Программа VOCAL - вычисление объемов структур (3D эхография)
VOCAL™ (Virtual Organ Computer-aided AnaLysis или VOlume CALculations - компьютеризированный анализ виртуального органа или объемные расчеты) - это специализированная программа, предназначенная для количественной оценки трехмерных данных, полученных в режиме статического трехмерного (3D) сканирования, которая интегрирована с 3D View - базовой программой просмотра и редактирования трехмерных эхограмм.
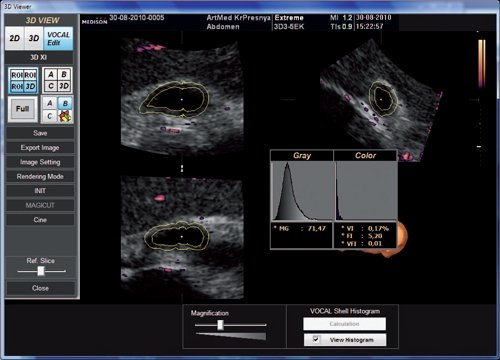
Суть манипуляций с трехмерными данными в VOCAL заключается в том, что зону интереса (орган или патологический очаг любой формы) позиционируют на мониторе в одной из контрольных плоскостей (A, B или C) таким образом, чтобы ось вращения проходила через ее центр (рис. 1). Затем в меню задается шаг вращения объекта в 12, 18 или 30° и способ, которым будет выполняться оконтуривание (сегментация) изображения: ручной или автоматический (рис. 2). После завершения оконтуривания программа автоматически рассчитывает объем зоны интереса (рис. 3). С помощью функции Shell Histogramm можно рассчитать медиану эхогенности зоны интереса, а также, если трехмерное сканирование было выполнено в режиме энергетического допплера (ЭД), индексы васкуляризации, потока и перфузии (рис. 4). Индекс васкуляризации (VI) является отношением числа цветных вокселей к общему числу вокселей, из которых состоит трехмерная эхограмма, т.е. он отражает "насыщенность" объекта сосудами. Индекс потока (FI) представляет собой медиану яркости цветных вокселей: чем выше скорость кровотока, тем ярче энергетические допплеровские сигналы и тем соответственно больше значения индекса потока. Индекс перфузии (VFI) является соотношением средневзвешенного числа цветных вокселей к общему числу вокселей в трехмерной эхограмме. Все эти расчеты можно проводить многократно в режиме off-line, т.е. работая с "виртуальным пациентом".

Рис. 1. Интерфейс программы VOCAL (объект измерения - желчный пузырь): позиционирование зоны интереса, выбор референсной плоскости, шага вращения и метода сегментации (ручной или автоматический).

Рис. 2. Сегментация изображения: ручное оконтуривание зоны интереса.

Рис. 3. Вычисление объема желчного пузыря.

Рис. 4. Вычисление средней эхогенности (MG) и допплеровских индексов (VI, FI, VFI) для стенки желчного пузыря.
См. также обзор клинического применения VOCAL в педиатрии, урологии, гинекологии и онкологии.