Ультразвуковая диагностика осложнений и рецидивов после хирургической коррекции пролапса гениталий у женщин
ГУЗ "Областная больница N2", Ростов-на-Дону
Рубрика: Эхография в гинекологии
УЗИ аппарат HS40
Лидер продаж в высоком классе. Монитор 21,5" высокой четкости, расширенный кардио пакет (Strain+, Stress Echo), экспертные возможности для 3D УЗИ в акушерско-гинекологической практике (STIC, Crystal Vue, 5D Follicle), датчики высокой плотности.
Введение
Хирургическая коррекция в настоящее время заслуженно считается наиболее эффективным методом лечения пролапса гениталий и связанных с ним функциональных нарушений у женщин. Однако несмотря на внедрение новых технологий и усовершенствование хирургической техники, врач неизбежно сталкивается с проблемой послеоперационных осложнений и рецидивов патологии.
По мере накопления опыта, становится понятно, что как бы просто и изящно не выглядела хирургия, инвазивные манипуляции всегда имеют и негативные последствия. В 2001 г. K.F. Tamussino и соавт. [1] сообщают о создании в Австрии единой базы данных для оценки эффективности и осложнений технологии субуретрального слинга (ТVТ - Tensionfree Vaginal Tape), по результатам анализа 800 операций осложнений не было выявлено. В 2003 г. статистика такова: 28% пациенток были оперированы по поводу рецидива заболевания; различные осложнения (перфорации пузыря, гематомы, повреждения кишки, de novo нестабильность детрузора) составили от 2,7 до 13,3%.
По данным В.Д. Петровой [2], эффективность фиксации апоневротическими лоскутами через 5 лет составляет не более 86,6%, а через 8 лет - 76,8%. После влагалищной гистерэктомии рецидив в виде выпадения купола влагалища наблюдается с частотой до 43% [3, 4]. После операции Берча пролапс II степени по POP-Q отмечен в 17,6-32,4% случаев, неполное выпадение матки - в 8,8% [5].
Одно из наиболее "традиционных" пособий при опущении внутренних гениталий у женщин - кольпоррафия. Частота рецидива после передней кольпоррафии достигает 24-31%, после задней - 25-35% [6, 7]; по данным A.N. Morse и соавт. [8], клинические проявления рецидива через 3 года составили 55%, у пациенток с пластикой паравагинальных дефектов - 46%.
После применения проленовых протезов intravaginal slingplasty (IVS) в течение 13 мес у 29% пациенток отмечен пролапс гениталий 3 и 4 степени, включая цистоцеле, ректоэнтероцеле, выпадение купола влагалища; после использования системы PROLIFT у 19% пациенток возникли осложнения: 3,5% - недержание мочи, 8,8% - de novo нестабильность детрузора, 4% - эрозия стенки влагалища, вагинальный стеноз, 5% - локальное инфицирование [9, 10], 9% - повреждения пузыря или уретры, 12% - эрозии, помимо этого, имели место тазовые абсцессы, вагинальные свищи и остеомиелит, разрыв кишечника, частичная кишечная непроходимость, лихорадочные состояния, кровотечения [11].
По данным В.С. Прохоровой и соавт. [12], интраоперационные осложнения отмечены в 3,0% случаев, в раннем послеоперационном периоде - в 1,5% (гематома рециевого пространства). Рецидив цистоцеле выявлен в 3,0% случаев через 6 мес после установки системы PROLIFT total в связи со смещением импланта. Специфичное для MESH-методик осложнение - эрозия стенки влагалища с экструзией сетки отмечено у 3,0% больных.
В условиях МОНИИАГ частота осложнений после установки системы PROLIFT не превышает аналогичные показатели после других пластических операций [3, 13, 14].
Частота интраоперационных осложнений субуретрального слинга TVT составляет от 1,9 до 6,6%, (перфорация пузыря, перфорация париетальной брюшины, кровотечение), послеоперационных осложнений- от 0,8 до 28%: 1,3% - стриктура уретры, 0,67% - гематомы и повреждения кишечника,10% - задержка мочи, ишиоректальный абсцесс, а также соматические осложнения среди пожилых женщин [11, 15, 16].
Время формирования осложнений, по данным M.D. Moen [17], составляет от 4 до 24 мес.
В ряде случаев диагностика осложнений не требует дополнительных методов исследования, в некоторых ситуациях точная постановка диагноза невозможна без их использования. Существенную помощь в диагностике послеоперационных проблем может оказать ультразвуковое исследование (УЗИ).
Материалы и методы
Для диагностики послеоперационных состояний проведено УЗИ 550 пациенток: 482 пациентки с опущением, выпадением и нарушением функции тазовых органов до операции и после первичной операции; 68 пациенток поступили для оперативного лечения по поводу рецидива заболевания. УЗИ проводилось через 5-7 сут, 1, 6, 12 мес и более после операции. В общей сложности применено 22 хирургические технологии и их комбинации.
Результаты
После вентрофиксации матки к передней брюшной стенке выявлена элонгация шейки матки, цистоцеле, ректоцеле, несостоятельность мышц тазового дна. При эхографии характерной особенностью является невозможность или выраженные затруднения визуализации матки при вагинальном сканировании в связи с высокой фиксацией дна матки выше мочевого пузыря и очень незначительной подвижностью матки; выраженная элонгация шейки матки (более 5 см). Признаки рецидива цистоцеле, ректоцеле, несостоятельности тазового дна определялись в 88,8% наблюдений.
Характерной эхографической особенностью после апоневротической фиксации матки или купола влагалища является высокое стояние купола влагалища, гиперкоррекция заднего уретровезикального угла за счет натяжения передней стенки влагалища. Признаки цистоцеле в форме остроугольного треугольника зафиксированы в 12,5% случаев, что, по нашим данным, является симптомом дефекта лобково-шеечной фасции (рис. 1).
Рис. 1. Гиперкоррекция заднего мочепузырного угла после апоневротической вагинопексии.
После фиксации купола влагалища связочным аппаратом в 65,9% наблюдений отмечен положительный эффект операции. При УЗИ в 9,1% случаев через 2 мес после операции диагностированы признаки опущения передней стенки влагалища, цистоцеле, в 13,6% - ректоцеле и опущение задней стенки влагалища. Эхографическая картина тазового дна у данной группы пациенток была типична для дисплазии соединительной ткани тяжелой степени.
В течение 3 лет после пластики передней стенки влагалища в 82,1% отмечены клинические проявления в виде опущения передней стенки влагалища и задней стенки мочевого пузыря. Эхографически выявлены дислокация и гипермобильность уретры, цистоцеле, ректоцеле, т.е. отмечен рецидив патологического процесса. В 42,8% наблюдений отмечались ультразвуковые симптомы дисплазии соединительной ткани.
В результате кольпоперинеолеваторопластики собственными тканями, без применения синтетических "протезов", в течение 3 лет наблюдения гипермобильность уретры и цистоцеле обнаружены в 23,4%, из них признаки дефекта тазовой фасции - в 17,0% случаев. Сфинктерная недостаточность выявлена в 6,3%. Ректоцеле диагностировано у 53,1% пациенток, в 27,6% смещение соответствовало 2-3 степени ректоцеле с соответствующими проктологическими симптомами.
Из послеоперационных осложнений после применения различных хирургических технологий диагностированы гематомы разной локализации. Бесспорной и однозначной эхографической диагностике доступны гематомы тазового дна после перинеолеваторопластики. Имели клиническое значение и требовали дополнительного лечения гематомы размером более 40 мм (рис. 2); патологические образования меньшего размера протекали благоприятно и спонтанно полностью рассасывались к 30-45 сут послеоперационного периода (рис. 3). Деформации мышечных пучков, нарушения анатомии тазового дна в этих случаях не было выявлено. Гематом стенок влагалища после кольпоперинеолеваторопластики не было выявлено.
Рис. 2. Параректальная гематома.
Рис. 3. Гематома после перинеолеваторопластики.
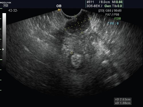
После срединной кольпоррафии в одном случае в позднем послеоперационном периоде выявлен гематокольпос. При перинеальном сканировании над высоким сформированным тазовым дном определялась типичная эхографическая картина гематомы. В 1 случае (у пожилой пациентки с сахарным диабетом) в отдаленном послеоперационном периоде выявлен пиокольпос. В этом случае над сформированным тазовым дном определялось типичное пиогенное содержимое во влагалище.
Нами рассмотрены результаты 236 операций с применением различных "сетчатых" материалов: TVT, TVT-O; TVTSEQUR; Gyne MECH; IVS PROLIFT: PROLIFT anterior, PROLIFT posterior, PROLIFT total. Исследование в разные сроки послеоперационного периода и сопоставление клинической картины и данных УЗИ позволило определить варианты положения проленовых протезов, соответствующие наиболее благоприятному течению послеоперационного периода и достижению наилучшей анатомической репозиции. Эхоотражение синтетического протеза во всех случаях доступно визуализации, что позволяет проследить его положение по отношению к анатомическим ориентирам.
Эхографическая картина после слинговых операций с использованием TVT и TVT-O, TVT-SEQUR позволяет визуализировать "петлю" в продольном и поперечном срезе. Петля в поперечном срезе определяется в виде округлого без четких контуров гиперэхогенного включения, расположенного при традиционной операции на границе верхней и средней трети уретры. При использовании технологии TVT-O проленовая сетка визуализируется на границе средней и нижней трети уретры. При выполнении пробы Вальсальва в том и другом случае определяется небольшое дистальное смещение вышележащего участка мочеиспускательного канала, формирующее "дозированную обструкцию уретры", что служит одним из механизмов удержания мочи. При исследовании в продольном сечении в норме протез визуализируется в виде гиперэхогенной сетчатой структуры, расположенной симметрично ниже мочеиспускательного канала (рис. 4). Нами были выявлены несколько особенностей ультразвуковой картины, отличающих положение эхотени протеза от "идеального" положения. Во первых, асимметричное положение петли TVT, определяемое при поперечном сканировании. Чем больше асимметрия в положении протеза, тем больше вероятность отклонения механизма действия субуретрального слинга от предполагаемого. Во вторых, смещение эхотени протеза при продольном сканировании от рекомендованного оптимального расположения. В случаях "классической" операции TVT, смещение эхотени от границы средней и верхней трети уретры выявлено в сторону уретровезикального сегмента. Нетипично высокое расположение петли нарушает предполагаемый механизм действия слинга - создание "дозированной обструкции". В случаях применения TVT-obturator, напротив, смещение в сторону дистального отдела уретры нарушает предполагаемый механизм действия слинга, не создавая достаточной опоры для фиксации средней трети уретры (рис. 5).
Рис. 4. TVT, нормальное положение.
Рис. 5. TVT, неправильное положение, после иссечения петли. Стрелками помечены фрагменты петли.
В результате пластики передней стенки влагалища с применением синтетических протезов Gyne Mesh soft и IVS в 20-23,3% случаев при обследовании в покое репарация тканей представляется удовлетворительной, однако при выполнении пробы Вальсальва обнаруживется цистоцеле типичной формы для дефекта тазовой фасции, гипермобильность уретры: смещение стенки влагалища и стенки мочевого пузыря вместе с частью проленового протеза. После использования IVS-posterior в 76,1% наблюдений анатомическая репозиция представляется удовлетворительной, при клиническом осмотре признаков опущения задней стенки влагалища и ректоцеле в покое не выявляется. В 23,9% случаев в покое обнаруживается дистопия задней стенки влагалища и передней стенки прямой кишки в виде ректоцеле.
В 28,6% наблюдений с удовлетворительным клиническим результатом при обследовании в покое репарация тканей представляется удовлетворительной, однако при выполнении пробы Вальсальва обнаруживается патологическая подвижность задней стенки и ректоцеле. Эхоотражение синтетического протеза при натуживании смещается вместе с передней стенкой прямой кишки в виде ректоцеле или формируется "мешковидная" деформация контура прямой кишки между верхним краем леваторов и нижним краем протеза.
Ультразвуковая картина демонстрирует неполную реконструкцию анатомического дефекта фасциальных структур при использовании Gyne Mesh soft и IVS. Вероятными причинами служат недостаточный размер протеза или недостаточно низкая точка фиксации нижнего края протеза, что не обеспечивает адекватного восстановления анатомии и функции, тем самым ухудшая перспективный прогноз в послеоперационном периоде.
Наилучшая анатомическая репозиция пролапса была достигнута в результате использования системы PROLIFT anterior, posterior или total. В 85,7% PROLIFT anterior обеспечивает восстановление топографических взаимоотношений передней стенки влагалища, уретровезикального сегмента, купирует проявления гипермобильности уретры, цистоцеле наиболее выраженной степени. В случаях идеального клинического течения послеоперационного периода и совершенно удовлетворительного отдаленного результата эхоотражение протеза определяется как линейная сетчатая структура, расположенная между задней стенкой мочевого пузыря и передней стенкой влагалища без признаков деформации протеза. Верхний край эхоотражения определяется в области переднего свода влагалища, ближе к уретровезикальному сегменту. Нижний край эхоотражения определяется на уровне границы верхней и средней трети уретры (рис. 6).
Рис. 6. Передний пролифт, нормальное положение. 1, 2 - точки фиксации протеза.
Особое внимание требуют пациентки с эхографическими признаками дефекта тазовой фасции и цистоцеле после проведенной операции. В 14,3% случаев определения рецидива и после пластики с применением Prolift anterior визуализируется цистоцеле типичной формы для дефекта тазовой фасции, расположенное ниже уровня фиксации нижнего края проленового протеза, т.е. стенка мочевого пузыря пролабирует между нижним краем протеза и уретровезикальным сегментом. В других случаях протез фиксирован ниже верхнего края дефекта, не перекрывает размеры анатомического дефекта фасциальных структур и не обеспечивает адекватного восстановления анатомии и функции, что ухудшает перспективный прогноз в послеоперационном периоде (рис. 7).
Рис. 7. Рецидив после prolift anterior. 1 - точка фиксации верхнего края протеза.
В 3,56% случаев выявлены послеоперационные осложнения в виде гематом, расположенных между стенкой влагалища и наружной поверхностью протеза или между внутренней поверхностью протеза и стенкой мочевого пузыря. Гематомы, расположенные между стенкой влагалища и сетчатой структурой, доступны для клинической и визуальной диагностики; гематомы, расположенные между пролифтом и мочевым пузырем диагностируются только при эхографии (рис. 8).
Рис. 8. Гематома после переднего пролифта: между протезом и мочевым пузырем (1), между стенкой влагалища и протезом (3), 2 - протез.
К особенностям эхографической картины следует отнести также случаи деформации протеза - продольное или поперечное "сморщивание", отмеченное у 10,7% пациенток. Неправильное положение протеза увеличивает объем инородной ткани, имплантированной между стенкой мочевого пузыря и влагалища, создавая условия для развития послеоперационных осложнений, в частности ургентной инконтиненции (рис. 9).
Рис. 9. Деформации протеза.
а) Деформированный prolift anterior. 1 - верхняя, 2 - нижняя точка положения протеза.
б) Деформация переднего пролифта. 1 - протез.
Система PROLIFT posterior в 86,4% наблюдений обеспечивала полное анатомическое восстановление задней стенки влагалища и купирование ректоцеле разной степени.
В случаях идеального клинического течения послеоперационного периода и совершенно удовлетворительного отдаленного результата эхоотражение протеза определялось как линейная сетчатая структура, расположенная между задней стенкой влагалища и передней стенкой прямой кишки без признаков деформации протеза, повторяющая контур передней стенки кишки. Верхний край эхоотражения определялся в области заднего свода влагалища, нижний - на уровне верхней границы эхоотражения m. levatores ani или на 0,5-0,7 см выше нее. При таком расположении протеза пролапса стенки влагалища или смещения контура стенки кишки не выявлено ни в одном случае (рис. 10).
Рис. 10. Идеальное положение заднего пролифта (отмечен стрелками).
В 13,6% случаев при выполнении пробы Вальсальва обнаруживается ректоцеле типичной формы 1, 2 степени, расположенное ниже уровня фиксации нижнег края проленового протеза, ниже анатомического уровня зубчатой линии анального канала, т.е. стенка влагалища и прямой кишки пролабирует между нижним краем протеза и задним краем m. levatores ani. По-видимому, в данных случаях протез не перекрывает размеров анатомического дефекта фасциальных структур и не обеспечивает адекватного восстановления анатомии и функции, что ухудшает перспективный прогноз в послеоперационном периоде.
В 4,5% случаев выявлены послеоперационные осложнения в виде гематом, расположенных между стенкой влагалища и наружной поверхностью протеза или между внутренней поверхностью протеза и стенкой прямой кишки. Аналогично пластике передней стенки, гематомы, расположенные между стенкой влагалища и сетчатой структурой доступны для клинической визуальной диагностики, а расположенные между пролифтом и стенкой прямой кишки диагностируются только при эхографии.
К особенностям эхографической картины следует отнести также случаи деформации протеза - продольное или поперечное "сморщивание", отмеченное у 18,2% пациенток (рис. 11).
Рис. 11. Деформированный задний пролифт.
Одно из наиболее часто возникающих осложнений при использовании сетчатых протезов - эрозия стенки влагалищане имеет характерных эхографических симптомов и подлежит клинической диагностике.
В результате анализа предшествующих хирургических пособий и анатомических нарушений, выявленных при эхографии органов малого таза, уретровезикального сегмента и тазового дна сформировано несколько групп пациенток, позволяющих обозначить ряд ситуаций, ухудшающих перспективный прогноз хирургической коррекции пролапса и мочевой инконтиненции.
- В 8,8% случаев рецидивов недержания мочи после репозиции матки или купола влагалища и передней стенки влагалища (вагинопексии апоневротическим лоскутом, апоневротической фиксации матки, операции Берча) ультразвуковые признаки пролапса отсутствовали. При 3D эхографии выявлена сфинктерная недостаточность. До оперативного лечения пациенткам не проводилось специальное обследование. Таким образом, ликвидация опущения передней стенки влагалища и обструктивного мочеиспускания создали условия для реализации сфинктерной недостаточности.
- 17,6% рецидивов возникли после комплексной коррекции пролапса гениталий: вагинопексии, пластики стенок влагалища, кольпоперинеолеваторопластики. При УЗИ выявлены признаки опущения стенок влагалища 3 степени или выпадение купола влагалища, цисторектоэнтероцеле. В эхографической картине тазового дна преобладали изменения, характерные для дисплазии соединительной ткани: истончение мышечных пучков, резкая "очерченность" краев, минимальная высота промежности, даже у пациенток, перенесших пластические операции на тазовом дне. Специфической особенностью эхографической картины у этих женщин является выраженная асимметрия бульбокавернозной мышцы и поверхностной поперечной мышцы промежности. В аналогичных случаях, на наш взгляд, процесс нельзя в полной мере трактовать как рецидив, скорее прогрессирование патологического процесса. Перспективный прогноз хирургии при выраженной клинической и эхографической картине дисплазии соединительной ткани сомнительный при повторной пластике собственными тканями.
- У 11,7% пациенток в анамнезе выполнены хирургические пособия, направленные на репозицию купола и передней стенки влагалища. Пролапс гениталий проявлялся в клинической и эхографической картине опущения и выпадения задней стенки влагалища и ректоцеле. В рассмотренных нами случаях при подготовке и выполнении первой операции коррекция пролапса задней стенки влагалища не проводилась.
- Рассмотрено 7 (10,3%) случаев повторного хирургического вмешательства после кольпоперинеолеваторопластики. В эхографической картине у данных больных нет специфических особенностей, выявлена типичная ультразвуковая картина "мешковидного" выпячивания передней стенки прямой кишки и задней стенки влагалища, соответствующая 2, 3 степени ректоцеле. Нижний уровень формирования грыжевого мешка при ректоцеле определяется на уровне зубчатой линии анального канала, т.е. существенно выше верхнего края леваторов. Таким образом, в данных случаях пластика m. levatores ani теоретически не создает предпосылок для коррекции ректоцеле, особенно 2 и 3 степени.
- В 5 (7,3%) случаях недостаточный эффект оперативного лечения обусловлен наличием недиагностированных фасциальных дефектов, где пластика собственными тканями имеет кратковременную эффективность, оставляя риск повторного развития патологии. Следовательно, недостаточная диагностика на этапе планирования первой операции ухудшила перспективный прогноз лечения у данных больных.
- Под нашим наблюдением находились 4 (5,88%) пациентки с клинической картиной рецидива цистоцеле после репозиции передней стенки с применением Gyne Mech Soft и 4 (5,88%) пациентки после применения Prolift anterior. В ультразвуковой картине выявлены особенности расположения сетчатых протезов: верхняя точка фиксации протеза находилась ниже точки смещения задней стенки пузыря. В случае клинических рецидивов после применения Prolift anterior возможны 2 варианта эхограммы. Первый связан со "сморщиванием" проленовой сетки в продольном или поперечном направлении. Второй механизм связан с уровнем фиксации проленовой сетки ниже уровня верхнего края анатомического фасциального дефекта.
Нами проанализированы 5 (7,3%) случаев рецидива пролапса задней стенки влагалища и ректоцеле после применения импланта IVS и 4 (5,88%) случая - с применением Prolift posterior. Анализ эхограмм позволяет предположить изначально недостаточный размер импланта для полной пластики дефекта ректовагинальной перегородки. В рассмотренных 4 случаях рецидива ректоцеле, после репозиции задней стенки с применением Prolift posterior, отмечена фиксация нижнего края проленовой сетки выше нижнего края фасциального дефекта. В 3 случаях также выявлено аномальное положение протеза с продольным или поперечным "сморщиванием". - При обследовании рецидивных случаев после субуретрального слинга выявлено асимметричное положение петли TVT, определяемое при поперечном сканировании и смещение эхотени протеза при продольном сканировании от рекомендованного оптимального расположения.
- В 13,2% наблюдений рецидив возник после нефизиологичной операции лапаротомии, ветрофиксации матки к передней брюшной стенке.
Выводы
Данные УЗИ с применением функциональных проб при нормальном клиническом течении и рецидиве пролапса и стрессовой инконтиненции позволяют выделить несколько причин ухудшения перспективного прогноза хирургии.
- Выбор метода коррекции "ex yuvantibus", без тщательного учета локализации и степени выраженности анатомических нарушений.
- Степень тяжести дисплазии соединительной ткани, как фактор не позволяющий провести полноценную коррекцию собственными тканями.
- Низкая эффективность пластики собственными тканями при наличии дефектов тазовой фасции и ректовагинальной перегородки.
- Особенности хирургической техники при использовании современных синтетических материалов.
Литература
- Tamussino K.F., Hanzal E., Kolle D. et al. Austrian Urogynecology Working Group.Tension-free vaginal tape operation: results of the Austrian registry // Obstet Gynecol. 2001. V. 98. N 5. P. 732-736.
- Петрова В.Д. Недержание мочи у женщин (этиопатогенез, клиника, диагностика, лечение): Автореф. дисс. д-ра мед. наук. М., 2005.
- Буянова С.Н., Попов А.А. Результаты хирургического лечения недержания мочи при напряжении // Акуш. и гин. 2003. N 6. С. 39-41
- Краснопольская И.В. Хирургическое лечение и профилактика пролапса гениталий после гистерэктомии: Автореф. дисс. канд. мед. наук. М., 2004.
- Kwon C.H., Culligan P.J., Koduri S. et al. The development of pelvic organ prolapse following isolated Burch retropubic urethropexy // Int. Urogynecol. J. Pelvic. Floor Dysfunct. 2003. V. 14. N 5. P. 321-325.
- Kohli N., Miklos J.R. Dermal graft-augmented rectocele repair // Int. Urogynecol. J. Pelvic. Floor Dysfunct. 2003. V. 14. N 2. P. 146-149.
- Kolle D., Tamussino K., Hanzal E. et al. Austrian Urogynecology Working Group. Bleeding complications with the tension-free vaginal tape operation //Am. J. Obstet. Gynecol. 2005. V. 193. N 6. P. 2045-2049.
- Morse A.N., O'dell K.K., Howard A.E. et al. Midline anterior repair alone vs anterior repair plus vaginal paravaginal repair: a comparison of anatomic and quality of life outcomes // Int. Urogynecol. J. Pelvic. Floor Dysfunct. 2007. V. 18. N 3. P. 245-249.
- Jordaan D.J., Prollius A., Cronje H.S., Nel M. Posterior intravaginal slingplasty for vaginal prolapse // Int. Urogynecol. J. Pelvic. Floor Dysfunct. 2006. V. 17. N 4. P. 326-329.
- Lang J.H. Urogynecology and reconstructive pelvic surgery: past, present and future // Zhonghua Fu. Chan. Ke. Za. Zhi. 2005. V. 40. N 3. P. 145-147.
- Taylor G.B., Moore R.D., Miklos J.R. Osteomyelitis secondary to sacral colpopexy mesh erosion requiring laminectomy // Obstet Gynecol. 2006. V. 107. N 2. P. 475-477.
- Прохорова В.С., Павлова Н.Г., Беженарь В.Ф., Кира К.Е. Трансвагинальная эхография уретровезикального сегмента при различных типах стрессового недержания мочи // Российский вестник акушерагинеколога. Материалы международного конгресса дисфункции тазового дна женщин. Спецвыпуск. 2008. С. 49.
- Попов А.А. Современные аспекты диагностики, классификации и хирургического лечения опущения и выпадения женских половых органов: Автореф. дисс. д-ра мед. наук. М., 2001.
- Радзинский В.Е., Салимова Л.Я., Субботин Д.Н. Осложнения лечения тазовых органов с использованием системы PROLIFT // Российский вестник акушера-гинеколога. Материалы международного конгресса дисфункции тазового дна женщин. Спецвыпуск. 2008. С. 66
- Lo T.S., Horng S.G., Liang C.C. et al. Ultrasound and urodynamic comparison between caudocranial and craniocaudal tension-free vaginal tape for stress urinary incontinence // Urology. 2005. V. 66. N 4. P. 754-758.
- Neuman M., Luria M., Lev-Sagi A. et al. TVT-Obturator: preliminary results of the first 100 operations with a novel procedure for the treatment of female urinary stress incontinence // Harefuah. 2005. V. 144. N 5. P. 314-316.
- Moen M.D. Surgery for urogenital prolapsed //Rev. Med. Univ. Navarra. 2004. V. 48. N 4. P. 50-55.
УЗИ аппарат HS40
Лидер продаж в высоком классе. Монитор 21,5" высокой четкости, расширенный кардио пакет (Strain+, Stress Echo), экспертные возможности для 3D УЗИ в акушерско-гинекологической практике (STIC, Crystal Vue, 5D Follicle), датчики высокой плотности.
Публикации по теме
- Ультразвуковая картина различных форм внутриматочных противозачаточных средств - Эсетов М.А.
- Ультразвуковая диагностика варикозного расширения и тромбоза вен малого таза у женщин - Бурков С.Г.
- Ультразвуковая диагностика осложнений и рецидивов после хирургической коррекции пролапса гениталий у женщин - Чечнева М.А.
- Ультразвуковая диагностика пролапса гениталий и его осложнений у женщин - Чечнева М.А.
- Ультразвуковая диагностика несостоятельного рубца на матке в отдаленном послеоперационном периоде - Чечнева М.А.

