Atlas of ultrasound images - echocardiography (pg. 2)

In this section of atlas the results of ultrasonic examinations in cardiology are represented. Here you can see images: aortic, mitral and tricuspid valves, left and right ventricles, echograms of cardiomyopathy, regurgitation of valves, etc.

Heart (short & long axis of the LV), B-mode

MySono-U6. Heart (short & long axis of the LV), B-mode.

Pulmonary regurgitation, CFM & CW

MySono-U6. Pulmonary regurgitation, CFM & CW.

Aortic valve, CFM & PW

Accuvix-V10. Aortic valve, CFM & PW.

Mitral valve - regurgitation, CFM & CW

Accuvix-V10. Mitral valve - regurgitation, CFM & CW.

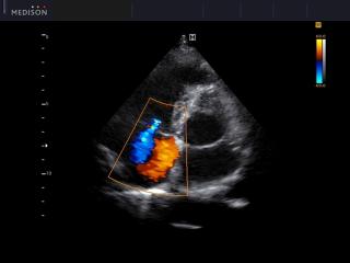
Mitral valve - regurgitation, color doppler

SonoAce-R7. Mitral valve - regurgitation, color doppler.

Heart (short axis of LV), B-mode

SonoAce-R7. Heart (short axis of LV), B-mode.

Heart (long axis of LV), B-mode

SonoAce-R7. Heart (long axis of LV), B-mode.

Interventricular septum, TDI color doppler

EKO7. Interventricular septum, TDI color doppler.

Transmitral flow, CFM & PW

EKO7. Transmitral flow, CFM & PW.

Mitral regurgitation, color doppler

EKO7. Mitral regurgitation, color doppler.

Mitral valve, M-mode

EKO7. Mitral valve, M-mode.

Transaortic flow, CFM & CW

EKO7. Transaortic flow, CFM & CW.

Mitral regurgitation and aortic regurgitation, color doppler

EKO7. Mitral regurgitation and aortic regurgitation, color doppler.

Interventricular septum, TDI spectral doppler

EKO7. Interventricular septum, TDI spectral doppler.

Left ventricular longitudinal, 2D Strain and endocardial vectors

EKO7. Left ventricular longitudinal, 2D Strain and endocardial vectors.

Left ventricular longitudinal, 2D Strain and acoustic markers

EKO7. Left ventricular longitudinal, 2D Strain and acoustic markers.

Heart - left ventricle, M-mode

SonoAce-R3. Heart - left ventricle, M-mode.

Heart (4 chamber view), color doppler

MySono-U5. Heart (4 chamber view), color doppler.

Mitral valve, color doppler

SonoAce-X6. Mitral valve, color doppler.

Heart (long axis of LV), B-mode

SonoAce-X6. Heart (long axis of LV), B-mode.

Heart, tissue doppler

SonoAce-X8. Heart, tissue doppler.

Aneurismus interatrium septum, B-mode

SonoAce-8000. Aneurismus interatrium septum, B-mode.

Aneurismus interatrium septum, B-mode

SonoAce-8000. Aneurismus interatrium septum, B-mode.

Additional muscles trabecula of LV, B-mode

SonoAce-8000. Additional muscles trabecula of LV, B-mode.

Pages: 01 02 03 04 05

The description of ultrasound examinations in russian (эхография) and in english are situated in the database. The description of the diagnostic in the english language is closer to latin and doctors are likely to prefer this variant.