ширину и неоднородную структуру.
Заключение: речь может идти о наличии образования в паравертебральной области мягких тканей справа с вовлечением в процесс нервного корешка на уровне L1.
Процесс следует дифференцировать со вторичным поражением, однако полностью исключить невриному или натечник не представляется возможным.
Создается впечатление о вовлечении в процесс тел позвонков L4-L5.
Рис. 17. На уровне 4-ого поясничного позвонка в проекции аорты определяется гипоэхогенное солидное образование (стрелка).
Рис. 18. Эхограмма забрюшинного компонента новообразования (стрелка).
Рис. 19. Эхограмма забрюшинного компонента новообразования.
Рис. 20. Трехмерное изображение опухоли. Прослеживается четкая связь забрюшинного компонента с позвоночным каналом (стрелка).
Проведенное УЗИ органов брюшной полости и забрюшинного пространства с использованием конвексного мультичастотного датчика (2-5 МГц) и режимов серой шкалы, тканевой гармоники, цветового и энергетического допплеровского картирования (ЦДК, ЭД) в режиме 2D и 3D показало, что на границе мезои гипогастральной области кпереди и справа от позвоночного столба определяется гипоэхогенное солидное образование. Образование имеет неправильную подковообразную форму, распространяется на правую половину забрюшинного пространства паравертебрально примерно от уровня L4-L5 до S1 и имеет размер 16,9х6,23 см (рис. 17, 18). Новообразование непосредственно связано с телом одного из позвонков (L5) (рис. 19). Этот факт удается подтвердить при использовании режима 3D с оценкой томограмм в мультислайдовой последовательности. При этом четко прослеживается деструкция его костных структур (рис. 20, 21).
Эхоструктура опухолевых масс в В-режиме выраженно неоднородная, с жидкостными включениями (рис. 22, а).
При использовании цветокодированного режима ультразвуковой ангиографии установлено, что жидкостные включения в структуре опухоли представляют собой оттесненные кпереди магистральные сосуды - аорту и нижнюю полую вену (рис. 22, б). Магистральный сосудистый пучок со всех сторон окружен опухолевыми массами, при этом удается отметить ровность и четкость стенок магистральных сосудов и равномерность их просвета на всем протяжении опухолевого «обрастания» (рис. 23). В то же время отчетливо дифференцируются дочерние сосудистые ветви, входящие в массив опухоли. Эти дополнительные сосуды удается проследить до места выхода опухолевых масс из костного дефекта позвонка.
Рядом с основным опухолевым фокусом по правой его стороне визуализируются еще два солидных гипоэхогенных образования с максимальным диаметром 1,29 и 1,23 см - забрюшинные лимфатические узлы с эхопризнаками опухолевого замещения (рис. 24).
Заключение: выявленные изменения могут соответствовать первичной злокачественной опухоли структур позвоночника (возможно, невринома) с распространением кнаружи от позвоночника на забрюшинное пространство, метастазы в забрюшинные лимфатические узлы.
а) 2D режим.
б) 3D режим.
Рис. 22. Жидкостные структуры опухоли в B-режиме (а), данные ЭД, свидетельствующие об их сосудистой природе (б).

Рис. 23. Демонстрация муфтообразного охвата магистральных абдоминальных сосудов забрюшинными массами.
Рис. 24. Забрюшинные метастазы в лимфатический узел (стрелки).
Дифференциальный диагноз проводится со вторичным - метастатическим поражением позвоночника и забрюшинных лимфатических узлов при невыявленной первичной опухоли.
Пациентке выполнена толстоигольная биопсия, при морфологическом исследовании биоптата диагностирован инфильтративный рост мелкоклеточного злокачественного образования. Скорее всего это злокачественная невринома оболочек спинного мозга.
На основании данных УЗИ хирургическое лечение признано нецелесообразным в связи с большой протяженностью обрастания опухолевыми массами магистрального абдоминального сосудистого пучка. Больная направлена на химиотерапевтическое лечение.
Выводы
С учетом того, что при УЗИ удается получить важную диагностическую информацию, необходимо шире использовать данные стандартной эхографии как метода выбора при поражении костных структур, прилежащих к мягкотканным опухолевым массам, у онкологических больных.
Литература
- Мак Нелли Ю. Ультразвуковое исследование костно-мышечной системы. М.: ВИДАР 2007. 395 с.
- Bureau N.J., Chhem R.K., Cardinal E. Musculoskeletal infections: US manifestation//Radiographics. 1999. V. 19. N 6. Р. 1685-1592.
- Caruso G., Lagalla R., Derchi L. et al. Monitoring of fracture calluses with color Doppler sonography// J. Clin. Ultrasound. 2000. V. 28. N 1. Р. 20-27.
- Завадовская В.Д., Полковникова С.А., Перова Т.Б. и др. Возможности ультразвукового исследования в диагностике острого гематогенного остеомиелита у детей //Ультразвуковая и функциональная диагностика. 2006. N 4. С. 67-75.
- Марочко Н.В., Пыков М.И., Жила Н.Г. Ультразвуковая семиотика острого гематогенного остеомиелита у детей //Ультразвуковая и функциональная диагностика. 2006. N 4. С. 55-66.
- Kessler S., Lingg G. Osteomyelitis - imaging methods and their value. Rofo. Fortschr. Geb. Rontgenstr. Neuen // Bildged. Verfahr. 1998. V. 169. N 2. Р. 105-114.
- Долганова Т.И., Данилова И.М., Пожарищенский К.Э. и др. Ультрасонографическая оценка дистракционного регенерата у больных с дефектами костей нижних конечностей //Ортопедия, травматология и протезирование. 2000. N 2. С. 103-104.
- David A., Ostermann P.A., Mollenhoff G. et al. Changes in therapeutic principles in fractures of the extremities with severe soft tissue injuries exemplified by tibial fracture //Zentralbl. Chir. 1997. V. 122. N 8. Р. 681-689.
- Завадовская В.Д., Перова Т.Б., Босай Л.С. и др. Ультразвуковая диагностика остеомиелита //Визуализация в клинике. 2000. N 17. С. 29-32.
УЗИ аппарат HM70A
Экспертный класс по доступной цене. Монокристальные датчики, полноэкранный режим отображения, эластография, 3D/4D в корпусе ноутбука. Гибкая трансформация в стационарный сканер при наличии тележки.
Публикации по теме
- Значение тонкоигольной чрескожной пункционной биопсии под ультразвуковым контролем в диагностике рака молочной железы в юго-западных районах Брянской области - Зубарева И.А.
- Возможности современных ультразвуковых методик в диагностике рака эндометрия - Минько Б.А.
- Случайные находки поражения костных структур при эхографии опухолей различного генеза (три клинических примера: опухоль мозга, опухоль плевры, опухоль оболочек спинного мозга) - Заболотская Н.В.
- Комплексное ультразвуковое исследование больных раком почки при малоинвазивных хирургических вмешательствах - Минько Б.А.
- Случай ультразвуковой диагностики рака прямой кишки - Кислякова М.В.


