DMR - фильтр эхограмм подобный MRI
DMR™ (Dynamic like Magnetic Resonance) - фильтр ультразвукового изображения с алгоритмом подобным MRI (магнитный резонанс), включает в себя трёхуровневую фильтрацию: объектов, текстур и областей, пикселей. Клиническое применение - исследования сосудов, исследования костных структур плода, скрининг сердца, мониторинг биопсии.
Головной мозг плода в аксиальной плоскости, 2D (без Dynamic MR™).
Головной мозг плода в аксиальной плоскости, 2D (в режиме Dynamic MR™).
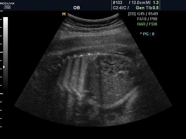
Брюшная полость плода в продольной плоскости, 2D (без Dynamic MR™).
Брюшная полость плода в продольной плоскости, 2D (в режиме Dynamic MR™).
Лицо плода во фронтальной плоскости, 2D (без Dynamic MR™).
Лицо плода во фронтальной плоскости, 2D (в режиме Dynamic MR™).
Сильные стороны DMR: фильтрация в реальном времени, подавление спекл-шумов и артефактов, усиление контуров, получение более четких и контрастных ультразвуковых изображений на границе сред разной эхо-плотности.
