Ультразвуковая картина различных форм внутриматочных противозачаточных средств
Рубрика: Эхография в гинекологии
Введение
Внутриматочные средства (ВМС) являются одними из наиболее часто используемых средств контрацепции в мире. Известно около 50 разновидностей ВМС (рис. 1) и различают 3 основных типа этих средств: инертные, медьсодержащие (первого и второго поколения) и гормонсодержащие.

Большинство современных ВМС являются Т-образной формы, либо медьсодержащей, либо на гормональной основе. Из ВМС на основе гормонов доступной в настоящее время является левоноргестрел-высвобождающая внутриматочная система Мирена.
Применение метода внутриматочной контрацепции наряду с известным рядом положительных сторон имеет и ряд осложнений, таких как аномальная установка, экспульсия, прободение стенки полости матки, перфорация стенки матки [1].
Разнообразие форм и наличие осложнений требует при ведении женщин с ВМС визуального контроля корректной установки и расположения средств в полости матки. Основным методом диагностики на сегодняшний день является ультразвуковое исследование (УЗИ). Классическое двумерное УЗИ (2D-УЗИ) позволяет оценить нахождение и расположение стержня ВМС в полости матки [2]. В то же время для полной оценки соотношения ВМС и полости матки с визуализацией расположения плечиков требуется 3D-УЗИ с реконструкцией коронального среза матки [3, 4]. Кроме того, этот метод позволяет оценить и разновидность установленного средства. N.K. Kerr и соавт. [5] утверждают, что 3D-УЗИ следует использовать во всех случаях, когда проводится оценка ВМС.
Ультразвуковая картина зависит от формы ВМС, знание которой является фактором корректной оценки положения ВМС.
В данном исследовании мы представляем ультразвуковую картину различных видов ВМС при нормальном расположении и некоторых осложнениях.
Материал и методы
Исследование носило ретроспективный характер. Проведен анализ 46 протоколов УЗИ внутренних половых органов, проведенных у пациенток с наличием ВМС. Во всех случаях обследование начиналось с трансабдоминального ультразвукового исследования (ТАУЗИ) с переходом на трансвагинальное (ТВУЗИ). Всем пациенткам проводилась трехмерная реконструкция коронального среза с целью оценки формы полости матки и визуализации ВМС.
УЗИ проводилось как по желанию пациенток, так и для уточнения диагноза при направлении пациенток с различными проблемами. Использовались современные ультразвуковые приборы с конвексным (2–5 МГц) и трансвагинальным (5–9 и 6–12 МГц) датчиками.
Во всех случаях проводили архивирование объемных изображений с последующим мультиплоскостным анализом. При этом применялись методики трехмерного реконструирования изображения, объемного контрастного изображения (VCI), томографического исследования (TUI). Обработка сохраненных объемных данных была выполнена с использованием программы 4D View версия 9.0.
Результаты и обсуждение
Протоколы УЗИ органов малого таза 46 пациенток, у которых имелось ВМС, были проанализированы в этом исследовании. В 34 случаях были установлены медьсодержащие Т-образные ВМС, в 4 – Мирена, в 7 – кольцевидная и в 1 – петля Липпеса.
2D-УЗИ позволяет оценить наличие ВМС в полости матки, а при некоторых видах ВМС определить и форму. При этом в зависимости от формы ВМС можно получить характерные картины.
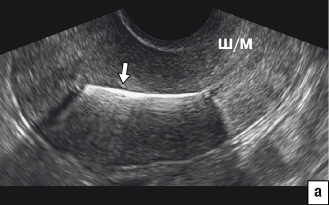
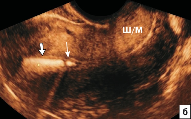
На рис. 2 отражена картина различных ВМС на среднесагиттальном срезе матки при 2D-УЗИ. Для всех Т-образных форм ВМС (включая Мирену) и Multiload стандартной картиной является визуализация гиперэхогенной линейной структуры в проекции полости (рис. 2а). В отличие от Т-образных, Multiload при исследовании в парасагиттальном сечении дает дополнительную специфическую ультразвуковую картину в виде 3–4 продольно расположенных одинаковых гиперэхогенных включений (рис. 2в). Также характерную картину на сагиттальном срезе дают кольцевидные ВМС в виде проксимальной короткой линейной структуры и дистальной отдельной точечной (рис. 2б) и петля Липпеса в виде 4–5 отдельных эхогенных фрагментов (рис. 2г). Кольцевидные ВМС и петля Липпеса в настоящее время практически вышли из употребления.

а) Гиперэхогенная картина стержня ВМС (стрелка) в проекции полости матки.

б) Характерная эхографическая картина кольцевидного ВМС. Длинный гиперэхогенный фрагмент – отражение от стержня (стрелка) и короткий дистальный – фрагмент кольца (тонкая стрелка).

в) Картина изогнутых плечиков Multiload в виде гиперэхогенных фрагментов в проекции полости матки (стрелки).

г) Картина петли Липпеса в проекции полости матки в виде линейно расположенных 4–5 эхогенных фрагментов (стрелки).
Картина ВМС при 2D-УЗИ позволяет оценить корректность расположения стержня ВМС в полости и диагностировать аномальное ее положение относительно полости матки (рис. 3). При этом визуализировать плечики и форму ВМС при 2D-УЗИ не представляется возможным, это в ряде случаев не позволяет дифференцировать обнаруженную картину. Например, оставшиеся в полости матки кости плода после прерывания беременности могут иногда давать аналогичное для ВМС отражение (рис. 4). И при невыясненном анамнезе это может быть неверно истолковано как ВМС при УЗИ [6].

а) ВМС расположена в миометрии.

б) ВМС расположена в шейке матки.

На поперечном срезе матки (рис. 5) картина при Т-образных ВМС зависит от уровня исследования. На уровне тела матки для всех видов Т-образных ВМС и Multiload стандартной картиной будет отражение от стержня в виде гиперэхогенной тени в проекции полости (рис. 5а). На уровне дна матки картина различна в зависимости от типа Т-образных ВМС и отображена на рис. 5 (б–д). При этом плечики ВМС с наличием медных оболочек, как видно, дают более четкую эхографическую картину (рис. 5в,г) по сравнению с отражением от плечиков Мирена (рис. 5д) и TCu200 (рис. 5б).

а) Срез на уровне тела матки. Гиперэхогенный фокус (стрелка) в проекции полости – типичная картина Т-образных ВМС и Multiload на этом уровне.

б) Срез на уровне дна полости матки, картина Т-образной ВМС с ровными плечиками (стрелки) без медной обмотки (ТСu 200Аg), тонкая стрелка – тень от стержня.

в) Срез на уровне дна полости матки, картина Т-образной ВМС (ТСu 380А, ТСu 300Ag) c медными рукавами на середине плечиков (стрелки), тонкая стрелка – тень от стержня.

г) Срез на уровне дна полости матки, картина Т-образной ВМС (ТСu 380S) c медной обмоткой от концов плечиков (стрелки), тонкая стрелка – тень от стержня.

д) Срез на уровне дна полости матки, Мирена не дает четкого эхографического отражения от плечиков (стрелки), тонкая стрелка – тень от стержня.
Multiload и кольцевидные ВМС на поперечном срезе при 2D-УЗИ дают очень похожую картину в виде 3 поперечно расположенных на одной линии эхогенных фрагментов (рис. 6). Различие заключается в том, что при кольцевидной форме центральный фрагмент более массивный по сравнению с периферическими (рис. 6а), тогда как у Multiload они одинаковых размеров (рис. 6б).

а) ВМС кольцевидной формы.

б) Multiload.
3D-УЗИ с реконструкцией коронального среза позволяет оценить всю анатомию матки, включая форму полости и стенки матки с наружным контуром. Этот срез позволяет точно определить расположение и стержня, и плечиков ВМС относительно полости матки. При этом устанавливается и форма ВМС. На рис. 7 отражены различные формы ВМС на корональном срезе.

а) Т-образная ВМС c медной обмоткой от концов плечиков (ТСu 380S).

б) Т-образная ВМС c медными рукавами на середине плечиков (ТСu 380А, ТСu 300Ag).

в) Т-образная ВМС с ровными плечиками без медной обмотки (ТСu 200Аg).

г) Мирена.

д) Multiload.

е) Кольцевидная.
При правильной установке ВМС должна занимать всю полость матки с расположением стержня от шейки до дна полости матки, с развернутыми плечиками, достигающими латеральных стенок полости.
Возможности 3D-УЗИ позволяют оценить аномальное расположение и стержня, и плечиков ВМС относительно полости матки. Как подчеркивают N.K. Kerr и соавт. [5], 3D-корональный срез имеет решающее значение при оценке смещения ВМС в полости, прободения стержня или плечиков ВМС в миометрий. Авторы подчеркивают, что рентгенография и компьютерная томография полезны в основном для подтверждения внутрибрюшинной миграции и осложнений. На рис. 8 на корональном срезе отображены различные степени отклонений оси ВМС относительно продольной оси матки.

а) Т-образная.

б) Multiload.

в) Кольцеобразная (стрелки).
Также хорошо диагностируется низкое расположение ВМС (рис. 9). В ранних исследованиях расстояние более 3 мм между ВМС и дном матки считали связанным с высоким риском изгнания [7]. Но впоследствии исследования показали, что большинство низких ВМС могут занимать правильную позицию у дна в течение нескольких месяцев [8].

а) Т-образная, расположена на 13 мм ниже линии дна полости матки.

б) Расположение ВМС на уровне перешейка матки с наличием пенетрации плечиков (стрелки) в миометрий.
Достаточно частым осложнением при установке ВМС является прободение частями ВМС стенок полости матки без нарушения серозной оболочки (неполная перфорация). Прободение стержнем, как было показано выше, может быть заподозрено и установлено и при 2D-эхографии, в то время как более частые случаи прободений плечиков можно диагностировать только при 3D-УЗИ. По данным B.R. Benacerraf и соавт. [4], частота пенетрации плечиков в миометрий составила 16,8% случаев и все 28 случаев были обнаружены только на 3D-корональном срезе. Часто имеет место сочетание неправильного положения ВМС с прободением в миометрий (рис. 9б).
На рис. 10 показаны случаи различных степеней пенетрации плечиков Т-образных ВМС в миометрий. Не существует общепринятых рекомендаций при перфорации плечиков у бессимптомных пациенток. Есть мнение, что в таких случаях нет необходимости в удалении ВМС [5].



T.D. Shipp и соавт. [9] обнаружили, что при меньшей ширине дна полости матки на корональном срезе, чем ширина плечиков ВМС, частота перфораций выше. Многочисленные исследования показывают связь врожденных аномалий матки с осложнениями ВМС [5, 10, 11]. В таких случаях 3D-УЗИ с реконструкцией коронального среза является основополагающим для установления и аномалии матки, и расположения ВМС [5].
Заключение
Проведенное исследование и анализ литературных данных позволяют сделать следующие выводы:
- УЗИ является высокоэффективным методом для оценки наличия и расположения ВМС в полости матки;
- при наличии ВМС необходимо проведение УЗИ с трехмерной реконструкцией коронального среза;
- трехмерное УЗИ позволяет диагностировать и форму полости матки, и тип ВМС, и осложнения ВМС;
- перед установкой ВМС необходимо проведение УЗИ с трехмерной реконструкцией коронального среза для определения формы полости матки и оценки ширины дна полости матки, для оценки возможности установки и выбора размера ВМС.
Литература
- Прилепская В.Н., Межевитинова Е.А., Тагиева А.В. Внутриматочная контрацепция. М.: ГЭОТАР-Медиа, 2014. 192 с.
- Peri N., Graham D., Levine D. Imaging of intrauterine contraceptive devices // J Ultrasound Med. 2007; 26: 1389–1340.
- Lee A., Eppel W., Sam C. et al. Intrauterine device localization by threedimensional transvaginal ultrasonography // Ultrasound Obstet Gynecol. 1997; 10: 289–292.
- Benacerraf B.R., Shipp T.D., Bromley B. Three-dimensional ultrasound detection of abnormally located intrauterine contraceptive devices which are a source of pelvic pain and abnormal bleeding // Ultrasound Obstet Gynecol. 2009; 34: 110–115. [PubMed] [Google Scholar]
- Kerr N.K., Dunham R., Wolstenhulme S., Wilson J. Comparison of two- and three-dimensional transvaginal ultrasound in the visualisation of intrauterine devices // Ultrasound. 2014; 22 (3): 141–147. DOI: 10.1177/1742271X14532082
- Wokoma T.T., Adum V.L., Gbolade B.A. Retained fetal bones masquerading as an intrauterine device with missing threads // Eur J Contracept Reprod Health Care. 2010; 15: 213–215. [PubMed] [Google Scholar]
- Petta C.A., Faundes D., Pimentel E. et al. The use of vaginal ultrasound to identify copper T IUDs at high risk of expulsion // Contraception. 1996; 54: 287–289.
- Morales-Rosello J. Spontaneous upward movement of lowly placed T-shaped IUDs // Contraception. 2005; 72: 430–431. [PubMed] [Google Scholar]
- Shipp T.D., Bromley B., Benacerraf B.R. The width of the uterine cavity is narrower in patients with an embedded intrauterine device (IUD) compared to a normally positioned IUD // J Ultrasound Med. 2010; 29: 1453–6. [PubMed] [Google Scholar]
- Tunçay Y.A., Tunçay E., Güzin K. et al. Transuterine migration as a complication of intrauterine contraceptive devices: six case reports // Eur J Contracept Reprod Health Care. 2004; 9: 194–200. [PubMed] [Google Scholar]
- Dikensoy E., Kutlar I., Gocmen A. et al. Two cases of uterine septum with intrauterine device // Br J Radiol. 2005; 78: 952–953. [PubMed] [Google Scholar]

Журнал "SonoAce Ultrasound"
Содержит актуальную клиническую информацию по ультрасонографии и ориентирован на врачей ультразвуковой диагностики, выходит с 1996 года.
Публикации по теме
- Ультразвуковая картина различных форм внутриматочных противозачаточных средств - Эсетов М.А.
- Ультразвуковая диагностика варикозного расширения и тромбоза вен малого таза у женщин - Бурков С.Г.
- Ультразвуковая диагностика осложнений и рецидивов после хирургической коррекции пролапса гениталий у женщин - Чечнева М.А.
- Ультразвуковая диагностика пролапса гениталий и его осложнений у женщин - Чечнева М.А.
- Ультразвуковая диагностика несостоятельного рубца на матке в отдаленном послеоперационном периоде - Чечнева М.А.