Ультразвуковая диагностика варикозного расширения и тромбоза вен малого таза у женщин
Рубрика: Эхография в гинекологии
УЗ сканер Samsung HS40
Лидер продаж в высоком классе. Монитор 21,5" высокой четкости, расширенный кардио пакет (Strain+, Stress Echo), экспертные возможности для 3D УЗИ в акушерско-гинекологической практике (STIC, Crystal Vue, 5D Follicle), датчики высокой плотности.
Введение
Распространенность варикозного расширения вен малого таза колеблется в широких пределах, что свидетельствует о неоднозначности диагностических и тактических подходов к данной проблеме. По данным ультразвуковых исследований, варикозное расширение вен малого таза встречается у 5,4% условно здоровых женщин и у 15,7% женщин с выявленной гинекологической патологией. Сочетание недостаточности вен малого таза и варикозной болезни вен нижних конечностей отмечается в 62% наблюдений [1].
Заболеванию подвержены женщины в возрасте 20-25 лет, а наибольшее количество приходится на период 25-45 лет.
Дилатации вен малого таза у женщин способствуют анатомо-физиологические особенности кровоснабжения: маточновлагалищное, пузырное, прямокишечное сплетения, анастомозируя между собой несут кровь во внутреннюю подвздошную вену, а также, сливаясь с ветвями маточных вен верхней трети тела матки, вен круглой и широкой связок матки - к воротам яичника. Анастомозируя с его венами, они составляют гроздьевидное сплетение яичника. Дальнейший отток происходит в яичниковую вену, которая справа анастомозируя с верхней брыжеечной веной, впадает в нижнюю полую вену, а слева, анастомозируя с нижней брыжеечной веной, в левую почечную вену [2].
Особенностью строения вен перечисленных сплетений, за исключением пузырного, а также подвздошных вен является отсутствие или слабое развитие клапанного аппарата, в связи с чем ведущая роль в поддержании тонуса венозной стенки отводится симпатической нервной системе, гормонам (в частности эстрадиолу, прогестерону), вазоактивным веществам, кислотно-щелочному балансу. Существует точка зрения, что варикозная болезнь является генетически детерменированным коллагенозом или проявлением ангиодисплазии.
Хроническая венозная недостаточность развивается под действием двух основных механизмов: кавальной и региональной левосторонней венозной почечной гипертензии. При каждом натуживании у человека возникает кавальный рефлюкс. При отсутствии предрасположенности к варикозному процессу распространению рефлюкса в париетальные вены препятствует их полноценный клапанный аппарат, а в бесклапанные висцеральные сплетения - достаточный тонус и активные сокращения венозных стенок. У женщин изолированный кавальный рефлюкс вызывает варикозные изменения гроздьевидного сплетения правого яичника [3].
Анатомической предпосылкой к развитию региональной венозной почечной гипертензии является компрессия левой почечной вены в аортомезентериальном "пинцете". На фоне снижения венозного тонуса эта преграда повышает давление в почечной вене, что приводит к развитию рефлюкса крови по левой яичниковой вене. Реноовариальный рефлюкс вызывает расширение вен гроздьевидного сплетения левого яичника, маточно-влагалищного, пресакрального, мочепузырного и прямокишечного сплетений. Наиболее выраженный флебостаз в органах малого таза у женщин развивается при сочетании левостороннего реноовариального и правостороннего каваовариального рефлюксов крови [4].
Факторами, провоцирующими развитие варикозное расширение вен малого таза, считают условия труда (вынужденная длительная ортостатическая и физическая нагрузка), беременность и роды, сексуальную дисфункцию, гинекологические заболевания, гиперэстрогению; в последние годы все чаще обсуждается неблагоприятное влияние гормоно-заместительной терапии и оральной контрацепции [5].
Поскольку стенки венозных сосудов являются обширной рефлексогенной зоной, расширение их просвета сопровождается болью. Предполагается, что и ретроградный характер кровотока с формированием турбулентных потоков оказывает раздражающее воздействие на рецепторы сосудистой стенки.
Варикозное расширение вен малого таза все еще остается недостаточно изученной проблемой, поскольку является невидимой для клинициста патологией, однако оно приводит к хроническому болевому синдрому, нарушению менструального цикла, бесплодию вследствие развивающейся гипофункции яичников и может осложняться тромбозом вен.
В основе тромбообразования лежит взаимодействие врожденных и приобретенных факторов. К врожденным факторам относят недостаток антитромбина III, наследуемую дисфибриногенемию, снижение уровня тромбомодулина при атеросклерозе, гипергомоцистеинемию, наличие антител к фосфолипидам, чрезмерную ингибицию активаторов плазминогенов, дефицит плазминогена, мутацию G20210A в гене протромбина (фактор II), мутацию Лейдена, дефицит протеинов С и S, дисплазминогенемию, дефицит XII фактора.
Среди приобретенных провоцирующих факторов следует отметить беременность и роды, хирургические операции, инфекции, травмы, переломы, длительное вынужденное положение сидя или стоя, длительные путешествия, иммобилизацию, прием оральных контрацептивов, ожирение, курение, злокачественные опухоли и химиотерапию, пожилой возраст, сердечную недостаточность, хроническую венозную недостаточность, инсульт.
До настоящего времени выявление тромбоза венозных сплетений малого таза при трансвагинальном ультразвуковом исследовании (ТВУЗИ) считается казуистикой [6].
Целью настоящего исследования явилась оценка возможности рутинного ТВУЗИ в диагностике варикозного расширения и тромбоза вен малого таза и выработка алгоритма дальнейшего ведения таких пациенток.
Материал и методы
Ретроспективно проанализированы результаты ТВУЗИ 2 530 женщин в возрасте от 19 до 83 лет (средний возраст 51,3 года), выполненных на современных ультразвуковых аппаратах трансвагинальными датчиками с переменной частотой 7,5-10,0 МГц в плановом порядке (2 210 пациенток) или по срочным показаниям (320) по направлению гинеколога с различными заболеваниями женской половой системы. Нормальным считали диаметр вен, не превышающий 4 мм. При оценке степени эктазии вен малого таза пользовались классификацией А.Е. Волкова [2], согласно которой к I степени относили диаметр вен любого венозного сплетения малого таза до 5 мм и штопорообразный ход сосудов; ко II степени - диаметр вен 6-10 мм при тотальном типе варикозного расширения, рассыпной эктазии яичникового сплетения, параметральных вен, вен аркуатного сплетения; к III степени - диаметр вен более 10 мм при тотальном типе варикозного расширения или магистральном типе параметральной локализации.
Результаты
Варикозное расширение вен малого таза диагностировано у 258 женщин, что составило 10,2% от количества проанализированных заключений ТВУЗИ. Диаметр вен до 5 мм (I степень эктазии) установлен у 98 (38%) пациенток, от 6 до 10 мм (II степень эктазии) - в 111 (43%) случаях и более 10 мм (III степень эктазии) - у 49 (19%). При I степени расширения преобладающей была их левосторонняя локализация, при II-III степени диаметр вен с обеих сторон был сопоставим, что согласуется и с данными литературы.
Основными жалобами больных варикозным расширением вен малого таза были хроническая боль внизу живота, пояснице, усиливающаяся после длительных статических и динамических нагрузок особенно к концу рабочего дня и во вторую фазу менструального цикла, после охлаждения, переутомления, на фоне стресса или обострения заболеваний внутренних органов (73%), дисменорея - увеличение продолжительности менструаций, длительные мажущие выделения, удлинение менструального цикла, обильные менструации (59%), диспареуния - дискомфорт и боли во время и после полового акта (31% пациенток). У 3% женщин не было отмечено ни болей, ни каких-либо других клинических проявлений. Отсутствие или малую выраженность болевого синдрома у части больных со значительным расширением вен объясняют высоким порогом болевой чувствительности [7].
У 53% пациенток обнаружено сочетание варикозного расширения вен малого таза с варикозным расширением вен нижних конечностей, промежности или хроническим геморроем.
При анализе частоты сочетания варикозного расширения вен малого таза с несосудистой патологией отмечено преобладание миомы матки (28,4%), кист яичников и параовариальных кист (24,3%). Реже варикозное расширение вен малого таза сочеталось с гиперпластическими процессами эндометрия и цервикального канала (13,5%), признаками спаечного процесса в малом тазу (9,5%), внутренним эндометриозом (4,0%), гидросальпинксом (1,4%).
У 1 пациентки варикозное расширение вен парауретрального сплетения сопровождалось двусторонним нефроптозом. В 40,5% случаев варикозного расширения вен малого таза сочеталось с одним каким-либо заболеванием, у 56,8% - двумя и более, у 2,7% женщин было единственной выявленной патологией.
На фоне II и III степени эктазии диагностировано 34 случая тромбоза вен малого таза.
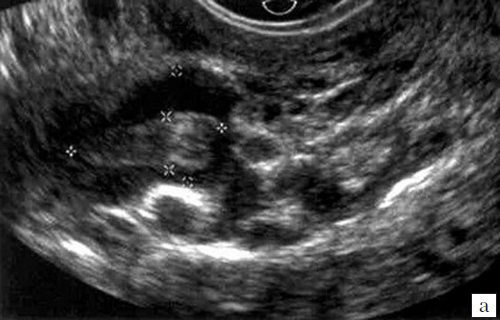
При ТВУЗИ тромб визуализировался как аваскулярное образование, частично или полностью перекрывающее просвет венозного сосуда. Эхогенность тромба, в зависимости от давности его возникновения, колебалась от низкой или средней (рис. 1, 2) до высокой, вплоть до наличия кальцинированных включений (рис. 3, 4).
а) В режиме серой шкалы анэхогенный тромб размером 2,2x1,1 см практически не визуализируется.
б) В режиме ЦДК окрашивания просвета вены не отмечается.
В просвете расширенной до 0,7 см вены правого параметрального сплетения визуализируется слабоэхогенный тромб размером 0,6x0,4 см.
В просвете расширенной до 0,7 см вены слева от матки визуализируется тромб средней эхогенности размером 0,8x0,5 см.
В просвете расширенной до 1,2 см вены правого параметрального сплетения визуализируется тромб размером 1,6x1,1 см с участком обызвествления с акустической тенью.
При цветовом допплеровском картировании (ЦДК) частичный тромбоз характеризовался пристеночным дефектом заполнения цветовой картограммы, при полном тромбозе отмечалось отсутствие окрашивания просвета сосуда (рис. 5).
а) В просвете расширенной до 0,9 см вены левого параметрального сплетения в режиме серой шкалы визуализируется тромб размером 2,3x0,9 см.
б) В режиме ЦДК окрашивания просвета сосуда не происходит.
в) В режиме энергетического картирования окрашивания просвета сосуда не происходит.
Возраст женщин с тромбозом вен малого таза составил от 25 до 82 лет (в среднем 49,6 года).
В репродуктивном возрасте находились 13 женщин, в перименопаузе - 8, в постменопаузе - 12. Во всех случаях имел место отягощенный акушерско-гинекологический анамнез: воспалительные заболевания органов малого таза или урогенитальные инфекции в анамнезе отмечены у 19 (55,9%) больных, миома матки - у 15 (44%), внутренний эндометриоз у 5 (14,7%), оперативные роды, травмы, экстирпация или надвлагалищная ампутация матки у 14 (41%). На фоне гормонотерапии тромбоз вен малого таза диагностирован у 7 (20,6%) женщин, а на фоне ВМС Мирена - у 3 (8,8%). Хронический геморрой беспокоил 12 (35,3%) пациенток, при этом у одной больной, принимавшей оральные контрацептивы, тромбоз вен малого таза сопровождался острым тромбозом геморроидального узла. Онкологические заболевания отмечены в 4 (11,8%) случаях: у 2 женщин (рак щитовидной железы и рак желудка) оперативное лечение проводилось более 5 лет назад, у 2 злокачественные новообразования были выявлены в течение 2 мес после обнаружения тромбоза вен малого таза (рак молочной железы и рак головки поджелудочной железы).
Среди пациенток репродуктивного и перименопаузального периодов лишь у одной женщины, 32 лет, не было беременностей и родов в анамнезе, но у нее имели место миома матки, параовариальные кисты, уреаплазмоз, за 2 мес до обращения проводилось лечение трихомонадного кольпита, также ранее отмечался прием гормональных контрацептивов. Остальные пациентки данных групп имели роды в анамнезе, причем более половины из них дважды или трижды.
В исследуемой группе больных преобладали множественные (57,6%), фиксированные (87,9%), эхогенные (75,8%) тромбы. Максимальный размер тромбов отмечен у более молодых пациенток, как правило, он соответствовал и максимальному расширению венозных сосудов.
Тромбоз выявлен у 24,2% больных на фоне I степени, у 69,7% - на фоне II степени, у 6,1% - на фоне III степени варикозного расширения вен малого таза.
Линейная скорость кровотока была снижена во всех случаях. В менопаузе отмечалось более значительное снижение скоростных показателей, даже на фоне меньшего диаметра венозных сосудов. Частота явлений стаза увеличивалась пропорционально возрасту пациенток, наличие ретроградного кровотока чаще встречалось среди женщин перименопаузального периода.
Флеболиты, или "венозные конкременты" являются полностью кальцинированными тромбами и рассматриваются как последствия перенесенного тромбофлебита [8]. При ТВУЗИ они визуализируются как гиперэхогенные образования с выраженными акустическими тенями (рис. 6). В анализируемой группе больных в сочетании с тромбозом вен малого таза флеболиты выявлены в 15 (44,1%) наблюдениях, что свидетельствует о тенденции тромбоза вен малого таза к рецидивированию.
а) Справа от матки визуализируются два флеболита размерами 0,3 и 0,4 см с акустическими тенями.
б) Слева от матки в просвете вены диаметром 0,5 см визуализируется флеболит 0,4 см в диаметре, в просвете расширенной до 1,1 см вены визуализируется тромб средней эхогенности размером 0,9x0,7 см.
Случаев тромбоэмболических осложнений в анализируемой группе женщин не было. У 3 пациенток при динамическом наблюдении под влиянием провоцирующих факторов отмечалась отрицательная динамика в виде увеличения протяженности тромбоза. На фоне лечения практически во всех случаях отмечались либо уменьшение размеров тромбов, их организация и кальцинирование, либо полное исчезновение с восстановлением проходимости сосудов по данным ЦДК.
В качестве иллюстрации приводим два клинических наблюдения.
Клиническое наблюдение 1
Пациентка Ж., 46 лет. При обращении беспокоили периодически возникающие интенсивные боли внизу живота. В анамнезе иерсиниоз, гормональная терапия по назначению гинеколога, закончившаяся 2 мес назад. Менструальная функция сохранена. При плановом ТВУЗИ: множественная миома матки, эндометрий без признаков патологии, фолликулярный аппарат яичников сохранен; вены малого таза расширены до 0,7 см, визуализируются непрокрашиваемые участки, максимальная скорость кровотока не превышает 7 см/с, в некоторых циклах регистрируется ретроградный кровоток в покое, в правом параметральном сплетении визуализируются флотирующие тромбы средней эхогенности размерами 0,7x0,3x0,5 и 0,8x0,3x0,5 см, кровоток в данных сосудах сохранен, спектр деформирован; также выявлены единичные флеболиты (рис. 7). Изменений коагулограммы на момент обследования не было выявлено. По данным генотипического исследования свертываемости, выявлен полиморфизм, предрасполагающий к нарушению фолатного цикла в гетерозиготной форме, чем и следует объяснять возникновение тромбоза вен малого таза на фоне воздействия провоцирующих факторов (инфекция, гормонотерапия).
а) Размер тромба 0,8x0,3x0,5 см.
б) Размер тромба 0,7x0,3x0,5 см (б).
Клиническое наблюдение 2
Пациентка Ю., 25 лет. Акушерско-гинекологический анамнез отягощен: в детстве перенесла операцию по поводу пельвиоперитонита, в подростковом возрасте получала комбинированные оральные контрацептивы в связи с дисфункциональными ювенильными маточными кровотечениями, 6 лет назад имела место лапароскопическая резекция параовариальной кисты и коагуляция очагов наружного эндометриоза, 4 года назад - роды, в настоящее время выявлен уреаплазмоз. В связи с нерегулярным менструальным циклом по рекомендации гинеколога принимала гормональные контрацептивы: в течение 2 мес - Джесс, а затем - Диане-35. Через 1 мес приема последнего препарата пациентка обратилась к проктологу в связи с острым тромбозом наружного геморроидального узла. В этот же период при плановом осмотре выявлена миома матки малых размеров, варикозное расширение вен малого таза с явлениями стаза и наличием тромбов различной эхогенности: в левом параметральном и параовариальном пространствах вены значительно извиты, расширены до 0,8 см, визуализируются непрокрашиваемые участки, максимальная скорость кровотока 4,4 см/с, в некоторых циклах регистрируется ретроградный кровоток. В просвете расширенных извитых вен параметральных (рис. 8, а, б) и параовариальных сплетений (рис. 8, в, г) визуализируются множественные слабоэхогенные фиксированные тромбы размерами от 0,4 до 2,5 см.



а-г) В просвете расширенных извитых вен параметральных (а, б) и параовариальных (в, г) сплетений визуализируются множественные слабоэхогенные фиксированные тромбы размерами от 0,4 до 2,5 см.
Несмотря на то, что тромбоз венозных сплетений малого таза не несет непосредственной угрозы тромбоэмболии легочной артерии, сам факт обнаружения тромбообразования должен рассматриваться как возможное проявление системной патологии, диктующее необходимость специальной диагностики, направленной на поиск причин этого явления, т. е. первичных предрасполагающих факторов.
При выявлении тромбоза вен малого таза в случае фиксированных тромбов пациентке необходимо провести обследование в плановом порядке на предмет выявления первичных причин тромбоза, а именно недостатка антитромбина III, наследуемой дисфибриногенемии, снижения уровня тромбомодулина, гипергомоцистеинемии, наличия антител к фосфолипидам, чрезмерной ингибиции активаторов плазминогенов, дефицита плазминогена, мутации G20210A в гене протромбина (фактор II), мутации Лейдена, дефицита протеинов С и S, дисплазминогенемии, дефицита XII фактора с последующей коррекцией лечения и рекомендациями по профилактике вторичных причин тромбообразования.
В случае обнаружения флотирующих тромбов женщина должна быть госпитализирована в специализированный стационар.
Пациентки с варикозным расширением вен малого таза, в особенности в сочетании с флеболитами и явлениями стаза должны рассматриваться как группа риска развития заболеваний свертывающей системы крови, активно наблюдаться и получать рекомендации гинеколога по профилактике вторичных причин тромбообразования: отказ от курения, оральных контрацептивов, нормализация массы тела, соблюдение профилактических мер в длительных путешествиях и пр.
Выводы
Рутинное ТВУЗИ позволяет выявить не только варикозное расширение вен малого таза, но и их тромбоз с частотой 10,2 и 1,3% соответственно. Факт обнаружения тромбообразования в венозных сплетениях малого таза должен рассматриваться как возможное проявление врожденных дефектов свертывающей системы крови, а специальное обследование с последующими рекомендациями позволит улучшить качество жизни таких пациенток.
Литература
- Озерская И.А. Ультразвуковая диагностика расширения вен малого таза у женщин репродуктивного возраста // Материалы ежегодной конференции ДиаМА (выпуск XII). Иркутск, 2011.
- Волков А.Е. Эхосемиотика вен малого таза// Эхография. 2000. N 1. С. 55-59.
- Хоменко Н.Е., Восканян Ю.Э., Гаспарян С.А. Варикозная болезнь вен малого таза (этиопатогенез, диагностика, лечение) // Журнал российского общества акушеров-гинекологов. 2006. N 6. С. 44-46.
- Федорова Е.В., Ищенко А.И., Липман А.Д. Исследование особенностей венозного кровотока области малого таза при лапароскопических гинекологических операциях // Ультразвуковая и функциональная диагностика. 2002. N 2. С. 36-43.
- Озерская И.А. Эхографические находки при синдроме тазовых болей // Ультразвуковая и функциональная диагностика. 2002. N 2. С. 151.
- Минаева Т.А. Варикозное расширение вен малого таза у женщин раннего репродуктивного возраста с дисплазией соединительной ткани: Автореф. дисс. ... канд. мед. наук. Томск, 2005.
- Проскурякова О.В. Частные вопросы венозного кровообращения внутренних половых органов женщины // Допплерография в гинекологии/Под ред. Зыкина Б.И., Медведева М.В. М., 2000. С. 133-134.
- Буланов М.Н. Ультразвуковая диагностика в гинекологической практике. CD. М., 2002.
УЗ сканер Samsung HS40
Лидер продаж в высоком классе. Монитор 21,5" высокой четкости, расширенный кардио пакет (Strain+, Stress Echo), экспертные возможности для 3D УЗИ в акушерско-гинекологической практике (STIC, Crystal Vue, 5D Follicle), датчики высокой плотности.
Публикации по теме
- Ультразвуковая картина различных форм внутриматочных противозачаточных средств - Эсетов М.А.
- Ультразвуковая диагностика варикозного расширения и тромбоза вен малого таза у женщин - Бурков С.Г.
- Ультразвуковая диагностика осложнений и рецидивов после хирургической коррекции пролапса гениталий у женщин - Чечнева М.А.
- Ультразвуковая диагностика пролапса гениталий и его осложнений у женщин - Чечнева М.А.
- Ультразвуковая диагностика несостоятельного рубца на матке в отдаленном послеоперационном периоде - Чечнева М.А.


